上颌窦穿孔后的症状性上颌窦保留囊肿1例报告。

IF 0.9 Q4 DENTISTRY, ORAL SURGERY & MEDICINE
Case Reports in Dentistry Pub Date : 2025-06-06 eCollection Date: 2025-01-01 DOI:10.1155/crid/1849358
Arta Sinanaj Demiri, Shaqir Demiri, Edin Demiri, Besir Salihu
{"title":"上颌窦穿孔后的症状性上颌窦保留囊肿1例报告。","authors":"Arta Sinanaj Demiri, Shaqir Demiri, Edin Demiri, Besir Salihu","doi":"10.1155/crid/1849358","DOIUrl":null,"url":null,"abstract":"<p><p>Maxillary sinus retention cysts (MSRCs) are benign, fluid-filled lesions most often discovered incidentally on radiographic imaging. Although typically asymptomatic, larger cysts may lead to clinical symptoms due to pressure on surrounding sinus structures. This report presents a rare symptomatic case of an MSRC in a 70-year-old female patient with a prior history of sinus perforation following upper molar extraction. The patient experienced severe unilateral facial pain, nasal congestion, debilitating headaches, and dizziness over a 6-month period. Radiographic imaging (CT scan) revealed a well-circumscribed, dome-shaped lesion in the right maxillary sinus without signs of bone erosion. Given the failure of conservative management and the intensity of symptoms, surgical intervention via the Caldwell-Luc approach was performed. Intraoperatively, the cystic lesion was enucleated and sent for histopathological examination. Histology confirmed a benign retention cyst lined with respiratory epithelium, along with inflammatory infiltrates and the unusual presence of cholesterol crystals, which is an uncommon finding in MSRCs. The patient's history of sinus perforation likely contributed to chronic inflammation and cyst formation. This case emphasizes the importance of considering dental history, particularly previous maxillary molar extractions with sinus involvement, in patients presenting with atypical sinus symptoms. While endoscopic sinus surgery is often the preferred approach, the Caldwell-Luc procedure remains valuable in selected cases with complex anatomy or previous surgical alterations. Clinicians should be aware of rare presentations of MSRCs that may require tailored surgical management for symptom resolution and recurrence prevention.</p>","PeriodicalId":46841,"journal":{"name":"Case Reports in Dentistry","volume":"2025 ","pages":"1849358"},"PeriodicalIF":0.9000,"publicationDate":"2025-06-06","publicationTypes":"Journal Article","fieldsOfStudy":null,"isOpenAccess":false,"openAccessPdf":"https://www.ncbi.nlm.nih.gov/pmc/articles/PMC12165754/pdf/","citationCount":"0","resultStr":"{\"title\":\"Symptomatic Maxillary Sinus Retention Cyst Following a Prior Sinus Perforation: A Case Report.\",\"authors\":\"Arta Sinanaj Demiri, Shaqir Demiri, Edin Demiri, Besir Salihu\",\"doi\":\"10.1155/crid/1849358\",\"DOIUrl\":null,\"url\":null,\"abstract\":\"<p><p>Maxillary sinus retention cysts (MSRCs) are benign, fluid-filled lesions most often discovered incidentally on radiographic imaging. Although typically asymptomatic, larger cysts may lead to clinical symptoms due to pressure on surrounding sinus structures. This report presents a rare symptomatic case of an MSRC in a 70-year-old female patient with a prior history of sinus perforation following upper molar extraction. The patient experienced severe unilateral facial pain, nasal congestion, debilitating headaches, and dizziness over a 6-month period. Radiographic imaging (CT scan) revealed a well-circumscribed, dome-shaped lesion in the right maxillary sinus without signs of bone erosion. Given the failure of conservative management and the intensity of symptoms, surgical intervention via the Caldwell-Luc approach was performed. Intraoperatively, the cystic lesion was enucleated and sent for histopathological examination. Histology confirmed a benign retention cyst lined with respiratory epithelium, along with inflammatory infiltrates and the unusual presence of cholesterol crystals, which is an uncommon finding in MSRCs. The patient's history of sinus perforation likely contributed to chronic inflammation and cyst formation. This case emphasizes the importance of considering dental history, particularly previous maxillary molar extractions with sinus involvement, in patients presenting with atypical sinus symptoms. While endoscopic sinus surgery is often the preferred approach, the Caldwell-Luc procedure remains valuable in selected cases with complex anatomy or previous surgical alterations. Clinicians should be aware of rare presentations of MSRCs that may require tailored surgical management for symptom resolution and recurrence prevention.</p>\",\"PeriodicalId\":46841,\"journal\":{\"name\":\"Case Reports in Dentistry\",\"volume\":\"2025 \",\"pages\":\"1849358\"},\"PeriodicalIF\":0.9000,\"publicationDate\":\"2025-06-06\",\"publicationTypes\":\"Journal Article\",\"fieldsOfStudy\":null,\"isOpenAccess\":false,\"openAccessPdf\":\"https://www.ncbi.nlm.nih.gov/pmc/articles/PMC12165754/pdf/\",\"citationCount\":\"0\",\"resultStr\":null,\"platform\":\"Semanticscholar\",\"paperid\":null,\"PeriodicalName\":\"Case Reports in Dentistry\",\"FirstCategoryId\":\"1085\",\"ListUrlMain\":\"https://doi.org/10.1155/crid/1849358\",\"RegionNum\":0,\"RegionCategory\":null,\"ArticlePicture\":[],\"TitleCN\":null,\"AbstractTextCN\":null,\"PMCID\":null,\"EPubDate\":\"2025/1/1 0:00:00\",\"PubModel\":\"eCollection\",\"JCR\":\"Q4\",\"JCRName\":\"DENTISTRY, ORAL SURGERY & MEDICINE\",\"Score\":null,\"Total\":0}","platform":"Semanticscholar","paperid":null,"PeriodicalName":"Case Reports in Dentistry","FirstCategoryId":"1085","ListUrlMain":"https://doi.org/10.1155/crid/1849358","RegionNum":0,"RegionCategory":null,"ArticlePicture":[],"TitleCN":null,"AbstractTextCN":null,"PMCID":null,"EPubDate":"2025/1/1 0:00:00","PubModel":"eCollection","JCR":"Q4","JCRName":"DENTISTRY, ORAL SURGERY & MEDICINE","Score":null,"Total":0}
引用次数: 0

摘要

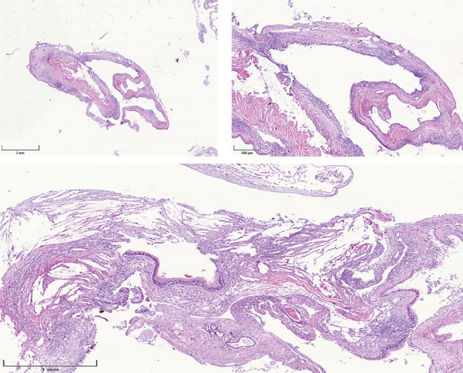
上颌窦潴留囊肿(msrc)是一种良性的充满液体的病变,通常在x线影像上偶然发现。虽然通常无症状,但较大的囊肿可能由于周围窦结构的压力而导致临床症状。本文报告一例罕见的MSRC症状病例,患者为70岁女性,有上颌磨牙拔牙后鼻窦穿孔病史。患者经历了严重的单侧面部疼痛、鼻塞、头痛和头晕,持续了6个月。x线影像(CT扫描)显示右侧上颌窦有一界限清楚的圆顶状病变,无骨侵蚀征象。鉴于保守治疗的失败和症状的强度,通过Caldwell-Luc入路进行手术干预。术中,囊性病变被去核并送去组织病理检查。组织学证实为呼吸上皮内衬的良性保留囊肿,伴炎症浸润和不寻常的胆固醇结晶,这在msrc中并不常见。患者的鼻窦穿孔史可能导致慢性炎症和囊肿形成。本病例强调了在出现非典型鼻窦症状的患者中考虑牙齿病史的重要性,特别是以前的上颌磨牙拔牙累及鼻窦。虽然内窥镜鼻窦手术通常是首选的方法,但Caldwell-Luc手术在某些解剖结构复杂或既往手术改变的病例中仍然有价值。临床医生应该意识到msrc的罕见表现可能需要量身定制的手术治疗来缓解症状和预防复发。
本文章由计算机程序翻译,如有差异,请以英文原文为准。

Symptomatic Maxillary Sinus Retention Cyst Following a Prior Sinus Perforation: A Case Report.

Symptomatic Maxillary Sinus Retention Cyst Following a Prior Sinus Perforation: A Case Report.

Symptomatic Maxillary Sinus Retention Cyst Following a Prior Sinus Perforation: A Case Report.

Symptomatic Maxillary Sinus Retention Cyst Following a Prior Sinus Perforation: A Case Report.

Maxillary sinus retention cysts (MSRCs) are benign, fluid-filled lesions most often discovered incidentally on radiographic imaging. Although typically asymptomatic, larger cysts may lead to clinical symptoms due to pressure on surrounding sinus structures. This report presents a rare symptomatic case of an MSRC in a 70-year-old female patient with a prior history of sinus perforation following upper molar extraction. The patient experienced severe unilateral facial pain, nasal congestion, debilitating headaches, and dizziness over a 6-month period. Radiographic imaging (CT scan) revealed a well-circumscribed, dome-shaped lesion in the right maxillary sinus without signs of bone erosion. Given the failure of conservative management and the intensity of symptoms, surgical intervention via the Caldwell-Luc approach was performed. Intraoperatively, the cystic lesion was enucleated and sent for histopathological examination. Histology confirmed a benign retention cyst lined with respiratory epithelium, along with inflammatory infiltrates and the unusual presence of cholesterol crystals, which is an uncommon finding in MSRCs. The patient's history of sinus perforation likely contributed to chronic inflammation and cyst formation. This case emphasizes the importance of considering dental history, particularly previous maxillary molar extractions with sinus involvement, in patients presenting with atypical sinus symptoms. While endoscopic sinus surgery is often the preferred approach, the Caldwell-Luc procedure remains valuable in selected cases with complex anatomy or previous surgical alterations. Clinicians should be aware of rare presentations of MSRCs that may require tailored surgical management for symptom resolution and recurrence prevention.

求助全文
通过发布文献求助,成功后即可免费获取论文全文。 去求助
来源期刊
Case Reports in Dentistry
Case Reports in Dentistry DENTISTRY, ORAL SURGERY & MEDICINE-
CiteScore
1.40
自引率
12.50%
发文量
107
审稿时长
14 weeks
期刊介绍: Case Reports in Dentistry is a peer-reviewed, Open Access journal that publishes case reports and case series in all areas of dentistry, including periodontal diseases, dental implants, oral pathology, as well as oral and maxillofacial surgery.
×
引用
GB/T 7714-2015
复制
MLA
复制
APA
复制
导出至
BibTeX EndNote RefMan NoteFirst NoteExpress
×
提示
您的信息不完整,为了账户安全,请先补充。
现在去补充
×
提示
您因"违规操作"
具体请查看互助需知
我知道了
×
提示
确定
请完成安全验证×
copy
已复制链接
快去分享给好友吧!
我知道了
右上角分享
点击右上角分享
0
联系我们:info@booksci.cn Book学术提供免费学术资源搜索服务,方便国内外学者检索中英文文献。致力于提供最便捷和优质的服务体验。 Copyright © 2023 布克学术 All rights reserved.
京ICP备2023020795号-1
ghs 京公网安备 11010802042870号
Book学术文献互助
Book学术文献互助群
群 号:604180095
Book学术官方微信