以黑黑、便血为表现的系统性硬化症1例报告及文献复习。

IF 0.8 Q3 MEDICINE, GENERAL & INTERNAL
Anthony El Gharib, Léa Nassif, Karam Karam, Elias Fiani
{"title":"以黑黑、便血为表现的系统性硬化症1例报告及文献复习。","authors":"Anthony El Gharib, Léa Nassif, Karam Karam, Elias Fiani","doi":"10.1177/23247096251348903","DOIUrl":null,"url":null,"abstract":"<p><p>Systemic sclerosis (SSc) is a rare autoimmune disorder that leads to progressive fibrosis and vascular dysfunction, frequently affecting the gastrointestinal tract with around 90% of patients experiencing gastrointestinal complications, with severe manifestations such as gastric antral vascular ectasia and rectal telangiectasia which lead to chronic bleeding and iron-deficiency anemia. This review and case report explore the pathophysiology of GI involvement in SSc, emphasizing fibrosis, microvascular damage, and dysmotility. It also highlights treatment options, including endoscopic interventions like argon plasma coagulation and pharmacological therapies.</p>","PeriodicalId":16198,"journal":{"name":"Journal of investigative medicine high impact case reports","volume":"13 ","pages":"23247096251348903"},"PeriodicalIF":0.8000,"publicationDate":"2025-01-01","publicationTypes":"Journal Article","fieldsOfStudy":null,"isOpenAccess":false,"openAccessPdf":"https://www.ncbi.nlm.nih.gov/pmc/articles/PMC12179478/pdf/","citationCount":"0","resultStr":"{\"title\":\"A Case Report and Literature Review on Systemic Sclerosis Manifesting as Melena and Hematochezia.\",\"authors\":\"Anthony El Gharib, Léa Nassif, Karam Karam, Elias Fiani\",\"doi\":\"10.1177/23247096251348903\",\"DOIUrl\":null,\"url\":null,\"abstract\":\"<p><p>Systemic sclerosis (SSc) is a rare autoimmune disorder that leads to progressive fibrosis and vascular dysfunction, frequently affecting the gastrointestinal tract with around 90% of patients experiencing gastrointestinal complications, with severe manifestations such as gastric antral vascular ectasia and rectal telangiectasia which lead to chronic bleeding and iron-deficiency anemia. This review and case report explore the pathophysiology of GI involvement in SSc, emphasizing fibrosis, microvascular damage, and dysmotility. It also highlights treatment options, including endoscopic interventions like argon plasma coagulation and pharmacological therapies.</p>\",\"PeriodicalId\":16198,\"journal\":{\"name\":\"Journal of investigative medicine high impact case reports\",\"volume\":\"13 \",\"pages\":\"23247096251348903\"},\"PeriodicalIF\":0.8000,\"publicationDate\":\"2025-01-01\",\"publicationTypes\":\"Journal Article\",\"fieldsOfStudy\":null,\"isOpenAccess\":false,\"openAccessPdf\":\"https://www.ncbi.nlm.nih.gov/pmc/articles/PMC12179478/pdf/\",\"citationCount\":\"0\",\"resultStr\":null,\"platform\":\"Semanticscholar\",\"paperid\":null,\"PeriodicalName\":\"Journal of investigative medicine high impact case reports\",\"FirstCategoryId\":\"1085\",\"ListUrlMain\":\"https://doi.org/10.1177/23247096251348903\",\"RegionNum\":0,\"RegionCategory\":null,\"ArticlePicture\":[],\"TitleCN\":null,\"AbstractTextCN\":null,\"PMCID\":null,\"EPubDate\":\"2025/6/19 0:00:00\",\"PubModel\":\"Epub\",\"JCR\":\"Q3\",\"JCRName\":\"MEDICINE, GENERAL & INTERNAL\",\"Score\":null,\"Total\":0}","platform":"Semanticscholar","paperid":null,"PeriodicalName":"Journal of investigative medicine high impact case reports","FirstCategoryId":"1085","ListUrlMain":"https://doi.org/10.1177/23247096251348903","RegionNum":0,"RegionCategory":null,"ArticlePicture":[],"TitleCN":null,"AbstractTextCN":null,"PMCID":null,"EPubDate":"2025/6/19 0:00:00","PubModel":"Epub","JCR":"Q3","JCRName":"MEDICINE, GENERAL & INTERNAL","Score":null,"Total":0}
引用次数: 0

摘要

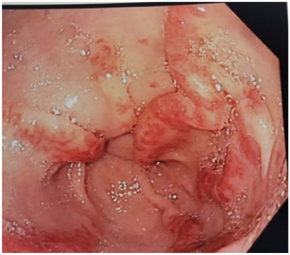
系统性硬化症(SSc)是一种罕见的自身免疫性疾病,导致进行性纤维化和血管功能障碍,经常影响胃肠道,约90%的患者出现胃肠道并发症,严重表现为胃胃窦血管扩张和直肠毛细血管扩张,导致慢性出血和缺铁性贫血。这篇综述和病例报告探讨了胃肠道参与SSc的病理生理,强调纤维化、微血管损伤和运动障碍。它还强调了治疗选择,包括氩等离子凝固等内窥镜干预和药物治疗。
本文章由计算机程序翻译,如有差异,请以英文原文为准。

A Case Report and Literature Review on Systemic Sclerosis Manifesting as Melena and Hematochezia.

A Case Report and Literature Review on Systemic Sclerosis Manifesting as Melena and Hematochezia.

A Case Report and Literature Review on Systemic Sclerosis Manifesting as Melena and Hematochezia.

A Case Report and Literature Review on Systemic Sclerosis Manifesting as Melena and Hematochezia.

Systemic sclerosis (SSc) is a rare autoimmune disorder that leads to progressive fibrosis and vascular dysfunction, frequently affecting the gastrointestinal tract with around 90% of patients experiencing gastrointestinal complications, with severe manifestations such as gastric antral vascular ectasia and rectal telangiectasia which lead to chronic bleeding and iron-deficiency anemia. This review and case report explore the pathophysiology of GI involvement in SSc, emphasizing fibrosis, microvascular damage, and dysmotility. It also highlights treatment options, including endoscopic interventions like argon plasma coagulation and pharmacological therapies.

求助全文
通过发布文献求助,成功后即可免费获取论文全文。 去求助
来源期刊
CiteScore
1.90
自引率
0.00%
发文量
165
审稿时长
12 weeks
期刊介绍: The AFMR is committed to enhancing the training and career development of our members and to furthering its mission to facilitate the conduct of research to improve medical care. Case reports represent an important avenue for trainees (interns, residents, and fellows) and early-stage faculty to demonstrate productive, scholarly activity.
×
引用
GB/T 7714-2015
复制
MLA
复制
APA
复制
导出至
BibTeX EndNote RefMan NoteFirst NoteExpress
×
提示
您的信息不完整,为了账户安全,请先补充。
现在去补充
×
提示
您因"违规操作"
具体请查看互助需知
我知道了
×
提示
确定
请完成安全验证×
copy
已复制链接
快去分享给好友吧!
我知道了
右上角分享
点击右上角分享
0
联系我们:info@booksci.cn Book学术提供免费学术资源搜索服务,方便国内外学者检索中英文文献。致力于提供最便捷和优质的服务体验。 Copyright © 2023 布克学术 All rights reserved.
京ICP备2023020795号-1
ghs 京公网安备 11010802042870号
Book学术文献互助
Book学术文献互助群
群 号:604180095
Book学术官方微信