胰腺炎后脾动脉假性动脉瘤的危险:1例报告。

IF 0.6 Q4 GASTROENTEROLOGY & HEPATOLOGY
Case Reports in Gastroenterology Pub Date : 2025-06-17 eCollection Date: 2025-01-01 DOI:10.1159/000546314
Daniel Schweckendiek, Kuno Lehmann, Vincent Van den Bosch
{"title":"胰腺炎后脾动脉假性动脉瘤的危险:1例报告。","authors":"Daniel Schweckendiek, Kuno Lehmann, Vincent Van den Bosch","doi":"10.1159/000546314","DOIUrl":null,"url":null,"abstract":"<p><strong>Introduction: </strong>Splenic artery aneurysm (SAA) is a rare but potentially life-threatening condition. SAA can occur following an acute or chronic pancreatitis as a pseudoaneurysm, iatrogenic (post-pancreatic/splenic surgery) or post-traumatic. If symptomatic, it needs to be treated urgently as it has a high risk of rupture.</p><p><strong>Case presentation: </strong>Here is a case where a ruptured aneurysm presented in an unusual manner: first as an acute abdomen and second, delayed, as hemorrhagic shock. Only emergency laparotomy and splenectomy saved the patient's life.</p><p><strong>Conclusion: </strong>If a splenic artery pseudoaneurysm is detected on CT scan, there is an increased risk of rupture irrespective of the size and the patient that should be proactively managed. Concomitant abdominal findings and diseases can delay diagnosis and underestimate the risk.</p>","PeriodicalId":9614,"journal":{"name":"Case Reports in Gastroenterology","volume":"19 1","pages":"439-444"},"PeriodicalIF":0.6000,"publicationDate":"2025-06-17","publicationTypes":"Journal Article","fieldsOfStudy":null,"isOpenAccess":false,"openAccessPdf":"https://www.ncbi.nlm.nih.gov/pmc/articles/PMC12173440/pdf/","citationCount":"0","resultStr":"{\"title\":\"Post-Pancreatitis Splenic Artery Pseudoaneurysm as a Luring Danger: A Case Report.\",\"authors\":\"Daniel Schweckendiek, Kuno Lehmann, Vincent Van den Bosch\",\"doi\":\"10.1159/000546314\",\"DOIUrl\":null,\"url\":null,\"abstract\":\"<p><strong>Introduction: </strong>Splenic artery aneurysm (SAA) is a rare but potentially life-threatening condition. SAA can occur following an acute or chronic pancreatitis as a pseudoaneurysm, iatrogenic (post-pancreatic/splenic surgery) or post-traumatic. If symptomatic, it needs to be treated urgently as it has a high risk of rupture.</p><p><strong>Case presentation: </strong>Here is a case where a ruptured aneurysm presented in an unusual manner: first as an acute abdomen and second, delayed, as hemorrhagic shock. Only emergency laparotomy and splenectomy saved the patient's life.</p><p><strong>Conclusion: </strong>If a splenic artery pseudoaneurysm is detected on CT scan, there is an increased risk of rupture irrespective of the size and the patient that should be proactively managed. Concomitant abdominal findings and diseases can delay diagnosis and underestimate the risk.</p>\",\"PeriodicalId\":9614,\"journal\":{\"name\":\"Case Reports in Gastroenterology\",\"volume\":\"19 1\",\"pages\":\"439-444\"},\"PeriodicalIF\":0.6000,\"publicationDate\":\"2025-06-17\",\"publicationTypes\":\"Journal Article\",\"fieldsOfStudy\":null,\"isOpenAccess\":false,\"openAccessPdf\":\"https://www.ncbi.nlm.nih.gov/pmc/articles/PMC12173440/pdf/\",\"citationCount\":\"0\",\"resultStr\":null,\"platform\":\"Semanticscholar\",\"paperid\":null,\"PeriodicalName\":\"Case Reports in Gastroenterology\",\"FirstCategoryId\":\"1085\",\"ListUrlMain\":\"https://doi.org/10.1159/000546314\",\"RegionNum\":0,\"RegionCategory\":null,\"ArticlePicture\":[],\"TitleCN\":null,\"AbstractTextCN\":null,\"PMCID\":null,\"EPubDate\":\"2025/1/1 0:00:00\",\"PubModel\":\"eCollection\",\"JCR\":\"Q4\",\"JCRName\":\"GASTROENTEROLOGY & HEPATOLOGY\",\"Score\":null,\"Total\":0}","platform":"Semanticscholar","paperid":null,"PeriodicalName":"Case Reports in Gastroenterology","FirstCategoryId":"1085","ListUrlMain":"https://doi.org/10.1159/000546314","RegionNum":0,"RegionCategory":null,"ArticlePicture":[],"TitleCN":null,"AbstractTextCN":null,"PMCID":null,"EPubDate":"2025/1/1 0:00:00","PubModel":"eCollection","JCR":"Q4","JCRName":"GASTROENTEROLOGY & HEPATOLOGY","Score":null,"Total":0}
引用次数: 0

摘要

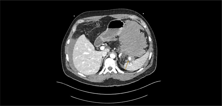
摘要脾动脉瘤是一种罕见但可能危及生命的疾病。SAA可发生在急性或慢性胰腺炎假性动脉瘤、医源性(胰腺/脾手术后)或创伤后。如果有症状,需要紧急治疗,因为它有很高的破裂风险。病例表现:这是一个动脉瘤破裂的病例,以一种不寻常的方式表现出来:首先是急性腹部,其次是迟发性失血性休克。只有紧急剖腹手术和脾切除术才挽救了病人的生命。结论:如果在CT扫描上发现脾动脉假性动脉瘤,无论其大小和患者如何,破裂的风险都增加,应积极处理。伴随的腹部发现和疾病可能延误诊断和低估风险。
本文章由计算机程序翻译,如有差异,请以英文原文为准。

Post-Pancreatitis Splenic Artery Pseudoaneurysm as a Luring Danger: A Case Report.

Post-Pancreatitis Splenic Artery Pseudoaneurysm as a Luring Danger: A Case Report.

Post-Pancreatitis Splenic Artery Pseudoaneurysm as a Luring Danger: A Case Report.

Introduction: Splenic artery aneurysm (SAA) is a rare but potentially life-threatening condition. SAA can occur following an acute or chronic pancreatitis as a pseudoaneurysm, iatrogenic (post-pancreatic/splenic surgery) or post-traumatic. If symptomatic, it needs to be treated urgently as it has a high risk of rupture.

Case presentation: Here is a case where a ruptured aneurysm presented in an unusual manner: first as an acute abdomen and second, delayed, as hemorrhagic shock. Only emergency laparotomy and splenectomy saved the patient's life.

Conclusion: If a splenic artery pseudoaneurysm is detected on CT scan, there is an increased risk of rupture irrespective of the size and the patient that should be proactively managed. Concomitant abdominal findings and diseases can delay diagnosis and underestimate the risk.

求助全文
通过发布文献求助,成功后即可免费获取论文全文。 去求助
来源期刊
Case Reports in Gastroenterology
Case Reports in Gastroenterology Medicine-Gastroenterology
CiteScore
1.10
自引率
0.00%
发文量
99
审稿时长
7 weeks
期刊介绍:
×
引用
GB/T 7714-2015
复制
MLA
复制
APA
复制
导出至
BibTeX EndNote RefMan NoteFirst NoteExpress
×
提示
您的信息不完整,为了账户安全,请先补充。
现在去补充
×
提示
您因"违规操作"
具体请查看互助需知
我知道了
×
提示
确定
请完成安全验证×
copy
已复制链接
快去分享给好友吧!
我知道了
右上角分享
点击右上角分享
0
联系我们:info@booksci.cn Book学术提供免费学术资源搜索服务,方便国内外学者检索中英文文献。致力于提供最便捷和优质的服务体验。 Copyright © 2023 布克学术 All rights reserved.
京ICP备2023020795号-1
ghs 京公网安备 11010802042870号
Book学术文献互助
Book学术文献互助群
群 号:604180095
Book学术官方微信