兔眼外肌电刺激柔性电极的研制。

Korean journal of ophthalmology : KJO Pub Date : 2025-08-01 Epub Date: 2025-06-16 DOI:10.3341/kjo.2025.0067
Hee Kyung Yang, Lee-Woon Jang, Dong Hyun Kim, Jung-Hyun Lee, Jungsuk Kim, Gheeyoung Choe, Jae-Young Lim, Jeong-Min Hwang
{"title":"兔眼外肌电刺激柔性电极的研制。","authors":"Hee Kyung Yang, Lee-Woon Jang, Dong Hyun Kim, Jung-Hyun Lee, Jungsuk Kim, Gheeyoung Choe, Jae-Young Lim, Jeong-Min Hwang","doi":"10.3341/kjo.2025.0067","DOIUrl":null,"url":null,"abstract":"<p><strong>Purpose: </strong>To develop a flexible electrode for electrical stimulation of extraocular muscles and to evaluate the safety of applying direct electrical stimulation to muscles and its potential effects on ocular tissues in rabbits.</p><p><strong>Methods: </strong>A flexible electrode was fabricated using a conventional photolithography process. This electrode comprised a 300-nm-thick platinum layer embedded within a 30-μm-thick polyimide cable. In an in vivo study, five rabbits underwent electrical stimulation of the right superior and inferior rectus muscles. Stimulation consisted of electrical pulses (1 pulse per second, 2.0 mA for 0.1 milliseconds) applied for 5 minutes to the right superior rectus muscle, followed by 5 minutes to the right inferior rectus muscle. This regimen was performed three times a week for 4 weeks. Subsequent histological examination was conducted on the conjunctiva, extraocular muscles, sclera, and retina.</p><p><strong>Results: </strong>Direct electrical stimulation of extraocular muscle using a flexible electrode could successfully elicit eye movement in rabbits. Histologic examination demonstrated no evidence of detrimental effects of the electrical stimulation.</p><p><strong>Conclusions: </strong>Direct electrical stimulation of extraocular muscles using a flexible electrode could safely elicit eye movement without any ocular damage in rabbits.</p>","PeriodicalId":101356,"journal":{"name":"Korean journal of ophthalmology : KJO","volume":" ","pages":"305-311"},"PeriodicalIF":0.0000,"publicationDate":"2025-08-01","publicationTypes":"Journal Article","fieldsOfStudy":null,"isOpenAccess":false,"openAccessPdf":"https://www.ncbi.nlm.nih.gov/pmc/articles/PMC12358727/pdf/","citationCount":"0","resultStr":"{\"title\":\"Development of a Flexible Electrode for Electrical Stimulation of Rabbit Extraocular Muscle.\",\"authors\":\"Hee Kyung Yang, Lee-Woon Jang, Dong Hyun Kim, Jung-Hyun Lee, Jungsuk Kim, Gheeyoung Choe, Jae-Young Lim, Jeong-Min Hwang\",\"doi\":\"10.3341/kjo.2025.0067\",\"DOIUrl\":null,\"url\":null,\"abstract\":\"<p><strong>Purpose: </strong>To develop a flexible electrode for electrical stimulation of extraocular muscles and to evaluate the safety of applying direct electrical stimulation to muscles and its potential effects on ocular tissues in rabbits.</p><p><strong>Methods: </strong>A flexible electrode was fabricated using a conventional photolithography process. This electrode comprised a 300-nm-thick platinum layer embedded within a 30-μm-thick polyimide cable. In an in vivo study, five rabbits underwent electrical stimulation of the right superior and inferior rectus muscles. Stimulation consisted of electrical pulses (1 pulse per second, 2.0 mA for 0.1 milliseconds) applied for 5 minutes to the right superior rectus muscle, followed by 5 minutes to the right inferior rectus muscle. This regimen was performed three times a week for 4 weeks. Subsequent histological examination was conducted on the conjunctiva, extraocular muscles, sclera, and retina.</p><p><strong>Results: </strong>Direct electrical stimulation of extraocular muscle using a flexible electrode could successfully elicit eye movement in rabbits. Histologic examination demonstrated no evidence of detrimental effects of the electrical stimulation.</p><p><strong>Conclusions: </strong>Direct electrical stimulation of extraocular muscles using a flexible electrode could safely elicit eye movement without any ocular damage in rabbits.</p>\",\"PeriodicalId\":101356,\"journal\":{\"name\":\"Korean journal of ophthalmology : KJO\",\"volume\":\" \",\"pages\":\"305-311\"},\"PeriodicalIF\":0.0000,\"publicationDate\":\"2025-08-01\",\"publicationTypes\":\"Journal Article\",\"fieldsOfStudy\":null,\"isOpenAccess\":false,\"openAccessPdf\":\"https://www.ncbi.nlm.nih.gov/pmc/articles/PMC12358727/pdf/\",\"citationCount\":\"0\",\"resultStr\":null,\"platform\":\"Semanticscholar\",\"paperid\":null,\"PeriodicalName\":\"Korean journal of ophthalmology : KJO\",\"FirstCategoryId\":\"1085\",\"ListUrlMain\":\"https://doi.org/10.3341/kjo.2025.0067\",\"RegionNum\":0,\"RegionCategory\":null,\"ArticlePicture\":[],\"TitleCN\":null,\"AbstractTextCN\":null,\"PMCID\":null,\"EPubDate\":\"2025/6/16 0:00:00\",\"PubModel\":\"Epub\",\"JCR\":\"\",\"JCRName\":\"\",\"Score\":null,\"Total\":0}","platform":"Semanticscholar","paperid":null,"PeriodicalName":"Korean journal of ophthalmology : KJO","FirstCategoryId":"1085","ListUrlMain":"https://doi.org/10.3341/kjo.2025.0067","RegionNum":0,"RegionCategory":null,"ArticlePicture":[],"TitleCN":null,"AbstractTextCN":null,"PMCID":null,"EPubDate":"2025/6/16 0:00:00","PubModel":"Epub","JCR":"","JCRName":"","Score":null,"Total":0}
引用次数: 0

摘要

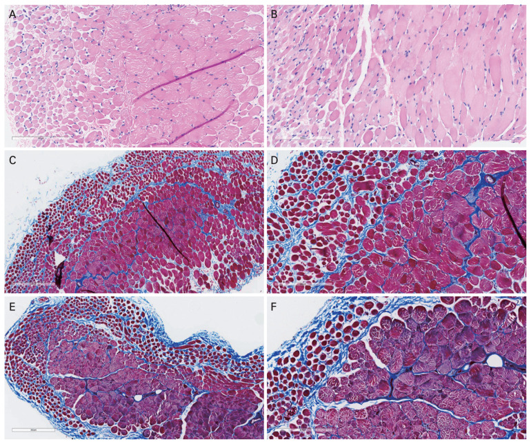
背景/目的:研制一种用于眼外肌电刺激的柔性电极,评价直接电刺激兔眼外肌的安全性及其对眼组织的潜在影响。方法:采用常规光刻工艺制备柔性电极。该电极由嵌在30μm厚的聚酰亚胺电缆内的300nm厚的铂层组成。在一项体内研究中,5只兔子接受了右上、下直肌的电刺激。12次脉冲(1次脉冲/秒,2.0 mA, 0.1 ms持续时间)连续5分钟刺激右上直肌,然后连续5分钟刺激右下直肌。该方案每周进行三次,持续四周。结膜、眼外肌、巩膜、视网膜进行组织学检查。结果:利用柔性电极直接电刺激眼外肌能成功诱导兔眼动。组织学检查未发现电刺激的有害影响。结论:采用柔性电极直接电刺激眼外肌可安全诱导眼球运动,且无眼损伤。
本文章由计算机程序翻译,如有差异,请以英文原文为准。

Development of a Flexible Electrode for Electrical Stimulation of Rabbit Extraocular Muscle.

Development of a Flexible Electrode for Electrical Stimulation of Rabbit Extraocular Muscle.

Development of a Flexible Electrode for Electrical Stimulation of Rabbit Extraocular Muscle.

Development of a Flexible Electrode for Electrical Stimulation of Rabbit Extraocular Muscle.

Purpose: To develop a flexible electrode for electrical stimulation of extraocular muscles and to evaluate the safety of applying direct electrical stimulation to muscles and its potential effects on ocular tissues in rabbits.

Methods: A flexible electrode was fabricated using a conventional photolithography process. This electrode comprised a 300-nm-thick platinum layer embedded within a 30-μm-thick polyimide cable. In an in vivo study, five rabbits underwent electrical stimulation of the right superior and inferior rectus muscles. Stimulation consisted of electrical pulses (1 pulse per second, 2.0 mA for 0.1 milliseconds) applied for 5 minutes to the right superior rectus muscle, followed by 5 minutes to the right inferior rectus muscle. This regimen was performed three times a week for 4 weeks. Subsequent histological examination was conducted on the conjunctiva, extraocular muscles, sclera, and retina.

Results: Direct electrical stimulation of extraocular muscle using a flexible electrode could successfully elicit eye movement in rabbits. Histologic examination demonstrated no evidence of detrimental effects of the electrical stimulation.

Conclusions: Direct electrical stimulation of extraocular muscles using a flexible electrode could safely elicit eye movement without any ocular damage in rabbits.

求助全文
通过发布文献求助,成功后即可免费获取论文全文。 去求助
来源期刊
自引率
0.00%
发文量
0
×
引用
GB/T 7714-2015
复制
MLA
复制
APA
复制
导出至
BibTeX EndNote RefMan NoteFirst NoteExpress
×
提示
您的信息不完整,为了账户安全,请先补充。
现在去补充
×
提示
您因"违规操作"
具体请查看互助需知
我知道了
×
提示
确定
请完成安全验证×
copy
已复制链接
快去分享给好友吧!
我知道了
右上角分享
点击右上角分享
0
联系我们:info@booksci.cn Book学术提供免费学术资源搜索服务,方便国内外学者检索中英文文献。致力于提供最便捷和优质的服务体验。 Copyright © 2023 布克学术 All rights reserved.
京ICP备2023020795号-1
ghs 京公网安备 11010802042870号
Book学术文献互助
Book学术文献互助群
群 号:604180095
Book学术官方微信