超临界技术及不同预处理在猪耳软骨绿色脱细胞组织工程中的应用

IF 5.5 2区 医学 Q2 MATERIALS SCIENCE, BIOMATERIALS
Victor M. de Souza, Carolina C. Zuliani, Jéssica B. da Cunha, Juliana Carron, Carmen S. P. Lima, Ibsen B. Coimbra, Paulo T. V. Rosa and Ângela M. Moraes*, 
{"title":"超临界技术及不同预处理在猪耳软骨绿色脱细胞组织工程中的应用","authors":"Victor M. de Souza,&nbsp;Carolina C. Zuliani,&nbsp;Jéssica B. da Cunha,&nbsp;Juliana Carron,&nbsp;Carmen S. P. Lima,&nbsp;Ibsen B. Coimbra,&nbsp;Paulo T. V. Rosa and Ângela M. Moraes*,&nbsp;","doi":"10.1021/acsbiomaterials.4c02155","DOIUrl":null,"url":null,"abstract":"<p >Scaffolds for tissue engineering can be obtained from synthetic or natural materials, with decellularized tissues being particularly attractive. Among these, porcine auricular cartilage is of special interest because of its availability, similarity to the human extracellular matrix (ECM), and cost-effectiveness. Decellularization of animal tissues yields extracellular matrices (ECM) rich in collagen, elastin, and glycosaminoglycans (GAGs), which are essential for providing mechanical support and creating a favorable environment for cell adhesion and tissue development. Traditional decellularization methods that rely on surfactants, such as sodium dodecyl sulfate (SDS), can have drawbacks, including protein denaturation, cytotoxic effects, the need for extensive washing, and the production of hazardous effluents. Alternative approaches involving the use of supercritical CO<sub>2</sub> (scCO<sub>2</sub>) combined with cosolvents and preceded by specific tissue pretreatments have the potential to minimize ECM degradation, reduce effluent production, and allow for the recycling of CO<sub>2</sub>, thus lowering the overall carbon footprint. In this study, the decellularization of porcine auricular cartilage was investigated using osmotic shock and freeze–thaw pretreatments, followed by exposure to scCO<sub>2</sub> combined with either butanol or ethanol. For comparison, traditional SDS decellularization was also performed. The decellularized tissues were assessed based on ECM structure, cell removal efficiency, and mechanical properties through histological analysis, DNA quantification, and mechanical compression testing. The results showed that none of the treatments fully decellularized the cartilage, likely due to the tissue’s high GAG content. However, the combination of freeze–thaw cycles followed by scCO<sub>2</sub> treatment with butanol yielded the most favorable results, preserving the mechanical properties of the cartilage while minimizing ECM degradation.</p>","PeriodicalId":8,"journal":{"name":"ACS Biomaterials Science & Engineering","volume":"11 7","pages":"4293–4304"},"PeriodicalIF":5.5000,"publicationDate":"2025-06-19","publicationTypes":"Journal Article","fieldsOfStudy":null,"isOpenAccess":false,"openAccessPdf":"https://www.ncbi.nlm.nih.gov/pmc/articles/PMC12264865/pdf/","citationCount":"0","resultStr":"{\"title\":\"Greener Decellularization of Porcine Auricular Cartilage Using Supercritical Technology and Different Pretreatments for Application in Tissue Engineering\",\"authors\":\"Victor M. de Souza,&nbsp;Carolina C. Zuliani,&nbsp;Jéssica B. da Cunha,&nbsp;Juliana Carron,&nbsp;Carmen S. P. Lima,&nbsp;Ibsen B. Coimbra,&nbsp;Paulo T. V. Rosa and Ângela M. Moraes*,&nbsp;\",\"doi\":\"10.1021/acsbiomaterials.4c02155\",\"DOIUrl\":null,\"url\":null,\"abstract\":\"<p >Scaffolds for tissue engineering can be obtained from synthetic or natural materials, with decellularized tissues being particularly attractive. Among these, porcine auricular cartilage is of special interest because of its availability, similarity to the human extracellular matrix (ECM), and cost-effectiveness. Decellularization of animal tissues yields extracellular matrices (ECM) rich in collagen, elastin, and glycosaminoglycans (GAGs), which are essential for providing mechanical support and creating a favorable environment for cell adhesion and tissue development. Traditional decellularization methods that rely on surfactants, such as sodium dodecyl sulfate (SDS), can have drawbacks, including protein denaturation, cytotoxic effects, the need for extensive washing, and the production of hazardous effluents. Alternative approaches involving the use of supercritical CO<sub>2</sub> (scCO<sub>2</sub>) combined with cosolvents and preceded by specific tissue pretreatments have the potential to minimize ECM degradation, reduce effluent production, and allow for the recycling of CO<sub>2</sub>, thus lowering the overall carbon footprint. In this study, the decellularization of porcine auricular cartilage was investigated using osmotic shock and freeze–thaw pretreatments, followed by exposure to scCO<sub>2</sub> combined with either butanol or ethanol. For comparison, traditional SDS decellularization was also performed. The decellularized tissues were assessed based on ECM structure, cell removal efficiency, and mechanical properties through histological analysis, DNA quantification, and mechanical compression testing. The results showed that none of the treatments fully decellularized the cartilage, likely due to the tissue’s high GAG content. However, the combination of freeze–thaw cycles followed by scCO<sub>2</sub> treatment with butanol yielded the most favorable results, preserving the mechanical properties of the cartilage while minimizing ECM degradation.</p>\",\"PeriodicalId\":8,\"journal\":{\"name\":\"ACS Biomaterials Science & Engineering\",\"volume\":\"11 7\",\"pages\":\"4293–4304\"},\"PeriodicalIF\":5.5000,\"publicationDate\":\"2025-06-19\",\"publicationTypes\":\"Journal Article\",\"fieldsOfStudy\":null,\"isOpenAccess\":false,\"openAccessPdf\":\"https://www.ncbi.nlm.nih.gov/pmc/articles/PMC12264865/pdf/\",\"citationCount\":\"0\",\"resultStr\":null,\"platform\":\"Semanticscholar\",\"paperid\":null,\"PeriodicalName\":\"ACS Biomaterials Science & Engineering\",\"FirstCategoryId\":\"5\",\"ListUrlMain\":\"https://pubs.acs.org/doi/10.1021/acsbiomaterials.4c02155\",\"RegionNum\":2,\"RegionCategory\":\"医学\",\"ArticlePicture\":[],\"TitleCN\":null,\"AbstractTextCN\":null,\"PMCID\":null,\"EPubDate\":\"\",\"PubModel\":\"\",\"JCR\":\"Q2\",\"JCRName\":\"MATERIALS SCIENCE, BIOMATERIALS\",\"Score\":null,\"Total\":0}","platform":"Semanticscholar","paperid":null,"PeriodicalName":"ACS Biomaterials Science & Engineering","FirstCategoryId":"5","ListUrlMain":"https://pubs.acs.org/doi/10.1021/acsbiomaterials.4c02155","RegionNum":2,"RegionCategory":"医学","ArticlePicture":[],"TitleCN":null,"AbstractTextCN":null,"PMCID":null,"EPubDate":"","PubModel":"","JCR":"Q2","JCRName":"MATERIALS SCIENCE, BIOMATERIALS","Score":null,"Total":0}
引用次数: 0

摘要

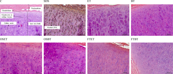
组织工程的支架可以从合成材料或天然材料中获得,脱细胞组织尤其具有吸引力。其中,猪耳软骨因其可获得性、与人类细胞外基质(ECM)的相似性和成本效益而受到特别关注。动物组织的脱细胞作用产生了富含胶原蛋白、弹性蛋白和糖胺聚糖(GAGs)的细胞外基质(ECM),这对于提供机械支持和创造细胞粘附和组织发育的有利环境至关重要。传统的脱细胞方法依赖于表面活性剂,如十二烷基硫酸钠(SDS),可能有缺点,包括蛋白质变性、细胞毒性作用、需要大量洗涤和产生有害废水。使用超临界CO2 (scCO2)与助溶剂结合,并在特定组织预处理之前进行替代方法,有可能最大限度地减少ECM降解,减少废水产生,并允许二氧化碳的回收,从而降低总体碳足迹。在本研究中,采用渗透休克和冻融预处理,然后暴露于scCO2与丁醇或乙醇混合的条件下,研究了猪耳软骨的脱细胞作用。为了进行比较,也进行了传统的SDS脱细胞。通过组织学分析、DNA定量和力学压缩测试,评估脱细胞组织的ECM结构、细胞去除效率和力学性能。结果显示,没有任何一种治疗方法能完全使软骨脱细胞,这可能是由于组织中的GAG含量很高。然而,冻融循环结合scCO2与丁醇处理产生了最有利的结果,保留了软骨的力学性能,同时最大限度地减少了ECM的降解。
本文章由计算机程序翻译,如有差异,请以英文原文为准。

Greener Decellularization of Porcine Auricular Cartilage Using Supercritical Technology and Different Pretreatments for Application in Tissue Engineering

Greener Decellularization of Porcine Auricular Cartilage Using Supercritical Technology and Different Pretreatments for Application in Tissue Engineering

Greener Decellularization of Porcine Auricular Cartilage Using Supercritical Technology and Different Pretreatments for Application in Tissue Engineering

Greener Decellularization of Porcine Auricular Cartilage Using Supercritical Technology and Different Pretreatments for Application in Tissue Engineering

Scaffolds for tissue engineering can be obtained from synthetic or natural materials, with decellularized tissues being particularly attractive. Among these, porcine auricular cartilage is of special interest because of its availability, similarity to the human extracellular matrix (ECM), and cost-effectiveness. Decellularization of animal tissues yields extracellular matrices (ECM) rich in collagen, elastin, and glycosaminoglycans (GAGs), which are essential for providing mechanical support and creating a favorable environment for cell adhesion and tissue development. Traditional decellularization methods that rely on surfactants, such as sodium dodecyl sulfate (SDS), can have drawbacks, including protein denaturation, cytotoxic effects, the need for extensive washing, and the production of hazardous effluents. Alternative approaches involving the use of supercritical CO2 (scCO2) combined with cosolvents and preceded by specific tissue pretreatments have the potential to minimize ECM degradation, reduce effluent production, and allow for the recycling of CO2, thus lowering the overall carbon footprint. In this study, the decellularization of porcine auricular cartilage was investigated using osmotic shock and freeze–thaw pretreatments, followed by exposure to scCO2 combined with either butanol or ethanol. For comparison, traditional SDS decellularization was also performed. The decellularized tissues were assessed based on ECM structure, cell removal efficiency, and mechanical properties through histological analysis, DNA quantification, and mechanical compression testing. The results showed that none of the treatments fully decellularized the cartilage, likely due to the tissue’s high GAG content. However, the combination of freeze–thaw cycles followed by scCO2 treatment with butanol yielded the most favorable results, preserving the mechanical properties of the cartilage while minimizing ECM degradation.

求助全文
通过发布文献求助,成功后即可免费获取论文全文。 去求助
来源期刊
ACS Biomaterials Science & Engineering
ACS Biomaterials Science & Engineering Materials Science-Biomaterials
CiteScore
10.30
自引率
3.40%
发文量
413
期刊介绍: ACS Biomaterials Science & Engineering is the leading journal in the field of biomaterials, serving as an international forum for publishing cutting-edge research and innovative ideas on a broad range of topics: Applications and Health – implantable tissues and devices, prosthesis, health risks, toxicology Bio-interactions and Bio-compatibility – material-biology interactions, chemical/morphological/structural communication, mechanobiology, signaling and biological responses, immuno-engineering, calcification, coatings, corrosion and degradation of biomaterials and devices, biophysical regulation of cell functions Characterization, Synthesis, and Modification – new biomaterials, bioinspired and biomimetic approaches to biomaterials, exploiting structural hierarchy and architectural control, combinatorial strategies for biomaterials discovery, genetic biomaterials design, synthetic biology, new composite systems, bionics, polymer synthesis Controlled Release and Delivery Systems – biomaterial-based drug and gene delivery, bio-responsive delivery of regulatory molecules, pharmaceutical engineering Healthcare Advances – clinical translation, regulatory issues, patient safety, emerging trends Imaging and Diagnostics – imaging agents and probes, theranostics, biosensors, monitoring Manufacturing and Technology – 3D printing, inks, organ-on-a-chip, bioreactor/perfusion systems, microdevices, BioMEMS, optics and electronics interfaces with biomaterials, systems integration Modeling and Informatics Tools – scaling methods to guide biomaterial design, predictive algorithms for structure-function, biomechanics, integrating bioinformatics with biomaterials discovery, metabolomics in the context of biomaterials Tissue Engineering and Regenerative Medicine – basic and applied studies, cell therapies, scaffolds, vascularization, bioartificial organs, transplantation and functionality, cellular agriculture
×
引用
GB/T 7714-2015
复制
MLA
复制
APA
复制
导出至
BibTeX EndNote RefMan NoteFirst NoteExpress
×
提示
您的信息不完整,为了账户安全,请先补充。
现在去补充
×
提示
您因"违规操作"
具体请查看互助需知
我知道了
×
提示
确定
请完成安全验证×
copy
已复制链接
快去分享给好友吧!
我知道了
右上角分享
点击右上角分享
0
联系我们:info@booksci.cn Book学术提供免费学术资源搜索服务,方便国内外学者检索中英文文献。致力于提供最便捷和优质的服务体验。 Copyright © 2023 布克学术 All rights reserved.
京ICP备2023020795号-1
ghs 京公网安备 11010802042870号
Book学术文献互助
Book学术文献互助群
群 号:604180095
Book学术官方微信