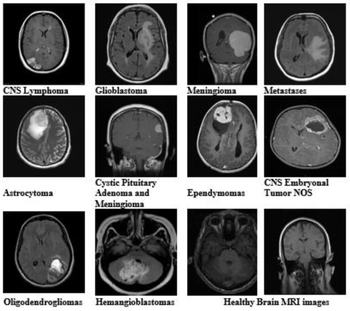
更正:使用深度学习技术增强MRI图像中脑肿瘤的模式检测和分割。

IF 2.3 4区 医学 Q2 MATHEMATICAL & COMPUTATIONAL BIOLOGY
Frontiers in Computational Neuroscience Pub Date : 2025-06-03 eCollection Date: 2025-01-01 DOI:10.3389/fncom.2025.1570979
Lubna Kiran, Asim Zeb, Qazi Nida Ur Rehman, Taj Rahman, Muhammad Shehzad Khan, Shafiq Ahmad, Muhammad Irfan, Muhammad Naeem, Shamsul Huda, Haitham Mahmoud
{"title":"更正:使用深度学习技术增强MRI图像中脑肿瘤的模式检测和分割。","authors":"Lubna Kiran, Asim Zeb, Qazi Nida Ur Rehman, Taj Rahman, Muhammad Shehzad Khan, Shafiq Ahmad, Muhammad Irfan, Muhammad Naeem, Shamsul Huda, Haitham Mahmoud","doi":"10.3389/fncom.2025.1570979","DOIUrl":null,"url":null,"abstract":"<p><p>[This corrects the article DOI: 10.3389/fncom.2024.1418280.].</p>","PeriodicalId":12363,"journal":{"name":"Frontiers in Computational Neuroscience","volume":"19 ","pages":"1570979"},"PeriodicalIF":2.3000,"publicationDate":"2025-06-03","publicationTypes":"Journal Article","fieldsOfStudy":null,"isOpenAccess":false,"openAccessPdf":"https://www.ncbi.nlm.nih.gov/pmc/articles/PMC12170620/pdf/","citationCount":"0","resultStr":"{\"title\":\"Corrigendum: An enhanced pattern detection and segmentation of brain tumors in MRI images using deep learning technique.\",\"authors\":\"Lubna Kiran, Asim Zeb, Qazi Nida Ur Rehman, Taj Rahman, Muhammad Shehzad Khan, Shafiq Ahmad, Muhammad Irfan, Muhammad Naeem, Shamsul Huda, Haitham Mahmoud\",\"doi\":\"10.3389/fncom.2025.1570979\",\"DOIUrl\":null,\"url\":null,\"abstract\":\"<p><p>[This corrects the article DOI: 10.3389/fncom.2024.1418280.].</p>\",\"PeriodicalId\":12363,\"journal\":{\"name\":\"Frontiers in Computational Neuroscience\",\"volume\":\"19 \",\"pages\":\"1570979\"},\"PeriodicalIF\":2.3000,\"publicationDate\":\"2025-06-03\",\"publicationTypes\":\"Journal Article\",\"fieldsOfStudy\":null,\"isOpenAccess\":false,\"openAccessPdf\":\"https://www.ncbi.nlm.nih.gov/pmc/articles/PMC12170620/pdf/\",\"citationCount\":\"0\",\"resultStr\":null,\"platform\":\"Semanticscholar\",\"paperid\":null,\"PeriodicalName\":\"Frontiers in Computational Neuroscience\",\"FirstCategoryId\":\"3\",\"ListUrlMain\":\"https://doi.org/10.3389/fncom.2025.1570979\",\"RegionNum\":4,\"RegionCategory\":\"医学\",\"ArticlePicture\":[],\"TitleCN\":null,\"AbstractTextCN\":null,\"PMCID\":null,\"EPubDate\":\"2025/1/1 0:00:00\",\"PubModel\":\"eCollection\",\"JCR\":\"Q2\",\"JCRName\":\"MATHEMATICAL & COMPUTATIONAL BIOLOGY\",\"Score\":null,\"Total\":0}","platform":"Semanticscholar","paperid":null,"PeriodicalName":"Frontiers in Computational Neuroscience","FirstCategoryId":"3","ListUrlMain":"https://doi.org/10.3389/fncom.2025.1570979","RegionNum":4,"RegionCategory":"医学","ArticlePicture":[],"TitleCN":null,"AbstractTextCN":null,"PMCID":null,"EPubDate":"2025/1/1 0:00:00","PubModel":"eCollection","JCR":"Q2","JCRName":"MATHEMATICAL & COMPUTATIONAL BIOLOGY","Score":null,"Total":0}
引用次数: 0

摘要

[这更正了文章DOI: 10.3389/fncom.2024.1418280.]。
本文章由计算机程序翻译,如有差异,请以英文原文为准。

Corrigendum: An enhanced pattern detection and segmentation of brain tumors in MRI images using deep learning technique.

Corrigendum: An enhanced pattern detection and segmentation of brain tumors in MRI images using deep learning technique.

[This corrects the article DOI: 10.3389/fncom.2024.1418280.].

求助全文
通过发布文献求助,成功后即可免费获取论文全文。 去求助
来源期刊
Frontiers in Computational Neuroscience
Frontiers in Computational Neuroscience MATHEMATICAL & COMPUTATIONAL BIOLOGY-NEUROSCIENCES
CiteScore
5.30
自引率
3.10%
发文量
166
审稿时长
6-12 weeks
期刊介绍: Frontiers in Computational Neuroscience is a first-tier electronic journal devoted to promoting theoretical modeling of brain function and fostering interdisciplinary interactions between theoretical and experimental neuroscience. Progress in understanding the amazing capabilities of the brain is still limited, and we believe that it will only come with deep theoretical thinking and mutually stimulating cooperation between different disciplines and approaches. We therefore invite original contributions on a wide range of topics that present the fruits of such cooperation, or provide stimuli for future alliances. We aim to provide an interactive forum for cutting-edge theoretical studies of the nervous system, and for promulgating the best theoretical research to the broader neuroscience community. Models of all styles and at all levels are welcome, from biophysically motivated realistic simulations of neurons and synapses to high-level abstract models of inference and decision making. While the journal is primarily focused on theoretically based and driven research, we welcome experimental studies that validate and test theoretical conclusions. Also: comp neuro
×
引用
GB/T 7714-2015
复制
MLA
复制
APA
复制
导出至
BibTeX EndNote RefMan NoteFirst NoteExpress
×
提示
您的信息不完整,为了账户安全,请先补充。
现在去补充
×
提示
您因"违规操作"
具体请查看互助需知
我知道了
×
提示
确定
请完成安全验证×
copy
已复制链接
快去分享给好友吧!
我知道了
右上角分享
点击右上角分享
0
联系我们:info@booksci.cn Book学术提供免费学术资源搜索服务,方便国内外学者检索中英文文献。致力于提供最便捷和优质的服务体验。 Copyright © 2023 布克学术 All rights reserved.
京ICP备2023020795号-1
ghs 京公网安备 11010802042870号
Book学术文献互助
Book学术文献互助群
群 号:604180095
Book学术官方微信