口腔梭形细胞血管瘤的免疫组化分析。

Amit Mani, Manas Bajpai, Saurabh L Sabnis
{"title":"口腔梭形细胞血管瘤的免疫组化分析。","authors":"Amit Mani, Manas Bajpai, Saurabh L Sabnis","doi":"10.30476/dentjods.2024.101499.2305","DOIUrl":null,"url":null,"abstract":"<p><p>Spindle cell hemangioma (SCH), formerly called \"spindle cell hemangioendothelioma\", is a rare benign histological variant of hemangioma characterized by the presence of two contrast zones, the first zone exhibits large dilated cavernous space with slit-like vascular spaces may show clear endothelial vacuoles resembling fat cells. SCH is often considered as pseudosarcomatous entity; it imposes a diagnostic challenge for oral pathologists due to its resemblance with Kaposi sarcoma. A total of 13 cases of SCH have been reported in the head and neck region to date and only 6 cases have been reported inside the oral cavity. We present a rare case of SCH located on the hard palate, which imitated Kaposi's sarcoma on histopathological examination. The expressions of various markers including EGR, CD 31, and HHV 8 yielded the final diagnosis of SCH. The markers EGR and HHV 8 have never been used in intraoral SCH before to the best of our knowledge; hence, the present report highlights the use of immunohistochemistry for the diagnosis of SCH.</p>","PeriodicalId":73702,"journal":{"name":"Journal of dentistry (Shiraz, Iran)","volume":"26 2","pages":"194-198"},"PeriodicalIF":0.0000,"publicationDate":"2025-06-01","publicationTypes":"Journal Article","fieldsOfStudy":null,"isOpenAccess":false,"openAccessPdf":"https://www.ncbi.nlm.nih.gov/pmc/articles/PMC12153497/pdf/","citationCount":"0","resultStr":"{\"title\":\"Immunohistochemical Analysis of Oral Spindle Cell Hemangioma.\",\"authors\":\"Amit Mani, Manas Bajpai, Saurabh L Sabnis\",\"doi\":\"10.30476/dentjods.2024.101499.2305\",\"DOIUrl\":null,\"url\":null,\"abstract\":\"<p><p>Spindle cell hemangioma (SCH), formerly called \\\"spindle cell hemangioendothelioma\\\", is a rare benign histological variant of hemangioma characterized by the presence of two contrast zones, the first zone exhibits large dilated cavernous space with slit-like vascular spaces may show clear endothelial vacuoles resembling fat cells. SCH is often considered as pseudosarcomatous entity; it imposes a diagnostic challenge for oral pathologists due to its resemblance with Kaposi sarcoma. A total of 13 cases of SCH have been reported in the head and neck region to date and only 6 cases have been reported inside the oral cavity. We present a rare case of SCH located on the hard palate, which imitated Kaposi's sarcoma on histopathological examination. The expressions of various markers including EGR, CD 31, and HHV 8 yielded the final diagnosis of SCH. The markers EGR and HHV 8 have never been used in intraoral SCH before to the best of our knowledge; hence, the present report highlights the use of immunohistochemistry for the diagnosis of SCH.</p>\",\"PeriodicalId\":73702,\"journal\":{\"name\":\"Journal of dentistry (Shiraz, Iran)\",\"volume\":\"26 2\",\"pages\":\"194-198\"},\"PeriodicalIF\":0.0000,\"publicationDate\":\"2025-06-01\",\"publicationTypes\":\"Journal Article\",\"fieldsOfStudy\":null,\"isOpenAccess\":false,\"openAccessPdf\":\"https://www.ncbi.nlm.nih.gov/pmc/articles/PMC12153497/pdf/\",\"citationCount\":\"0\",\"resultStr\":null,\"platform\":\"Semanticscholar\",\"paperid\":null,\"PeriodicalName\":\"Journal of dentistry (Shiraz, Iran)\",\"FirstCategoryId\":\"1085\",\"ListUrlMain\":\"https://doi.org/10.30476/dentjods.2024.101499.2305\",\"RegionNum\":0,\"RegionCategory\":null,\"ArticlePicture\":[],\"TitleCN\":null,\"AbstractTextCN\":null,\"PMCID\":null,\"EPubDate\":\"\",\"PubModel\":\"\",\"JCR\":\"\",\"JCRName\":\"\",\"Score\":null,\"Total\":0}","platform":"Semanticscholar","paperid":null,"PeriodicalName":"Journal of dentistry (Shiraz, Iran)","FirstCategoryId":"1085","ListUrlMain":"https://doi.org/10.30476/dentjods.2024.101499.2305","RegionNum":0,"RegionCategory":null,"ArticlePicture":[],"TitleCN":null,"AbstractTextCN":null,"PMCID":null,"EPubDate":"","PubModel":"","JCR":"","JCRName":"","Score":null,"Total":0}
引用次数: 0

摘要

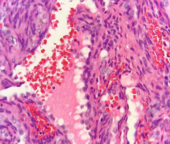
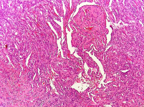
梭形细胞血管瘤(SCH),以前称为“梭形细胞血管内皮瘤”,是一种罕见的良性血管瘤的组织学变异,其特征是存在两个对比区,第一个区表现为巨大的扩张的海绵状空间,裂缝状血管空间可显示清晰的内皮空泡,类似脂肪细胞。SCH常被认为是假肉瘤;由于它与卡波西肉瘤相似,对口腔病理学家的诊断提出了挑战。迄今为止,头颈部共报告了13例SCH,而口腔内仅报告了6例。我们报告一例罕见的位于硬腭的SCH,其组织病理检查与卡波西氏肉瘤相似。EGR、cd31、HHV - 8等标志物的表达是SCH的最终诊断依据。据我们所知,EGR和HHV - 8标志物从未用于口腔内SCH;因此,本报告强调使用免疫组织化学诊断SCH。
本文章由计算机程序翻译,如有差异,请以英文原文为准。

Immunohistochemical Analysis of Oral Spindle Cell Hemangioma.

Immunohistochemical Analysis of Oral Spindle Cell Hemangioma.

Immunohistochemical Analysis of Oral Spindle Cell Hemangioma.

Immunohistochemical Analysis of Oral Spindle Cell Hemangioma.

Spindle cell hemangioma (SCH), formerly called "spindle cell hemangioendothelioma", is a rare benign histological variant of hemangioma characterized by the presence of two contrast zones, the first zone exhibits large dilated cavernous space with slit-like vascular spaces may show clear endothelial vacuoles resembling fat cells. SCH is often considered as pseudosarcomatous entity; it imposes a diagnostic challenge for oral pathologists due to its resemblance with Kaposi sarcoma. A total of 13 cases of SCH have been reported in the head and neck region to date and only 6 cases have been reported inside the oral cavity. We present a rare case of SCH located on the hard palate, which imitated Kaposi's sarcoma on histopathological examination. The expressions of various markers including EGR, CD 31, and HHV 8 yielded the final diagnosis of SCH. The markers EGR and HHV 8 have never been used in intraoral SCH before to the best of our knowledge; hence, the present report highlights the use of immunohistochemistry for the diagnosis of SCH.

求助全文
通过发布文献求助,成功后即可免费获取论文全文。 去求助
来源期刊
CiteScore
0.50
自引率
0.00%
发文量
0
×
引用
GB/T 7714-2015
复制
MLA
复制
APA
复制
导出至
BibTeX EndNote RefMan NoteFirst NoteExpress
×
提示
您的信息不完整,为了账户安全,请先补充。
现在去补充
×
提示
您因"违规操作"
具体请查看互助需知
我知道了
×
提示
确定
请完成安全验证×
copy
已复制链接
快去分享给好友吧!
我知道了
右上角分享
点击右上角分享
0
联系我们:info@booksci.cn Book学术提供免费学术资源搜索服务,方便国内外学者检索中英文文献。致力于提供最便捷和优质的服务体验。 Copyright © 2023 布克学术 All rights reserved.
京ICP备2023020795号-1
ghs 京公网安备 11010802042870号
Book学术文献互助
Book学术文献互助群
群 号:604180095
Book学术官方微信