巴西南部Columba livia Gmelin, 1789 (columbiforma: Columbidae)中columbius columbiae Kruse, 1890(血孢虫目:血孢虫科)的分子检测。

IF 1.2 4区 农林科学 Q2 Veterinary
Revista Brasileira De Parasitologia Veterinaria Pub Date : 2025-06-13 eCollection Date: 2025-01-01 DOI:10.1590/S1984-29612025027
Carolina Caetano Dos Santos, Natália Soares Martins, Nilséia Feijó da Silva, Julia Somavilla Lignon, Kauê Rodriguez Martins, Oluwagbemiga Ademola Dada, Rodrigo Casquero Cunha, Fábio Raphael Pascoti Bruhn, Diego Moscarelli Pinto, Felipe Geraldo Pappen, Carolina Silveira Mascarenhas, Nara Amélia da Rosa Farias
{"title":"巴西南部Columba livia Gmelin, 1789 (columbiforma: Columbidae)中columbius columbiae Kruse, 1890(血孢虫目:血孢虫科)的分子检测。","authors":"Carolina Caetano Dos Santos, Natália Soares Martins, Nilséia Feijó da Silva, Julia Somavilla Lignon, Kauê Rodriguez Martins, Oluwagbemiga Ademola Dada, Rodrigo Casquero Cunha, Fábio Raphael Pascoti Bruhn, Diego Moscarelli Pinto, Felipe Geraldo Pappen, Carolina Silveira Mascarenhas, Nara Amélia da Rosa Farias","doi":"10.1590/S1984-29612025027","DOIUrl":null,"url":null,"abstract":"<p><p>The aim of this study is to describe the molecular detection of Haemoproteus columbae Kruse, 1890 (Haemospororida: Haemoproteidae) in Columba livia Gmelin, 1789 (Columbiformes: Columbidae) in southern Brazil, and to determine the prevalence of the haemosporidian by analyzing the infection in relation to birds' age, sex, and place of origin. Blood samples were collected from 57 birds captured in the municipalities of ​​Pelotas and Rio Grande, in the state of Rio Grande do Sul, Brazil, between May and November 2022. Microscopic examination and Polymerase Chain Reaction (PCR) based on the mitochondrial cytochrome b gene (CytB) revealed that the prevalence of the haemosporidian was 92.98% (53/57). In the sequencing analysis, the samples showed 98.87-99.08% similarity to the species H. columbae and a new lineage was recorded. No differences in infection rates were observed in relation to age, sex, or place of origin of the birds.</p>","PeriodicalId":48990,"journal":{"name":"Revista Brasileira De Parasitologia Veterinaria","volume":"34 2","pages":"e018524"},"PeriodicalIF":1.2000,"publicationDate":"2025-06-13","publicationTypes":"Journal Article","fieldsOfStudy":null,"isOpenAccess":false,"openAccessPdf":"https://www.ncbi.nlm.nih.gov/pmc/articles/PMC12164655/pdf/","citationCount":"0","resultStr":"{\"title\":\"Molecular detection of Haemoproteus columbae Kruse, 1890 (Haemospororida: Haemoproteidae) in Columba livia Gmelin, 1789 (Columbiformes: Columbidae) in southern Brazil.\",\"authors\":\"Carolina Caetano Dos Santos, Natália Soares Martins, Nilséia Feijó da Silva, Julia Somavilla Lignon, Kauê Rodriguez Martins, Oluwagbemiga Ademola Dada, Rodrigo Casquero Cunha, Fábio Raphael Pascoti Bruhn, Diego Moscarelli Pinto, Felipe Geraldo Pappen, Carolina Silveira Mascarenhas, Nara Amélia da Rosa Farias\",\"doi\":\"10.1590/S1984-29612025027\",\"DOIUrl\":null,\"url\":null,\"abstract\":\"<p><p>The aim of this study is to describe the molecular detection of Haemoproteus columbae Kruse, 1890 (Haemospororida: Haemoproteidae) in Columba livia Gmelin, 1789 (Columbiformes: Columbidae) in southern Brazil, and to determine the prevalence of the haemosporidian by analyzing the infection in relation to birds' age, sex, and place of origin. Blood samples were collected from 57 birds captured in the municipalities of ​​Pelotas and Rio Grande, in the state of Rio Grande do Sul, Brazil, between May and November 2022. Microscopic examination and Polymerase Chain Reaction (PCR) based on the mitochondrial cytochrome b gene (CytB) revealed that the prevalence of the haemosporidian was 92.98% (53/57). In the sequencing analysis, the samples showed 98.87-99.08% similarity to the species H. columbae and a new lineage was recorded. No differences in infection rates were observed in relation to age, sex, or place of origin of the birds.</p>\",\"PeriodicalId\":48990,\"journal\":{\"name\":\"Revista Brasileira De Parasitologia Veterinaria\",\"volume\":\"34 2\",\"pages\":\"e018524\"},\"PeriodicalIF\":1.2000,\"publicationDate\":\"2025-06-13\",\"publicationTypes\":\"Journal Article\",\"fieldsOfStudy\":null,\"isOpenAccess\":false,\"openAccessPdf\":\"https://www.ncbi.nlm.nih.gov/pmc/articles/PMC12164655/pdf/\",\"citationCount\":\"0\",\"resultStr\":null,\"platform\":\"Semanticscholar\",\"paperid\":null,\"PeriodicalName\":\"Revista Brasileira De Parasitologia Veterinaria\",\"FirstCategoryId\":\"97\",\"ListUrlMain\":\"https://doi.org/10.1590/S1984-29612025027\",\"RegionNum\":4,\"RegionCategory\":\"农林科学\",\"ArticlePicture\":[],\"TitleCN\":null,\"AbstractTextCN\":null,\"PMCID\":null,\"EPubDate\":\"2025/1/1 0:00:00\",\"PubModel\":\"eCollection\",\"JCR\":\"Q2\",\"JCRName\":\"Veterinary\",\"Score\":null,\"Total\":0}","platform":"Semanticscholar","paperid":null,"PeriodicalName":"Revista Brasileira De Parasitologia Veterinaria","FirstCategoryId":"97","ListUrlMain":"https://doi.org/10.1590/S1984-29612025027","RegionNum":4,"RegionCategory":"农林科学","ArticlePicture":[],"TitleCN":null,"AbstractTextCN":null,"PMCID":null,"EPubDate":"2025/1/1 0:00:00","PubModel":"eCollection","JCR":"Q2","JCRName":"Veterinary","Score":null,"Total":0}
引用次数: 0

摘要

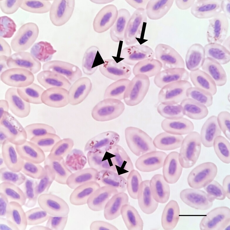
本研究的目的是描述巴西南部Columba livia Gmelin, 1789 (Columbiformes: Columbidae)中柱状嗜血杆菌(haememoproteus Kruse, 1890)的分子检测情况,并通过分析感染情况与鸟类年龄、性别和原产地的关系来确定柱状嗜血杆菌的流行情况。研究人员从2022年5月至11月期间在巴西南巴西大德州佩洛塔斯市和大巴西市捕获的57只鸟类身上采集了血液样本。镜检和基于线粒体细胞色素b基因(CytB)的聚合酶链反应(PCR)显示,血孢子虫患病率为92.98%(53/57)。测序结果显示,样品与柱状芽孢杆菌的相似性为98.87 ~ 99.08%,形成了一个新的谱系。没有观察到感染率与鸟类的年龄、性别或原产地有关。
本文章由计算机程序翻译,如有差异,请以英文原文为准。

Molecular detection of Haemoproteus columbae Kruse, 1890 (Haemospororida: Haemoproteidae) in Columba livia Gmelin, 1789 (Columbiformes: Columbidae) in southern Brazil.

Molecular detection of Haemoproteus columbae Kruse, 1890 (Haemospororida: Haemoproteidae) in Columba livia Gmelin, 1789 (Columbiformes: Columbidae) in southern Brazil.

Molecular detection of Haemoproteus columbae Kruse, 1890 (Haemospororida: Haemoproteidae) in Columba livia Gmelin, 1789 (Columbiformes: Columbidae) in southern Brazil.

The aim of this study is to describe the molecular detection of Haemoproteus columbae Kruse, 1890 (Haemospororida: Haemoproteidae) in Columba livia Gmelin, 1789 (Columbiformes: Columbidae) in southern Brazil, and to determine the prevalence of the haemosporidian by analyzing the infection in relation to birds' age, sex, and place of origin. Blood samples were collected from 57 birds captured in the municipalities of ​​Pelotas and Rio Grande, in the state of Rio Grande do Sul, Brazil, between May and November 2022. Microscopic examination and Polymerase Chain Reaction (PCR) based on the mitochondrial cytochrome b gene (CytB) revealed that the prevalence of the haemosporidian was 92.98% (53/57). In the sequencing analysis, the samples showed 98.87-99.08% similarity to the species H. columbae and a new lineage was recorded. No differences in infection rates were observed in relation to age, sex, or place of origin of the birds.

求助全文
通过发布文献求助,成功后即可免费获取论文全文。 去求助
来源期刊
Revista Brasileira De Parasitologia Veterinaria
Revista Brasileira De Parasitologia Veterinaria PARASITOLOGY-VETERINARY SCIENCES
CiteScore
2.60
自引率
7.70%
发文量
90
审稿时长
>12 weeks
期刊介绍: La revista es un órgano de difusión del Colegio Brasileño de Parasitología Veterinaria, con una especificidad dentro de esa área, la difusión de los resultados de la investigación brasileña en las áreas de Helmintología, Protozoología, Entomología y agentes transmitidos por artrópodos, relacionados con la salud animal.
×
引用
GB/T 7714-2015
复制
MLA
复制
APA
复制
导出至
BibTeX EndNote RefMan NoteFirst NoteExpress
×
提示
您的信息不完整,为了账户安全,请先补充。
现在去补充
×
提示
您因"违规操作"
具体请查看互助需知
我知道了
×
提示
确定
请完成安全验证×
copy
已复制链接
快去分享给好友吧!
我知道了
右上角分享
点击右上角分享
0
联系我们:info@booksci.cn Book学术提供免费学术资源搜索服务,方便国内外学者检索中英文文献。致力于提供最便捷和优质的服务体验。 Copyright © 2023 布克学术 All rights reserved.
京ICP备2023020795号-1
ghs 京公网安备 11010802042870号
Book学术文献互助
Book学术文献互助群
群 号:604180095
Book学术官方微信