唾液腺源性肿瘤中杆状病毒凋亡蛋白抑制物重复蛋白的免疫组织化学表达。

Shima Torabi Ardekani, Hosein Mirhadi, Seyed Ali Ghaboos, Raziyeh Zare, Marzieh Khajeh
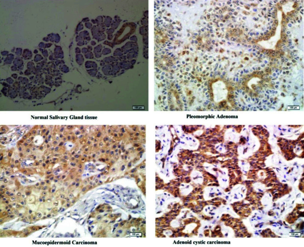
{"title":"唾液腺源性肿瘤中杆状病毒凋亡蛋白抑制物重复蛋白的免疫组织化学表达。","authors":"Shima Torabi Ardekani, Hosein Mirhadi, Seyed Ali Ghaboos, Raziyeh Zare, Marzieh Khajeh","doi":"10.30476/dentjods.2024.99323.2139","DOIUrl":null,"url":null,"abstract":"<p><strong>Background: </strong>Salivary gland tumors (SGTs) include benign and malignant tumors, such as pleomorphic adenoma (PA), mucoepidermoid carcinoma (MEC), and adenoid cystic carcinoma (ACC). Baculoviral inhibitors of apoptotic proteins (BIAPs) repeat-containing protein 6 (BIRC6), is an anti-apoptotic protein that plays an important role in cancers.</p><p><strong>Purpose: </strong>We aimed to evaluate the expression of BIRC6 in SGTs and its correlation with the clinicopathological features.</p><p><strong>Materials and method: </strong>In this cross-sectional study, 56 SGT tissue samples, including 15 cases of MEC, 20 cases of ACC, and 21 cases of PA, as well as nine cases of normal salivary gland tissues, were investigated for BIRC6 expression by immunohistochemical analysis.</p><p><strong>Results: </strong>BIRC6 was found in 2.50%, 63%, 88%, and 63% of normal tissue, MEC, ACC, and PA, respectively. The mean total score of BIRC6 expression was 9.13; for ACC, MEC, PA, and normal tissue of the salivary gland were 10.25, 9.13, 9.00, and 3.00, respectively. The high expression of BIRC6 was detected in 29 cases of malignant and 15 cases of benign SGTs. The frequency of high or low expression was not different between the male and female patients (<i>p</i>= 0.833), patients aged below or above 65 years (<i>p</i>= 0.950), patients with different tumor sizes (<i>p</i>= 0.734), and metastasis status (<i>p</i>= 0.977).</p><p><strong>Conclusion: </strong>The higher expression intensity and percentage of BIRC6 in malignant and benign SGTs suggests it as a potential marker to be used in future targeted therapy for SGTs.</p>","PeriodicalId":73702,"journal":{"name":"Journal of dentistry (Shiraz, Iran)","volume":"26 2","pages":"131-137"},"PeriodicalIF":0.0000,"publicationDate":"2025-06-01","publicationTypes":"Journal Article","fieldsOfStudy":null,"isOpenAccess":false,"openAccessPdf":"https://www.ncbi.nlm.nih.gov/pmc/articles/PMC12153473/pdf/","citationCount":"0","resultStr":"{\"title\":\"Immunohistochemical Expression of Baculoviral Inhibitor of Apoptotic Proteins Repeat-Containing Protein in Tumors of Salivary Gland Origin.\",\"authors\":\"Shima Torabi Ardekani, Hosein Mirhadi, Seyed Ali Ghaboos, Raziyeh Zare, Marzieh Khajeh\",\"doi\":\"10.30476/dentjods.2024.99323.2139\",\"DOIUrl\":null,\"url\":null,\"abstract\":\"<p><strong>Background: </strong>Salivary gland tumors (SGTs) include benign and malignant tumors, such as pleomorphic adenoma (PA), mucoepidermoid carcinoma (MEC), and adenoid cystic carcinoma (ACC). Baculoviral inhibitors of apoptotic proteins (BIAPs) repeat-containing protein 6 (BIRC6), is an anti-apoptotic protein that plays an important role in cancers.</p><p><strong>Purpose: </strong>We aimed to evaluate the expression of BIRC6 in SGTs and its correlation with the clinicopathological features.</p><p><strong>Materials and method: </strong>In this cross-sectional study, 56 SGT tissue samples, including 15 cases of MEC, 20 cases of ACC, and 21 cases of PA, as well as nine cases of normal salivary gland tissues, were investigated for BIRC6 expression by immunohistochemical analysis.</p><p><strong>Results: </strong>BIRC6 was found in 2.50%, 63%, 88%, and 63% of normal tissue, MEC, ACC, and PA, respectively. The mean total score of BIRC6 expression was 9.13; for ACC, MEC, PA, and normal tissue of the salivary gland were 10.25, 9.13, 9.00, and 3.00, respectively. The high expression of BIRC6 was detected in 29 cases of malignant and 15 cases of benign SGTs. The frequency of high or low expression was not different between the male and female patients (<i>p</i>= 0.833), patients aged below or above 65 years (<i>p</i>= 0.950), patients with different tumor sizes (<i>p</i>= 0.734), and metastasis status (<i>p</i>= 0.977).</p><p><strong>Conclusion: </strong>The higher expression intensity and percentage of BIRC6 in malignant and benign SGTs suggests it as a potential marker to be used in future targeted therapy for SGTs.</p>\",\"PeriodicalId\":73702,\"journal\":{\"name\":\"Journal of dentistry (Shiraz, Iran)\",\"volume\":\"26 2\",\"pages\":\"131-137\"},\"PeriodicalIF\":0.0000,\"publicationDate\":\"2025-06-01\",\"publicationTypes\":\"Journal Article\",\"fieldsOfStudy\":null,\"isOpenAccess\":false,\"openAccessPdf\":\"https://www.ncbi.nlm.nih.gov/pmc/articles/PMC12153473/pdf/\",\"citationCount\":\"0\",\"resultStr\":null,\"platform\":\"Semanticscholar\",\"paperid\":null,\"PeriodicalName\":\"Journal of dentistry (Shiraz, Iran)\",\"FirstCategoryId\":\"1085\",\"ListUrlMain\":\"https://doi.org/10.30476/dentjods.2024.99323.2139\",\"RegionNum\":0,\"RegionCategory\":null,\"ArticlePicture\":[],\"TitleCN\":null,\"AbstractTextCN\":null,\"PMCID\":null,\"EPubDate\":\"\",\"PubModel\":\"\",\"JCR\":\"\",\"JCRName\":\"\",\"Score\":null,\"Total\":0}","platform":"Semanticscholar","paperid":null,"PeriodicalName":"Journal of dentistry (Shiraz, Iran)","FirstCategoryId":"1085","ListUrlMain":"https://doi.org/10.30476/dentjods.2024.99323.2139","RegionNum":0,"RegionCategory":null,"ArticlePicture":[],"TitleCN":null,"AbstractTextCN":null,"PMCID":null,"EPubDate":"","PubModel":"","JCR":"","JCRName":"","Score":null,"Total":0}
引用次数: 0

摘要

背景:唾液腺肿瘤包括良性和恶性肿瘤,如多形性腺瘤(PA)、粘液表皮样癌(MEC)和腺样囊性癌(ACC)。Baculoviral inhibitors of apoptosis proteins (BIAPs) repeat-containing protein 6 (BIRC6)是一种抗凋亡蛋白,在肿瘤中发挥重要作用。目的:探讨BIRC6在sgt中的表达及其与临床病理特征的相关性。材料与方法:本横断面研究采用免疫组织化学方法检测了56例SGT组织样本(包括15例MEC、20例ACC、21例PA)和9例正常唾液腺组织BIRC6的表达。结果:BIRC6在正常组织、MEC、ACC和PA中分别为2.50%、63%、88%和63%。BIRC6表达总分平均为9.13分;ACC、MEC、PA和正常唾液腺组织分别为10.25、9.13、9.00和3.00。在29例恶性sgt和15例良性sgt中检测到BIRC6高表达。高表达和低表达的频率在男女患者(p= 0.833)、65岁以下和65岁以上患者(p= 0.950)、不同肿瘤大小患者(p= 0.734)和转移情况患者(p= 0.977)之间无显著差异。结论:BIRC6在恶性和良性sgt中较高的表达强度和表达比例提示其可作为未来sgt靶向治疗的潜在标志物。
本文章由计算机程序翻译,如有差异,请以英文原文为准。

Immunohistochemical Expression of Baculoviral Inhibitor of Apoptotic Proteins Repeat-Containing Protein in Tumors of Salivary Gland Origin.

Immunohistochemical Expression of Baculoviral Inhibitor of Apoptotic Proteins Repeat-Containing Protein in Tumors of Salivary Gland Origin.

Background: Salivary gland tumors (SGTs) include benign and malignant tumors, such as pleomorphic adenoma (PA), mucoepidermoid carcinoma (MEC), and adenoid cystic carcinoma (ACC). Baculoviral inhibitors of apoptotic proteins (BIAPs) repeat-containing protein 6 (BIRC6), is an anti-apoptotic protein that plays an important role in cancers.

Purpose: We aimed to evaluate the expression of BIRC6 in SGTs and its correlation with the clinicopathological features.

Materials and method: In this cross-sectional study, 56 SGT tissue samples, including 15 cases of MEC, 20 cases of ACC, and 21 cases of PA, as well as nine cases of normal salivary gland tissues, were investigated for BIRC6 expression by immunohistochemical analysis.

Results: BIRC6 was found in 2.50%, 63%, 88%, and 63% of normal tissue, MEC, ACC, and PA, respectively. The mean total score of BIRC6 expression was 9.13; for ACC, MEC, PA, and normal tissue of the salivary gland were 10.25, 9.13, 9.00, and 3.00, respectively. The high expression of BIRC6 was detected in 29 cases of malignant and 15 cases of benign SGTs. The frequency of high or low expression was not different between the male and female patients (p= 0.833), patients aged below or above 65 years (p= 0.950), patients with different tumor sizes (p= 0.734), and metastasis status (p= 0.977).

Conclusion: The higher expression intensity and percentage of BIRC6 in malignant and benign SGTs suggests it as a potential marker to be used in future targeted therapy for SGTs.

求助全文
通过发布文献求助,成功后即可免费获取论文全文。 去求助
来源期刊
CiteScore
0.50
自引率
0.00%
发文量
0
×
引用
GB/T 7714-2015
复制
MLA
复制
APA
复制
导出至
BibTeX EndNote RefMan NoteFirst NoteExpress
×
提示
您的信息不完整,为了账户安全,请先补充。
现在去补充
×
提示
您因"违规操作"
具体请查看互助需知
我知道了
×
提示
确定
请完成安全验证×
copy
已复制链接
快去分享给好友吧!
我知道了
右上角分享
点击右上角分享
0
联系我们:info@booksci.cn Book学术提供免费学术资源搜索服务,方便国内外学者检索中英文文献。致力于提供最便捷和优质的服务体验。 Copyright © 2023 布克学术 All rights reserved.
京ICP备2023020795号-1
ghs 京公网安备 11010802042870号
Book学术文献互助
Book学术文献互助群
群 号:604180095
Book学术官方微信