城市径流固体被动采样以捕获城市空间中啮齿动物检测的环境DNA。

IF 1.9 4区 环境科学与生态学 Q3 ENGINEERING, ENVIRONMENTAL
Mark Edward Jolejole, Mai Uchida, Ayane Itakura, Tomohiro Tobino, Kazunari Sei, Fumiyuki Nakajima
{"title":"城市径流固体被动采样以捕获城市空间中啮齿动物检测的环境DNA。","authors":"Mark Edward Jolejole, Mai Uchida, Ayane Itakura, Tomohiro Tobino, Kazunari Sei, Fumiyuki Nakajima","doi":"10.1002/wer.70107","DOIUrl":null,"url":null,"abstract":"<p><p>In urban environments, runoff may contain environmental DNA (eDNA) from nuisance animals, but its potential has not been investigated. Conventional eDNA methods, such as water sampling, may not be applicable to the detection of nuisance animals in urban areas due to the scarcity of target eDNA attributable to the sporadic contact of the animals with water sources, and the limited volume of samples collected may lead to false negative results. Given these limitations, this study aimed to develop a passive sampling method for the collection of runoff solids for the detection of rodents (mouse and rat) in urban areas using eDNA. The developed sampling method successfully collected 0.3-16.7 g dry weight of runoff solids per sampling event. Collected runoff samples contained 8.0-58.1 μg total DNA/g dry weight sample and were characterized by the presence of PCR inhibitors. Following the removal of these inhibitors, mouse eDNA was detected (albeit below the limit of quantification) using a designed species-specific assay. The results of this study demonstrate that runoff solids are a viable eDNA source for the detection of animals in urban environments. However, further work is required to improve the quantification of target DNA. Nevertheless, the developed methodology may provide new and important information on the ecology of animals in urban spaces that can be incorporated into the management of nuisance animals in urban areas. SUMMARY: A passive sampling scheme was successfully designed and captured 0.3-16.7 g dry weight of urban runoff solids in two sites in an urban space. Collected solids contain 8.0-58.1 μg/g of eDNA, which also contain PCR inhibitors which must be removed prior to qPCR. Mouse DNA was detected in six out of 19 samples, but the detections were below the determined quantification limit. This new passive sampling scheme can be applied for terrestrial animal detection in urban spaces to potentially track hidden animals.</p>","PeriodicalId":23621,"journal":{"name":"Water Environment Research","volume":"97 6","pages":"e70107"},"PeriodicalIF":1.9000,"publicationDate":"2025-06-01","publicationTypes":"Journal Article","fieldsOfStudy":null,"isOpenAccess":false,"openAccessPdf":"https://www.ncbi.nlm.nih.gov/pmc/articles/PMC12177438/pdf/","citationCount":"0","resultStr":"{\"title\":\"Passive Sampling of Urban Runoff Solids to Capture Environmental DNA for the Detection of Rodents in Urban Spaces.\",\"authors\":\"Mark Edward Jolejole, Mai Uchida, Ayane Itakura, Tomohiro Tobino, Kazunari Sei, Fumiyuki Nakajima\",\"doi\":\"10.1002/wer.70107\",\"DOIUrl\":null,\"url\":null,\"abstract\":\"<p><p>In urban environments, runoff may contain environmental DNA (eDNA) from nuisance animals, but its potential has not been investigated. Conventional eDNA methods, such as water sampling, may not be applicable to the detection of nuisance animals in urban areas due to the scarcity of target eDNA attributable to the sporadic contact of the animals with water sources, and the limited volume of samples collected may lead to false negative results. Given these limitations, this study aimed to develop a passive sampling method for the collection of runoff solids for the detection of rodents (mouse and rat) in urban areas using eDNA. The developed sampling method successfully collected 0.3-16.7 g dry weight of runoff solids per sampling event. Collected runoff samples contained 8.0-58.1 μg total DNA/g dry weight sample and were characterized by the presence of PCR inhibitors. Following the removal of these inhibitors, mouse eDNA was detected (albeit below the limit of quantification) using a designed species-specific assay. The results of this study demonstrate that runoff solids are a viable eDNA source for the detection of animals in urban environments. However, further work is required to improve the quantification of target DNA. Nevertheless, the developed methodology may provide new and important information on the ecology of animals in urban spaces that can be incorporated into the management of nuisance animals in urban areas. SUMMARY: A passive sampling scheme was successfully designed and captured 0.3-16.7 g dry weight of urban runoff solids in two sites in an urban space. Collected solids contain 8.0-58.1 μg/g of eDNA, which also contain PCR inhibitors which must be removed prior to qPCR. Mouse DNA was detected in six out of 19 samples, but the detections were below the determined quantification limit. This new passive sampling scheme can be applied for terrestrial animal detection in urban spaces to potentially track hidden animals.</p>\",\"PeriodicalId\":23621,\"journal\":{\"name\":\"Water Environment Research\",\"volume\":\"97 6\",\"pages\":\"e70107\"},\"PeriodicalIF\":1.9000,\"publicationDate\":\"2025-06-01\",\"publicationTypes\":\"Journal Article\",\"fieldsOfStudy\":null,\"isOpenAccess\":false,\"openAccessPdf\":\"https://www.ncbi.nlm.nih.gov/pmc/articles/PMC12177438/pdf/\",\"citationCount\":\"0\",\"resultStr\":null,\"platform\":\"Semanticscholar\",\"paperid\":null,\"PeriodicalName\":\"Water Environment Research\",\"FirstCategoryId\":\"93\",\"ListUrlMain\":\"https://doi.org/10.1002/wer.70107\",\"RegionNum\":4,\"RegionCategory\":\"环境科学与生态学\",\"ArticlePicture\":[],\"TitleCN\":null,\"AbstractTextCN\":null,\"PMCID\":null,\"EPubDate\":\"\",\"PubModel\":\"\",\"JCR\":\"Q3\",\"JCRName\":\"ENGINEERING, ENVIRONMENTAL\",\"Score\":null,\"Total\":0}","platform":"Semanticscholar","paperid":null,"PeriodicalName":"Water Environment Research","FirstCategoryId":"93","ListUrlMain":"https://doi.org/10.1002/wer.70107","RegionNum":4,"RegionCategory":"环境科学与生态学","ArticlePicture":[],"TitleCN":null,"AbstractTextCN":null,"PMCID":null,"EPubDate":"","PubModel":"","JCR":"Q3","JCRName":"ENGINEERING, ENVIRONMENTAL","Score":null,"Total":0}
引用次数: 0

摘要

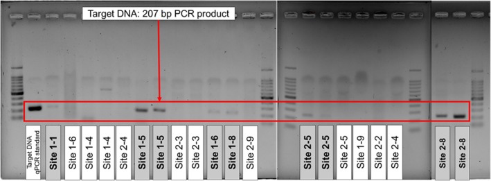
在城市环境中,径流可能含有来自有害动物的环境DNA (eDNA),但其潜力尚未得到调查。传统的eDNA方法,如水样取样,可能不适用于城市地区有害动物的检测,因为动物与水源的零星接触导致目标eDNA的稀缺,并且采集的样本数量有限可能导致假阴性结果。鉴于这些限制,本研究旨在开发一种被动采样方法,用于收集径流固体,用于使用eDNA检测城市地区的啮齿动物(小鼠和大鼠)。所开发的采样方法每次采样成功地收集了0.3-16.7 g干重的径流固体。所收集的径流样品的总DNA含量为8.0 ~ 58.1 μg /g干重样品,并以PCR抑制剂的存在为特征。在去除这些抑制剂后,使用设计的物种特异性测定法检测小鼠eDNA(尽管低于定量限制)。本研究结果表明,径流固体是城市环境中动物检测的可行eDNA来源。然而,需要进一步的工作来提高目标DNA的定量。然而,所开发的方法可以提供关于城市空间动物生态学的新的重要信息,这些信息可以纳入城市地区滋扰动物的管理。摘要:成功设计了一种被动采样方案,在城市空间的两个地点捕获了0.3-16.7 g干重的城市径流固体。收集的固体含有8.0-58.1 μg/g的eDNA,其中还含有PCR抑制剂,在qPCR之前必须去除。19份样品中有6份检测到小鼠DNA,但均低于确定的定量限。这种新的被动采样方案可以应用于城市空间的陆生动物检测,以潜在地跟踪隐藏的动物。
本文章由计算机程序翻译,如有差异,请以英文原文为准。

Passive Sampling of Urban Runoff Solids to Capture Environmental DNA for the Detection of Rodents in Urban Spaces.

Passive Sampling of Urban Runoff Solids to Capture Environmental DNA for the Detection of Rodents in Urban Spaces.

Passive Sampling of Urban Runoff Solids to Capture Environmental DNA for the Detection of Rodents in Urban Spaces.

Passive Sampling of Urban Runoff Solids to Capture Environmental DNA for the Detection of Rodents in Urban Spaces.

In urban environments, runoff may contain environmental DNA (eDNA) from nuisance animals, but its potential has not been investigated. Conventional eDNA methods, such as water sampling, may not be applicable to the detection of nuisance animals in urban areas due to the scarcity of target eDNA attributable to the sporadic contact of the animals with water sources, and the limited volume of samples collected may lead to false negative results. Given these limitations, this study aimed to develop a passive sampling method for the collection of runoff solids for the detection of rodents (mouse and rat) in urban areas using eDNA. The developed sampling method successfully collected 0.3-16.7 g dry weight of runoff solids per sampling event. Collected runoff samples contained 8.0-58.1 μg total DNA/g dry weight sample and were characterized by the presence of PCR inhibitors. Following the removal of these inhibitors, mouse eDNA was detected (albeit below the limit of quantification) using a designed species-specific assay. The results of this study demonstrate that runoff solids are a viable eDNA source for the detection of animals in urban environments. However, further work is required to improve the quantification of target DNA. Nevertheless, the developed methodology may provide new and important information on the ecology of animals in urban spaces that can be incorporated into the management of nuisance animals in urban areas. SUMMARY: A passive sampling scheme was successfully designed and captured 0.3-16.7 g dry weight of urban runoff solids in two sites in an urban space. Collected solids contain 8.0-58.1 μg/g of eDNA, which also contain PCR inhibitors which must be removed prior to qPCR. Mouse DNA was detected in six out of 19 samples, but the detections were below the determined quantification limit. This new passive sampling scheme can be applied for terrestrial animal detection in urban spaces to potentially track hidden animals.

求助全文
通过发布文献求助,成功后即可免费获取论文全文。 去求助
来源期刊
Water Environment Research
Water Environment Research 环境科学-工程:环境
CiteScore
6.30
自引率
0.00%
发文量
138
审稿时长
11 months
期刊介绍: Published since 1928, Water Environment Research (WER) is an international multidisciplinary water resource management journal for the dissemination of fundamental and applied research in all scientific and technical areas related to water quality and resource recovery. WER''s goal is to foster communication and interdisciplinary research between water sciences and related fields such as environmental toxicology, agriculture, public and occupational health, microbiology, and ecology. In addition to original research articles, short communications, case studies, reviews, and perspectives are encouraged.
×
引用
GB/T 7714-2015
复制
MLA
复制
APA
复制
导出至
BibTeX EndNote RefMan NoteFirst NoteExpress
×
提示
您的信息不完整,为了账户安全,请先补充。
现在去补充
×
提示
您因"违规操作"
具体请查看互助需知
我知道了
×
提示
确定
请完成安全验证×
copy
已复制链接
快去分享给好友吧!
我知道了
右上角分享
点击右上角分享
0
联系我们:info@booksci.cn Book学术提供免费学术资源搜索服务,方便国内外学者检索中英文文献。致力于提供最便捷和优质的服务体验。 Copyright © 2023 布克学术 All rights reserved.
京ICP备2023020795号-1
ghs 京公网安备 11010802042870号
Book学术文献互助
Book学术文献互助群
群 号:604180095
Book学术官方微信