托氟沙星治疗疑似支原体感染的10岁儿童的肾脏和胃肠道并发症。

IF 0.7 Q4 UROLOGY & NEPHROLOGY
CEN Case Reports Pub Date : 2025-10-01 Epub Date: 2025-06-17 DOI:10.1007/s13730-025-01007-z
Shigehiro Sainokami, Hirofumi Watanabe, Shoichiro Kanda, Natsuho Adachi, Hiroyuki Tanaka, Keiichi Takizawa, Naoko Sone, Yuko Kajiho, Akiko Kinumaki, Yoshifumi Morita, Teruhiko Yoshida, Makoto Kurano, Yutaka Harita
{"title":"托氟沙星治疗疑似支原体感染的10岁儿童的肾脏和胃肠道并发症。","authors":"Shigehiro Sainokami, Hirofumi Watanabe, Shoichiro Kanda, Natsuho Adachi, Hiroyuki Tanaka, Keiichi Takizawa, Naoko Sone, Yuko Kajiho, Akiko Kinumaki, Yoshifumi Morita, Teruhiko Yoshida, Makoto Kurano, Yutaka Harita","doi":"10.1007/s13730-025-01007-z","DOIUrl":null,"url":null,"abstract":"<p><p>Tosufloxacin, a fluoroquinolone antibiotic, is increasingly prescribed for pediatric patients, particularly for macrolide-resistant Mycoplasma pneumoniae infections in Japan. While its efficacy is well-documented, adverse effects such as renal impairment and gastrointestinal symptoms have raised growing concerns. We report a case of a 10-year-old girl who developed sequential symptoms following tosufloxacin administration. On the day after starting tosufloxacin, she experienced right-sided flank pain, followed by the onset of gastrointestinal symptoms, including abdominal pain, diarrhea, and vomiting, on the subsequent day. Contrast-enhanced computed tomography revealed increased fatty tissue opacity surrounding the kidney and duodenal wall thickening, suggestive of localized inflammation extending from the kidney to adjacent structures. Urine microscopy demonstrated needle- and sea urchin-shaped drug crystals, strongly implicating tosufloxacin in the development of renal and gastrointestinal symptoms. This case provides the first evidence suggesting that kidney inflammation may contribute to gastrointestinal symptom onset via localized inflammatory extension. The patient's symptoms resolved promptly with the discontinuation of tosufloxacin and supportive care. This report underscores the importance of monitoring pediatric patients for renal and gastrointestinal adverse effects following tosufloxacin administration.</p>","PeriodicalId":9697,"journal":{"name":"CEN Case Reports","volume":" ","pages":"713-718"},"PeriodicalIF":0.7000,"publicationDate":"2025-10-01","publicationTypes":"Journal Article","fieldsOfStudy":null,"isOpenAccess":false,"openAccessPdf":"https://www.ncbi.nlm.nih.gov/pmc/articles/PMC12457236/pdf/","citationCount":"0","resultStr":"{\"title\":\"Renal and gastrointestinal complications following tosufloxacin therapy for suspected mycoplasma infection in a 10-year-old child.\",\"authors\":\"Shigehiro Sainokami, Hirofumi Watanabe, Shoichiro Kanda, Natsuho Adachi, Hiroyuki Tanaka, Keiichi Takizawa, Naoko Sone, Yuko Kajiho, Akiko Kinumaki, Yoshifumi Morita, Teruhiko Yoshida, Makoto Kurano, Yutaka Harita\",\"doi\":\"10.1007/s13730-025-01007-z\",\"DOIUrl\":null,\"url\":null,\"abstract\":\"<p><p>Tosufloxacin, a fluoroquinolone antibiotic, is increasingly prescribed for pediatric patients, particularly for macrolide-resistant Mycoplasma pneumoniae infections in Japan. While its efficacy is well-documented, adverse effects such as renal impairment and gastrointestinal symptoms have raised growing concerns. We report a case of a 10-year-old girl who developed sequential symptoms following tosufloxacin administration. On the day after starting tosufloxacin, she experienced right-sided flank pain, followed by the onset of gastrointestinal symptoms, including abdominal pain, diarrhea, and vomiting, on the subsequent day. Contrast-enhanced computed tomography revealed increased fatty tissue opacity surrounding the kidney and duodenal wall thickening, suggestive of localized inflammation extending from the kidney to adjacent structures. Urine microscopy demonstrated needle- and sea urchin-shaped drug crystals, strongly implicating tosufloxacin in the development of renal and gastrointestinal symptoms. This case provides the first evidence suggesting that kidney inflammation may contribute to gastrointestinal symptom onset via localized inflammatory extension. The patient's symptoms resolved promptly with the discontinuation of tosufloxacin and supportive care. This report underscores the importance of monitoring pediatric patients for renal and gastrointestinal adverse effects following tosufloxacin administration.</p>\",\"PeriodicalId\":9697,\"journal\":{\"name\":\"CEN Case Reports\",\"volume\":\" \",\"pages\":\"713-718\"},\"PeriodicalIF\":0.7000,\"publicationDate\":\"2025-10-01\",\"publicationTypes\":\"Journal Article\",\"fieldsOfStudy\":null,\"isOpenAccess\":false,\"openAccessPdf\":\"https://www.ncbi.nlm.nih.gov/pmc/articles/PMC12457236/pdf/\",\"citationCount\":\"0\",\"resultStr\":null,\"platform\":\"Semanticscholar\",\"paperid\":null,\"PeriodicalName\":\"CEN Case Reports\",\"FirstCategoryId\":\"1085\",\"ListUrlMain\":\"https://doi.org/10.1007/s13730-025-01007-z\",\"RegionNum\":0,\"RegionCategory\":null,\"ArticlePicture\":[],\"TitleCN\":null,\"AbstractTextCN\":null,\"PMCID\":null,\"EPubDate\":\"2025/6/17 0:00:00\",\"PubModel\":\"Epub\",\"JCR\":\"Q4\",\"JCRName\":\"UROLOGY & NEPHROLOGY\",\"Score\":null,\"Total\":0}","platform":"Semanticscholar","paperid":null,"PeriodicalName":"CEN Case Reports","FirstCategoryId":"1085","ListUrlMain":"https://doi.org/10.1007/s13730-025-01007-z","RegionNum":0,"RegionCategory":null,"ArticlePicture":[],"TitleCN":null,"AbstractTextCN":null,"PMCID":null,"EPubDate":"2025/6/17 0:00:00","PubModel":"Epub","JCR":"Q4","JCRName":"UROLOGY & NEPHROLOGY","Score":null,"Total":0}
引用次数: 0

摘要

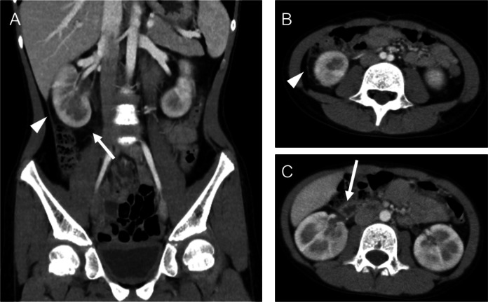
tosu氟沙星是一种氟喹诺酮类抗生素,在日本越来越多地用于儿科患者,特别是对大环内酯耐药肺炎支原体感染。虽然其疗效已得到充分证明,但其副作用,如肾脏损害和胃肠道症状,已引起越来越多的关注。我们报告一例10岁的女孩谁发展的顺序症状后,托氟沙星管理。在开始使用托氧氟沙星后的第二天,患者出现右侧腹部疼痛,随后在第二天出现胃肠道症状,包括腹痛、腹泻和呕吐。增强计算机断层扫描显示肾脏周围脂肪组织浑浊增加,十二指肠壁增厚,提示局部炎症从肾脏延伸到邻近结构。尿镜检显示针状和海胆状药物结晶,强烈提示tosu氟沙星与肾脏和胃肠道症状的发展有关。本病例提供了第一个证据,表明肾脏炎症可能通过局部炎症扩展导致胃肠道症状的发作。病人的症状在停止使用托氟沙星和支持治疗后迅速消失。本报告强调了监测托氟沙星给药后儿科患者肾脏和胃肠道不良反应的重要性。
本文章由计算机程序翻译,如有差异,请以英文原文为准。

Renal and gastrointestinal complications following tosufloxacin therapy for suspected mycoplasma infection in a 10-year-old child.

Renal and gastrointestinal complications following tosufloxacin therapy for suspected mycoplasma infection in a 10-year-old child.

Renal and gastrointestinal complications following tosufloxacin therapy for suspected mycoplasma infection in a 10-year-old child.

Tosufloxacin, a fluoroquinolone antibiotic, is increasingly prescribed for pediatric patients, particularly for macrolide-resistant Mycoplasma pneumoniae infections in Japan. While its efficacy is well-documented, adverse effects such as renal impairment and gastrointestinal symptoms have raised growing concerns. We report a case of a 10-year-old girl who developed sequential symptoms following tosufloxacin administration. On the day after starting tosufloxacin, she experienced right-sided flank pain, followed by the onset of gastrointestinal symptoms, including abdominal pain, diarrhea, and vomiting, on the subsequent day. Contrast-enhanced computed tomography revealed increased fatty tissue opacity surrounding the kidney and duodenal wall thickening, suggestive of localized inflammation extending from the kidney to adjacent structures. Urine microscopy demonstrated needle- and sea urchin-shaped drug crystals, strongly implicating tosufloxacin in the development of renal and gastrointestinal symptoms. This case provides the first evidence suggesting that kidney inflammation may contribute to gastrointestinal symptom onset via localized inflammatory extension. The patient's symptoms resolved promptly with the discontinuation of tosufloxacin and supportive care. This report underscores the importance of monitoring pediatric patients for renal and gastrointestinal adverse effects following tosufloxacin administration.

求助全文
通过发布文献求助,成功后即可免费获取论文全文。 去求助
来源期刊
CEN Case Reports
CEN Case Reports UROLOGY & NEPHROLOGY-
CiteScore
1.90
自引率
0.00%
发文量
80
期刊介绍: Clinical and Experimental Nephrology (CEN) Case Reports is a peer-reviewed online-only journal, officially published biannually by the Japanese Society of Nephrology (JSN).  The journal publishes original case reports in nephrology and related areas.  The purpose of CEN Case Reports is to provide clinicians and researchers with a forum in which to disseminate their personal experience to a wide readership and to review interesting cases encountered by colleagues all over the world, from whom contributions are welcomed.
×
引用
GB/T 7714-2015
复制
MLA
复制
APA
复制
导出至
BibTeX EndNote RefMan NoteFirst NoteExpress
×
提示
您的信息不完整,为了账户安全,请先补充。
现在去补充
×
提示
您因"违规操作"
具体请查看互助需知
我知道了
×
提示
确定
请完成安全验证×
copy
已复制链接
快去分享给好友吧!
我知道了
右上角分享
点击右上角分享
0
联系我们:info@booksci.cn Book学术提供免费学术资源搜索服务,方便国内外学者检索中英文文献。致力于提供最便捷和优质的服务体验。 Copyright © 2023 布克学术 All rights reserved.
京ICP备2023020795号-1
ghs 京公网安备 11010802042870号
Book学术文献互助
Book学术文献互助群
群 号:604180095
Book学术官方微信