神经纤维瘤病伴主动脉及多系统血管病变患者血管内栓塞的麻醉处理:1例报告。

IF 4.8 4区 医学 Q3 CLINICAL NEUROLOGY
Brain Circulation Pub Date : 2025-02-04 eCollection Date: 2025-04-01 DOI:10.4103/bc.bc_76_24
Sangeetha R Palaniswamy, Meshwa Desai, Ankit Arora, H R Aravinda
{"title":"神经纤维瘤病伴主动脉及多系统血管病变患者血管内栓塞的麻醉处理:1例报告。","authors":"Sangeetha R Palaniswamy, Meshwa Desai, Ankit Arora, H R Aravinda","doi":"10.4103/bc.bc_76_24","DOIUrl":null,"url":null,"abstract":"<p><p>Patients with neurofibromatosis undergo multiple surgeries during their lifetime, presenting as challenging scenarios to the perioperative team. We present the case report of a young male patient with type 1 neurofibromatosis scheduled for endovascular embolization of thoracic spinal arteriovenous malformation under general anesthesia. Associated vasculopathy included stented descending thoracic aortic coarctation, an unrepaired saccular aortic aneurysm (AA) distal to the stent suggestive of a type 1 endoleak, bilateral segmental pulmonary arterial thrombosis, bilateral subclavian artery stenosis, and a retroperitoneal neurofibroma compressing the coeliac artery. Our primary concerns were a possible periprocedural AA rupture becoming a surgical emergency, difficult vascular access, and perioperative thromboembolism. Periprocedural hemodynamic surges were avoided using continuous hemodynamic monitoring, adequate anesthetic depth, and analgesia. After an uneventful procedure, the patient was extubated with a smooth postoperative course. An in-depth knowledge about underlying pathophysiology, anticipation and preparedness for potential complications, and interdisciplinary coordinated teamwork serve to preserve patient outcomes.</p>","PeriodicalId":9288,"journal":{"name":"Brain Circulation","volume":"11 2","pages":"162-165"},"PeriodicalIF":4.8000,"publicationDate":"2025-02-04","publicationTypes":"Journal Article","fieldsOfStudy":null,"isOpenAccess":false,"openAccessPdf":"https://www.ncbi.nlm.nih.gov/pmc/articles/PMC12164794/pdf/","citationCount":"0","resultStr":"{\"title\":\"Anesthetic management of endovascular embolization in a patient of neurofibromatosis with associated aortic and multisystemic vasculopathy: A case report.\",\"authors\":\"Sangeetha R Palaniswamy, Meshwa Desai, Ankit Arora, H R Aravinda\",\"doi\":\"10.4103/bc.bc_76_24\",\"DOIUrl\":null,\"url\":null,\"abstract\":\"<p><p>Patients with neurofibromatosis undergo multiple surgeries during their lifetime, presenting as challenging scenarios to the perioperative team. We present the case report of a young male patient with type 1 neurofibromatosis scheduled for endovascular embolization of thoracic spinal arteriovenous malformation under general anesthesia. Associated vasculopathy included stented descending thoracic aortic coarctation, an unrepaired saccular aortic aneurysm (AA) distal to the stent suggestive of a type 1 endoleak, bilateral segmental pulmonary arterial thrombosis, bilateral subclavian artery stenosis, and a retroperitoneal neurofibroma compressing the coeliac artery. Our primary concerns were a possible periprocedural AA rupture becoming a surgical emergency, difficult vascular access, and perioperative thromboembolism. Periprocedural hemodynamic surges were avoided using continuous hemodynamic monitoring, adequate anesthetic depth, and analgesia. After an uneventful procedure, the patient was extubated with a smooth postoperative course. An in-depth knowledge about underlying pathophysiology, anticipation and preparedness for potential complications, and interdisciplinary coordinated teamwork serve to preserve patient outcomes.</p>\",\"PeriodicalId\":9288,\"journal\":{\"name\":\"Brain Circulation\",\"volume\":\"11 2\",\"pages\":\"162-165\"},\"PeriodicalIF\":4.8000,\"publicationDate\":\"2025-02-04\",\"publicationTypes\":\"Journal Article\",\"fieldsOfStudy\":null,\"isOpenAccess\":false,\"openAccessPdf\":\"https://www.ncbi.nlm.nih.gov/pmc/articles/PMC12164794/pdf/\",\"citationCount\":\"0\",\"resultStr\":null,\"platform\":\"Semanticscholar\",\"paperid\":null,\"PeriodicalName\":\"Brain Circulation\",\"FirstCategoryId\":\"3\",\"ListUrlMain\":\"https://doi.org/10.4103/bc.bc_76_24\",\"RegionNum\":4,\"RegionCategory\":\"医学\",\"ArticlePicture\":[],\"TitleCN\":null,\"AbstractTextCN\":null,\"PMCID\":null,\"EPubDate\":\"2025/4/1 0:00:00\",\"PubModel\":\"eCollection\",\"JCR\":\"Q3\",\"JCRName\":\"CLINICAL NEUROLOGY\",\"Score\":null,\"Total\":0}","platform":"Semanticscholar","paperid":null,"PeriodicalName":"Brain Circulation","FirstCategoryId":"3","ListUrlMain":"https://doi.org/10.4103/bc.bc_76_24","RegionNum":4,"RegionCategory":"医学","ArticlePicture":[],"TitleCN":null,"AbstractTextCN":null,"PMCID":null,"EPubDate":"2025/4/1 0:00:00","PubModel":"eCollection","JCR":"Q3","JCRName":"CLINICAL NEUROLOGY","Score":null,"Total":0}
引用次数: 0

摘要

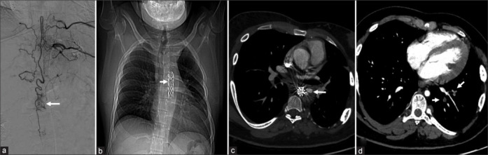
神经纤维瘤病患者在其一生中经历多次手术,对围手术期团队提出了挑战。我们报告一例1型神经纤维瘤病的年轻男性患者,计划在全身麻醉下进行胸椎动静脉畸形的血管内栓塞治疗。相关血管病变包括支架置入的胸降主动脉缩窄,支架远端未修复的囊性主动脉瘤(AA)提示1型内漏,双节段性肺动脉血栓形成,双侧锁骨下动脉狭窄,腹膜后神经纤维瘤压迫腹腔动脉。我们主要关注的是手术过程中可能出现的AA破裂成为外科急诊,血管通路困难,以及围手术期血栓栓塞。通过持续的血流动力学监测,适当的麻醉深度和镇痛,避免术中血流动力学波动。在一次顺利的手术后,患者顺利拔管。对潜在病理生理学的深入了解,对潜在并发症的预测和准备,以及跨学科协调的团队合作有助于保护患者的预后。
本文章由计算机程序翻译,如有差异,请以英文原文为准。

Anesthetic management of endovascular embolization in a patient of neurofibromatosis with associated aortic and multisystemic vasculopathy: A case report.

Anesthetic management of endovascular embolization in a patient of neurofibromatosis with associated aortic and multisystemic vasculopathy: A case report.

Patients with neurofibromatosis undergo multiple surgeries during their lifetime, presenting as challenging scenarios to the perioperative team. We present the case report of a young male patient with type 1 neurofibromatosis scheduled for endovascular embolization of thoracic spinal arteriovenous malformation under general anesthesia. Associated vasculopathy included stented descending thoracic aortic coarctation, an unrepaired saccular aortic aneurysm (AA) distal to the stent suggestive of a type 1 endoleak, bilateral segmental pulmonary arterial thrombosis, bilateral subclavian artery stenosis, and a retroperitoneal neurofibroma compressing the coeliac artery. Our primary concerns were a possible periprocedural AA rupture becoming a surgical emergency, difficult vascular access, and perioperative thromboembolism. Periprocedural hemodynamic surges were avoided using continuous hemodynamic monitoring, adequate anesthetic depth, and analgesia. After an uneventful procedure, the patient was extubated with a smooth postoperative course. An in-depth knowledge about underlying pathophysiology, anticipation and preparedness for potential complications, and interdisciplinary coordinated teamwork serve to preserve patient outcomes.

求助全文
通过发布文献求助,成功后即可免费获取论文全文。 去求助
来源期刊
Brain Circulation
Brain Circulation Multiple-
自引率
5.30%
发文量
31
审稿时长
16 weeks
×
引用
GB/T 7714-2015
复制
MLA
复制
APA
复制
导出至
BibTeX EndNote RefMan NoteFirst NoteExpress
×
提示
您的信息不完整,为了账户安全,请先补充。
现在去补充
×
提示
您因"违规操作"
具体请查看互助需知
我知道了
×
提示
确定
请完成安全验证×
copy
已复制链接
快去分享给好友吧!
我知道了
右上角分享
点击右上角分享
0
联系我们:info@booksci.cn Book学术提供免费学术资源搜索服务,方便国内外学者检索中英文文献。致力于提供最便捷和优质的服务体验。 Copyright © 2023 布克学术 All rights reserved.
京ICP备2023020795号-1
ghs 京公网安备 11010802042870号
Book学术文献互助
Book学术文献互助群
群 号:604180095
Book学术官方微信