POLR3A罕见变异在智力残疾、共济失调步态和皮质畸形患者中:1例报告。

IF 3.1 3区 医学 Q1 PEDIATRICS
Caterina Angela Florio, Federica Mirabella, Adriana Prato, Andrea Longhitano, Rita Barone, Renata Rizzo
{"title":"POLR3A罕见变异在智力残疾、共济失调步态和皮质畸形患者中:1例报告。","authors":"Caterina Angela Florio, Federica Mirabella, Adriana Prato, Andrea Longhitano, Rita Barone, Renata Rizzo","doi":"10.1186/s13052-025-02024-5","DOIUrl":null,"url":null,"abstract":"<p><strong>Background: </strong>Recessive mutations in POLR3A exhibit considerable phenotypic diversity, spanning from severe childhood-onset hypomyelinating leukodystrophic syndrome to less severe gait disorders, which may present later in life and may be accompanied by additional non-neurological symptoms. In this study, we report a new case of rare POLR3A variants in a 6-year-old female patient sharing common genetic and neuropsychological profiles of POLR3-related disorders, although without revealing the classic MRI phenotype and severe clinical signs of POLR3-related leukodystrophy, such as diffuse hypomyelination.</p><p><strong>Case presentation: </strong>Our probe was born after full term pregnancy complicated by Intrauterine Growth Restriction and risk of preterm birth treated with tocolytics during the last weeks of pregnancy. On the second day of life, tremors in the lower and upper limbs were detected and lasted until the second month of life. At the age of 6 months, she was diagnosed with hypotonia. The child showed a delay in the stages of psychomotor development and a slowing of the language. Brain MRI performed at the age of 5 years revealed mild and symmetrical ectasia of the lateral ventricles, mild hypoplasia of the cerebellar vermis and brainstem with wide communication between the fourth ventricle and the cisterna magna. Neurological examination revealed dyslalia, mild generalized hypotonia, ataxic gait, motor coordination and balance deficits, while the Wechsler Intelligence Scale for Children revealed the presence of mild intellectual disability. A clinical exome and neurodevelopmental multigenic analysis revealed two variants of the POLR3A gene in compound heterozygosity (c.1795 C > A and c.1289 + 3 A > G) previously described in the literature and a novel and not yet reported CACNA2D2 variant (c.2929 C > T).</p><p><strong>Conclusions: </strong>Beside the shared genetic and neuropsychological findings, the distinctive MRI and classical clinical signs of POLR3-related leukodystrophy have not been revealed in our case. This finding underscores the need to expand the diagnostic approach for POLR3A-related disorders, highlighting the significance of differentiating subtle clinical signs and promoting the use of genetic testing, especially in younger patients who may not yet display the typical clinical and MRI patterns. Further studies are necessary to shed light on different pathogenic mechanisms potentially responsible for the heterogeneous phenotype associated with POLR3-related disorders.</p>","PeriodicalId":14511,"journal":{"name":"Italian Journal of Pediatrics","volume":"51 1","pages":"191"},"PeriodicalIF":3.1000,"publicationDate":"2025-06-15","publicationTypes":"Journal Article","fieldsOfStudy":null,"isOpenAccess":false,"openAccessPdf":"https://www.ncbi.nlm.nih.gov/pmc/articles/PMC12168332/pdf/","citationCount":"0","resultStr":"{\"title\":\"POLR3A rare variants in a patient with intellectual disability, ataxic gait and cortical malformations: a case-report.\",\"authors\":\"Caterina Angela Florio, Federica Mirabella, Adriana Prato, Andrea Longhitano, Rita Barone, Renata Rizzo\",\"doi\":\"10.1186/s13052-025-02024-5\",\"DOIUrl\":null,\"url\":null,\"abstract\":\"<p><strong>Background: </strong>Recessive mutations in POLR3A exhibit considerable phenotypic diversity, spanning from severe childhood-onset hypomyelinating leukodystrophic syndrome to less severe gait disorders, which may present later in life and may be accompanied by additional non-neurological symptoms. In this study, we report a new case of rare POLR3A variants in a 6-year-old female patient sharing common genetic and neuropsychological profiles of POLR3-related disorders, although without revealing the classic MRI phenotype and severe clinical signs of POLR3-related leukodystrophy, such as diffuse hypomyelination.</p><p><strong>Case presentation: </strong>Our probe was born after full term pregnancy complicated by Intrauterine Growth Restriction and risk of preterm birth treated with tocolytics during the last weeks of pregnancy. On the second day of life, tremors in the lower and upper limbs were detected and lasted until the second month of life. At the age of 6 months, she was diagnosed with hypotonia. The child showed a delay in the stages of psychomotor development and a slowing of the language. Brain MRI performed at the age of 5 years revealed mild and symmetrical ectasia of the lateral ventricles, mild hypoplasia of the cerebellar vermis and brainstem with wide communication between the fourth ventricle and the cisterna magna. Neurological examination revealed dyslalia, mild generalized hypotonia, ataxic gait, motor coordination and balance deficits, while the Wechsler Intelligence Scale for Children revealed the presence of mild intellectual disability. A clinical exome and neurodevelopmental multigenic analysis revealed two variants of the POLR3A gene in compound heterozygosity (c.1795 C > A and c.1289 + 3 A > G) previously described in the literature and a novel and not yet reported CACNA2D2 variant (c.2929 C > T).</p><p><strong>Conclusions: </strong>Beside the shared genetic and neuropsychological findings, the distinctive MRI and classical clinical signs of POLR3-related leukodystrophy have not been revealed in our case. This finding underscores the need to expand the diagnostic approach for POLR3A-related disorders, highlighting the significance of differentiating subtle clinical signs and promoting the use of genetic testing, especially in younger patients who may not yet display the typical clinical and MRI patterns. Further studies are necessary to shed light on different pathogenic mechanisms potentially responsible for the heterogeneous phenotype associated with POLR3-related disorders.</p>\",\"PeriodicalId\":14511,\"journal\":{\"name\":\"Italian Journal of Pediatrics\",\"volume\":\"51 1\",\"pages\":\"191\"},\"PeriodicalIF\":3.1000,\"publicationDate\":\"2025-06-15\",\"publicationTypes\":\"Journal Article\",\"fieldsOfStudy\":null,\"isOpenAccess\":false,\"openAccessPdf\":\"https://www.ncbi.nlm.nih.gov/pmc/articles/PMC12168332/pdf/\",\"citationCount\":\"0\",\"resultStr\":null,\"platform\":\"Semanticscholar\",\"paperid\":null,\"PeriodicalName\":\"Italian Journal of Pediatrics\",\"FirstCategoryId\":\"3\",\"ListUrlMain\":\"https://doi.org/10.1186/s13052-025-02024-5\",\"RegionNum\":3,\"RegionCategory\":\"医学\",\"ArticlePicture\":[],\"TitleCN\":null,\"AbstractTextCN\":null,\"PMCID\":null,\"EPubDate\":\"\",\"PubModel\":\"\",\"JCR\":\"Q1\",\"JCRName\":\"PEDIATRICS\",\"Score\":null,\"Total\":0}","platform":"Semanticscholar","paperid":null,"PeriodicalName":"Italian Journal of Pediatrics","FirstCategoryId":"3","ListUrlMain":"https://doi.org/10.1186/s13052-025-02024-5","RegionNum":3,"RegionCategory":"医学","ArticlePicture":[],"TitleCN":null,"AbstractTextCN":null,"PMCID":null,"EPubDate":"","PubModel":"","JCR":"Q1","JCRName":"PEDIATRICS","Score":null,"Total":0}
引用次数: 0

摘要

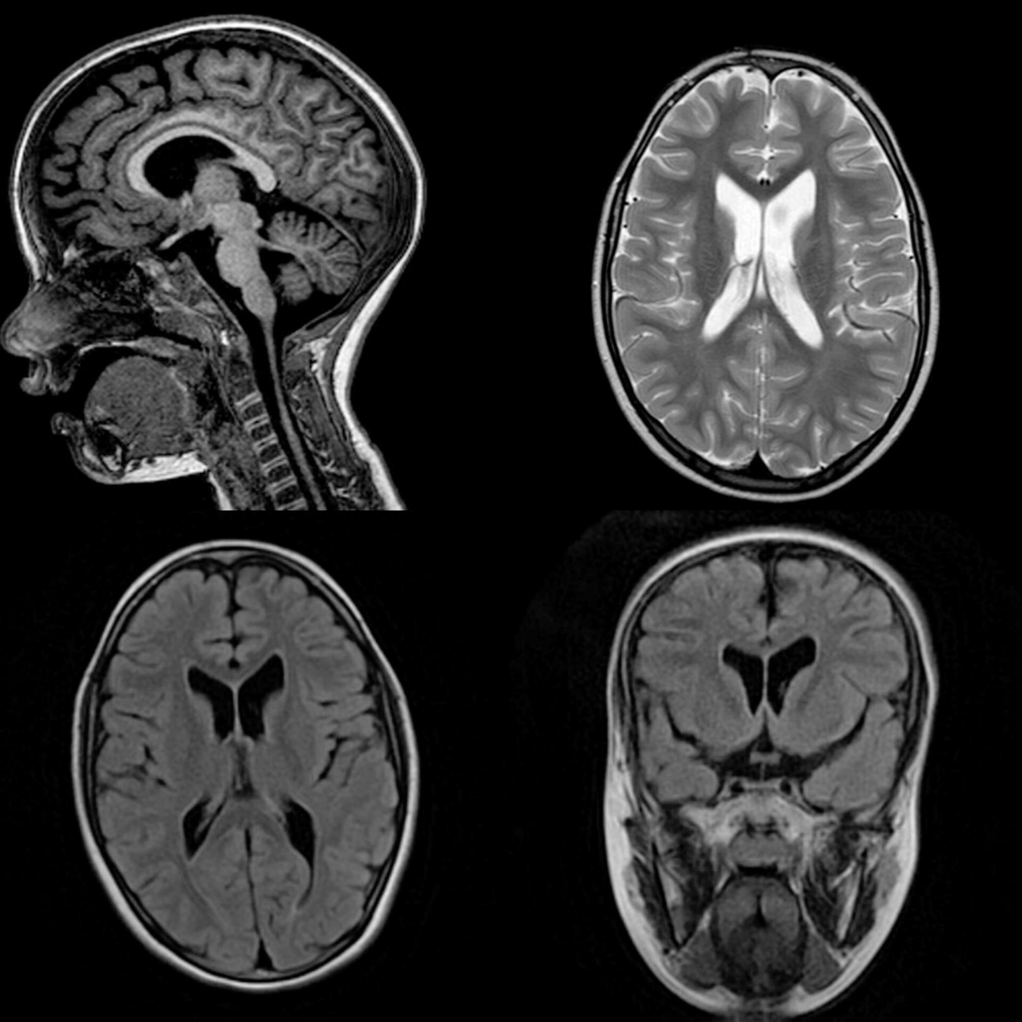
背景:POLR3A的隐性突变表现出相当大的表型多样性,从严重的儿童期发作的低髓鞘性白质营养不良综合征到不太严重的步态障碍,这些障碍可能在以后的生活中出现,并可能伴有其他非神经系统症状。在这项研究中,我们报告了一名6岁女性患者的罕见POLR3A变异新病例,该患者具有polr3相关疾病的共同遗传和神经心理学特征,尽管没有揭示polr3相关白质营养不良的典型MRI表型和严重临床症状,如弥漫性髓鞘化低。病例介绍:我们的探测器是在足月妊娠后出生的,在妊娠的最后几周内,由于宫内生长受限和早产风险而接受了抗早产药物治疗。在出生的第二天,检测到下肢和上肢的震颤,并持续到生命的第二个月。在6个月大时,她被诊断为张力不足。这孩子表现出精神运动发育阶段的迟缓和语言的迟缓。5岁时进行的脑MRI显示侧脑室轻度对称扩张,小脑蚓部和脑干轻度发育不全,第四脑室与大池之间有广泛的联系。神经学检查显示诵读障碍、轻度全身性张力低下、步态共济失调、运动协调和平衡缺陷,韦氏儿童智力量表显示存在轻度智力障碍。临床外显子组和神经发育多基因分析显示POLR3A基因在复合杂合性(c.1795)中存在两个变体C > A和C 1289 + 3 A > G)先前在文献中描述,以及一种新的尚未报道的CACNA2D2变体(C 2929c > t)。结论:除了共同的遗传学和神经心理学表现外,本病例未发现polr3相关脑白质营养不良的独特MRI和典型临床症状。这一发现强调了扩大polr3a相关疾病诊断方法的必要性,强调了区分细微临床症状和促进基因检测的重要性,特别是在尚未表现出典型临床和MRI模式的年轻患者中。需要进一步的研究来阐明不同的致病机制,这些机制可能导致与polr3相关疾病相关的异质性表型。
本文章由计算机程序翻译,如有差异,请以英文原文为准。

POLR3A rare variants in a patient with intellectual disability, ataxic gait and cortical malformations: a case-report.

POLR3A rare variants in a patient with intellectual disability, ataxic gait and cortical malformations: a case-report.

Background: Recessive mutations in POLR3A exhibit considerable phenotypic diversity, spanning from severe childhood-onset hypomyelinating leukodystrophic syndrome to less severe gait disorders, which may present later in life and may be accompanied by additional non-neurological symptoms. In this study, we report a new case of rare POLR3A variants in a 6-year-old female patient sharing common genetic and neuropsychological profiles of POLR3-related disorders, although without revealing the classic MRI phenotype and severe clinical signs of POLR3-related leukodystrophy, such as diffuse hypomyelination.

Case presentation: Our probe was born after full term pregnancy complicated by Intrauterine Growth Restriction and risk of preterm birth treated with tocolytics during the last weeks of pregnancy. On the second day of life, tremors in the lower and upper limbs were detected and lasted until the second month of life. At the age of 6 months, she was diagnosed with hypotonia. The child showed a delay in the stages of psychomotor development and a slowing of the language. Brain MRI performed at the age of 5 years revealed mild and symmetrical ectasia of the lateral ventricles, mild hypoplasia of the cerebellar vermis and brainstem with wide communication between the fourth ventricle and the cisterna magna. Neurological examination revealed dyslalia, mild generalized hypotonia, ataxic gait, motor coordination and balance deficits, while the Wechsler Intelligence Scale for Children revealed the presence of mild intellectual disability. A clinical exome and neurodevelopmental multigenic analysis revealed two variants of the POLR3A gene in compound heterozygosity (c.1795 C > A and c.1289 + 3 A > G) previously described in the literature and a novel and not yet reported CACNA2D2 variant (c.2929 C > T).

Conclusions: Beside the shared genetic and neuropsychological findings, the distinctive MRI and classical clinical signs of POLR3-related leukodystrophy have not been revealed in our case. This finding underscores the need to expand the diagnostic approach for POLR3A-related disorders, highlighting the significance of differentiating subtle clinical signs and promoting the use of genetic testing, especially in younger patients who may not yet display the typical clinical and MRI patterns. Further studies are necessary to shed light on different pathogenic mechanisms potentially responsible for the heterogeneous phenotype associated with POLR3-related disorders.

求助全文
通过发布文献求助,成功后即可免费获取论文全文。 去求助
来源期刊
CiteScore
6.10
自引率
13.90%
发文量
192
审稿时长
6-12 weeks
期刊介绍: Italian Journal of Pediatrics is an open access peer-reviewed journal that includes all aspects of pediatric medicine. The journal also covers health service and public health research that addresses primary care issues. The journal provides a high-quality forum for pediatricians and other healthcare professionals to report and discuss up-to-the-minute research and expert reviews in the field of pediatric medicine. The journal will continue to develop the range of articles published to enable this invaluable resource to stay at the forefront of the field. Italian Journal of Pediatrics, which commenced in 1975 as Rivista Italiana di Pediatria, provides a high-quality forum for pediatricians and other healthcare professionals to report and discuss up-to-the-minute research and expert reviews in the field of pediatric medicine. The journal will continue to develop the range of articles published to enable this invaluable resource to stay at the forefront of the field.
×
引用
GB/T 7714-2015
复制
MLA
复制
APA
复制
导出至
BibTeX EndNote RefMan NoteFirst NoteExpress
×
提示
您的信息不完整,为了账户安全,请先补充。
现在去补充
×
提示
您因"违规操作"
具体请查看互助需知
我知道了
×
提示
确定
请完成安全验证×
copy
已复制链接
快去分享给好友吧!
我知道了
右上角分享
点击右上角分享
0
联系我们:info@booksci.cn Book学术提供免费学术资源搜索服务,方便国内外学者检索中英文文献。致力于提供最便捷和优质的服务体验。 Copyright © 2023 布克学术 All rights reserved.
京ICP备2023020795号-1
ghs 京公网安备 11010802042870号
Book学术文献互助
Book学术文献互助群
群 号:604180095
Book学术官方微信