“载氧半导体聚合物纳米药物诱导深组织肿瘤超声热亡”的勘误

IF 22.5
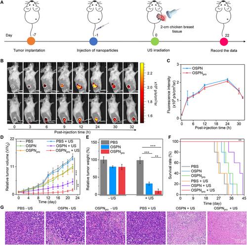
{"title":"“载氧半导体聚合物纳米药物诱导深组织肿瘤超声热亡”的勘误","authors":"","doi":"10.1002/EXP.20240339","DOIUrl":null,"url":null,"abstract":"<p>Wang F., Fan Y., Liu Y., et al. Oxygen-carrying semiconducting polymer nanoprodrugs induce sono-pyroptosis for deep-tissue tumour treatment, <i>Exploration</i>, 2024, <i>4</i>, 20230100.</p><p>In our manuscript titled “Oxygen-carrying semiconducting polymer nanoprodrugs induce sono-pyroptosis for deep-tissue tumour treatment”, H&amp;E staining image of PBS + US group in Figure 4G was misplaced due to an inadvertent error. The error was spotted in time after revisiting the article and we correct this error by providing the revised image.</p><p>The revised Figure 4</p><p>We apologize for this error.</p>","PeriodicalId":72997,"journal":{"name":"Exploration (Beijing, China)","volume":"5 3","pages":""},"PeriodicalIF":22.5000,"publicationDate":"2024-10-28","publicationTypes":"Journal Article","fieldsOfStudy":null,"isOpenAccess":false,"openAccessPdf":"https://onlinelibrary.wiley.com/doi/epdf/10.1002/EXP.20240339","citationCount":"0","resultStr":"{\"title\":\"Erratum to “Oxygen-carrying semiconducting polymer nanoprodrugs induce sono-pyroptosis for deep-tissue tumour treatment”\",\"authors\":\"\",\"doi\":\"10.1002/EXP.20240339\",\"DOIUrl\":null,\"url\":null,\"abstract\":\"<p>Wang F., Fan Y., Liu Y., et al. Oxygen-carrying semiconducting polymer nanoprodrugs induce sono-pyroptosis for deep-tissue tumour treatment, <i>Exploration</i>, 2024, <i>4</i>, 20230100.</p><p>In our manuscript titled “Oxygen-carrying semiconducting polymer nanoprodrugs induce sono-pyroptosis for deep-tissue tumour treatment”, H&amp;E staining image of PBS + US group in Figure 4G was misplaced due to an inadvertent error. The error was spotted in time after revisiting the article and we correct this error by providing the revised image.</p><p>The revised Figure 4</p><p>We apologize for this error.</p>\",\"PeriodicalId\":72997,\"journal\":{\"name\":\"Exploration (Beijing, China)\",\"volume\":\"5 3\",\"pages\":\"\"},\"PeriodicalIF\":22.5000,\"publicationDate\":\"2024-10-28\",\"publicationTypes\":\"Journal Article\",\"fieldsOfStudy\":null,\"isOpenAccess\":false,\"openAccessPdf\":\"https://onlinelibrary.wiley.com/doi/epdf/10.1002/EXP.20240339\",\"citationCount\":\"0\",\"resultStr\":null,\"platform\":\"Semanticscholar\",\"paperid\":null,\"PeriodicalName\":\"Exploration (Beijing, China)\",\"FirstCategoryId\":\"1085\",\"ListUrlMain\":\"https://onlinelibrary.wiley.com/doi/10.1002/EXP.20240339\",\"RegionNum\":0,\"RegionCategory\":null,\"ArticlePicture\":[],\"TitleCN\":null,\"AbstractTextCN\":null,\"PMCID\":null,\"EPubDate\":\"\",\"PubModel\":\"\",\"JCR\":\"\",\"JCRName\":\"\",\"Score\":null,\"Total\":0}","platform":"Semanticscholar","paperid":null,"PeriodicalName":"Exploration (Beijing, China)","FirstCategoryId":"1085","ListUrlMain":"https://onlinelibrary.wiley.com/doi/10.1002/EXP.20240339","RegionNum":0,"RegionCategory":null,"ArticlePicture":[],"TitleCN":null,"AbstractTextCN":null,"PMCID":null,"EPubDate":"","PubModel":"","JCR":"","JCRName":"","Score":null,"Total":0}
引用次数: 0

摘要

王峰,范勇,刘勇,等。载氧聚合物纳米药物诱导深组织肿瘤声纳焦亡的研究[j] .中国生物医学工程学报,2017,24(4):2023 - 2031。在我们题为“载氧半导体聚合物纳米前药物诱导sono-pyroptosis for deep-tissue tumor treatment”的稿件中,由于疏忽,图4G中PBS + US组的H&;E染色图像放错了位置。在重新访问文章后,我们及时发现了这个错误,我们通过提供修改后的图像来纠正这个错误。修改后的图4我们为这个错误道歉。
本文章由计算机程序翻译,如有差异,请以英文原文为准。

Erratum to “Oxygen-carrying semiconducting polymer nanoprodrugs induce sono-pyroptosis for deep-tissue tumour treatment”

Erratum to “Oxygen-carrying semiconducting polymer nanoprodrugs induce sono-pyroptosis for deep-tissue tumour treatment”

Wang F., Fan Y., Liu Y., et al. Oxygen-carrying semiconducting polymer nanoprodrugs induce sono-pyroptosis for deep-tissue tumour treatment, Exploration, 2024, 4, 20230100.

In our manuscript titled “Oxygen-carrying semiconducting polymer nanoprodrugs induce sono-pyroptosis for deep-tissue tumour treatment”, H&E staining image of PBS + US group in Figure 4G was misplaced due to an inadvertent error. The error was spotted in time after revisiting the article and we correct this error by providing the revised image.

The revised Figure 4

We apologize for this error.

求助全文
通过发布文献求助,成功后即可免费获取论文全文。 去求助
来源期刊
CiteScore
17.20
自引率
0.00%
发文量
0
×
引用
GB/T 7714-2015
复制
MLA
复制
APA
复制
导出至
BibTeX EndNote RefMan NoteFirst NoteExpress
×
提示
您的信息不完整,为了账户安全,请先补充。
现在去补充
×
提示
您因"违规操作"
具体请查看互助需知
我知道了
×
提示
确定
请完成安全验证×
copy
已复制链接
快去分享给好友吧!
我知道了
右上角分享
点击右上角分享
0
联系我们:info@booksci.cn Book学术提供免费学术资源搜索服务,方便国内外学者检索中英文文献。致力于提供最便捷和优质的服务体验。 Copyright © 2023 布克学术 All rights reserved.
京ICP备2023020795号-1
ghs 京公网安备 11010802042870号
Book学术文献互助
Book学术文献互助群
群 号:604180095
Book学术官方微信