尼日利亚卡诺ECWA眼科医院视网膜母细胞瘤1例

IF 0.4 Q4 OPHTHALMOLOGY
Case Reports in Ophthalmological Medicine Pub Date : 2025-06-08 eCollection Date: 2025-01-01 DOI:10.1155/crop/1733830
Emamoke Atima-Ayeni, Ayodele Jacob Orugun, Ugbede Idakwo, Oyeronke Komolafe, Mayor Orezime Atima, Akinfenwa Taoheed Atanda, Waziri Garba Dahiru, Sani Kamarudeen Owolabi, Eisuke Shimizu, Nakayama Shintaro, Emmanuel Oluwadare Balogun, Emeka John Dingwoke
{"title":"尼日利亚卡诺ECWA眼科医院视网膜母细胞瘤1例","authors":"Emamoke Atima-Ayeni, Ayodele Jacob Orugun, Ugbede Idakwo, Oyeronke Komolafe, Mayor Orezime Atima, Akinfenwa Taoheed Atanda, Waziri Garba Dahiru, Sani Kamarudeen Owolabi, Eisuke Shimizu, Nakayama Shintaro, Emmanuel Oluwadare Balogun, Emeka John Dingwoke","doi":"10.1155/crop/1733830","DOIUrl":null,"url":null,"abstract":"<p><p><b>Objective:</b> This report details the case of a 9-year-old Nigerian girl presenting with proptosis and a fungating ocular mass, which was histologically confirmed as retinoblastoma following exenteration. <b>Introduction:</b> Retinoblastoma is the most common pediatric intraocular malignancy, predominantly affecting infants and children under the age of 5, with leukocoria being the most frequent presenting symptom. The occurrence of retinoblastoma in older children is rare and often associated with atypical presentations. <b>Case Summary:</b> A 9-year-old Nigerian girl presented with a 1-year history of progressive left eye symptoms, including redness, pain, decreased vision, and proptosis. Examination revealed a large, fungating ocular mass with no light perception. Imaging studies (ultrasound B-scan and CT scan) confirmed extensive vitreous infiltration and optic nerve involvement. Histopathological analysis postmodified exenteration confirmed retinoblastoma. The patient clinically tolerated a modified exenteration and the first two of six planned cycles of systemic chemotherapy (vincristine, etoposide, and carboplatin). Unfortunately, she died during the second month of follow-up. The recurrence was characterized by progressive worsening of systemic symptoms and preauricular lymphadenopathy, likely indicating metastatic spread. <b>Conclusion:</b> This case highlights the aggressive progression of advanced retinoblastoma and the consequences of delayed presentation in resource-limited settings. Although the patient demonstrated an initial positive response, clinically tolerating modified exenteration and two cycles of systemic chemotherapy, she rapidly succumbed to the disease. This underscores the critical need for early diagnosis, prompt referral, and improved access to specialized care to enhance outcomes in similar contexts.</p>","PeriodicalId":9603,"journal":{"name":"Case Reports in Ophthalmological Medicine","volume":"2025 ","pages":"1733830"},"PeriodicalIF":0.4000,"publicationDate":"2025-06-08","publicationTypes":"Journal Article","fieldsOfStudy":null,"isOpenAccess":false,"openAccessPdf":"https://www.ncbi.nlm.nih.gov/pmc/articles/PMC12170086/pdf/","citationCount":"0","resultStr":"{\"title\":\"Retinoblastoma in a Young Nigerian Girl: A Case Report From ECWA Eye Hospital, Kano.\",\"authors\":\"Emamoke Atima-Ayeni, Ayodele Jacob Orugun, Ugbede Idakwo, Oyeronke Komolafe, Mayor Orezime Atima, Akinfenwa Taoheed Atanda, Waziri Garba Dahiru, Sani Kamarudeen Owolabi, Eisuke Shimizu, Nakayama Shintaro, Emmanuel Oluwadare Balogun, Emeka John Dingwoke\",\"doi\":\"10.1155/crop/1733830\",\"DOIUrl\":null,\"url\":null,\"abstract\":\"<p><p><b>Objective:</b> This report details the case of a 9-year-old Nigerian girl presenting with proptosis and a fungating ocular mass, which was histologically confirmed as retinoblastoma following exenteration. <b>Introduction:</b> Retinoblastoma is the most common pediatric intraocular malignancy, predominantly affecting infants and children under the age of 5, with leukocoria being the most frequent presenting symptom. The occurrence of retinoblastoma in older children is rare and often associated with atypical presentations. <b>Case Summary:</b> A 9-year-old Nigerian girl presented with a 1-year history of progressive left eye symptoms, including redness, pain, decreased vision, and proptosis. Examination revealed a large, fungating ocular mass with no light perception. Imaging studies (ultrasound B-scan and CT scan) confirmed extensive vitreous infiltration and optic nerve involvement. Histopathological analysis postmodified exenteration confirmed retinoblastoma. The patient clinically tolerated a modified exenteration and the first two of six planned cycles of systemic chemotherapy (vincristine, etoposide, and carboplatin). Unfortunately, she died during the second month of follow-up. The recurrence was characterized by progressive worsening of systemic symptoms and preauricular lymphadenopathy, likely indicating metastatic spread. <b>Conclusion:</b> This case highlights the aggressive progression of advanced retinoblastoma and the consequences of delayed presentation in resource-limited settings. Although the patient demonstrated an initial positive response, clinically tolerating modified exenteration and two cycles of systemic chemotherapy, she rapidly succumbed to the disease. This underscores the critical need for early diagnosis, prompt referral, and improved access to specialized care to enhance outcomes in similar contexts.</p>\",\"PeriodicalId\":9603,\"journal\":{\"name\":\"Case Reports in Ophthalmological Medicine\",\"volume\":\"2025 \",\"pages\":\"1733830\"},\"PeriodicalIF\":0.4000,\"publicationDate\":\"2025-06-08\",\"publicationTypes\":\"Journal Article\",\"fieldsOfStudy\":null,\"isOpenAccess\":false,\"openAccessPdf\":\"https://www.ncbi.nlm.nih.gov/pmc/articles/PMC12170086/pdf/\",\"citationCount\":\"0\",\"resultStr\":null,\"platform\":\"Semanticscholar\",\"paperid\":null,\"PeriodicalName\":\"Case Reports in Ophthalmological Medicine\",\"FirstCategoryId\":\"1085\",\"ListUrlMain\":\"https://doi.org/10.1155/crop/1733830\",\"RegionNum\":0,\"RegionCategory\":null,\"ArticlePicture\":[],\"TitleCN\":null,\"AbstractTextCN\":null,\"PMCID\":null,\"EPubDate\":\"2025/1/1 0:00:00\",\"PubModel\":\"eCollection\",\"JCR\":\"Q4\",\"JCRName\":\"OPHTHALMOLOGY\",\"Score\":null,\"Total\":0}","platform":"Semanticscholar","paperid":null,"PeriodicalName":"Case Reports in Ophthalmological Medicine","FirstCategoryId":"1085","ListUrlMain":"https://doi.org/10.1155/crop/1733830","RegionNum":0,"RegionCategory":null,"ArticlePicture":[],"TitleCN":null,"AbstractTextCN":null,"PMCID":null,"EPubDate":"2025/1/1 0:00:00","PubModel":"eCollection","JCR":"Q4","JCRName":"OPHTHALMOLOGY","Score":null,"Total":0}
引用次数: 0

摘要

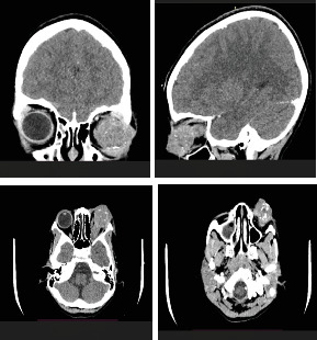
目的:本报告详细介绍了一名9岁的尼日利亚女孩的情况下,以突出和真菌性眼部肿块,这是组织学上证实为视网膜母细胞瘤切除后。视网膜母细胞瘤是最常见的儿童眼内恶性肿瘤,主要影响婴儿和5岁以下儿童,以白斑为最常见的症状。视网膜母细胞瘤发生在大龄儿童是罕见的,往往与非典型的表现。病例总结:一名9岁的尼日利亚女孩,有1年进行性左眼症状,包括发红、疼痛、视力下降和眼球突出。检查发现一个大的,真菌样的眼部肿块,没有光感。影像学检查(b超和CT扫描)证实广泛的玻璃体浸润和视神经受累。术后病理分析证实为视网膜母细胞瘤。患者临床耐受改良的清除和六个计划周期的全身化疗(长春新碱、依托泊苷和卡铂)的前两个。不幸的是,她在随访的第二个月死亡。复发的特点是全身症状和耳前淋巴结肿大的进行性恶化,可能表明转移性扩散。结论:本病例突出了晚期视网膜母细胞瘤的侵袭性进展,以及在资源有限的情况下延迟就诊的后果。虽然患者最初表现出积极的反应,临床耐受改良的清除和两个周期的全身化疗,但她很快就死于这种疾病。这强调了早期诊断、及时转诊和改善获得专门护理的机会的迫切需要,以提高在类似情况下的结果。
本文章由计算机程序翻译,如有差异,请以英文原文为准。

Retinoblastoma in a Young Nigerian Girl: A Case Report From ECWA Eye Hospital, Kano.

Retinoblastoma in a Young Nigerian Girl: A Case Report From ECWA Eye Hospital, Kano.

Retinoblastoma in a Young Nigerian Girl: A Case Report From ECWA Eye Hospital, Kano.

Retinoblastoma in a Young Nigerian Girl: A Case Report From ECWA Eye Hospital, Kano.

Objective: This report details the case of a 9-year-old Nigerian girl presenting with proptosis and a fungating ocular mass, which was histologically confirmed as retinoblastoma following exenteration. Introduction: Retinoblastoma is the most common pediatric intraocular malignancy, predominantly affecting infants and children under the age of 5, with leukocoria being the most frequent presenting symptom. The occurrence of retinoblastoma in older children is rare and often associated with atypical presentations. Case Summary: A 9-year-old Nigerian girl presented with a 1-year history of progressive left eye symptoms, including redness, pain, decreased vision, and proptosis. Examination revealed a large, fungating ocular mass with no light perception. Imaging studies (ultrasound B-scan and CT scan) confirmed extensive vitreous infiltration and optic nerve involvement. Histopathological analysis postmodified exenteration confirmed retinoblastoma. The patient clinically tolerated a modified exenteration and the first two of six planned cycles of systemic chemotherapy (vincristine, etoposide, and carboplatin). Unfortunately, she died during the second month of follow-up. The recurrence was characterized by progressive worsening of systemic symptoms and preauricular lymphadenopathy, likely indicating metastatic spread. Conclusion: This case highlights the aggressive progression of advanced retinoblastoma and the consequences of delayed presentation in resource-limited settings. Although the patient demonstrated an initial positive response, clinically tolerating modified exenteration and two cycles of systemic chemotherapy, she rapidly succumbed to the disease. This underscores the critical need for early diagnosis, prompt referral, and improved access to specialized care to enhance outcomes in similar contexts.

求助全文
通过发布文献求助,成功后即可免费获取论文全文。 去求助
来源期刊
自引率
0.00%
发文量
38
审稿时长
14 weeks
×
引用
GB/T 7714-2015
复制
MLA
复制
APA
复制
导出至
BibTeX EndNote RefMan NoteFirst NoteExpress
×
提示
您的信息不完整,为了账户安全,请先补充。
现在去补充
×
提示
您因"违规操作"
具体请查看互助需知
我知道了
×
提示
确定
请完成安全验证×
copy
已复制链接
快去分享给好友吧!
我知道了
右上角分享
点击右上角分享
0
联系我们:info@booksci.cn Book学术提供免费学术资源搜索服务,方便国内外学者检索中英文文献。致力于提供最便捷和优质的服务体验。 Copyright © 2023 布克学术 All rights reserved.
京ICP备2023020795号-1
ghs 京公网安备 11010802042870号
Book学术文献互助
Book学术文献互助群
群 号:604180095
Book学术官方微信