脊髓刺激治疗腹部弥漫性内脏痛觉过敏1例报告及文献复习。

IF 0.6 Q4 GASTROENTEROLOGY & HEPATOLOGY
Case Reports in Gastroenterology Pub Date : 2025-06-18 eCollection Date: 2025-01-01 DOI:10.1159/000546229
James Mamaril-Davis, Ryan Palsma, Martin Weinand
{"title":"脊髓刺激治疗腹部弥漫性内脏痛觉过敏1例报告及文献复习。","authors":"James Mamaril-Davis, Ryan Palsma, Martin Weinand","doi":"10.1159/000546229","DOIUrl":null,"url":null,"abstract":"<p><strong>Introduction: </strong>Spinal cord stimulation (SCS) for chronic abdominal pain is not novel. However, this has been explored only when the pain has a clear dermatomal association such as the right upper quadrant for sphincter of Oddi dysfunction or the left upper quadrant for post-traumatic splenectomy. The present report thereby discusses the utility of SCS when the visceral pain is diffusely distributed across all four quadrants of the abdomen.</p><p><strong>Case presentation: </strong>A patient in their 70s presented with a 30-year history of chronic abdominal pain diffusely located in all four quadrants. The patient had a pancreatic cyst removed via pancreaticoduodenectomy in 1991 complicated by chronic pancreatitis and visceral hyperalgesia. After failed pharmacological management and various outpatient nerve blocks and trigger point injections, the patient underwent SCS placement via five 4-contact paddle leads at the mid- to superior thoracic 7 level. At 1-month follow-up, the patient's visual analog scale score decreased from 8/10 (prior to implantation) to 0/10. The patient also discontinued his chronic opioid regimen post-SCS placement but continued duloxetine. Device settings remained the same throughout the postoperative period: pulse width of 500 microseconds (inter-burst) and 1,000 microseconds, frequency of 40 Hertz, and current of 1.7 milliamperes. At 12-month follow-up, the patient continued to report >90% pain relief at nearly the same SCS settings as the initial programming.</p><p><strong>Conclusion: </strong>SCS may be a reliable treatment option for chronic abdominal, visceral hyperalgesia when the pain is diffusely located in all 4 quadrants and without a clear dermatomal pattern.</p>","PeriodicalId":9614,"journal":{"name":"Case Reports in Gastroenterology","volume":"19 1","pages":"461-466"},"PeriodicalIF":0.6000,"publicationDate":"2025-06-18","publicationTypes":"Journal Article","fieldsOfStudy":null,"isOpenAccess":false,"openAccessPdf":"https://www.ncbi.nlm.nih.gov/pmc/articles/PMC12176363/pdf/","citationCount":"0","resultStr":"{\"title\":\"Spinal Cord Stimulation for Diffuse Visceral Hyperalgesia in the Abdomen: A Case Report and Literature Review.\",\"authors\":\"James Mamaril-Davis, Ryan Palsma, Martin Weinand\",\"doi\":\"10.1159/000546229\",\"DOIUrl\":null,\"url\":null,\"abstract\":\"<p><strong>Introduction: </strong>Spinal cord stimulation (SCS) for chronic abdominal pain is not novel. However, this has been explored only when the pain has a clear dermatomal association such as the right upper quadrant for sphincter of Oddi dysfunction or the left upper quadrant for post-traumatic splenectomy. The present report thereby discusses the utility of SCS when the visceral pain is diffusely distributed across all four quadrants of the abdomen.</p><p><strong>Case presentation: </strong>A patient in their 70s presented with a 30-year history of chronic abdominal pain diffusely located in all four quadrants. The patient had a pancreatic cyst removed via pancreaticoduodenectomy in 1991 complicated by chronic pancreatitis and visceral hyperalgesia. After failed pharmacological management and various outpatient nerve blocks and trigger point injections, the patient underwent SCS placement via five 4-contact paddle leads at the mid- to superior thoracic 7 level. At 1-month follow-up, the patient's visual analog scale score decreased from 8/10 (prior to implantation) to 0/10. The patient also discontinued his chronic opioid regimen post-SCS placement but continued duloxetine. Device settings remained the same throughout the postoperative period: pulse width of 500 microseconds (inter-burst) and 1,000 microseconds, frequency of 40 Hertz, and current of 1.7 milliamperes. At 12-month follow-up, the patient continued to report >90% pain relief at nearly the same SCS settings as the initial programming.</p><p><strong>Conclusion: </strong>SCS may be a reliable treatment option for chronic abdominal, visceral hyperalgesia when the pain is diffusely located in all 4 quadrants and without a clear dermatomal pattern.</p>\",\"PeriodicalId\":9614,\"journal\":{\"name\":\"Case Reports in Gastroenterology\",\"volume\":\"19 1\",\"pages\":\"461-466\"},\"PeriodicalIF\":0.6000,\"publicationDate\":\"2025-06-18\",\"publicationTypes\":\"Journal Article\",\"fieldsOfStudy\":null,\"isOpenAccess\":false,\"openAccessPdf\":\"https://www.ncbi.nlm.nih.gov/pmc/articles/PMC12176363/pdf/\",\"citationCount\":\"0\",\"resultStr\":null,\"platform\":\"Semanticscholar\",\"paperid\":null,\"PeriodicalName\":\"Case Reports in Gastroenterology\",\"FirstCategoryId\":\"1085\",\"ListUrlMain\":\"https://doi.org/10.1159/000546229\",\"RegionNum\":0,\"RegionCategory\":null,\"ArticlePicture\":[],\"TitleCN\":null,\"AbstractTextCN\":null,\"PMCID\":null,\"EPubDate\":\"2025/1/1 0:00:00\",\"PubModel\":\"eCollection\",\"JCR\":\"Q4\",\"JCRName\":\"GASTROENTEROLOGY & HEPATOLOGY\",\"Score\":null,\"Total\":0}","platform":"Semanticscholar","paperid":null,"PeriodicalName":"Case Reports in Gastroenterology","FirstCategoryId":"1085","ListUrlMain":"https://doi.org/10.1159/000546229","RegionNum":0,"RegionCategory":null,"ArticlePicture":[],"TitleCN":null,"AbstractTextCN":null,"PMCID":null,"EPubDate":"2025/1/1 0:00:00","PubModel":"eCollection","JCR":"Q4","JCRName":"GASTROENTEROLOGY & HEPATOLOGY","Score":null,"Total":0}
引用次数: 0

摘要

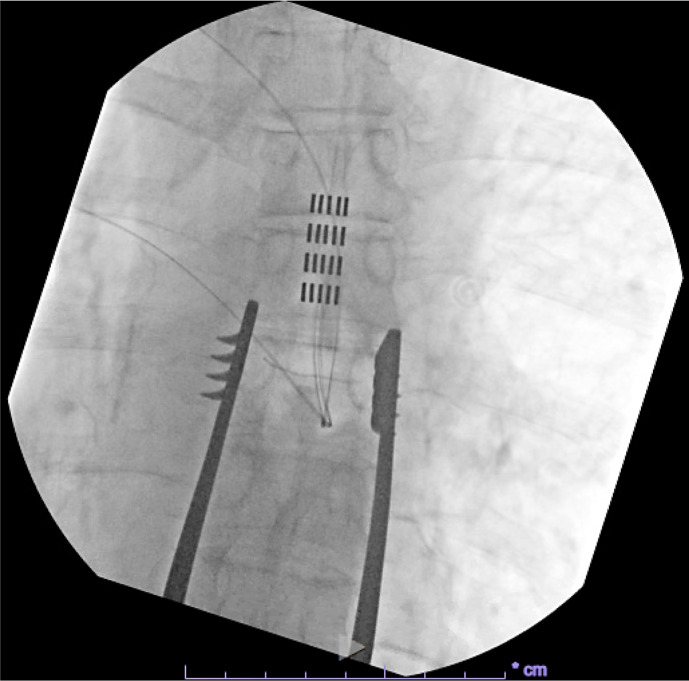
脊髓刺激(SCS)治疗慢性腹痛并不新鲜。然而,只有当疼痛与皮肤有明确的联系时,如Oddi括约肌功能障碍的右上象限或创伤性脾切除术后的左上象限,才会进行研究。因此,本报告讨论了当内脏疼痛弥漫性分布在腹部的所有四个象限时,SCS的效用。病例介绍:一个70多岁的病人,有30年的慢性腹痛史,弥漫性分布在所有四个象限。患者于1991年经胰十二指肠切除术切除胰腺囊肿,并发慢性胰腺炎和内脏痛觉过敏。在药物治疗和各种门诊神经阻滞和触发点注射失败后,患者通过5个4接触桨导联在胸椎中段至上段放置SCS。在1个月的随访中,患者的视觉模拟评分从8/10(植入前)下降到0/10。患者在植入scs后也停止了他的慢性阿片类药物治疗,但继续使用度洛西汀。设备设置在整个术后期间保持不变:脉冲宽度为500微秒(爆发间)和1000微秒,频率为40赫兹,电流为1.7毫安。在12个月的随访中,患者继续报告在与初始程序几乎相同的SCS设置下疼痛缓解了90%。结论:当疼痛弥漫性分布于所有四个象限且没有明确的皮肤模式时,SCS可能是慢性腹部内脏痛觉过敏的可靠治疗选择。
本文章由计算机程序翻译,如有差异,请以英文原文为准。

Spinal Cord Stimulation for Diffuse Visceral Hyperalgesia in the Abdomen: A Case Report and Literature Review.

Spinal Cord Stimulation for Diffuse Visceral Hyperalgesia in the Abdomen: A Case Report and Literature Review.

Introduction: Spinal cord stimulation (SCS) for chronic abdominal pain is not novel. However, this has been explored only when the pain has a clear dermatomal association such as the right upper quadrant for sphincter of Oddi dysfunction or the left upper quadrant for post-traumatic splenectomy. The present report thereby discusses the utility of SCS when the visceral pain is diffusely distributed across all four quadrants of the abdomen.

Case presentation: A patient in their 70s presented with a 30-year history of chronic abdominal pain diffusely located in all four quadrants. The patient had a pancreatic cyst removed via pancreaticoduodenectomy in 1991 complicated by chronic pancreatitis and visceral hyperalgesia. After failed pharmacological management and various outpatient nerve blocks and trigger point injections, the patient underwent SCS placement via five 4-contact paddle leads at the mid- to superior thoracic 7 level. At 1-month follow-up, the patient's visual analog scale score decreased from 8/10 (prior to implantation) to 0/10. The patient also discontinued his chronic opioid regimen post-SCS placement but continued duloxetine. Device settings remained the same throughout the postoperative period: pulse width of 500 microseconds (inter-burst) and 1,000 microseconds, frequency of 40 Hertz, and current of 1.7 milliamperes. At 12-month follow-up, the patient continued to report >90% pain relief at nearly the same SCS settings as the initial programming.

Conclusion: SCS may be a reliable treatment option for chronic abdominal, visceral hyperalgesia when the pain is diffusely located in all 4 quadrants and without a clear dermatomal pattern.

求助全文
通过发布文献求助,成功后即可免费获取论文全文。 去求助
来源期刊
Case Reports in Gastroenterology
Case Reports in Gastroenterology Medicine-Gastroenterology
CiteScore
1.10
自引率
0.00%
发文量
99
审稿时长
7 weeks
期刊介绍:
×
引用
GB/T 7714-2015
复制
MLA
复制
APA
复制
导出至
BibTeX EndNote RefMan NoteFirst NoteExpress
×
提示
您的信息不完整,为了账户安全,请先补充。
现在去补充
×
提示
您因"违规操作"
具体请查看互助需知
我知道了
×
提示
确定
请完成安全验证×
copy
已复制链接
快去分享给好友吧!
我知道了
右上角分享
点击右上角分享
0
联系我们:info@booksci.cn Book学术提供免费学术资源搜索服务,方便国内外学者检索中英文文献。致力于提供最便捷和优质的服务体验。 Copyright © 2023 布克学术 All rights reserved.
京ICP备2023020795号-1
ghs 京公网安备 11010802042870号
Book学术文献互助
Book学术文献互助群
群 号:604180095
Book学术官方微信