口腔鳞状细胞癌罕见的组织病理学亚型:一个强调组织病理学特征的病例系列。

Saede Atarbashi-Moghadam, Ali Lotfi, Leyla Roghanizadeh, Seyed Sepehr Mirebeigi Jamasbi, Zeinab Akbarzadeh Fathabadi
{"title":"口腔鳞状细胞癌罕见的组织病理学亚型:一个强调组织病理学特征的病例系列。","authors":"Saede Atarbashi-Moghadam, Ali Lotfi, Leyla Roghanizadeh, Seyed Sepehr Mirebeigi Jamasbi, Zeinab Akbarzadeh Fathabadi","doi":"10.30476/dentjods.2025.103223.2435","DOIUrl":null,"url":null,"abstract":"<p><p>Squamous cell carcinoma (SCC) is the most common oral malignancy. Conventional types are classified as well-, moderately- and poorly differentiated, which are usually easy to diagnose microscopically. Still, uncommon variants such as basaloid, verrucous, spindle cell, papillary, adenosquamous, acantholytic, cuniculatum, clear cell, and pigmented SCC make a diagnostic challenge for pathologists. This report presents four rare cases of oral SCC with histopathologic diagnosis of spindle cell carcinoma, carcinoma cuniculatum, papillary SCC, and basaloid SCC focusing on microscopic characteristics and differential diagnosis. The apprehensive knowledge about the unique histopathologic features of these uncommon variants is crucial to avoid their misdiagnoses and provide appropriate treatment.</p>","PeriodicalId":73702,"journal":{"name":"Journal of dentistry (Shiraz, Iran)","volume":"26 2","pages":"186-193"},"PeriodicalIF":0.0000,"publicationDate":"2025-06-01","publicationTypes":"Journal Article","fieldsOfStudy":null,"isOpenAccess":false,"openAccessPdf":"https://www.ncbi.nlm.nih.gov/pmc/articles/PMC12153494/pdf/","citationCount":"0","resultStr":"{\"title\":\"Infrequent Histopathologic Subtypes of Oral Squamous Cell Carcinoma: A Case Series with Emphasis on Histopathologic Characteristics.\",\"authors\":\"Saede Atarbashi-Moghadam, Ali Lotfi, Leyla Roghanizadeh, Seyed Sepehr Mirebeigi Jamasbi, Zeinab Akbarzadeh Fathabadi\",\"doi\":\"10.30476/dentjods.2025.103223.2435\",\"DOIUrl\":null,\"url\":null,\"abstract\":\"<p><p>Squamous cell carcinoma (SCC) is the most common oral malignancy. Conventional types are classified as well-, moderately- and poorly differentiated, which are usually easy to diagnose microscopically. Still, uncommon variants such as basaloid, verrucous, spindle cell, papillary, adenosquamous, acantholytic, cuniculatum, clear cell, and pigmented SCC make a diagnostic challenge for pathologists. This report presents four rare cases of oral SCC with histopathologic diagnosis of spindle cell carcinoma, carcinoma cuniculatum, papillary SCC, and basaloid SCC focusing on microscopic characteristics and differential diagnosis. The apprehensive knowledge about the unique histopathologic features of these uncommon variants is crucial to avoid their misdiagnoses and provide appropriate treatment.</p>\",\"PeriodicalId\":73702,\"journal\":{\"name\":\"Journal of dentistry (Shiraz, Iran)\",\"volume\":\"26 2\",\"pages\":\"186-193\"},\"PeriodicalIF\":0.0000,\"publicationDate\":\"2025-06-01\",\"publicationTypes\":\"Journal Article\",\"fieldsOfStudy\":null,\"isOpenAccess\":false,\"openAccessPdf\":\"https://www.ncbi.nlm.nih.gov/pmc/articles/PMC12153494/pdf/\",\"citationCount\":\"0\",\"resultStr\":null,\"platform\":\"Semanticscholar\",\"paperid\":null,\"PeriodicalName\":\"Journal of dentistry (Shiraz, Iran)\",\"FirstCategoryId\":\"1085\",\"ListUrlMain\":\"https://doi.org/10.30476/dentjods.2025.103223.2435\",\"RegionNum\":0,\"RegionCategory\":null,\"ArticlePicture\":[],\"TitleCN\":null,\"AbstractTextCN\":null,\"PMCID\":null,\"EPubDate\":\"\",\"PubModel\":\"\",\"JCR\":\"\",\"JCRName\":\"\",\"Score\":null,\"Total\":0}","platform":"Semanticscholar","paperid":null,"PeriodicalName":"Journal of dentistry (Shiraz, Iran)","FirstCategoryId":"1085","ListUrlMain":"https://doi.org/10.30476/dentjods.2025.103223.2435","RegionNum":0,"RegionCategory":null,"ArticlePicture":[],"TitleCN":null,"AbstractTextCN":null,"PMCID":null,"EPubDate":"","PubModel":"","JCR":"","JCRName":"","Score":null,"Total":0}
引用次数: 0

摘要

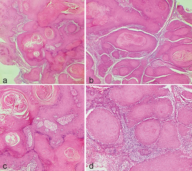
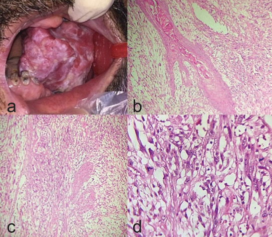
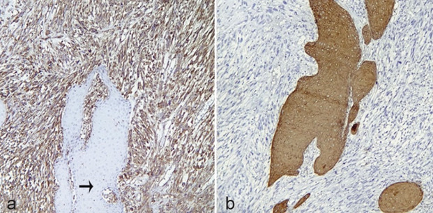
鳞状细胞癌是最常见的口腔恶性肿瘤。常规类型分为良好、中度和低分化,这通常很容易在显微镜下诊断。然而,不常见的变异,如基底样、疣状、梭形细胞、乳头状、腺鳞状、棘溶性、网状、透明细胞和色素样SCC,对病理学家来说是一个诊断挑战。本文报告4例罕见的口腔鳞状细胞癌,组织病理学诊断为梭形细胞癌、网状癌、乳头状鳞状细胞癌和基底细胞鳞状细胞癌,重点讨论其显微特征和鉴别诊断。了解这些罕见变异的独特组织病理学特征对于避免误诊和提供适当的治疗至关重要。
本文章由计算机程序翻译,如有差异,请以英文原文为准。

Infrequent Histopathologic Subtypes of Oral Squamous Cell Carcinoma: A Case Series with Emphasis on Histopathologic Characteristics.

Infrequent Histopathologic Subtypes of Oral Squamous Cell Carcinoma: A Case Series with Emphasis on Histopathologic Characteristics.

Infrequent Histopathologic Subtypes of Oral Squamous Cell Carcinoma: A Case Series with Emphasis on Histopathologic Characteristics.

Infrequent Histopathologic Subtypes of Oral Squamous Cell Carcinoma: A Case Series with Emphasis on Histopathologic Characteristics.

Squamous cell carcinoma (SCC) is the most common oral malignancy. Conventional types are classified as well-, moderately- and poorly differentiated, which are usually easy to diagnose microscopically. Still, uncommon variants such as basaloid, verrucous, spindle cell, papillary, adenosquamous, acantholytic, cuniculatum, clear cell, and pigmented SCC make a diagnostic challenge for pathologists. This report presents four rare cases of oral SCC with histopathologic diagnosis of spindle cell carcinoma, carcinoma cuniculatum, papillary SCC, and basaloid SCC focusing on microscopic characteristics and differential diagnosis. The apprehensive knowledge about the unique histopathologic features of these uncommon variants is crucial to avoid their misdiagnoses and provide appropriate treatment.

求助全文
通过发布文献求助,成功后即可免费获取论文全文。 去求助
来源期刊
CiteScore
0.50
自引率
0.00%
发文量
0
×
引用
GB/T 7714-2015
复制
MLA
复制
APA
复制
导出至
BibTeX EndNote RefMan NoteFirst NoteExpress
×
提示
您的信息不完整,为了账户安全,请先补充。
现在去补充
×
提示
您因"违规操作"
具体请查看互助需知
我知道了
×
提示
确定
请完成安全验证×
copy
已复制链接
快去分享给好友吧!
我知道了
右上角分享
点击右上角分享
0
联系我们:info@booksci.cn Book学术提供免费学术资源搜索服务,方便国内外学者检索中英文文献。致力于提供最便捷和优质的服务体验。 Copyright © 2023 布克学术 All rights reserved.
京ICP备2023020795号-1
ghs 京公网安备 11010802042870号
Book学术文献互助
Book学术文献互助群
群 号:604180095
Book学术官方微信