双侧同步性唾液腺肿瘤3例报告。

IF 2.3 3区 医学 Q2 PATHOLOGY
Jacqueline E van der Wal, Mustafa Barre Magan, Lennart Flygare, Karin Nylander
{"title":"双侧同步性唾液腺肿瘤3例报告。","authors":"Jacqueline E van der Wal, Mustafa Barre Magan, Lennart Flygare, Karin Nylander","doi":"10.1186/s13000-025-01672-9","DOIUrl":null,"url":null,"abstract":"<p><strong>Background: </strong>Bilateral salivary gland tumors, both benign and malignant and synchronous or metachronous are very rare.</p><p><strong>Case presentation: </strong>Here three cases of synchronous bilateral salivary gland tumors are described and discussed. Recognizing the entity is important for diagnostics and treatment planning. The first patient was a 56-year-old female with a bilateral parotid tumor, a malignant tumor, salivary duct carcinoma on the right side and a benign tumor, pleomorphic adenoma on the left side. The second patient was a 50-year old female with a bilateral benign parotid tumor, a pleomorphic adenoma. The third patient was a 51-year old female with a bilateral malignant tumor, an acinic cell carcinoma. Details on the diagnostic work-up, histopathology and treatment are described and discussed.</p><p><strong>Conclusions: </strong>In the case of a unilateral salivary gland tumor, especially of the major glands, the contralateral gland is always included in the clinical and radiological (MRI) head and neck evaluation prior to surgery, to detect or exclude possible bilateral occurrence.</p>","PeriodicalId":11237,"journal":{"name":"Diagnostic Pathology","volume":"20 1","pages":"74"},"PeriodicalIF":2.3000,"publicationDate":"2025-06-13","publicationTypes":"Journal Article","fieldsOfStudy":null,"isOpenAccess":false,"openAccessPdf":"https://www.ncbi.nlm.nih.gov/pmc/articles/PMC12164054/pdf/","citationCount":"0","resultStr":"{\"title\":\"Bilateral synchronous salivary gland tumors: report of three cases.\",\"authors\":\"Jacqueline E van der Wal, Mustafa Barre Magan, Lennart Flygare, Karin Nylander\",\"doi\":\"10.1186/s13000-025-01672-9\",\"DOIUrl\":null,\"url\":null,\"abstract\":\"<p><strong>Background: </strong>Bilateral salivary gland tumors, both benign and malignant and synchronous or metachronous are very rare.</p><p><strong>Case presentation: </strong>Here three cases of synchronous bilateral salivary gland tumors are described and discussed. Recognizing the entity is important for diagnostics and treatment planning. The first patient was a 56-year-old female with a bilateral parotid tumor, a malignant tumor, salivary duct carcinoma on the right side and a benign tumor, pleomorphic adenoma on the left side. The second patient was a 50-year old female with a bilateral benign parotid tumor, a pleomorphic adenoma. The third patient was a 51-year old female with a bilateral malignant tumor, an acinic cell carcinoma. Details on the diagnostic work-up, histopathology and treatment are described and discussed.</p><p><strong>Conclusions: </strong>In the case of a unilateral salivary gland tumor, especially of the major glands, the contralateral gland is always included in the clinical and radiological (MRI) head and neck evaluation prior to surgery, to detect or exclude possible bilateral occurrence.</p>\",\"PeriodicalId\":11237,\"journal\":{\"name\":\"Diagnostic Pathology\",\"volume\":\"20 1\",\"pages\":\"74\"},\"PeriodicalIF\":2.3000,\"publicationDate\":\"2025-06-13\",\"publicationTypes\":\"Journal Article\",\"fieldsOfStudy\":null,\"isOpenAccess\":false,\"openAccessPdf\":\"https://www.ncbi.nlm.nih.gov/pmc/articles/PMC12164054/pdf/\",\"citationCount\":\"0\",\"resultStr\":null,\"platform\":\"Semanticscholar\",\"paperid\":null,\"PeriodicalName\":\"Diagnostic Pathology\",\"FirstCategoryId\":\"3\",\"ListUrlMain\":\"https://doi.org/10.1186/s13000-025-01672-9\",\"RegionNum\":3,\"RegionCategory\":\"医学\",\"ArticlePicture\":[],\"TitleCN\":null,\"AbstractTextCN\":null,\"PMCID\":null,\"EPubDate\":\"\",\"PubModel\":\"\",\"JCR\":\"Q2\",\"JCRName\":\"PATHOLOGY\",\"Score\":null,\"Total\":0}","platform":"Semanticscholar","paperid":null,"PeriodicalName":"Diagnostic Pathology","FirstCategoryId":"3","ListUrlMain":"https://doi.org/10.1186/s13000-025-01672-9","RegionNum":3,"RegionCategory":"医学","ArticlePicture":[],"TitleCN":null,"AbstractTextCN":null,"PMCID":null,"EPubDate":"","PubModel":"","JCR":"Q2","JCRName":"PATHOLOGY","Score":null,"Total":0}
引用次数: 0

摘要

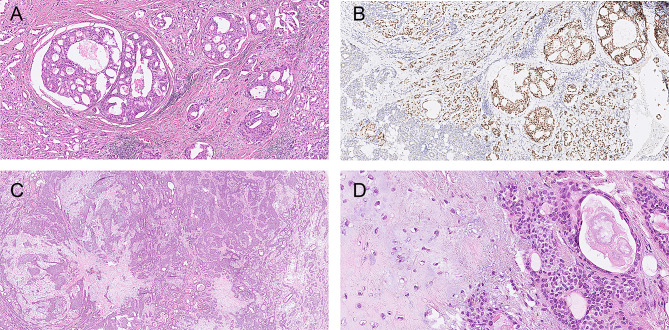
背景:双侧唾液腺肿瘤,不论良恶性、同时性或异时性,都是非常罕见的。病例介绍:本文报告三例双侧同步性涎腺肿瘤。识别该实体对于诊断和治疗计划非常重要。第一位患者为56岁女性,双侧腮腺肿瘤,右侧为恶性肿瘤,涎腺管癌,左侧为良性肿瘤,多形性腺瘤。第二例患者为50岁女性,双侧良性腮腺肿瘤,多形性腺瘤。第三例患者为51岁女性,双侧恶性肿瘤,腺泡细胞癌。详细的诊断工作,组织病理学和治疗的描述和讨论。结论:对于单侧唾液腺肿瘤,尤其是大腺肿瘤,术前对侧唾液腺的临床和MRI头颈部评估中应包括对侧唾液腺,以发现或排除可能的双侧发生。
本文章由计算机程序翻译,如有差异,请以英文原文为准。

Bilateral synchronous salivary gland tumors: report of three cases.

Bilateral synchronous salivary gland tumors: report of three cases.

Bilateral synchronous salivary gland tumors: report of three cases.

Bilateral synchronous salivary gland tumors: report of three cases.

Background: Bilateral salivary gland tumors, both benign and malignant and synchronous or metachronous are very rare.

Case presentation: Here three cases of synchronous bilateral salivary gland tumors are described and discussed. Recognizing the entity is important for diagnostics and treatment planning. The first patient was a 56-year-old female with a bilateral parotid tumor, a malignant tumor, salivary duct carcinoma on the right side and a benign tumor, pleomorphic adenoma on the left side. The second patient was a 50-year old female with a bilateral benign parotid tumor, a pleomorphic adenoma. The third patient was a 51-year old female with a bilateral malignant tumor, an acinic cell carcinoma. Details on the diagnostic work-up, histopathology and treatment are described and discussed.

Conclusions: In the case of a unilateral salivary gland tumor, especially of the major glands, the contralateral gland is always included in the clinical and radiological (MRI) head and neck evaluation prior to surgery, to detect or exclude possible bilateral occurrence.

求助全文
通过发布文献求助,成功后即可免费获取论文全文。 去求助
来源期刊
Diagnostic Pathology
Diagnostic Pathology 医学-病理学
CiteScore
4.60
自引率
0.00%
发文量
93
审稿时长
1 months
期刊介绍: Diagnostic Pathology is an open access, peer-reviewed, online journal that considers research in surgical and clinical pathology, immunology, and biology, with a special focus on cutting-edge approaches in diagnostic pathology and tissue-based therapy. The journal covers all aspects of surgical pathology, including classic diagnostic pathology, prognosis-related diagnosis (tumor stages, prognosis markers, such as MIB-percentage, hormone receptors, etc.), and therapy-related findings. The journal also focuses on the technological aspects of pathology, including molecular biology techniques, morphometry aspects (stereology, DNA analysis, syntactic structure analysis), communication aspects (telecommunication, virtual microscopy, virtual pathology institutions, etc.), and electronic education and quality assurance (for example interactive publication, on-line references with automated updating, etc.).
×
引用
GB/T 7714-2015
复制
MLA
复制
APA
复制
导出至
BibTeX EndNote RefMan NoteFirst NoteExpress
×
提示
您的信息不完整,为了账户安全,请先补充。
现在去补充
×
提示
您因"违规操作"
具体请查看互助需知
我知道了
×
提示
确定
请完成安全验证×
copy
已复制链接
快去分享给好友吧!
我知道了
右上角分享
点击右上角分享
0
联系我们:info@booksci.cn Book学术提供免费学术资源搜索服务,方便国内外学者检索中英文文献。致力于提供最便捷和优质的服务体验。 Copyright © 2023 布克学术 All rights reserved.
京ICP备2023020795号-1
ghs 京公网安备 11010802042870号
Book学术文献互助
Book学术文献互助群
群 号:604180095
Book学术官方微信