导航模糊生殖器:一个阿富汗男孩的异常生殖细胞瘤病例。

IF 0.7 Q3 MEDICINE, GENERAL & INTERNAL
International Medical Case Reports Journal Pub Date : 2025-06-09 eCollection Date: 2025-01-01 DOI:10.2147/IMCRJ.S525745
Murtaza Haidary, Mohammad Amin Yamal, Abdul Manan Bawary, Haider Ali Malakzai, Ahmed Nasir Hanifi, Mujtaba Haidari
{"title":"导航模糊生殖器:一个阿富汗男孩的异常生殖细胞瘤病例。","authors":"Murtaza Haidary, Mohammad Amin Yamal, Abdul Manan Bawary, Haider Ali Malakzai, Ahmed Nasir Hanifi, Mujtaba Haidari","doi":"10.2147/IMCRJ.S525745","DOIUrl":null,"url":null,"abstract":"<p><strong>Introduction: </strong>Ambiguous genitalia (AG) present significant challenges in both diagnosis and management. Often associated with disorders of sexual development (DSD), AG can lead to complex medical scenarios, including an increased risk of malignant transformation. This case report underscores the importance of recognizing the clinical implications of AG and the necessity for careful monitoring.</p><p><strong>Case presentation: </strong>We present the case of a 22-year-old male who presented with abdominal pain and distension. Upon physical examination, he exhibited characteristics consistent with ambiguous genitalia, including a small penis and an absent scrotal sac. The diagnostic imaging, particularly computed tomography (CT) scans, revealed a large solid mass in the left adnexa. This mass displayed lobulated outlines and speckled calcifications, which raised concerns for a potentially malignant process. Given the findings, the patient underwent surgical intervention, which included a total abdominal hysterectomy, bilateral salpingo-oophorectomy, and omentectomy to ensure complete removal of the tumor and surrounding affected tissues. Histopathological analysis of the excised tissue confirmed the diagnosis of dysgerminoma, a type of germ cell tumor known for its malignant potential.</p><p><strong>Conclusion: </strong>This case highlights the critical need for vigilant surveillance for malignancy in patients with ambiguous genitalia. The inherent risk factors associated with AG necessitate a proactive approach to patient management, including regular imaging and timely surgical interventions. By adopting a comprehensive care strategy, healthcare providers can optimize patient outcomes and address the unique challenges posed by disorders of sexual development. Continuous monitoring and early intervention are paramount in mitigating the risks of tumor development in this vulnerable demographic.</p>","PeriodicalId":14337,"journal":{"name":"International Medical Case Reports Journal","volume":"18 ","pages":"691-697"},"PeriodicalIF":0.7000,"publicationDate":"2025-06-09","publicationTypes":"Journal Article","fieldsOfStudy":null,"isOpenAccess":false,"openAccessPdf":"https://www.ncbi.nlm.nih.gov/pmc/articles/PMC12165697/pdf/","citationCount":"0","resultStr":"{\"title\":\"Navigating Ambiguous Genitalia: A Case of Dysgerminoma in an Afghan Boy.\",\"authors\":\"Murtaza Haidary, Mohammad Amin Yamal, Abdul Manan Bawary, Haider Ali Malakzai, Ahmed Nasir Hanifi, Mujtaba Haidari\",\"doi\":\"10.2147/IMCRJ.S525745\",\"DOIUrl\":null,\"url\":null,\"abstract\":\"<p><strong>Introduction: </strong>Ambiguous genitalia (AG) present significant challenges in both diagnosis and management. Often associated with disorders of sexual development (DSD), AG can lead to complex medical scenarios, including an increased risk of malignant transformation. This case report underscores the importance of recognizing the clinical implications of AG and the necessity for careful monitoring.</p><p><strong>Case presentation: </strong>We present the case of a 22-year-old male who presented with abdominal pain and distension. Upon physical examination, he exhibited characteristics consistent with ambiguous genitalia, including a small penis and an absent scrotal sac. The diagnostic imaging, particularly computed tomography (CT) scans, revealed a large solid mass in the left adnexa. This mass displayed lobulated outlines and speckled calcifications, which raised concerns for a potentially malignant process. Given the findings, the patient underwent surgical intervention, which included a total abdominal hysterectomy, bilateral salpingo-oophorectomy, and omentectomy to ensure complete removal of the tumor and surrounding affected tissues. Histopathological analysis of the excised tissue confirmed the diagnosis of dysgerminoma, a type of germ cell tumor known for its malignant potential.</p><p><strong>Conclusion: </strong>This case highlights the critical need for vigilant surveillance for malignancy in patients with ambiguous genitalia. The inherent risk factors associated with AG necessitate a proactive approach to patient management, including regular imaging and timely surgical interventions. By adopting a comprehensive care strategy, healthcare providers can optimize patient outcomes and address the unique challenges posed by disorders of sexual development. Continuous monitoring and early intervention are paramount in mitigating the risks of tumor development in this vulnerable demographic.</p>\",\"PeriodicalId\":14337,\"journal\":{\"name\":\"International Medical Case Reports Journal\",\"volume\":\"18 \",\"pages\":\"691-697\"},\"PeriodicalIF\":0.7000,\"publicationDate\":\"2025-06-09\",\"publicationTypes\":\"Journal Article\",\"fieldsOfStudy\":null,\"isOpenAccess\":false,\"openAccessPdf\":\"https://www.ncbi.nlm.nih.gov/pmc/articles/PMC12165697/pdf/\",\"citationCount\":\"0\",\"resultStr\":null,\"platform\":\"Semanticscholar\",\"paperid\":null,\"PeriodicalName\":\"International Medical Case Reports Journal\",\"FirstCategoryId\":\"1085\",\"ListUrlMain\":\"https://doi.org/10.2147/IMCRJ.S525745\",\"RegionNum\":0,\"RegionCategory\":null,\"ArticlePicture\":[],\"TitleCN\":null,\"AbstractTextCN\":null,\"PMCID\":null,\"EPubDate\":\"2025/1/1 0:00:00\",\"PubModel\":\"eCollection\",\"JCR\":\"Q3\",\"JCRName\":\"MEDICINE, GENERAL & INTERNAL\",\"Score\":null,\"Total\":0}","platform":"Semanticscholar","paperid":null,"PeriodicalName":"International Medical Case Reports Journal","FirstCategoryId":"1085","ListUrlMain":"https://doi.org/10.2147/IMCRJ.S525745","RegionNum":0,"RegionCategory":null,"ArticlePicture":[],"TitleCN":null,"AbstractTextCN":null,"PMCID":null,"EPubDate":"2025/1/1 0:00:00","PubModel":"eCollection","JCR":"Q3","JCRName":"MEDICINE, GENERAL & INTERNAL","Score":null,"Total":0}
引用次数: 0

摘要

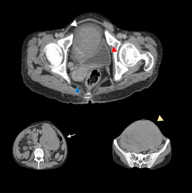
前言:阴部模糊(AG)在诊断和治疗方面都面临着重大挑战。AG通常与性发育障碍(DSD)有关,可导致复杂的医疗情况,包括恶性转化的风险增加。本病例报告强调了认识到AG临床意义的重要性和仔细监测的必要性。病例介绍:我们提出的情况下,22岁的男性谁提出腹痛和腹胀。经体格检查,他表现出生殖器模糊的特征,包括小阴茎和阴囊缺失。诊断影像,特别是计算机断层扫描(CT)显示在左附件有一个大的实性肿块。肿块呈分叶状轮廓和斑点状钙化,提示可能有恶性病变。鉴于这些发现,患者接受了手术干预,包括腹部全子宫切除术、双侧输卵管-卵巢切除术和网膜切除术,以确保肿瘤和周围受影响组织的完全切除。切除组织的组织病理学分析证实了异常生殖细胞瘤的诊断,这是一种以其恶性潜能而闻名的生殖细胞肿瘤。结论:本病例强调了对阴唇模糊患者恶性肿瘤进行警惕监测的迫切需要。与银屑病相关的固有危险因素需要积极主动的患者管理方法,包括定期影像学检查和及时的手术干预。通过采用全面的护理策略,医疗保健提供者可以优化患者的结果,并解决性发育障碍带来的独特挑战。持续监测和早期干预对于减轻这一脆弱人群的肿瘤发展风险至关重要。
本文章由计算机程序翻译,如有差异,请以英文原文为准。

Navigating Ambiguous Genitalia: A Case of Dysgerminoma in an Afghan Boy.

Navigating Ambiguous Genitalia: A Case of Dysgerminoma in an Afghan Boy.

Navigating Ambiguous Genitalia: A Case of Dysgerminoma in an Afghan Boy.

Navigating Ambiguous Genitalia: A Case of Dysgerminoma in an Afghan Boy.

Introduction: Ambiguous genitalia (AG) present significant challenges in both diagnosis and management. Often associated with disorders of sexual development (DSD), AG can lead to complex medical scenarios, including an increased risk of malignant transformation. This case report underscores the importance of recognizing the clinical implications of AG and the necessity for careful monitoring.

Case presentation: We present the case of a 22-year-old male who presented with abdominal pain and distension. Upon physical examination, he exhibited characteristics consistent with ambiguous genitalia, including a small penis and an absent scrotal sac. The diagnostic imaging, particularly computed tomography (CT) scans, revealed a large solid mass in the left adnexa. This mass displayed lobulated outlines and speckled calcifications, which raised concerns for a potentially malignant process. Given the findings, the patient underwent surgical intervention, which included a total abdominal hysterectomy, bilateral salpingo-oophorectomy, and omentectomy to ensure complete removal of the tumor and surrounding affected tissues. Histopathological analysis of the excised tissue confirmed the diagnosis of dysgerminoma, a type of germ cell tumor known for its malignant potential.

Conclusion: This case highlights the critical need for vigilant surveillance for malignancy in patients with ambiguous genitalia. The inherent risk factors associated with AG necessitate a proactive approach to patient management, including regular imaging and timely surgical interventions. By adopting a comprehensive care strategy, healthcare providers can optimize patient outcomes and address the unique challenges posed by disorders of sexual development. Continuous monitoring and early intervention are paramount in mitigating the risks of tumor development in this vulnerable demographic.

求助全文
通过发布文献求助,成功后即可免费获取论文全文。 去求助
来源期刊
International Medical Case Reports Journal
International Medical Case Reports Journal MEDICINE, GENERAL & INTERNAL-
CiteScore
1.40
自引率
0.00%
发文量
135
审稿时长
16 weeks
期刊介绍: International Medical Case Reports Journal is an international, peer-reviewed, open access, online journal publishing original case reports from all medical specialties. Submissions should not normally exceed 3,000 words or 4 published pages including figures, diagrams and references. As of 1st April 2019, the International Medical Case Reports Journal will no longer consider meta-analyses for publication.
×
引用
GB/T 7714-2015
复制
MLA
复制
APA
复制
导出至
BibTeX EndNote RefMan NoteFirst NoteExpress
×
提示
您的信息不完整,为了账户安全,请先补充。
现在去补充
×
提示
您因"违规操作"
具体请查看互助需知
我知道了
×
提示
确定
请完成安全验证×
copy
已复制链接
快去分享给好友吧!
我知道了
右上角分享
点击右上角分享
0
联系我们:info@booksci.cn Book学术提供免费学术资源搜索服务,方便国内外学者检索中英文文献。致力于提供最便捷和优质的服务体验。 Copyright © 2023 布克学术 All rights reserved.
京ICP备2023020795号-1
ghs 京公网安备 11010802042870号
Book学术文献互助
Book学术文献互助群
群 号:604180095
Book学术官方微信