罕见颞下颌关节囊肿颅内延伸的治疗:病例系列及文献回顾。

IF 0.7 Q4 CLINICAL NEUROLOGY
Journal of Neurological Surgery Reports Pub Date : 2025-06-17 eCollection Date: 2025-04-01 DOI:10.1055/a-2620-3584
Lindsey Jackson, Jacob Poynter, Maryam Rahman, Tara Massini, Si Chen
{"title":"罕见颞下颌关节囊肿颅内延伸的治疗:病例系列及文献回顾。","authors":"Lindsey Jackson, Jacob Poynter, Maryam Rahman, Tara Massini, Si Chen","doi":"10.1055/a-2620-3584","DOIUrl":null,"url":null,"abstract":"<p><strong>Introduction: </strong>Temporomandibular joint (TMJ) cysts extending through the skull base into the middle cranial fossa (MCF) are rare, with limited data on clinical progression and treatment. This study retrospectively analyzed three cases of TMJ cysts with MCF extension managed by a multidisciplinary team. Clinical presentation, imaging, surgical resection, outcomes, and a literature review are presented.</p><p><strong>Case presentations: </strong>Three patients presenting with otalgia and TMJ tenderness were found to have intracranial cysts communicating with the TMJ. Two patients had been transferred with suspected intracranial abscesses; one presented for workup of headache and trigeminal neuralgia. All three demonstrated elevation of inflammatory markers. Two patients had TMJ aspiration, notable for leukocytosis and crystalline deposition, another had frank purulence. One patient demonstrated pneumocephalus within the cyst on imaging. The intracranial cysts ranged from 1.2 to 3.3 cm in maximum diameter, with their bony defects ranging from <1 to 4 mm. Two patients underwent craniotomy, cyst resection, and repair of the middle fossa defect, while the third opted for observation. Pathology of the white gelatinous fluid within the two resected growths demonstrated benign cysts.</p><p><strong>Conclusion: </strong>TMJ cysts with intracranial extension, while rare, require careful differentiation from intracranial abscesses. Surgical urgency may be indicated in cases demonstrating clinical signs of infection. Additionally, TMJ cysts with intracranial extension benefit from surgical removal and skull base repair to relieve symptoms and prevent future complications.</p>","PeriodicalId":44256,"journal":{"name":"Journal of Neurological Surgery Reports","volume":"86 2","pages":"e127-e132"},"PeriodicalIF":0.7000,"publicationDate":"2025-06-17","publicationTypes":"Journal Article","fieldsOfStudy":null,"isOpenAccess":false,"openAccessPdf":"https://www.ncbi.nlm.nih.gov/pmc/articles/PMC12173542/pdf/","citationCount":"0","resultStr":"{\"title\":\"Management of Rare Temporomandibular Joint Cysts with Intracranial Extension: A Case Series and Literature Review.\",\"authors\":\"Lindsey Jackson, Jacob Poynter, Maryam Rahman, Tara Massini, Si Chen\",\"doi\":\"10.1055/a-2620-3584\",\"DOIUrl\":null,\"url\":null,\"abstract\":\"<p><strong>Introduction: </strong>Temporomandibular joint (TMJ) cysts extending through the skull base into the middle cranial fossa (MCF) are rare, with limited data on clinical progression and treatment. This study retrospectively analyzed three cases of TMJ cysts with MCF extension managed by a multidisciplinary team. Clinical presentation, imaging, surgical resection, outcomes, and a literature review are presented.</p><p><strong>Case presentations: </strong>Three patients presenting with otalgia and TMJ tenderness were found to have intracranial cysts communicating with the TMJ. Two patients had been transferred with suspected intracranial abscesses; one presented for workup of headache and trigeminal neuralgia. All three demonstrated elevation of inflammatory markers. Two patients had TMJ aspiration, notable for leukocytosis and crystalline deposition, another had frank purulence. One patient demonstrated pneumocephalus within the cyst on imaging. The intracranial cysts ranged from 1.2 to 3.3 cm in maximum diameter, with their bony defects ranging from <1 to 4 mm. Two patients underwent craniotomy, cyst resection, and repair of the middle fossa defect, while the third opted for observation. Pathology of the white gelatinous fluid within the two resected growths demonstrated benign cysts.</p><p><strong>Conclusion: </strong>TMJ cysts with intracranial extension, while rare, require careful differentiation from intracranial abscesses. Surgical urgency may be indicated in cases demonstrating clinical signs of infection. Additionally, TMJ cysts with intracranial extension benefit from surgical removal and skull base repair to relieve symptoms and prevent future complications.</p>\",\"PeriodicalId\":44256,\"journal\":{\"name\":\"Journal of Neurological Surgery Reports\",\"volume\":\"86 2\",\"pages\":\"e127-e132\"},\"PeriodicalIF\":0.7000,\"publicationDate\":\"2025-06-17\",\"publicationTypes\":\"Journal Article\",\"fieldsOfStudy\":null,\"isOpenAccess\":false,\"openAccessPdf\":\"https://www.ncbi.nlm.nih.gov/pmc/articles/PMC12173542/pdf/\",\"citationCount\":\"0\",\"resultStr\":null,\"platform\":\"Semanticscholar\",\"paperid\":null,\"PeriodicalName\":\"Journal of Neurological Surgery Reports\",\"FirstCategoryId\":\"1085\",\"ListUrlMain\":\"https://doi.org/10.1055/a-2620-3584\",\"RegionNum\":0,\"RegionCategory\":null,\"ArticlePicture\":[],\"TitleCN\":null,\"AbstractTextCN\":null,\"PMCID\":null,\"EPubDate\":\"2025/4/1 0:00:00\",\"PubModel\":\"eCollection\",\"JCR\":\"Q4\",\"JCRName\":\"CLINICAL NEUROLOGY\",\"Score\":null,\"Total\":0}","platform":"Semanticscholar","paperid":null,"PeriodicalName":"Journal of Neurological Surgery Reports","FirstCategoryId":"1085","ListUrlMain":"https://doi.org/10.1055/a-2620-3584","RegionNum":0,"RegionCategory":null,"ArticlePicture":[],"TitleCN":null,"AbstractTextCN":null,"PMCID":null,"EPubDate":"2025/4/1 0:00:00","PubModel":"eCollection","JCR":"Q4","JCRName":"CLINICAL NEUROLOGY","Score":null,"Total":0}
引用次数: 0

摘要

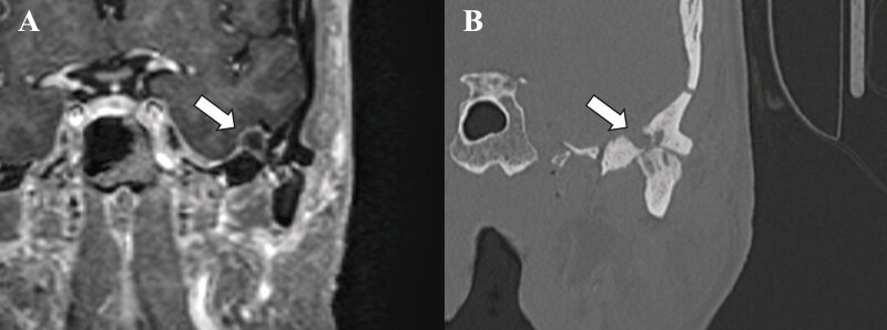
颞下颌关节(TMJ)囊肿通过颅底延伸到中颅窝(MCF)是罕见的,临床进展和治疗数据有限。本研究回顾性分析了由多学科团队治疗的3例伴有MCF扩展的TMJ囊肿。临床表现,影像学,手术切除,结果,并提出了文献综述。病例介绍:3例患者表现为耳痛和颞下颌关节压痛,发现颅内囊肿与颞下颌关节相通。2例患者因疑似颅内脓肿转诊;1例因头痛和三叉神经痛就诊。三人均表现出炎症标志物升高。2例患者有颞下颌关节误吸,明显有白细胞增多和结晶沉积,另1例有明显脓毒。1例患者在影像学上表现为囊肿内气脑。颅内囊肿最大直径为1.2 ~ 3.3 cm,骨缺损范围为:结论:颞下颌关节囊肿伴颅内延伸,虽罕见,但需与颅内脓肿鉴别。在出现感染临床症状的病例中,可能需要紧急手术。此外,伴有颅内扩张的TMJ囊肿可通过手术切除和颅底修复来缓解症状并预防未来的并发症。
本文章由计算机程序翻译,如有差异,请以英文原文为准。

Management of Rare Temporomandibular Joint Cysts with Intracranial Extension: A Case Series and Literature Review.

Management of Rare Temporomandibular Joint Cysts with Intracranial Extension: A Case Series and Literature Review.

Management of Rare Temporomandibular Joint Cysts with Intracranial Extension: A Case Series and Literature Review.

Management of Rare Temporomandibular Joint Cysts with Intracranial Extension: A Case Series and Literature Review.

Introduction: Temporomandibular joint (TMJ) cysts extending through the skull base into the middle cranial fossa (MCF) are rare, with limited data on clinical progression and treatment. This study retrospectively analyzed three cases of TMJ cysts with MCF extension managed by a multidisciplinary team. Clinical presentation, imaging, surgical resection, outcomes, and a literature review are presented.

Case presentations: Three patients presenting with otalgia and TMJ tenderness were found to have intracranial cysts communicating with the TMJ. Two patients had been transferred with suspected intracranial abscesses; one presented for workup of headache and trigeminal neuralgia. All three demonstrated elevation of inflammatory markers. Two patients had TMJ aspiration, notable for leukocytosis and crystalline deposition, another had frank purulence. One patient demonstrated pneumocephalus within the cyst on imaging. The intracranial cysts ranged from 1.2 to 3.3 cm in maximum diameter, with their bony defects ranging from <1 to 4 mm. Two patients underwent craniotomy, cyst resection, and repair of the middle fossa defect, while the third opted for observation. Pathology of the white gelatinous fluid within the two resected growths demonstrated benign cysts.

Conclusion: TMJ cysts with intracranial extension, while rare, require careful differentiation from intracranial abscesses. Surgical urgency may be indicated in cases demonstrating clinical signs of infection. Additionally, TMJ cysts with intracranial extension benefit from surgical removal and skull base repair to relieve symptoms and prevent future complications.

求助全文
通过发布文献求助,成功后即可免费获取论文全文。 去求助
来源期刊
自引率
0.00%
发文量
31
审稿时长
12 weeks
×
引用
GB/T 7714-2015
复制
MLA
复制
APA
复制
导出至
BibTeX EndNote RefMan NoteFirst NoteExpress
×
提示
您的信息不完整,为了账户安全,请先补充。
现在去补充
×
提示
您因"违规操作"
具体请查看互助需知
我知道了
×
提示
确定
请完成安全验证×
copy
已复制链接
快去分享给好友吧!
我知道了
右上角分享
点击右上角分享
0
联系我们:info@booksci.cn Book学术提供免费学术资源搜索服务,方便国内外学者检索中英文文献。致力于提供最便捷和优质的服务体验。 Copyright © 2023 布克学术 All rights reserved.
京ICP备2023020795号-1
ghs 京公网安备 11010802042870号
Book学术文献互助
Book学术文献互助群
群 号:604180095
Book学术官方微信