表面锚定替格瑞洛明胶纳米颗粒-血小板系统增强抗pd - l1治疗反应和提高纳米药物的化疗疗效

IF 22.5
Qi Lu, Hao Ye, Jian Zhao, Xiaoyuan Fan, Kaiyuan Wang, Zeyu Han, Tian Liu, Lili Du, Jiaxuan Song, Helin Wang, Haotian Zhang, Zhonggui He, Jin Sun
{"title":"表面锚定替格瑞洛明胶纳米颗粒-血小板系统增强抗pd - l1治疗反应和提高纳米药物的化疗疗效","authors":"Qi Lu,&nbsp;Hao Ye,&nbsp;Jian Zhao,&nbsp;Xiaoyuan Fan,&nbsp;Kaiyuan Wang,&nbsp;Zeyu Han,&nbsp;Tian Liu,&nbsp;Lili Du,&nbsp;Jiaxuan Song,&nbsp;Helin Wang,&nbsp;Haotian Zhang,&nbsp;Zhonggui He,&nbsp;Jin Sun","doi":"10.1002/EXP.20240084","DOIUrl":null,"url":null,"abstract":"<p>The tumor microenvironment is characterized by immunosuppression and compromised intratumoral perfusion, which impairs the effectiveness of immune checkpoint inhibitors and nanomedicines. A significant challenge is the role of activated platelets, as they increase transfer-mediated PD-L1 expression from tumor cells and maintain the integrity of tumor vasculature. These platelets support tumor growth by stabilizing the vasculature and enabling immune evasion, as well as shielding tumor cells from immune detection. To address these platelet-mediated negative antitumor effects, we have developed bioengineered platelets (PTNPs) with surface-anchored ticagrelor-loaded gelatin nanoparticles. This study utilizes the natural tendency of platelets to localize their activated counterparts into tumors. Upon binding to tumor-associated activated platelets, the PTNPs release ticagrelor in response to the secreted matrix metalloproteinases by activated platelet, inhibiting further platelet activation. This reduction in platelet activation lessens platelet-facilitated immunosuppression and diminishes the transferred-PD-L1 expression from cancer cells to platelets, thus enhancing the immune response of anti-PD-L1 therapy. Additionally, this strategy weakens the activated platelets’ contribution to tumor vascular integrity, improving the extravasation and chemotherapeutic efficacy of nanomedicines. Our findings highlight the crucial role of platelet activation in tumor biology and introduce PTNPs as an effective approach to disrupt tumor-supporting platelet activities and enhance anticancer treatments efficacy.</p>","PeriodicalId":72997,"journal":{"name":"Exploration (Beijing, China)","volume":"5 3","pages":""},"PeriodicalIF":22.5000,"publicationDate":"2025-03-06","publicationTypes":"Journal Article","fieldsOfStudy":null,"isOpenAccess":false,"openAccessPdf":"https://onlinelibrary.wiley.com/doi/epdf/10.1002/EXP.20240084","citationCount":"0","resultStr":"{\"title\":\"Surface-Anchored Ticagrelor Gelatin Nanoparticles-Platelets System for Enhanced Anti-PD-L1 Therapy Response and Boosted Chemotherapeutic Efficacy of Nanomedicines\",\"authors\":\"Qi Lu,&nbsp;Hao Ye,&nbsp;Jian Zhao,&nbsp;Xiaoyuan Fan,&nbsp;Kaiyuan Wang,&nbsp;Zeyu Han,&nbsp;Tian Liu,&nbsp;Lili Du,&nbsp;Jiaxuan Song,&nbsp;Helin Wang,&nbsp;Haotian Zhang,&nbsp;Zhonggui He,&nbsp;Jin Sun\",\"doi\":\"10.1002/EXP.20240084\",\"DOIUrl\":null,\"url\":null,\"abstract\":\"<p>The tumor microenvironment is characterized by immunosuppression and compromised intratumoral perfusion, which impairs the effectiveness of immune checkpoint inhibitors and nanomedicines. A significant challenge is the role of activated platelets, as they increase transfer-mediated PD-L1 expression from tumor cells and maintain the integrity of tumor vasculature. These platelets support tumor growth by stabilizing the vasculature and enabling immune evasion, as well as shielding tumor cells from immune detection. To address these platelet-mediated negative antitumor effects, we have developed bioengineered platelets (PTNPs) with surface-anchored ticagrelor-loaded gelatin nanoparticles. This study utilizes the natural tendency of platelets to localize their activated counterparts into tumors. Upon binding to tumor-associated activated platelets, the PTNPs release ticagrelor in response to the secreted matrix metalloproteinases by activated platelet, inhibiting further platelet activation. This reduction in platelet activation lessens platelet-facilitated immunosuppression and diminishes the transferred-PD-L1 expression from cancer cells to platelets, thus enhancing the immune response of anti-PD-L1 therapy. Additionally, this strategy weakens the activated platelets’ contribution to tumor vascular integrity, improving the extravasation and chemotherapeutic efficacy of nanomedicines. Our findings highlight the crucial role of platelet activation in tumor biology and introduce PTNPs as an effective approach to disrupt tumor-supporting platelet activities and enhance anticancer treatments efficacy.</p>\",\"PeriodicalId\":72997,\"journal\":{\"name\":\"Exploration (Beijing, China)\",\"volume\":\"5 3\",\"pages\":\"\"},\"PeriodicalIF\":22.5000,\"publicationDate\":\"2025-03-06\",\"publicationTypes\":\"Journal Article\",\"fieldsOfStudy\":null,\"isOpenAccess\":false,\"openAccessPdf\":\"https://onlinelibrary.wiley.com/doi/epdf/10.1002/EXP.20240084\",\"citationCount\":\"0\",\"resultStr\":null,\"platform\":\"Semanticscholar\",\"paperid\":null,\"PeriodicalName\":\"Exploration (Beijing, China)\",\"FirstCategoryId\":\"1085\",\"ListUrlMain\":\"https://onlinelibrary.wiley.com/doi/10.1002/EXP.20240084\",\"RegionNum\":0,\"RegionCategory\":null,\"ArticlePicture\":[],\"TitleCN\":null,\"AbstractTextCN\":null,\"PMCID\":null,\"EPubDate\":\"\",\"PubModel\":\"\",\"JCR\":\"\",\"JCRName\":\"\",\"Score\":null,\"Total\":0}","platform":"Semanticscholar","paperid":null,"PeriodicalName":"Exploration (Beijing, China)","FirstCategoryId":"1085","ListUrlMain":"https://onlinelibrary.wiley.com/doi/10.1002/EXP.20240084","RegionNum":0,"RegionCategory":null,"ArticlePicture":[],"TitleCN":null,"AbstractTextCN":null,"PMCID":null,"EPubDate":"","PubModel":"","JCR":"","JCRName":"","Score":null,"Total":0}
引用次数: 0

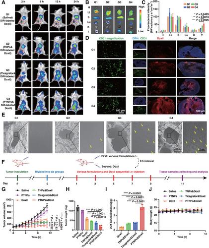
摘要

肿瘤微环境的特点是免疫抑制和肿瘤内灌注受损,这削弱了免疫检查点抑制剂和纳米药物的有效性。一个重要的挑战是活化血小板的作用,因为它们增加肿瘤细胞转移介导的PD-L1表达并维持肿瘤血管的完整性。这些血小板通过稳定脉管系统和使免疫逃避以及屏蔽肿瘤细胞免受免疫检测来支持肿瘤生长。为了解决这些血小板介导的负抗肿瘤作用,我们开发了生物工程血小板(PTNPs),其表面锚定了负载替格瑞洛的明胶纳米颗粒。本研究利用血小板的自然倾向将其激活的对应物定位到肿瘤中。在与肿瘤相关的活化血小板结合后,PTNPs释放替格瑞洛,以响应活化血小板分泌的基质金属蛋白酶,抑制血小板进一步活化。血小板活化的减少减少了血小板促进的免疫抑制,减少了癌细胞向血小板转移的pd - l1表达,从而增强了抗pd - l1治疗的免疫反应。此外,这种策略削弱了活化血小板对肿瘤血管完整性的贡献,提高了纳米药物的外渗和化疗效果。我们的研究结果强调了血小板活化在肿瘤生物学中的重要作用,并介绍了PTNPs作为破坏肿瘤支持血小板活性和提高抗癌治疗效果的有效途径。
本文章由计算机程序翻译,如有差异,请以英文原文为准。

Surface-Anchored Ticagrelor Gelatin Nanoparticles-Platelets System for Enhanced Anti-PD-L1 Therapy Response and Boosted Chemotherapeutic Efficacy of Nanomedicines

Surface-Anchored Ticagrelor Gelatin Nanoparticles-Platelets System for Enhanced Anti-PD-L1 Therapy Response and Boosted Chemotherapeutic Efficacy of Nanomedicines

The tumor microenvironment is characterized by immunosuppression and compromised intratumoral perfusion, which impairs the effectiveness of immune checkpoint inhibitors and nanomedicines. A significant challenge is the role of activated platelets, as they increase transfer-mediated PD-L1 expression from tumor cells and maintain the integrity of tumor vasculature. These platelets support tumor growth by stabilizing the vasculature and enabling immune evasion, as well as shielding tumor cells from immune detection. To address these platelet-mediated negative antitumor effects, we have developed bioengineered platelets (PTNPs) with surface-anchored ticagrelor-loaded gelatin nanoparticles. This study utilizes the natural tendency of platelets to localize their activated counterparts into tumors. Upon binding to tumor-associated activated platelets, the PTNPs release ticagrelor in response to the secreted matrix metalloproteinases by activated platelet, inhibiting further platelet activation. This reduction in platelet activation lessens platelet-facilitated immunosuppression and diminishes the transferred-PD-L1 expression from cancer cells to platelets, thus enhancing the immune response of anti-PD-L1 therapy. Additionally, this strategy weakens the activated platelets’ contribution to tumor vascular integrity, improving the extravasation and chemotherapeutic efficacy of nanomedicines. Our findings highlight the crucial role of platelet activation in tumor biology and introduce PTNPs as an effective approach to disrupt tumor-supporting platelet activities and enhance anticancer treatments efficacy.

求助全文
通过发布文献求助,成功后即可免费获取论文全文。 去求助
来源期刊
CiteScore
17.20
自引率
0.00%
发文量
0
×
引用
GB/T 7714-2015
复制
MLA
复制
APA
复制
导出至
BibTeX EndNote RefMan NoteFirst NoteExpress
×
提示
您的信息不完整,为了账户安全,请先补充。
现在去补充
×
提示
您因"违规操作"
具体请查看互助需知
我知道了
×
提示
确定
请完成安全验证×
copy
已复制链接
快去分享给好友吧!
我知道了
右上角分享
点击右上角分享
0
联系我们:info@booksci.cn Book学术提供免费学术资源搜索服务,方便国内外学者检索中英文文献。致力于提供最便捷和优质的服务体验。 Copyright © 2023 布克学术 All rights reserved.
京ICP备2023020795号-1
ghs 京公网安备 11010802042870号
Book学术文献互助
Book学术文献互助群
群 号:604180095
Book学术官方微信