滥用可卡因对高血糖危机的多重影响:罪魁祸首或同谋,但绝不是无辜的旁观者。

IF 3 Q3 ENDOCRINOLOGY & METABOLISM
Chaoneng Wu, Sujata Kambhatla, Andrew Zazaian, Ali Jaber, Barry Brenner, Chadi Saad
{"title":"滥用可卡因对高血糖危机的多重影响:罪魁祸首或同谋,但绝不是无辜的旁观者。","authors":"Chaoneng Wu, Sujata Kambhatla, Andrew Zazaian, Ali Jaber, Barry Brenner, Chadi Saad","doi":"10.1177/11795514251341383","DOIUrl":null,"url":null,"abstract":"<p><p>Hyperglycemic crises, including diabetic ketoacidosis (DKA) and hyperglycemic hyperosmolar state (HHS), significantly affect clinical outcomes and impose a heavy economic burden. Among the steadily increased recreational drug abuse, cocaine has become the most frequently misused substance. However, there is limited understanding of the relationship between cocaine use and hyperglycemic crises. We report 4 cases retrospectively to examine the relationship between cocaine abuse and DKA/HHS. In Case 1, a patient with Type 1 diabetes mellitus (T1DM) presented with altered mental status and a combination of DKA and HHS, where cocaine use led to missed insulin doses, resulting in the crisis. Case 2 involved the same patient who later developed DKA due to cavitary pneumonia and sepsis, requiring mechanical ventilation, vasopressors, and renal replacement therapy. Cocaine inhalation caused pulmonary damage that triggered DKA. Case 3 involved a patient with Type 2 diabetes mellitus (T2DM) who abused cocaine intravenously, leading to DKA-HHS and necrotizing fasciitis that required emergency surgery. Case 4 was a patient with obesity, insulin resistance, and T2DM on oral medications, where cocaine likely exacerbated insulin resistance and triggered DKA. In all 4 cases, treatment focused on aggressive rehydration, insulin infusion, electrolyte correction, and addressing underlying causes. The hyperglycemic crises resolved within 12 to 24 hours. However, managing cocaine-related complications proved difficult, leading to high morbidity and mortality rates, including altered mental status with airway issues, kidney failure, rhabdomyolysis, and infections that could result in septic shock or death. In Case 4, cocaine use significantly worsened insulin resistance and T2DM, contributing to DKA. In conclusion, cocaine abuse has multiple effects and can act as an unusual trigger for hyperglycemic crises by causing missed insulin doses, dehydration, infections, and chronic worsening of insulin resistance. Cocaine abuse can trigger and/or worsen hyperglycemic crises through various mechanisms, such as damage to the cardiopulmonary and renal systems, psychosocial changes, weakened immunity and infections, and alterations in hormones and metabolism (Figure 3). We suggest incorporating questions about substance abuse into routine patient history assessment and performing toxicology screenings, particularly for individuals who have frequent admissions for DKA/HHS. Additionally, we share our expertise in managing this specific group of patients.</p>","PeriodicalId":44715,"journal":{"name":"Clinical Medicine Insights-Endocrinology and Diabetes","volume":"18 ","pages":"11795514251341383"},"PeriodicalIF":3.0000,"publicationDate":"2025-06-13","publicationTypes":"Journal Article","fieldsOfStudy":null,"isOpenAccess":false,"openAccessPdf":"https://www.ncbi.nlm.nih.gov/pmc/articles/PMC12166241/pdf/","citationCount":"0","resultStr":"{\"title\":\"Pleiotropic Effects of Cocaine Abuse in Hyperglycemic Crisis: Main Culprit or Accomplice but Never an Innocent Bystander.\",\"authors\":\"Chaoneng Wu, Sujata Kambhatla, Andrew Zazaian, Ali Jaber, Barry Brenner, Chadi Saad\",\"doi\":\"10.1177/11795514251341383\",\"DOIUrl\":null,\"url\":null,\"abstract\":\"<p><p>Hyperglycemic crises, including diabetic ketoacidosis (DKA) and hyperglycemic hyperosmolar state (HHS), significantly affect clinical outcomes and impose a heavy economic burden. Among the steadily increased recreational drug abuse, cocaine has become the most frequently misused substance. However, there is limited understanding of the relationship between cocaine use and hyperglycemic crises. We report 4 cases retrospectively to examine the relationship between cocaine abuse and DKA/HHS. In Case 1, a patient with Type 1 diabetes mellitus (T1DM) presented with altered mental status and a combination of DKA and HHS, where cocaine use led to missed insulin doses, resulting in the crisis. Case 2 involved the same patient who later developed DKA due to cavitary pneumonia and sepsis, requiring mechanical ventilation, vasopressors, and renal replacement therapy. Cocaine inhalation caused pulmonary damage that triggered DKA. Case 3 involved a patient with Type 2 diabetes mellitus (T2DM) who abused cocaine intravenously, leading to DKA-HHS and necrotizing fasciitis that required emergency surgery. Case 4 was a patient with obesity, insulin resistance, and T2DM on oral medications, where cocaine likely exacerbated insulin resistance and triggered DKA. In all 4 cases, treatment focused on aggressive rehydration, insulin infusion, electrolyte correction, and addressing underlying causes. The hyperglycemic crises resolved within 12 to 24 hours. However, managing cocaine-related complications proved difficult, leading to high morbidity and mortality rates, including altered mental status with airway issues, kidney failure, rhabdomyolysis, and infections that could result in septic shock or death. In Case 4, cocaine use significantly worsened insulin resistance and T2DM, contributing to DKA. In conclusion, cocaine abuse has multiple effects and can act as an unusual trigger for hyperglycemic crises by causing missed insulin doses, dehydration, infections, and chronic worsening of insulin resistance. Cocaine abuse can trigger and/or worsen hyperglycemic crises through various mechanisms, such as damage to the cardiopulmonary and renal systems, psychosocial changes, weakened immunity and infections, and alterations in hormones and metabolism (Figure 3). We suggest incorporating questions about substance abuse into routine patient history assessment and performing toxicology screenings, particularly for individuals who have frequent admissions for DKA/HHS. Additionally, we share our expertise in managing this specific group of patients.</p>\",\"PeriodicalId\":44715,\"journal\":{\"name\":\"Clinical Medicine Insights-Endocrinology and Diabetes\",\"volume\":\"18 \",\"pages\":\"11795514251341383\"},\"PeriodicalIF\":3.0000,\"publicationDate\":\"2025-06-13\",\"publicationTypes\":\"Journal Article\",\"fieldsOfStudy\":null,\"isOpenAccess\":false,\"openAccessPdf\":\"https://www.ncbi.nlm.nih.gov/pmc/articles/PMC12166241/pdf/\",\"citationCount\":\"0\",\"resultStr\":null,\"platform\":\"Semanticscholar\",\"paperid\":null,\"PeriodicalName\":\"Clinical Medicine Insights-Endocrinology and Diabetes\",\"FirstCategoryId\":\"1085\",\"ListUrlMain\":\"https://doi.org/10.1177/11795514251341383\",\"RegionNum\":0,\"RegionCategory\":null,\"ArticlePicture\":[],\"TitleCN\":null,\"AbstractTextCN\":null,\"PMCID\":null,\"EPubDate\":\"2025/1/1 0:00:00\",\"PubModel\":\"eCollection\",\"JCR\":\"Q3\",\"JCRName\":\"ENDOCRINOLOGY & METABOLISM\",\"Score\":null,\"Total\":0}","platform":"Semanticscholar","paperid":null,"PeriodicalName":"Clinical Medicine Insights-Endocrinology and Diabetes","FirstCategoryId":"1085","ListUrlMain":"https://doi.org/10.1177/11795514251341383","RegionNum":0,"RegionCategory":null,"ArticlePicture":[],"TitleCN":null,"AbstractTextCN":null,"PMCID":null,"EPubDate":"2025/1/1 0:00:00","PubModel":"eCollection","JCR":"Q3","JCRName":"ENDOCRINOLOGY & METABOLISM","Score":null,"Total":0}
引用次数: 0

摘要

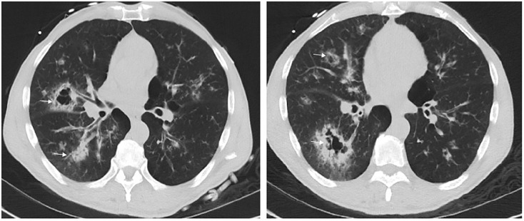
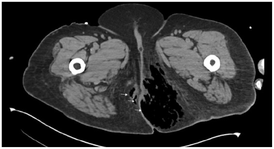
高血糖危机,包括糖尿病酮症酸中毒(DKA)和高血糖高渗状态(HHS),显著影响临床结果并造成沉重的经济负担。在不断增加的娱乐性药物滥用中,可卡因已成为最常被滥用的物质。然而,人们对可卡因使用与高血糖危机之间的关系了解有限。我们回顾性报告了4例可卡因滥用与DKA/HHS之间的关系。在病例1中,1型糖尿病(T1DM)患者表现为精神状态改变和DKA和HHS合并,其中可卡因使用导致错过胰岛素剂量,导致危机。病例2为同一例患者,后来因空洞性肺炎和败血症发展为DKA,需要机械通气、血管加压药和肾脏替代治疗。可卡因吸入导致肺部损伤,引发DKA。病例3涉及一名2型糖尿病(T2DM)患者,他静脉滥用可卡因,导致DKA-HHS和坏死性筋膜炎,需要紧急手术。病例4是一名肥胖、胰岛素抵抗和2型糖尿病患者,服用口服药物,可卡因可能加剧胰岛素抵抗并引发DKA。在所有4例病例中,治疗重点是积极补液、胰岛素输注、电解质纠正和解决潜在原因。高血糖危机在12至24小时内得到解决。然而,控制可卡因相关并发症证明是困难的,导致高发病率和死亡率,包括因呼吸道问题导致的精神状态改变、肾衰竭、横纹肌溶解和可能导致感染性休克或死亡的感染。在病例4中,可卡因使用显著加重了胰岛素抵抗和2型糖尿病,导致DKA。综上所述,可卡因滥用有多重影响,可以通过导致胰岛素剂量不足、脱水、感染和胰岛素抵抗的慢性恶化而引发高血糖危机。可卡因滥用可通过多种机制触发和/或加重高血糖危象,如对心肺和肾脏系统的损害、社会心理变化、免疫力减弱和感染,以及激素和代谢的改变(图3)。我们建议将药物滥用问题纳入常规的患者病史评估和进行毒理学筛查,特别是对经常入院的DKA/HHS患者。此外,我们分享我们在管理这一特定患者群体方面的专业知识。
本文章由计算机程序翻译,如有差异,请以英文原文为准。

Pleiotropic Effects of Cocaine Abuse in Hyperglycemic Crisis: Main Culprit or Accomplice but Never an Innocent Bystander.

Pleiotropic Effects of Cocaine Abuse in Hyperglycemic Crisis: Main Culprit or Accomplice but Never an Innocent Bystander.

Pleiotropic Effects of Cocaine Abuse in Hyperglycemic Crisis: Main Culprit or Accomplice but Never an Innocent Bystander.

Pleiotropic Effects of Cocaine Abuse in Hyperglycemic Crisis: Main Culprit or Accomplice but Never an Innocent Bystander.

Hyperglycemic crises, including diabetic ketoacidosis (DKA) and hyperglycemic hyperosmolar state (HHS), significantly affect clinical outcomes and impose a heavy economic burden. Among the steadily increased recreational drug abuse, cocaine has become the most frequently misused substance. However, there is limited understanding of the relationship between cocaine use and hyperglycemic crises. We report 4 cases retrospectively to examine the relationship between cocaine abuse and DKA/HHS. In Case 1, a patient with Type 1 diabetes mellitus (T1DM) presented with altered mental status and a combination of DKA and HHS, where cocaine use led to missed insulin doses, resulting in the crisis. Case 2 involved the same patient who later developed DKA due to cavitary pneumonia and sepsis, requiring mechanical ventilation, vasopressors, and renal replacement therapy. Cocaine inhalation caused pulmonary damage that triggered DKA. Case 3 involved a patient with Type 2 diabetes mellitus (T2DM) who abused cocaine intravenously, leading to DKA-HHS and necrotizing fasciitis that required emergency surgery. Case 4 was a patient with obesity, insulin resistance, and T2DM on oral medications, where cocaine likely exacerbated insulin resistance and triggered DKA. In all 4 cases, treatment focused on aggressive rehydration, insulin infusion, electrolyte correction, and addressing underlying causes. The hyperglycemic crises resolved within 12 to 24 hours. However, managing cocaine-related complications proved difficult, leading to high morbidity and mortality rates, including altered mental status with airway issues, kidney failure, rhabdomyolysis, and infections that could result in septic shock or death. In Case 4, cocaine use significantly worsened insulin resistance and T2DM, contributing to DKA. In conclusion, cocaine abuse has multiple effects and can act as an unusual trigger for hyperglycemic crises by causing missed insulin doses, dehydration, infections, and chronic worsening of insulin resistance. Cocaine abuse can trigger and/or worsen hyperglycemic crises through various mechanisms, such as damage to the cardiopulmonary and renal systems, psychosocial changes, weakened immunity and infections, and alterations in hormones and metabolism (Figure 3). We suggest incorporating questions about substance abuse into routine patient history assessment and performing toxicology screenings, particularly for individuals who have frequent admissions for DKA/HHS. Additionally, we share our expertise in managing this specific group of patients.

求助全文
通过发布文献求助,成功后即可免费获取论文全文。 去求助
来源期刊
CiteScore
4.30
自引率
0.00%
发文量
15
审稿时长
8 weeks
×
引用
GB/T 7714-2015
复制
MLA
复制
APA
复制
导出至
BibTeX EndNote RefMan NoteFirst NoteExpress
×
提示
您的信息不完整,为了账户安全,请先补充。
现在去补充
×
提示
您因"违规操作"
具体请查看互助需知
我知道了
×
提示
确定
请完成安全验证×
copy
已复制链接
快去分享给好友吧!
我知道了
右上角分享
点击右上角分享
0
联系我们:info@booksci.cn Book学术提供免费学术资源搜索服务,方便国内外学者检索中英文文献。致力于提供最便捷和优质的服务体验。 Copyright © 2023 布克学术 All rights reserved.
京ICP备2023020795号-1
ghs 京公网安备 11010802042870号
Book学术文献互助
Book学术文献互助群
群 号:604180095
Book学术官方微信