术中决策:80例连续标本刮刮细胞学与冷冻切片的比较分析。

IF 1 4区 医学 Q4 MEDICAL LABORATORY TECHNOLOGY
Journal of Cytology Pub Date : 2025-04-01 Epub Date: 2025-05-29 DOI:10.4103/joc.joc_159_24
Manupriya Sharma, Deychen Meyes, Sushma Bharti, Chanderdeep Sharma, Chitresh Kumar, Sudesh Kumar
{"title":"术中决策:80例连续标本刮刮细胞学与冷冻切片的比较分析。","authors":"Manupriya Sharma, Deychen Meyes, Sushma Bharti, Chanderdeep Sharma, Chitresh Kumar, Sudesh Kumar","doi":"10.4103/joc.joc_159_24","DOIUrl":null,"url":null,"abstract":"<p><strong>Introduction: </strong>Intraoperative tumor evaluation is essential for optimizing surgical decision-making and can prevent the need for unnecessary radical surgeries. Although frozen section (FS) is the gold standard for such evaluations in advanced centers, scrape cytology presents a simpler, cost-effective alternative that could be beneficial in resource-limited settings. However, this technique is often overlooked in favor of FS due to greater pathologist confidence in FS.</p><p><strong>Materials and methods: </strong>This study included 80 consecutive intraoperative samples from the Department of Pathology. Both scrape cytology and FS were independently evaluated, and results were compared with those of the final histopathology, taken as the gold standard. Statistical analysis assessed the concordance, sensitivity, specificity, and diagnostic accuracy for each method.</p><p><strong>Results: </strong>Scrape cytology and FS demonstrated a concordance rate of 87.5%, with sensitivity and specificity of 89.3% and 90.4%, respectively, for scrape cytology. Positive predictive value was 83.3%, and negative predictive value was 94%. Scrape cytology significantly reduced diagnostic time, averaging 10 min compared to 20 min for FS. Tissue-specific discrepancies were noted, particularly in lymph nodes and parathyroid cases.</p><p><strong>Conclusion: </strong>Scrape cytology proved to be a reliable, cost-effective, and time-efficient alternative to FS, especially in settings where FS is unavailable. Although FS remains optimal for architectural detail, scrape cytology provides high diagnostic accuracy and utility for intraoperative decision-making in resource-limited environments.</p>","PeriodicalId":50217,"journal":{"name":"Journal of Cytology","volume":"42 2","pages":"75-81"},"PeriodicalIF":1.0000,"publicationDate":"2025-04-01","publicationTypes":"Journal Article","fieldsOfStudy":null,"isOpenAccess":false,"openAccessPdf":"https://www.ncbi.nlm.nih.gov/pmc/articles/PMC12165621/pdf/","citationCount":"0","resultStr":"{\"title\":\"Intraoperative Decision-Making: A Comparative Analysis of Scrape Cytology vs. Frozen Section in Eighty Consecutive Samples.\",\"authors\":\"Manupriya Sharma, Deychen Meyes, Sushma Bharti, Chanderdeep Sharma, Chitresh Kumar, Sudesh Kumar\",\"doi\":\"10.4103/joc.joc_159_24\",\"DOIUrl\":null,\"url\":null,\"abstract\":\"<p><strong>Introduction: </strong>Intraoperative tumor evaluation is essential for optimizing surgical decision-making and can prevent the need for unnecessary radical surgeries. Although frozen section (FS) is the gold standard for such evaluations in advanced centers, scrape cytology presents a simpler, cost-effective alternative that could be beneficial in resource-limited settings. However, this technique is often overlooked in favor of FS due to greater pathologist confidence in FS.</p><p><strong>Materials and methods: </strong>This study included 80 consecutive intraoperative samples from the Department of Pathology. Both scrape cytology and FS were independently evaluated, and results were compared with those of the final histopathology, taken as the gold standard. Statistical analysis assessed the concordance, sensitivity, specificity, and diagnostic accuracy for each method.</p><p><strong>Results: </strong>Scrape cytology and FS demonstrated a concordance rate of 87.5%, with sensitivity and specificity of 89.3% and 90.4%, respectively, for scrape cytology. Positive predictive value was 83.3%, and negative predictive value was 94%. Scrape cytology significantly reduced diagnostic time, averaging 10 min compared to 20 min for FS. Tissue-specific discrepancies were noted, particularly in lymph nodes and parathyroid cases.</p><p><strong>Conclusion: </strong>Scrape cytology proved to be a reliable, cost-effective, and time-efficient alternative to FS, especially in settings where FS is unavailable. Although FS remains optimal for architectural detail, scrape cytology provides high diagnostic accuracy and utility for intraoperative decision-making in resource-limited environments.</p>\",\"PeriodicalId\":50217,\"journal\":{\"name\":\"Journal of Cytology\",\"volume\":\"42 2\",\"pages\":\"75-81\"},\"PeriodicalIF\":1.0000,\"publicationDate\":\"2025-04-01\",\"publicationTypes\":\"Journal Article\",\"fieldsOfStudy\":null,\"isOpenAccess\":false,\"openAccessPdf\":\"https://www.ncbi.nlm.nih.gov/pmc/articles/PMC12165621/pdf/\",\"citationCount\":\"0\",\"resultStr\":null,\"platform\":\"Semanticscholar\",\"paperid\":null,\"PeriodicalName\":\"Journal of Cytology\",\"FirstCategoryId\":\"3\",\"ListUrlMain\":\"https://doi.org/10.4103/joc.joc_159_24\",\"RegionNum\":4,\"RegionCategory\":\"医学\",\"ArticlePicture\":[],\"TitleCN\":null,\"AbstractTextCN\":null,\"PMCID\":null,\"EPubDate\":\"2025/5/29 0:00:00\",\"PubModel\":\"Epub\",\"JCR\":\"Q4\",\"JCRName\":\"MEDICAL LABORATORY TECHNOLOGY\",\"Score\":null,\"Total\":0}","platform":"Semanticscholar","paperid":null,"PeriodicalName":"Journal of Cytology","FirstCategoryId":"3","ListUrlMain":"https://doi.org/10.4103/joc.joc_159_24","RegionNum":4,"RegionCategory":"医学","ArticlePicture":[],"TitleCN":null,"AbstractTextCN":null,"PMCID":null,"EPubDate":"2025/5/29 0:00:00","PubModel":"Epub","JCR":"Q4","JCRName":"MEDICAL LABORATORY TECHNOLOGY","Score":null,"Total":0}
引用次数: 0

摘要

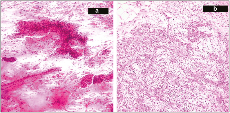
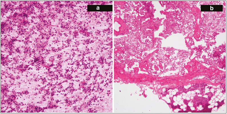
术中肿瘤评估对优化手术决策至关重要,可以避免不必要的根治性手术。虽然冷冻切片(FS)是先进中心此类评估的金标准,但刮片细胞学提供了一种更简单、成本效益更高的替代方法,在资源有限的情况下可能是有益的。然而,由于病理学家对FS有更大的信心,这种技术经常被忽视。材料和方法:本研究包括病理科连续80例术中标本。分别对刮痧细胞学和FS进行独立评估,并将结果与最终组织病理学结果进行比较,作为金标准。统计分析评估了每种方法的一致性、敏感性、特异性和诊断准确性。结果:刮痧细胞学与FS的符合率为87.5%,刮痧细胞学的敏感性和特异性分别为89.3%和90.4%。阳性预测值为83.3%,阴性预测值为94%。刮刮细胞学显著缩短了诊断时间,平均10分钟,而FS为20分钟。注意到组织特异性差异,特别是在淋巴结和甲状旁腺病例中。结论:刮片细胞学被证明是一种可靠、经济、高效的替代FS的方法,特别是在无法获得FS的情况下。虽然FS仍然是最佳的建筑细节,刮痧细胞学提供了高的诊断准确性和实用的在资源有限的环境下的术中决策。
本文章由计算机程序翻译,如有差异,请以英文原文为准。

Intraoperative Decision-Making: A Comparative Analysis of Scrape Cytology vs. Frozen Section in Eighty Consecutive Samples.

Intraoperative Decision-Making: A Comparative Analysis of Scrape Cytology vs. Frozen Section in Eighty Consecutive Samples.

Intraoperative Decision-Making: A Comparative Analysis of Scrape Cytology vs. Frozen Section in Eighty Consecutive Samples.

Intraoperative Decision-Making: A Comparative Analysis of Scrape Cytology vs. Frozen Section in Eighty Consecutive Samples.

Introduction: Intraoperative tumor evaluation is essential for optimizing surgical decision-making and can prevent the need for unnecessary radical surgeries. Although frozen section (FS) is the gold standard for such evaluations in advanced centers, scrape cytology presents a simpler, cost-effective alternative that could be beneficial in resource-limited settings. However, this technique is often overlooked in favor of FS due to greater pathologist confidence in FS.

Materials and methods: This study included 80 consecutive intraoperative samples from the Department of Pathology. Both scrape cytology and FS were independently evaluated, and results were compared with those of the final histopathology, taken as the gold standard. Statistical analysis assessed the concordance, sensitivity, specificity, and diagnostic accuracy for each method.

Results: Scrape cytology and FS demonstrated a concordance rate of 87.5%, with sensitivity and specificity of 89.3% and 90.4%, respectively, for scrape cytology. Positive predictive value was 83.3%, and negative predictive value was 94%. Scrape cytology significantly reduced diagnostic time, averaging 10 min compared to 20 min for FS. Tissue-specific discrepancies were noted, particularly in lymph nodes and parathyroid cases.

Conclusion: Scrape cytology proved to be a reliable, cost-effective, and time-efficient alternative to FS, especially in settings where FS is unavailable. Although FS remains optimal for architectural detail, scrape cytology provides high diagnostic accuracy and utility for intraoperative decision-making in resource-limited environments.

求助全文
通过发布文献求助,成功后即可免费获取论文全文。 去求助
来源期刊
Journal of Cytology
Journal of Cytology MEDICAL LABORATORY TECHNOLOGY-
CiteScore
1.80
自引率
7.70%
发文量
34
审稿时长
46 weeks
期刊介绍: The Journal of Cytology is the official Quarterly publication of the Indian Academy of Cytologists. It is in the 25th year of publication in the year 2008. The journal covers all aspects of diagnostic cytology, including fine needle aspiration cytology, gynecological and non-gynecological cytology. Articles on ancillary techniques, like cytochemistry, immunocytochemistry, electron microscopy, molecular cytopathology, as applied to cytological material are also welcome. The journal gives preference to clinically oriented studies over experimental and animal studies. The Journal would publish peer-reviewed original research papers, case reports, systematic reviews, meta-analysis, and debates.
×
引用
GB/T 7714-2015
复制
MLA
复制
APA
复制
导出至
BibTeX EndNote RefMan NoteFirst NoteExpress
×
提示
您的信息不完整,为了账户安全,请先补充。
现在去补充
×
提示
您因"违规操作"
具体请查看互助需知
我知道了
×
提示
确定
请完成安全验证×
copy
已复制链接
快去分享给好友吧!
我知道了
右上角分享
点击右上角分享
0
联系我们:info@booksci.cn Book学术提供免费学术资源搜索服务,方便国内外学者检索中英文文献。致力于提供最便捷和优质的服务体验。 Copyright © 2023 布克学术 All rights reserved.
京ICP备2023020795号-1
ghs 京公网安备 11010802042870号
Book学术文献互助
Book学术文献互助群
群 号:604180095
Book学术官方微信