米氮平过量致后部可逆性脑病综合征1例。

IF 0.9 Q4 CLINICAL NEUROLOGY
Case Reports in Neurological Medicine Pub Date : 2025-06-06 eCollection Date: 2025-01-01 DOI:10.1155/crnm/4690032
Min-Chiao Tsai, Wei-Hao Lin
{"title":"米氮平过量致后部可逆性脑病综合征1例。","authors":"Min-Chiao Tsai, Wei-Hao Lin","doi":"10.1155/crnm/4690032","DOIUrl":null,"url":null,"abstract":"<p><p><b>Introduction:</b> Posterior reversible encephalopathy syndrome (PRES) is a neurological emergency typically associated with hypertension or drug toxicity. Although mirtazapine is not a classical serotonergic agent, overdose may induce serotonin syndrome, which can contribute to PRES. <b>Case Presentation:</b> A 50-year-old woman presented with seizures, impaired consciousness, and autonomic instability following ingestion of > 300 mg mirtazapine. Magnetic resonance image (MRI) revealed vasogenic edema in the parieto-occipital and frontal lobes. Her clinical features fulfilled the Hunter criteria for serotonin syndrome. Treatment with cyproheptadine led to full clinical and radiological recovery. <b>Discussion:</b> Serotonin syndrome may disrupt cerebral autoregulation and impair endothelial integrity, contributing to PRES. Although rare, similar cases have been reported with other serotonergic agents. This is the first reported case of mirtazapine overdose resulting in serotonin syndrome-associated PRES. <b>Conclusion:</b> Clinicians should recognize that mirtazapine overdose can cause serotonin syndrome and secondary PRES. Early identification and serotonin antagonism are crucial for recovery and prevention of sequelae.</p>","PeriodicalId":9615,"journal":{"name":"Case Reports in Neurological Medicine","volume":"2025 ","pages":"4690032"},"PeriodicalIF":0.9000,"publicationDate":"2025-06-06","publicationTypes":"Journal Article","fieldsOfStudy":null,"isOpenAccess":false,"openAccessPdf":"https://www.ncbi.nlm.nih.gov/pmc/articles/PMC12165748/pdf/","citationCount":"0","resultStr":"{\"title\":\"Posterior Reversible Encephalopathy Syndrome Induced by Mirtazapine Overdose: A Case Report.\",\"authors\":\"Min-Chiao Tsai, Wei-Hao Lin\",\"doi\":\"10.1155/crnm/4690032\",\"DOIUrl\":null,\"url\":null,\"abstract\":\"<p><p><b>Introduction:</b> Posterior reversible encephalopathy syndrome (PRES) is a neurological emergency typically associated with hypertension or drug toxicity. Although mirtazapine is not a classical serotonergic agent, overdose may induce serotonin syndrome, which can contribute to PRES. <b>Case Presentation:</b> A 50-year-old woman presented with seizures, impaired consciousness, and autonomic instability following ingestion of > 300 mg mirtazapine. Magnetic resonance image (MRI) revealed vasogenic edema in the parieto-occipital and frontal lobes. Her clinical features fulfilled the Hunter criteria for serotonin syndrome. Treatment with cyproheptadine led to full clinical and radiological recovery. <b>Discussion:</b> Serotonin syndrome may disrupt cerebral autoregulation and impair endothelial integrity, contributing to PRES. Although rare, similar cases have been reported with other serotonergic agents. This is the first reported case of mirtazapine overdose resulting in serotonin syndrome-associated PRES. <b>Conclusion:</b> Clinicians should recognize that mirtazapine overdose can cause serotonin syndrome and secondary PRES. Early identification and serotonin antagonism are crucial for recovery and prevention of sequelae.</p>\",\"PeriodicalId\":9615,\"journal\":{\"name\":\"Case Reports in Neurological Medicine\",\"volume\":\"2025 \",\"pages\":\"4690032\"},\"PeriodicalIF\":0.9000,\"publicationDate\":\"2025-06-06\",\"publicationTypes\":\"Journal Article\",\"fieldsOfStudy\":null,\"isOpenAccess\":false,\"openAccessPdf\":\"https://www.ncbi.nlm.nih.gov/pmc/articles/PMC12165748/pdf/\",\"citationCount\":\"0\",\"resultStr\":null,\"platform\":\"Semanticscholar\",\"paperid\":null,\"PeriodicalName\":\"Case Reports in Neurological Medicine\",\"FirstCategoryId\":\"1085\",\"ListUrlMain\":\"https://doi.org/10.1155/crnm/4690032\",\"RegionNum\":0,\"RegionCategory\":null,\"ArticlePicture\":[],\"TitleCN\":null,\"AbstractTextCN\":null,\"PMCID\":null,\"EPubDate\":\"2025/1/1 0:00:00\",\"PubModel\":\"eCollection\",\"JCR\":\"Q4\",\"JCRName\":\"CLINICAL NEUROLOGY\",\"Score\":null,\"Total\":0}","platform":"Semanticscholar","paperid":null,"PeriodicalName":"Case Reports in Neurological Medicine","FirstCategoryId":"1085","ListUrlMain":"https://doi.org/10.1155/crnm/4690032","RegionNum":0,"RegionCategory":null,"ArticlePicture":[],"TitleCN":null,"AbstractTextCN":null,"PMCID":null,"EPubDate":"2025/1/1 0:00:00","PubModel":"eCollection","JCR":"Q4","JCRName":"CLINICAL NEUROLOGY","Score":null,"Total":0}
引用次数: 0

摘要

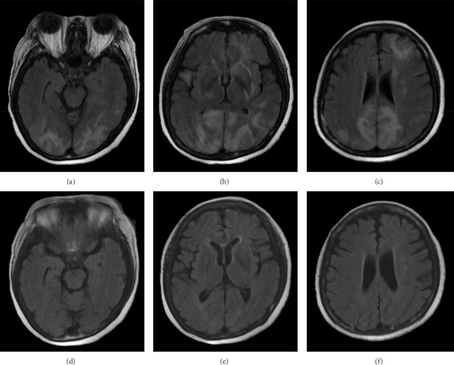
后路可逆性脑病综合征(PRES)是一种神经系统急症,通常与高血压或药物毒性有关。虽然米氮平不是一种经典的血清素能药物,但过量服用可能会诱发血清素综合征,从而导致PRES。病例介绍:一名50岁女性在摄入米氮平300毫克后出现癫痫发作、意识受损和自主神经不稳定。核磁共振成像(MRI)显示顶枕叶和额叶血管源性水肿。她的临床特征符合血清素综合征的亨特标准。用赛庚啶治疗后临床和放射学完全恢复。讨论:5 -羟色胺综合征可破坏大脑的自我调节,损害内皮细胞的完整性,导致PRES,虽然罕见,但其他5 -羟色胺能药物也有类似的病例报道。结论:临床医师应认识到米氮平过量可引起5 -羟色胺综合征并发继发性PRES,早期发现并拮抗对后遗症的恢复和预防至关重要。
本文章由计算机程序翻译,如有差异,请以英文原文为准。

Posterior Reversible Encephalopathy Syndrome Induced by Mirtazapine Overdose: A Case Report.

Posterior Reversible Encephalopathy Syndrome Induced by Mirtazapine Overdose: A Case Report.

Introduction: Posterior reversible encephalopathy syndrome (PRES) is a neurological emergency typically associated with hypertension or drug toxicity. Although mirtazapine is not a classical serotonergic agent, overdose may induce serotonin syndrome, which can contribute to PRES. Case Presentation: A 50-year-old woman presented with seizures, impaired consciousness, and autonomic instability following ingestion of > 300 mg mirtazapine. Magnetic resonance image (MRI) revealed vasogenic edema in the parieto-occipital and frontal lobes. Her clinical features fulfilled the Hunter criteria for serotonin syndrome. Treatment with cyproheptadine led to full clinical and radiological recovery. Discussion: Serotonin syndrome may disrupt cerebral autoregulation and impair endothelial integrity, contributing to PRES. Although rare, similar cases have been reported with other serotonergic agents. This is the first reported case of mirtazapine overdose resulting in serotonin syndrome-associated PRES. Conclusion: Clinicians should recognize that mirtazapine overdose can cause serotonin syndrome and secondary PRES. Early identification and serotonin antagonism are crucial for recovery and prevention of sequelae.

求助全文
通过发布文献求助,成功后即可免费获取论文全文。 去求助
来源期刊
自引率
0.00%
发文量
26
审稿时长
11 weeks
×
引用
GB/T 7714-2015
复制
MLA
复制
APA
复制
导出至
BibTeX EndNote RefMan NoteFirst NoteExpress
×
提示
您的信息不完整,为了账户安全,请先补充。
现在去补充
×
提示
您因"违规操作"
具体请查看互助需知
我知道了
×
提示
确定
请完成安全验证×
copy
已复制链接
快去分享给好友吧!
我知道了
右上角分享
点击右上角分享
0
联系我们:info@booksci.cn Book学术提供免费学术资源搜索服务,方便国内外学者检索中英文文献。致力于提供最便捷和优质的服务体验。 Copyright © 2023 布克学术 All rights reserved.
京ICP备2023020795号-1
ghs 京公网安备 11010802042870号
Book学术文献互助
Book学术文献互助群
群 号:604180095
Book学术官方微信