由部分葡萄胎引发的甲状腺风暴:一种罕见且危及生命的并发症。

IF 0.6 Q4 PEDIATRICS
AJP Reports Pub Date : 2025-06-18 eCollection Date: 2025-04-01 DOI:10.1055/a-2626-9145
Hailey Cox, Maggie Wong, Jena Preszler, Nikolina Docheva, Nauman Khurshid
{"title":"由部分葡萄胎引发的甲状腺风暴:一种罕见且危及生命的并发症。","authors":"Hailey Cox, Maggie Wong, Jena Preszler, Nikolina Docheva, Nauman Khurshid","doi":"10.1055/a-2626-9145","DOIUrl":null,"url":null,"abstract":"<p><p>A 26-year-old woman, gravida 1 para 0 at 14 weeks' 1-day gestation, presented with vaginal spotting and systemic symptoms, including palpitations, shortness of breath, heat intolerance, nausea, and vomiting for 2 weeks. Workup revealed maternal tachycardia, severe-range blood pressure, elevated beta human chorionic gonadotropin of 2,442,400 mIU/mL, suppressed thyroid stimulating hormone, and elevated T4, consistent with thyroid storm with possible preeclampsia with severe features. 1 A transvaginal ultrasound suggested a partial molar pregnancy; this was later confirmed by surgical pathology. This case highlights the rare yet serious complications of hydatidiform mole, in particular, a partial molar pregnancy, including thyroid storm and superimposed preeclampsia, emphasizing the importance of management at a tertiary care center with a multidisciplinary team to optimize maternal outcomes. 2 3.</p>","PeriodicalId":7645,"journal":{"name":"AJP Reports","volume":"15 2","pages":"e94-e97"},"PeriodicalIF":0.6000,"publicationDate":"2025-06-18","publicationTypes":"Journal Article","fieldsOfStudy":null,"isOpenAccess":false,"openAccessPdf":"https://www.ncbi.nlm.nih.gov/pmc/articles/PMC12176506/pdf/","citationCount":"0","resultStr":"{\"title\":\"Thyroid Storm Triggered by Partial Hydatidiform Mole: A Rare and Life-Threatening Complication.\",\"authors\":\"Hailey Cox, Maggie Wong, Jena Preszler, Nikolina Docheva, Nauman Khurshid\",\"doi\":\"10.1055/a-2626-9145\",\"DOIUrl\":null,\"url\":null,\"abstract\":\"<p><p>A 26-year-old woman, gravida 1 para 0 at 14 weeks' 1-day gestation, presented with vaginal spotting and systemic symptoms, including palpitations, shortness of breath, heat intolerance, nausea, and vomiting for 2 weeks. Workup revealed maternal tachycardia, severe-range blood pressure, elevated beta human chorionic gonadotropin of 2,442,400 mIU/mL, suppressed thyroid stimulating hormone, and elevated T4, consistent with thyroid storm with possible preeclampsia with severe features. 1 A transvaginal ultrasound suggested a partial molar pregnancy; this was later confirmed by surgical pathology. This case highlights the rare yet serious complications of hydatidiform mole, in particular, a partial molar pregnancy, including thyroid storm and superimposed preeclampsia, emphasizing the importance of management at a tertiary care center with a multidisciplinary team to optimize maternal outcomes. 2 3.</p>\",\"PeriodicalId\":7645,\"journal\":{\"name\":\"AJP Reports\",\"volume\":\"15 2\",\"pages\":\"e94-e97\"},\"PeriodicalIF\":0.6000,\"publicationDate\":\"2025-06-18\",\"publicationTypes\":\"Journal Article\",\"fieldsOfStudy\":null,\"isOpenAccess\":false,\"openAccessPdf\":\"https://www.ncbi.nlm.nih.gov/pmc/articles/PMC12176506/pdf/\",\"citationCount\":\"0\",\"resultStr\":null,\"platform\":\"Semanticscholar\",\"paperid\":null,\"PeriodicalName\":\"AJP Reports\",\"FirstCategoryId\":\"1085\",\"ListUrlMain\":\"https://doi.org/10.1055/a-2626-9145\",\"RegionNum\":0,\"RegionCategory\":null,\"ArticlePicture\":[],\"TitleCN\":null,\"AbstractTextCN\":null,\"PMCID\":null,\"EPubDate\":\"2025/4/1 0:00:00\",\"PubModel\":\"eCollection\",\"JCR\":\"Q4\",\"JCRName\":\"PEDIATRICS\",\"Score\":null,\"Total\":0}","platform":"Semanticscholar","paperid":null,"PeriodicalName":"AJP Reports","FirstCategoryId":"1085","ListUrlMain":"https://doi.org/10.1055/a-2626-9145","RegionNum":0,"RegionCategory":null,"ArticlePicture":[],"TitleCN":null,"AbstractTextCN":null,"PMCID":null,"EPubDate":"2025/4/1 0:00:00","PubModel":"eCollection","JCR":"Q4","JCRName":"PEDIATRICS","Score":null,"Total":0}
引用次数: 0

摘要

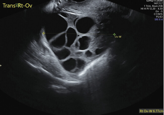
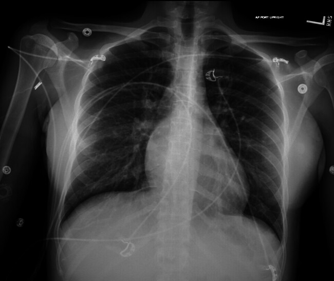
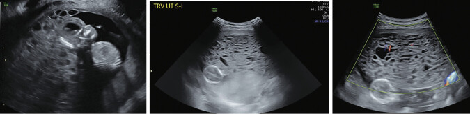
26岁女性,妊娠第1段,妊娠14周1天,出现阴道点滴和全身症状,包括心悸、呼吸短促、热不耐受、恶心和呕吐,持续2周。检查发现产妇心动过速,血压大范围升高,β人绒毛膜促性腺激素2,442,400 mIU/mL升高,促甲状腺激素抑制,T4升高,符合甲状腺风暴,可能伴有严重的先兆子痫。1经阴道超声提示部分臼齿妊娠;这后来被外科病理证实。本病例强调了葡萄胎罕见但严重的并发症,特别是部分臼齿妊娠,包括甲状腺风暴和叠加先兆子痫,强调了在三级保健中心与多学科团队管理的重要性,以优化产妇结局。2 3。
本文章由计算机程序翻译,如有差异,请以英文原文为准。

Thyroid Storm Triggered by Partial Hydatidiform Mole: A Rare and Life-Threatening Complication.

Thyroid Storm Triggered by Partial Hydatidiform Mole: A Rare and Life-Threatening Complication.

Thyroid Storm Triggered by Partial Hydatidiform Mole: A Rare and Life-Threatening Complication.

Thyroid Storm Triggered by Partial Hydatidiform Mole: A Rare and Life-Threatening Complication.

A 26-year-old woman, gravida 1 para 0 at 14 weeks' 1-day gestation, presented with vaginal spotting and systemic symptoms, including palpitations, shortness of breath, heat intolerance, nausea, and vomiting for 2 weeks. Workup revealed maternal tachycardia, severe-range blood pressure, elevated beta human chorionic gonadotropin of 2,442,400 mIU/mL, suppressed thyroid stimulating hormone, and elevated T4, consistent with thyroid storm with possible preeclampsia with severe features. 1 A transvaginal ultrasound suggested a partial molar pregnancy; this was later confirmed by surgical pathology. This case highlights the rare yet serious complications of hydatidiform mole, in particular, a partial molar pregnancy, including thyroid storm and superimposed preeclampsia, emphasizing the importance of management at a tertiary care center with a multidisciplinary team to optimize maternal outcomes. 2 3.

求助全文
通过发布文献求助,成功后即可免费获取论文全文。 去求助
来源期刊
AJP Reports
AJP Reports PEDIATRICS-
CiteScore
2.20
自引率
0.00%
发文量
30
审稿时长
12 weeks
×
引用
GB/T 7714-2015
复制
MLA
复制
APA
复制
导出至
BibTeX EndNote RefMan NoteFirst NoteExpress
×
提示
您的信息不完整,为了账户安全,请先补充。
现在去补充
×
提示
您因"违规操作"
具体请查看互助需知
我知道了
×
提示
确定
请完成安全验证×
copy
已复制链接
快去分享给好友吧!
我知道了
右上角分享
点击右上角分享
0
联系我们:info@booksci.cn Book学术提供免费学术资源搜索服务,方便国内外学者检索中英文文献。致力于提供最便捷和优质的服务体验。 Copyright © 2023 布克学术 All rights reserved.
京ICP备2023020795号-1
ghs 京公网安备 11010802042870号
Book学术文献互助
Book学术文献互助群
群 号:604180095
Book学术官方微信