继发于癫痫诱发的颅底缺损的复发性脑脊液鼻漏:一种罕见的癫痫并发症。

IF 0.7 Q3 MEDICINE, GENERAL & INTERNAL
International Medical Case Reports Journal Pub Date : 2025-06-15 eCollection Date: 2025-01-01 DOI:10.2147/IMCRJ.S528739
Feras Alsulaiman
{"title":"继发于癫痫诱发的颅底缺损的复发性脑脊液鼻漏:一种罕见的癫痫并发症。","authors":"Feras Alsulaiman","doi":"10.2147/IMCRJ.S528739","DOIUrl":null,"url":null,"abstract":"<p><p>Cerebrospinal fluid (CSF) rhinorrhea is a rare but serious condition that most commonly follows skull-base trauma or surgery, and its manifestation as a complication of epilepsy is exceptionally rare. Epilepsy management focuses on seizure control and prevention of immediate complications, such as status epilepticus or fall-related injuries. We describe a 36-year-old male with focal-onset epilepsy who developed recurrent CSF rhinorrhea temporally associated with nocturnal convulsions and a seizure-related cribriform-plate defect confirmed by magnetic resonance imaging and β-2 transferrin testing. We hypothesize that repeated minor cranial trauma and transient intracranial pressure surges during these seizures precipitated the skull-base defect. All alternative etiologies were systematically excluded; although a definitive causal link cannot be proven, the strong temporal association supports this hypothesis. The CSF leak was successfully addressed through endoscopic surgical repair, and preventive measures, including alterations to sleeping arrangements, were implemented. This case underscores the importance of considering CSF leakage in individuals with epilepsy presenting with unexplained nasal discharge, highlighting the need for enhanced seizure management, prompt recognition, and multidisciplinary care to prevent complications.</p>","PeriodicalId":14337,"journal":{"name":"International Medical Case Reports Journal","volume":"18 ","pages":"713-718"},"PeriodicalIF":0.7000,"publicationDate":"2025-06-15","publicationTypes":"Journal Article","fieldsOfStudy":null,"isOpenAccess":false,"openAccessPdf":"https://www.ncbi.nlm.nih.gov/pmc/articles/PMC12178260/pdf/","citationCount":"0","resultStr":"{\"title\":\"Recurrent Cerebrospinal Fluid Rhinorrhea Secondary to a Seizure-Induced Skull-Base Defect: An Unusual Complication of Epilepsy.\",\"authors\":\"Feras Alsulaiman\",\"doi\":\"10.2147/IMCRJ.S528739\",\"DOIUrl\":null,\"url\":null,\"abstract\":\"<p><p>Cerebrospinal fluid (CSF) rhinorrhea is a rare but serious condition that most commonly follows skull-base trauma or surgery, and its manifestation as a complication of epilepsy is exceptionally rare. Epilepsy management focuses on seizure control and prevention of immediate complications, such as status epilepticus or fall-related injuries. We describe a 36-year-old male with focal-onset epilepsy who developed recurrent CSF rhinorrhea temporally associated with nocturnal convulsions and a seizure-related cribriform-plate defect confirmed by magnetic resonance imaging and β-2 transferrin testing. We hypothesize that repeated minor cranial trauma and transient intracranial pressure surges during these seizures precipitated the skull-base defect. All alternative etiologies were systematically excluded; although a definitive causal link cannot be proven, the strong temporal association supports this hypothesis. The CSF leak was successfully addressed through endoscopic surgical repair, and preventive measures, including alterations to sleeping arrangements, were implemented. This case underscores the importance of considering CSF leakage in individuals with epilepsy presenting with unexplained nasal discharge, highlighting the need for enhanced seizure management, prompt recognition, and multidisciplinary care to prevent complications.</p>\",\"PeriodicalId\":14337,\"journal\":{\"name\":\"International Medical Case Reports Journal\",\"volume\":\"18 \",\"pages\":\"713-718\"},\"PeriodicalIF\":0.7000,\"publicationDate\":\"2025-06-15\",\"publicationTypes\":\"Journal Article\",\"fieldsOfStudy\":null,\"isOpenAccess\":false,\"openAccessPdf\":\"https://www.ncbi.nlm.nih.gov/pmc/articles/PMC12178260/pdf/\",\"citationCount\":\"0\",\"resultStr\":null,\"platform\":\"Semanticscholar\",\"paperid\":null,\"PeriodicalName\":\"International Medical Case Reports Journal\",\"FirstCategoryId\":\"1085\",\"ListUrlMain\":\"https://doi.org/10.2147/IMCRJ.S528739\",\"RegionNum\":0,\"RegionCategory\":null,\"ArticlePicture\":[],\"TitleCN\":null,\"AbstractTextCN\":null,\"PMCID\":null,\"EPubDate\":\"2025/1/1 0:00:00\",\"PubModel\":\"eCollection\",\"JCR\":\"Q3\",\"JCRName\":\"MEDICINE, GENERAL & INTERNAL\",\"Score\":null,\"Total\":0}","platform":"Semanticscholar","paperid":null,"PeriodicalName":"International Medical Case Reports Journal","FirstCategoryId":"1085","ListUrlMain":"https://doi.org/10.2147/IMCRJ.S528739","RegionNum":0,"RegionCategory":null,"ArticlePicture":[],"TitleCN":null,"AbstractTextCN":null,"PMCID":null,"EPubDate":"2025/1/1 0:00:00","PubModel":"eCollection","JCR":"Q3","JCRName":"MEDICINE, GENERAL & INTERNAL","Score":null,"Total":0}
引用次数: 0

摘要

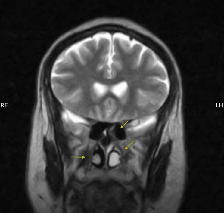
脑脊液(CSF)鼻漏是一种罕见但严重的疾病,最常见于颅底创伤或手术,其表现为癫痫的并发症极为罕见。癫痫管理的重点是癫痫发作控制和预防即时并发症,如癫痫持续状态或跌倒相关损伤。我们描述了一位36岁的男性局灶性癫痫患者,经磁共振成像和β-2转铁蛋白检测证实,他出现了反复发作的脑脊液鼻漏,并伴有暂时性的夜间惊厥和癫痫相关的筛板缺损。我们假设在这些癫痫发作期间反复的轻微颅脑损伤和短暂的颅内压激增导致了颅底缺损。系统地排除了所有其他病因;虽然不能证明明确的因果关系,但强烈的时间关联支持了这一假设。通过内窥镜手术修复成功解决了脑脊液泄漏,并实施了包括改变睡眠安排在内的预防措施。该病例强调了考虑脑脊液渗漏的重要性,癫痫患者出现不明原因的鼻分泌物,强调需要加强癫痫发作管理,及时识别和多学科护理,以防止并发症。
本文章由计算机程序翻译,如有差异,请以英文原文为准。

Recurrent Cerebrospinal Fluid Rhinorrhea Secondary to a Seizure-Induced Skull-Base Defect: An Unusual Complication of Epilepsy.

Recurrent Cerebrospinal Fluid Rhinorrhea Secondary to a Seizure-Induced Skull-Base Defect: An Unusual Complication of Epilepsy.

Recurrent Cerebrospinal Fluid Rhinorrhea Secondary to a Seizure-Induced Skull-Base Defect: An Unusual Complication of Epilepsy.

Recurrent Cerebrospinal Fluid Rhinorrhea Secondary to a Seizure-Induced Skull-Base Defect: An Unusual Complication of Epilepsy.

Cerebrospinal fluid (CSF) rhinorrhea is a rare but serious condition that most commonly follows skull-base trauma or surgery, and its manifestation as a complication of epilepsy is exceptionally rare. Epilepsy management focuses on seizure control and prevention of immediate complications, such as status epilepticus or fall-related injuries. We describe a 36-year-old male with focal-onset epilepsy who developed recurrent CSF rhinorrhea temporally associated with nocturnal convulsions and a seizure-related cribriform-plate defect confirmed by magnetic resonance imaging and β-2 transferrin testing. We hypothesize that repeated minor cranial trauma and transient intracranial pressure surges during these seizures precipitated the skull-base defect. All alternative etiologies were systematically excluded; although a definitive causal link cannot be proven, the strong temporal association supports this hypothesis. The CSF leak was successfully addressed through endoscopic surgical repair, and preventive measures, including alterations to sleeping arrangements, were implemented. This case underscores the importance of considering CSF leakage in individuals with epilepsy presenting with unexplained nasal discharge, highlighting the need for enhanced seizure management, prompt recognition, and multidisciplinary care to prevent complications.

求助全文
通过发布文献求助,成功后即可免费获取论文全文。 去求助
来源期刊
International Medical Case Reports Journal
International Medical Case Reports Journal MEDICINE, GENERAL & INTERNAL-
CiteScore
1.40
自引率
0.00%
发文量
135
审稿时长
16 weeks
期刊介绍: International Medical Case Reports Journal is an international, peer-reviewed, open access, online journal publishing original case reports from all medical specialties. Submissions should not normally exceed 3,000 words or 4 published pages including figures, diagrams and references. As of 1st April 2019, the International Medical Case Reports Journal will no longer consider meta-analyses for publication.
×
引用
GB/T 7714-2015
复制
MLA
复制
APA
复制
导出至
BibTeX EndNote RefMan NoteFirst NoteExpress
×
提示
您的信息不完整,为了账户安全,请先补充。
现在去补充
×
提示
您因"违规操作"
具体请查看互助需知
我知道了
×
提示
确定
请完成安全验证×
copy
已复制链接
快去分享给好友吧!
我知道了
右上角分享
点击右上角分享
0
联系我们:info@booksci.cn Book学术提供免费学术资源搜索服务,方便国内外学者检索中英文文献。致力于提供最便捷和优质的服务体验。 Copyright © 2023 布克学术 All rights reserved.
京ICP备2023020795号-1
ghs 京公网安备 11010802042870号
Book学术文献互助
Book学术文献互助群
群 号:604180095
Book学术官方微信