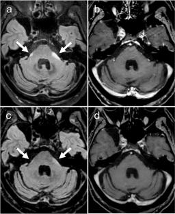
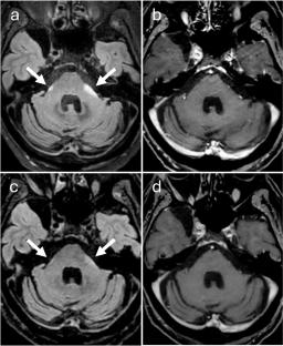
肺腺癌中轻脑膜病的不典型表现:血循环征。

IF 2.1 4区 医学 Q3 CLINICAL NEUROLOGY
Yves Lenaerts, Johan F. Vansteenkiste, Johannes Devos
{"title":"肺腺癌中轻脑膜病的不典型表现:血循环征。","authors":"Yves Lenaerts, Johan F. Vansteenkiste, Johannes Devos","doi":"10.1007/s13760-025-02823-x","DOIUrl":null,"url":null,"abstract":"","PeriodicalId":7042,"journal":{"name":"Acta neurologica Belgica","volume":"125 4","pages":"1135 - 1137"},"PeriodicalIF":2.1000,"publicationDate":"2025-06-17","publicationTypes":"Journal Article","fieldsOfStudy":null,"isOpenAccess":false,"openAccessPdf":"","citationCount":"0","resultStr":"{\"title\":\"Atypical presentation of leptomeningeal disease in lung adenocarcinoma: the bloomy rind sign\",\"authors\":\"Yves Lenaerts, Johan F. Vansteenkiste, Johannes Devos\",\"doi\":\"10.1007/s13760-025-02823-x\",\"DOIUrl\":null,\"url\":null,\"abstract\":\"\",\"PeriodicalId\":7042,\"journal\":{\"name\":\"Acta neurologica Belgica\",\"volume\":\"125 4\",\"pages\":\"1135 - 1137\"},\"PeriodicalIF\":2.1000,\"publicationDate\":\"2025-06-17\",\"publicationTypes\":\"Journal Article\",\"fieldsOfStudy\":null,\"isOpenAccess\":false,\"openAccessPdf\":\"\",\"citationCount\":\"0\",\"resultStr\":null,\"platform\":\"Semanticscholar\",\"paperid\":null,\"PeriodicalName\":\"Acta neurologica Belgica\",\"FirstCategoryId\":\"3\",\"ListUrlMain\":\"https://link.springer.com/article/10.1007/s13760-025-02823-x\",\"RegionNum\":4,\"RegionCategory\":\"医学\",\"ArticlePicture\":[],\"TitleCN\":null,\"AbstractTextCN\":null,\"PMCID\":null,\"EPubDate\":\"\",\"PubModel\":\"\",\"JCR\":\"Q3\",\"JCRName\":\"CLINICAL NEUROLOGY\",\"Score\":null,\"Total\":0}","platform":"Semanticscholar","paperid":null,"PeriodicalName":"Acta neurologica Belgica","FirstCategoryId":"3","ListUrlMain":"https://link.springer.com/article/10.1007/s13760-025-02823-x","RegionNum":4,"RegionCategory":"医学","ArticlePicture":[],"TitleCN":null,"AbstractTextCN":null,"PMCID":null,"EPubDate":"","PubModel":"","JCR":"Q3","JCRName":"CLINICAL NEUROLOGY","Score":null,"Total":0}
引用次数: 0

摘要

本文章由计算机程序翻译,如有差异,请以英文原文为准。

Atypical presentation of leptomeningeal disease in lung adenocarcinoma: the bloomy rind sign

Atypical presentation of leptomeningeal disease in lung adenocarcinoma: the bloomy rind sign

Atypical presentation of leptomeningeal disease in lung adenocarcinoma: the bloomy rind sign
求助全文
通过发布文献求助,成功后即可免费获取论文全文。 去求助
来源期刊
Acta neurologica Belgica
Acta neurologica Belgica 医学-临床神经学
CiteScore
4.20
自引率
3.70%
发文量
300
审稿时长
6-12 weeks
期刊介绍: Peer-reviewed and published quarterly, Acta Neurologica Belgicapresents original articles in the clinical and basic neurosciences, and also reports the proceedings and the abstracts of the scientific meetings of the different partner societies. The contents include commentaries, editorials, review articles, case reports, neuro-images of interest, book reviews and letters to the editor. Acta Neurologica Belgica is the official journal of the following national societies: Belgian Neurological Society Belgian Society for Neuroscience Belgian Society of Clinical Neurophysiology Belgian Pediatric Neurology Society Belgian Study Group of Multiple Sclerosis Belgian Stroke Council Belgian Headache Society Belgian Study Group of Neuropathology
×
引用
GB/T 7714-2015
复制
MLA
复制
APA
复制
导出至
BibTeX EndNote RefMan NoteFirst NoteExpress
×
提示
您的信息不完整,为了账户安全,请先补充。
现在去补充
×
提示
您因"违规操作"
具体请查看互助需知
我知道了
×
提示
确定
请完成安全验证×
copy
已复制链接
快去分享给好友吧!
我知道了
右上角分享
点击右上角分享
0
联系我们:info@booksci.cn Book学术提供免费学术资源搜索服务,方便国内外学者检索中英文文献。致力于提供最便捷和优质的服务体验。 Copyright © 2023 布克学术 All rights reserved.
京ICP备2023020795号-1
ghs 京公网安备 11010802042870号
Book学术文献互助
Book学术文献互助群
群 号:604180095
Book学术官方微信