人工智能分割及多发性硬化症胼胝体指数自动计算。

IF 1.5 4区 医学 Q2 MEDICINE, GENERAL & INTERNAL
Selahattin Demirbas, Kamil Karaali, Yalcın Albayrak, Nurdan Fidan
{"title":"人工智能分割及多发性硬化症胼胝体指数自动计算。","authors":"Selahattin Demirbas, Kamil Karaali, Yalcın Albayrak, Nurdan Fidan","doi":"10.15537/smj.2025.46.6.20240957","DOIUrl":null,"url":null,"abstract":"<p><strong>Objectives: </strong>To determine the corpus callosum index (CCI) differences between chronic phase multiple sclerosis (MS) patients and healthy individuals and to evaluate the corpus callosum segmentation in MS patients using artificial intelligence technologies. The CCI can be reliably measured on magnetic resonance imaging (MRI) and has been proposed as a possible marker of brain atrophy in MS.</p><p><strong>Methods: </strong>In this study, 150 MS patients (disease duration 12.6±5.9 years) and 150 healthy control subjects were scanned. Corpus callosum index was manually measured from the mid-sagittal slices on MRI. A deep learning architecture-based U-Net model was used for automatic corpus callosum segmentation from 2D brain MRI.</p><p><strong>Results: </strong>The CCI score was calculated as mean 0.274 in the patient group and 0.382 in the control group (<i>p</i>=0.01). According to the ROC analysis, it was observed that the CCI measurement had a discrimination rate of 98.3% between groups with a cut-off value of 0.334. Sensitivity and specificity were calculated as 94%. The mean CCI calculated automatically after segmentation in the patient group was 0.286.</p><p><strong>Conclusion: </strong>Corpus callosum index is a method with high sensitivity and specificity in respect of determining corpus callosum atrophy in patients with MS in the chronic phase. Artificial intelligence technologies such as segmentation, machine learning, and deep learning to determine corpus callosum atrophy were seen to be successful in MS patients and the automatically calculated CCI score was successful in showing atrophy.</p>","PeriodicalId":21453,"journal":{"name":"Saudi Medical Journal","volume":"46 6","pages":"638-648"},"PeriodicalIF":1.5000,"publicationDate":"2025-06-01","publicationTypes":"Journal Article","fieldsOfStudy":null,"isOpenAccess":false,"openAccessPdf":"https://www.ncbi.nlm.nih.gov/pmc/articles/PMC12199653/pdf/","citationCount":"0","resultStr":"{\"title\":\"Segmentation with artificial intelligence and automated calculation of the corpus callosum index in multiple sclerosis.\",\"authors\":\"Selahattin Demirbas, Kamil Karaali, Yalcın Albayrak, Nurdan Fidan\",\"doi\":\"10.15537/smj.2025.46.6.20240957\",\"DOIUrl\":null,\"url\":null,\"abstract\":\"<p><strong>Objectives: </strong>To determine the corpus callosum index (CCI) differences between chronic phase multiple sclerosis (MS) patients and healthy individuals and to evaluate the corpus callosum segmentation in MS patients using artificial intelligence technologies. The CCI can be reliably measured on magnetic resonance imaging (MRI) and has been proposed as a possible marker of brain atrophy in MS.</p><p><strong>Methods: </strong>In this study, 150 MS patients (disease duration 12.6±5.9 years) and 150 healthy control subjects were scanned. Corpus callosum index was manually measured from the mid-sagittal slices on MRI. A deep learning architecture-based U-Net model was used for automatic corpus callosum segmentation from 2D brain MRI.</p><p><strong>Results: </strong>The CCI score was calculated as mean 0.274 in the patient group and 0.382 in the control group (<i>p</i>=0.01). According to the ROC analysis, it was observed that the CCI measurement had a discrimination rate of 98.3% between groups with a cut-off value of 0.334. Sensitivity and specificity were calculated as 94%. The mean CCI calculated automatically after segmentation in the patient group was 0.286.</p><p><strong>Conclusion: </strong>Corpus callosum index is a method with high sensitivity and specificity in respect of determining corpus callosum atrophy in patients with MS in the chronic phase. Artificial intelligence technologies such as segmentation, machine learning, and deep learning to determine corpus callosum atrophy were seen to be successful in MS patients and the automatically calculated CCI score was successful in showing atrophy.</p>\",\"PeriodicalId\":21453,\"journal\":{\"name\":\"Saudi Medical Journal\",\"volume\":\"46 6\",\"pages\":\"638-648\"},\"PeriodicalIF\":1.5000,\"publicationDate\":\"2025-06-01\",\"publicationTypes\":\"Journal Article\",\"fieldsOfStudy\":null,\"isOpenAccess\":false,\"openAccessPdf\":\"https://www.ncbi.nlm.nih.gov/pmc/articles/PMC12199653/pdf/\",\"citationCount\":\"0\",\"resultStr\":null,\"platform\":\"Semanticscholar\",\"paperid\":null,\"PeriodicalName\":\"Saudi Medical Journal\",\"FirstCategoryId\":\"3\",\"ListUrlMain\":\"https://doi.org/10.15537/smj.2025.46.6.20240957\",\"RegionNum\":4,\"RegionCategory\":\"医学\",\"ArticlePicture\":[],\"TitleCN\":null,\"AbstractTextCN\":null,\"PMCID\":null,\"EPubDate\":\"\",\"PubModel\":\"\",\"JCR\":\"Q2\",\"JCRName\":\"MEDICINE, GENERAL & INTERNAL\",\"Score\":null,\"Total\":0}","platform":"Semanticscholar","paperid":null,"PeriodicalName":"Saudi Medical Journal","FirstCategoryId":"3","ListUrlMain":"https://doi.org/10.15537/smj.2025.46.6.20240957","RegionNum":4,"RegionCategory":"医学","ArticlePicture":[],"TitleCN":null,"AbstractTextCN":null,"PMCID":null,"EPubDate":"","PubModel":"","JCR":"Q2","JCRName":"MEDICINE, GENERAL & INTERNAL","Score":null,"Total":0}
引用次数: 0

摘要

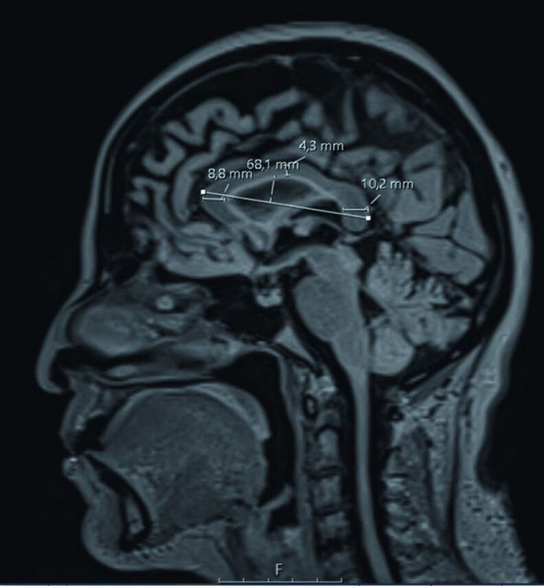
目的:测定慢性期多发性硬化症(MS)患者与健康人的胼胝体指数(CCI)差异,并应用人工智能技术评价MS患者的胼胝体分割。CCI可以通过磁共振成像(MRI)可靠地测量,并被认为是MS脑萎缩的可能标志。方法:本研究对150例MS患者(病程12.6±5.9年)和150例健康对照者进行扫描。人工测量胼胝体指数在MRI中矢状面切片上。采用基于深度学习架构的U-Net模型对二维脑MRI的胼胝体进行自动分割。结果:患者组CCI评分为0.274分,对照组为0.382分(p=0.01)。根据ROC分析,CCI测量结果组间判别率为98.3%,截断值为0.334。敏感性和特异性计算为94%。患者组分割后自动计算的平均CCI为0.286。结论:胼胝体指数是测定MS慢性期患者胼胝体萎缩的一种灵敏度和特异性较高的方法。通过分割、机器学习、深度学习等人工智能技术确定MS患者胼胝体萎缩是成功的,自动计算的CCI评分成功显示萎缩。
本文章由计算机程序翻译,如有差异,请以英文原文为准。

Segmentation with artificial intelligence and automated calculation of the corpus callosum index in multiple sclerosis.

Segmentation with artificial intelligence and automated calculation of the corpus callosum index in multiple sclerosis.

Segmentation with artificial intelligence and automated calculation of the corpus callosum index in multiple sclerosis.

Segmentation with artificial intelligence and automated calculation of the corpus callosum index in multiple sclerosis.

Objectives: To determine the corpus callosum index (CCI) differences between chronic phase multiple sclerosis (MS) patients and healthy individuals and to evaluate the corpus callosum segmentation in MS patients using artificial intelligence technologies. The CCI can be reliably measured on magnetic resonance imaging (MRI) and has been proposed as a possible marker of brain atrophy in MS.

Methods: In this study, 150 MS patients (disease duration 12.6±5.9 years) and 150 healthy control subjects were scanned. Corpus callosum index was manually measured from the mid-sagittal slices on MRI. A deep learning architecture-based U-Net model was used for automatic corpus callosum segmentation from 2D brain MRI.

Results: The CCI score was calculated as mean 0.274 in the patient group and 0.382 in the control group (p=0.01). According to the ROC analysis, it was observed that the CCI measurement had a discrimination rate of 98.3% between groups with a cut-off value of 0.334. Sensitivity and specificity were calculated as 94%. The mean CCI calculated automatically after segmentation in the patient group was 0.286.

Conclusion: Corpus callosum index is a method with high sensitivity and specificity in respect of determining corpus callosum atrophy in patients with MS in the chronic phase. Artificial intelligence technologies such as segmentation, machine learning, and deep learning to determine corpus callosum atrophy were seen to be successful in MS patients and the automatically calculated CCI score was successful in showing atrophy.

求助全文
通过发布文献求助,成功后即可免费获取论文全文。 去求助
来源期刊
Saudi Medical Journal
Saudi Medical Journal 医学-医学:内科
CiteScore
2.30
自引率
6.20%
发文量
203
审稿时长
12 months
期刊介绍: The Saudi Medical Journal is a monthly peer-reviewed medical journal. It is an open access journal, with content released under a Creative Commons attribution-noncommercial license. The journal publishes original research articles, review articles, Systematic Reviews, Case Reports, Brief Communication, Brief Report, Clinical Note, Clinical Image, Editorials, Book Reviews, Correspondence, and Student Corner.
×
引用
GB/T 7714-2015
复制
MLA
复制
APA
复制
导出至
BibTeX EndNote RefMan NoteFirst NoteExpress
×
提示
您的信息不完整,为了账户安全,请先补充。
现在去补充
×
提示
您因"违规操作"
具体请查看互助需知
我知道了
×
提示
确定
请完成安全验证×
copy
已复制链接
快去分享给好友吧!
我知道了
右上角分享
点击右上角分享
0
联系我们:info@booksci.cn Book学术提供免费学术资源搜索服务,方便国内外学者检索中英文文献。致力于提供最便捷和优质的服务体验。 Copyright © 2023 布克学术 All rights reserved.
京ICP备2023020795号-1
ghs 京公网安备 11010802042870号
Book学术文献互助
Book学术文献互助群
群 号:604180095
Book学术官方微信