高松动脉炎合并系统性红斑狼疮1例。

IF 3.3 Q2 CARDIAC & CARDIOVASCULAR SYSTEMS
Clinical Medicine Insights. Cardiology Pub Date : 2025-06-17 eCollection Date: 2025-01-01 DOI:10.1177/11795468251350222
Himanshu Jindal, Vinay Suresh, Balakrishnan Kamaraj, Mayank Jha, Nikhil Verma, Awadhesh Kumar Sharma, P Purushothaman, Shubham Kumar, Rachana Mehta, Ranjana Sah, Amogh Verma
{"title":"高松动脉炎合并系统性红斑狼疮1例。","authors":"Himanshu Jindal, Vinay Suresh, Balakrishnan Kamaraj, Mayank Jha, Nikhil Verma, Awadhesh Kumar Sharma, P Purushothaman, Shubham Kumar, Rachana Mehta, Ranjana Sah, Amogh Verma","doi":"10.1177/11795468251350222","DOIUrl":null,"url":null,"abstract":"<p><p>Takayasu arteritis (TA) is a rare granulomatous vasculitis affecting the aorta and its major branches, while systemic lupus erythematosus (SLE) is a multisystem autoimmune disorder known for vascular and serological involvement. Although both diseases share certain immunopathological pathways, their co-occurrence is exceedingly rare. We report a case of a 44-year-old Indian female with a prior diagnosis of SLE who presented with breathlessness, palpitations, and nodular episcleritis. Cardiovascular evaluation revealed carotid bruit, diminished peripheral pulses, blood pressure discrepancies, and murmurs suggestive of valvular dysfunction. Laboratory investigations demonstrated elevated erythrocyte sedimentation rate, hypochromic microcytic anemia, hypocomplementemia, positive antinuclear and anti-dsDNA antibodies, and proteinuria. Imaging confirmed circumferential thickening of the ascending and descending aorta and occlusive disease in the left carotid system. Based on the 2022 ACR/EULAR classification criteria, a diagnosis of concomitant TA was established. Management included corticosteroids and mycophenolate mofetil, chosen over cyclophosphamide due to borderline renal function and fertility considerations. Despite planning for aortic root replacement, the patient deteriorated and succumbed to complications of severe aortic regurgitation. This case highlights the diagnostic complexities of overlapping autoimmune vasculitides and emphasizes the need for early recognition, rigorous application of classification criteria, and individualized immunosuppressive strategies to optimize outcomes in such rare presentations.</p>","PeriodicalId":10419,"journal":{"name":"Clinical Medicine Insights. Cardiology","volume":"19 ","pages":"11795468251350222"},"PeriodicalIF":3.3000,"publicationDate":"2025-06-17","publicationTypes":"Journal Article","fieldsOfStudy":null,"isOpenAccess":false,"openAccessPdf":"https://www.ncbi.nlm.nih.gov/pmc/articles/PMC12174721/pdf/","citationCount":"0","resultStr":"{\"title\":\"Takayasu's Arteritis with Systemic Lupus Erythematosus: A Case Report.\",\"authors\":\"Himanshu Jindal, Vinay Suresh, Balakrishnan Kamaraj, Mayank Jha, Nikhil Verma, Awadhesh Kumar Sharma, P Purushothaman, Shubham Kumar, Rachana Mehta, Ranjana Sah, Amogh Verma\",\"doi\":\"10.1177/11795468251350222\",\"DOIUrl\":null,\"url\":null,\"abstract\":\"<p><p>Takayasu arteritis (TA) is a rare granulomatous vasculitis affecting the aorta and its major branches, while systemic lupus erythematosus (SLE) is a multisystem autoimmune disorder known for vascular and serological involvement. Although both diseases share certain immunopathological pathways, their co-occurrence is exceedingly rare. We report a case of a 44-year-old Indian female with a prior diagnosis of SLE who presented with breathlessness, palpitations, and nodular episcleritis. Cardiovascular evaluation revealed carotid bruit, diminished peripheral pulses, blood pressure discrepancies, and murmurs suggestive of valvular dysfunction. Laboratory investigations demonstrated elevated erythrocyte sedimentation rate, hypochromic microcytic anemia, hypocomplementemia, positive antinuclear and anti-dsDNA antibodies, and proteinuria. Imaging confirmed circumferential thickening of the ascending and descending aorta and occlusive disease in the left carotid system. Based on the 2022 ACR/EULAR classification criteria, a diagnosis of concomitant TA was established. Management included corticosteroids and mycophenolate mofetil, chosen over cyclophosphamide due to borderline renal function and fertility considerations. Despite planning for aortic root replacement, the patient deteriorated and succumbed to complications of severe aortic regurgitation. This case highlights the diagnostic complexities of overlapping autoimmune vasculitides and emphasizes the need for early recognition, rigorous application of classification criteria, and individualized immunosuppressive strategies to optimize outcomes in such rare presentations.</p>\",\"PeriodicalId\":10419,\"journal\":{\"name\":\"Clinical Medicine Insights. Cardiology\",\"volume\":\"19 \",\"pages\":\"11795468251350222\"},\"PeriodicalIF\":3.3000,\"publicationDate\":\"2025-06-17\",\"publicationTypes\":\"Journal Article\",\"fieldsOfStudy\":null,\"isOpenAccess\":false,\"openAccessPdf\":\"https://www.ncbi.nlm.nih.gov/pmc/articles/PMC12174721/pdf/\",\"citationCount\":\"0\",\"resultStr\":null,\"platform\":\"Semanticscholar\",\"paperid\":null,\"PeriodicalName\":\"Clinical Medicine Insights. Cardiology\",\"FirstCategoryId\":\"1085\",\"ListUrlMain\":\"https://doi.org/10.1177/11795468251350222\",\"RegionNum\":0,\"RegionCategory\":null,\"ArticlePicture\":[],\"TitleCN\":null,\"AbstractTextCN\":null,\"PMCID\":null,\"EPubDate\":\"2025/1/1 0:00:00\",\"PubModel\":\"eCollection\",\"JCR\":\"Q2\",\"JCRName\":\"CARDIAC & CARDIOVASCULAR SYSTEMS\",\"Score\":null,\"Total\":0}","platform":"Semanticscholar","paperid":null,"PeriodicalName":"Clinical Medicine Insights. Cardiology","FirstCategoryId":"1085","ListUrlMain":"https://doi.org/10.1177/11795468251350222","RegionNum":0,"RegionCategory":null,"ArticlePicture":[],"TitleCN":null,"AbstractTextCN":null,"PMCID":null,"EPubDate":"2025/1/1 0:00:00","PubModel":"eCollection","JCR":"Q2","JCRName":"CARDIAC & CARDIOVASCULAR SYSTEMS","Score":null,"Total":0}
引用次数: 0

摘要

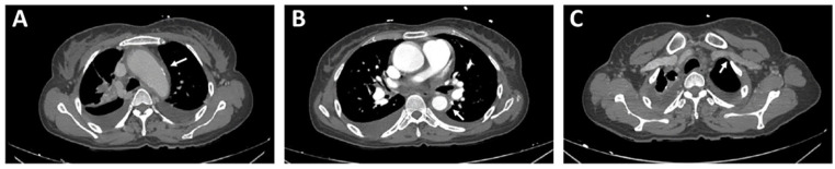
高松动脉炎(TA)是一种罕见的肉芽肿性血管炎,影响主动脉及其主要分支,而系统性红斑狼疮(SLE)是一种多系统自身免疫性疾病,已知累及血管和血清学。虽然这两种疾病具有一定的免疫病理途径,但它们的共同发生是极其罕见的。我们报告一例44岁的印度女性,先前诊断为SLE,表现为呼吸困难、心悸和结节性外膜炎。心血管检查显示颈动脉硬化、外周脉搏减少、血压差异和提示瓣膜功能障碍的杂音。实验室检查显示红细胞沉降率升高,低色性小细胞贫血,低补体血症,抗核抗体和抗dsdna抗体阳性,蛋白尿。影像学证实升降主动脉周向增厚及左颈动脉系统闭塞性病变。根据2022年ACR/EULAR分类标准,建立合并TA的诊断。治疗包括皮质类固醇和霉酚酸酯,选择环磷酰胺,因为交界性肾功能和生育考虑。尽管计划进行主动脉根置换,但患者病情恶化并死于严重的主动脉反流并发症。本病例强调了重叠自身免疫性血管炎诊断的复杂性,并强调了早期识别、严格应用分类标准和个体化免疫抑制策略的必要性,以优化此类罕见病例的预后。
本文章由计算机程序翻译,如有差异,请以英文原文为准。

Takayasu's Arteritis with Systemic Lupus Erythematosus: A Case Report.

Takayasu's Arteritis with Systemic Lupus Erythematosus: A Case Report.

Takayasu's Arteritis with Systemic Lupus Erythematosus: A Case Report.

Takayasu's Arteritis with Systemic Lupus Erythematosus: A Case Report.

Takayasu arteritis (TA) is a rare granulomatous vasculitis affecting the aorta and its major branches, while systemic lupus erythematosus (SLE) is a multisystem autoimmune disorder known for vascular and serological involvement. Although both diseases share certain immunopathological pathways, their co-occurrence is exceedingly rare. We report a case of a 44-year-old Indian female with a prior diagnosis of SLE who presented with breathlessness, palpitations, and nodular episcleritis. Cardiovascular evaluation revealed carotid bruit, diminished peripheral pulses, blood pressure discrepancies, and murmurs suggestive of valvular dysfunction. Laboratory investigations demonstrated elevated erythrocyte sedimentation rate, hypochromic microcytic anemia, hypocomplementemia, positive antinuclear and anti-dsDNA antibodies, and proteinuria. Imaging confirmed circumferential thickening of the ascending and descending aorta and occlusive disease in the left carotid system. Based on the 2022 ACR/EULAR classification criteria, a diagnosis of concomitant TA was established. Management included corticosteroids and mycophenolate mofetil, chosen over cyclophosphamide due to borderline renal function and fertility considerations. Despite planning for aortic root replacement, the patient deteriorated and succumbed to complications of severe aortic regurgitation. This case highlights the diagnostic complexities of overlapping autoimmune vasculitides and emphasizes the need for early recognition, rigorous application of classification criteria, and individualized immunosuppressive strategies to optimize outcomes in such rare presentations.

求助全文
通过发布文献求助,成功后即可免费获取论文全文。 去求助
来源期刊
Clinical Medicine Insights. Cardiology
Clinical Medicine Insights. Cardiology CARDIAC & CARDIOVASCULAR SYSTEMS-
CiteScore
5.20
自引率
3.30%
发文量
16
审稿时长
8 weeks
×
引用
GB/T 7714-2015
复制
MLA
复制
APA
复制
导出至
BibTeX EndNote RefMan NoteFirst NoteExpress
×
提示
您的信息不完整,为了账户安全,请先补充。
现在去补充
×
提示
您因"违规操作"
具体请查看互助需知
我知道了
×
提示
确定
请完成安全验证×
copy
已复制链接
快去分享给好友吧!
我知道了
右上角分享
点击右上角分享
0
联系我们:info@booksci.cn Book学术提供免费学术资源搜索服务,方便国内外学者检索中英文文献。致力于提供最便捷和优质的服务体验。 Copyright © 2023 布克学术 All rights reserved.
京ICP备2023020795号-1
ghs 京公网安备 11010802042870号
Book学术文献互助
Book学术文献互助群
群 号:604180095
Book学术官方微信