热消融治疗肝细胞癌肺少转移:初步经验和回顾性研究。

IF 3.5 2区 医学 Q2 ONCOLOGY
Rongna Hou, Xueliang Zhou, Yipu Li, Yamin Qin, Mengyao Song, Chengzhi Zhang, Zhanguo Sun, Dechao Jiao
{"title":"热消融治疗肝细胞癌肺少转移:初步经验和回顾性研究。","authors":"Rongna Hou, Xueliang Zhou, Yipu Li, Yamin Qin, Mengyao Song, Chengzhi Zhang, Zhanguo Sun, Dechao Jiao","doi":"10.1186/s40644-025-00896-8","DOIUrl":null,"url":null,"abstract":"<p><strong>Objective: </strong>To evaluate the long-term efficacy of thermal ablation in the treatment of pulmonary oligometastases (POs) from hepatocellular carcinoma (HCC) and to explore the prognosis-related influencing factors.</p><p><strong>Methods: </strong>From October 2012 to January 2019, 145 POs (mean diameter: 2.3 cm, ≤ 4 POs per patient) in 62 patients (male = 33, female = 29, mean age: 61.0 years old) with HCC were treated by thermal ablation. The primary endpoints were progression-free survival (PFS) and overall survival (OS), and the secondary endpoints were technical success, technical efficacy, and complications. PFS and OS were analyzed by the log-rank test and Cox proportional hazards regression models.</p><p><strong>Results: </strong>Technical success, technical efficacy and major complications were 100, 96.8, and 21%, respectively. During the median follow-up of 30 months (range: 16-50), the median PFS was 11.4 months (95% CI 10.1-12.8), the 1- and 2-year PFS rates were 43.5 and 10.2%, respectively, and radical treatments for primary HCC (P < 0.01), metachronous POs (P < 0.01) and initial Barcelona Clinic Liver Cancer (BCLC) stage 0-B (P < 0.05) were significant indicators of superior PFS. The mOS was 33.0 months (95% CI 26.9-39.1), and the 1-, 2- and 3-year OS rates were 98.4, 78.7% and 43.7%, respectively. Radical treatments for primary HCC (P < 0.01) and initial BCLC stage 0-B (P < 0.05) showed superior OS.</p><p><strong>Conclusion: </strong>POs ablation after primary HCC control is safe and effective, and initial BCLC stage evaluation and radical treatment strategies should be emphasized. This study has certain limitations, including the retrospective design, single-center data, selection bias and small sample size.</p>","PeriodicalId":9548,"journal":{"name":"Cancer Imaging","volume":"25 1","pages":"76"},"PeriodicalIF":3.5000,"publicationDate":"2025-06-18","publicationTypes":"Journal Article","fieldsOfStudy":null,"isOpenAccess":false,"openAccessPdf":"https://www.ncbi.nlm.nih.gov/pmc/articles/PMC12177983/pdf/","citationCount":"0","resultStr":"{\"title\":\"Thermal ablation for pulmonary oligometastases from hepatocellular carcinoma: initial experience and retrospective study.\",\"authors\":\"Rongna Hou, Xueliang Zhou, Yipu Li, Yamin Qin, Mengyao Song, Chengzhi Zhang, Zhanguo Sun, Dechao Jiao\",\"doi\":\"10.1186/s40644-025-00896-8\",\"DOIUrl\":null,\"url\":null,\"abstract\":\"<p><strong>Objective: </strong>To evaluate the long-term efficacy of thermal ablation in the treatment of pulmonary oligometastases (POs) from hepatocellular carcinoma (HCC) and to explore the prognosis-related influencing factors.</p><p><strong>Methods: </strong>From October 2012 to January 2019, 145 POs (mean diameter: 2.3 cm, ≤ 4 POs per patient) in 62 patients (male = 33, female = 29, mean age: 61.0 years old) with HCC were treated by thermal ablation. The primary endpoints were progression-free survival (PFS) and overall survival (OS), and the secondary endpoints were technical success, technical efficacy, and complications. PFS and OS were analyzed by the log-rank test and Cox proportional hazards regression models.</p><p><strong>Results: </strong>Technical success, technical efficacy and major complications were 100, 96.8, and 21%, respectively. During the median follow-up of 30 months (range: 16-50), the median PFS was 11.4 months (95% CI 10.1-12.8), the 1- and 2-year PFS rates were 43.5 and 10.2%, respectively, and radical treatments for primary HCC (P < 0.01), metachronous POs (P < 0.01) and initial Barcelona Clinic Liver Cancer (BCLC) stage 0-B (P < 0.05) were significant indicators of superior PFS. The mOS was 33.0 months (95% CI 26.9-39.1), and the 1-, 2- and 3-year OS rates were 98.4, 78.7% and 43.7%, respectively. Radical treatments for primary HCC (P < 0.01) and initial BCLC stage 0-B (P < 0.05) showed superior OS.</p><p><strong>Conclusion: </strong>POs ablation after primary HCC control is safe and effective, and initial BCLC stage evaluation and radical treatment strategies should be emphasized. This study has certain limitations, including the retrospective design, single-center data, selection bias and small sample size.</p>\",\"PeriodicalId\":9548,\"journal\":{\"name\":\"Cancer Imaging\",\"volume\":\"25 1\",\"pages\":\"76\"},\"PeriodicalIF\":3.5000,\"publicationDate\":\"2025-06-18\",\"publicationTypes\":\"Journal Article\",\"fieldsOfStudy\":null,\"isOpenAccess\":false,\"openAccessPdf\":\"https://www.ncbi.nlm.nih.gov/pmc/articles/PMC12177983/pdf/\",\"citationCount\":\"0\",\"resultStr\":null,\"platform\":\"Semanticscholar\",\"paperid\":null,\"PeriodicalName\":\"Cancer Imaging\",\"FirstCategoryId\":\"3\",\"ListUrlMain\":\"https://doi.org/10.1186/s40644-025-00896-8\",\"RegionNum\":2,\"RegionCategory\":\"医学\",\"ArticlePicture\":[],\"TitleCN\":null,\"AbstractTextCN\":null,\"PMCID\":null,\"EPubDate\":\"\",\"PubModel\":\"\",\"JCR\":\"Q2\",\"JCRName\":\"ONCOLOGY\",\"Score\":null,\"Total\":0}","platform":"Semanticscholar","paperid":null,"PeriodicalName":"Cancer Imaging","FirstCategoryId":"3","ListUrlMain":"https://doi.org/10.1186/s40644-025-00896-8","RegionNum":2,"RegionCategory":"医学","ArticlePicture":[],"TitleCN":null,"AbstractTextCN":null,"PMCID":null,"EPubDate":"","PubModel":"","JCR":"Q2","JCRName":"ONCOLOGY","Score":null,"Total":0}
引用次数: 0

摘要

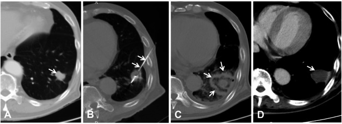
目的:评价热消融治疗肝细胞癌(HCC)肺少转移瘤(POs)的远期疗效,探讨影响预后的相关因素。方法:2012年10月至2019年1月,对62例HCC患者(男33例,女29例,平均年龄61.0岁)进行热消融治疗,治疗145个结节(平均直径2.3 cm,≤4个/例)。主要终点是无进展生存期(PFS)和总生存期(OS),次要终点是技术成功、技术疗效和并发症。采用log-rank检验和Cox比例风险回归模型分析PFS和OS。结果:技术成功率为100,技术有效率为96.8,主要并发症发生率为21%。在中位随访30个月(范围:16-50)期间,中位PFS为11.4个月(95% CI: 10.1-12.8), 1年和2年PFS率分别为43.5%和10.2%,原发性HCC的根治性治疗(P)结论:原发性HCC控制后的POs消融是安全有效的,应重视初始BCLC分期评估和根治性治疗策略。本研究存在回顾性设计、单中心数据、选择偏倚、样本量小等局限性。
本文章由计算机程序翻译,如有差异,请以英文原文为准。

Thermal ablation for pulmonary oligometastases from hepatocellular carcinoma: initial experience and retrospective study.

Thermal ablation for pulmonary oligometastases from hepatocellular carcinoma: initial experience and retrospective study.

Thermal ablation for pulmonary oligometastases from hepatocellular carcinoma: initial experience and retrospective study.

Thermal ablation for pulmonary oligometastases from hepatocellular carcinoma: initial experience and retrospective study.

Objective: To evaluate the long-term efficacy of thermal ablation in the treatment of pulmonary oligometastases (POs) from hepatocellular carcinoma (HCC) and to explore the prognosis-related influencing factors.

Methods: From October 2012 to January 2019, 145 POs (mean diameter: 2.3 cm, ≤ 4 POs per patient) in 62 patients (male = 33, female = 29, mean age: 61.0 years old) with HCC were treated by thermal ablation. The primary endpoints were progression-free survival (PFS) and overall survival (OS), and the secondary endpoints were technical success, technical efficacy, and complications. PFS and OS were analyzed by the log-rank test and Cox proportional hazards regression models.

Results: Technical success, technical efficacy and major complications were 100, 96.8, and 21%, respectively. During the median follow-up of 30 months (range: 16-50), the median PFS was 11.4 months (95% CI 10.1-12.8), the 1- and 2-year PFS rates were 43.5 and 10.2%, respectively, and radical treatments for primary HCC (P < 0.01), metachronous POs (P < 0.01) and initial Barcelona Clinic Liver Cancer (BCLC) stage 0-B (P < 0.05) were significant indicators of superior PFS. The mOS was 33.0 months (95% CI 26.9-39.1), and the 1-, 2- and 3-year OS rates were 98.4, 78.7% and 43.7%, respectively. Radical treatments for primary HCC (P < 0.01) and initial BCLC stage 0-B (P < 0.05) showed superior OS.

Conclusion: POs ablation after primary HCC control is safe and effective, and initial BCLC stage evaluation and radical treatment strategies should be emphasized. This study has certain limitations, including the retrospective design, single-center data, selection bias and small sample size.

求助全文
通过发布文献求助,成功后即可免费获取论文全文。 去求助
来源期刊
Cancer Imaging
Cancer Imaging ONCOLOGY-RADIOLOGY, NUCLEAR MEDICINE & MEDICAL IMAGING
CiteScore
7.00
自引率
0.00%
发文量
66
审稿时长
>12 weeks
期刊介绍: Cancer Imaging is an open access, peer-reviewed journal publishing original articles, reviews and editorials written by expert international radiologists working in oncology. The journal encompasses CT, MR, PET, ultrasound, radionuclide and multimodal imaging in all kinds of malignant tumours, plus new developments, techniques and innovations. Topics of interest include: Breast Imaging Chest Complications of treatment Ear, Nose & Throat Gastrointestinal Hepatobiliary & Pancreatic Imaging biomarkers Interventional Lymphoma Measurement of tumour response Molecular functional imaging Musculoskeletal Neuro oncology Nuclear Medicine Paediatric.
×
引用
GB/T 7714-2015
复制
MLA
复制
APA
复制
导出至
BibTeX EndNote RefMan NoteFirst NoteExpress
×
提示
您的信息不完整,为了账户安全,请先补充。
现在去补充
×
提示
您因"违规操作"
具体请查看互助需知
我知道了
×
提示
确定
请完成安全验证×
copy
已复制链接
快去分享给好友吧!
我知道了
右上角分享
点击右上角分享
0
联系我们:info@booksci.cn Book学术提供免费学术资源搜索服务,方便国内外学者检索中英文文献。致力于提供最便捷和优质的服务体验。 Copyright © 2023 布克学术 All rights reserved.
京ICP备2023020795号-1
ghs 京公网安备 11010802042870号
Book学术文献互助
Book学术文献互助群
群 号:604180095
Book学术官方微信