不同体重指数患者减剂量优化回顾性门控心电图冠状动脉ct血管造影。

Q3 Medicine
Behzad Fazlkhah, Mona Fazel Ghaziyani, Leyla Dinparast, Vahid Alinejad, Yunus Soleymani, Davood Khezerloo
{"title":"不同体重指数患者减剂量优化回顾性门控心电图冠状动脉ct血管造影。","authors":"Behzad Fazlkhah, Mona Fazel Ghaziyani, Leyla Dinparast, Vahid Alinejad, Yunus Soleymani, Davood Khezerloo","doi":"10.31661/jbpe.v0i0.2209-1537","DOIUrl":null,"url":null,"abstract":"<p><strong>Background: </strong>The reduction of patient radiation dose in coronary Computed Tomography Angiography (CCTA) with acceptable image quality is considered an important factor in the research.</p><p><strong>Objective: </strong>This study aims to optimize the CCTA protocol using a retrospective Electrocardiogram (ECG)-gated axial scan protocol in patients with different Body Mass Indexes (BMIs).</p><p><strong>Material and methods: </strong>In this cross-sectional study, 66 patients into three main groups: 80 kVp (Group A), 100 kVp (Group B), and 120 kVp (Group C), underwent CCTA. Each group was then divided into two subgroups of BMI<25 and >25 kg/m<sup>2</sup>. Image noise, mean vascular attenuation at the aorta, signal-to-noise ratio (SNR), and Contrast-to-Noise Ratio (CNR) at five regions of coronary arteries, in which Coronary artery anomalies are common were qualitatively evaluated by subjective image quality analysis.</p><p><strong>Results: </strong>At each kVp, there were no significant differences in CNR, SNR, noise level, and the effective dose between BMI>25 kg/m<sup>2</sup> and BMI<25 kg/m<sup>2</sup>. The effective radiation dose of groups A, B, and C were 4.16, 8.46, and 14.3 mSv, respectively. Subjective image quality assessment scores were 3.18, 3.5, and 3.73 out of 4 in groups A, B, and C, respectively.</p><p><strong>Conclusion: </strong>Patient radiation dose using retrospective ECG-gated CCTA can be reduced by about 70% at 80 kVp, which is almost close to the prospective CCTA dose ranges. The retrospective CCTA at 80 kVp can be optimized even in overweight patients (BMI>25 kg/m<sup>2</sup>).</p>","PeriodicalId":38035,"journal":{"name":"Journal of Biomedical Physics and Engineering","volume":"15 3","pages":"281-290"},"PeriodicalIF":0.0000,"publicationDate":"2025-06-01","publicationTypes":"Journal Article","fieldsOfStudy":null,"isOpenAccess":false,"openAccessPdf":"https://www.ncbi.nlm.nih.gov/pmc/articles/PMC12153491/pdf/","citationCount":"0","resultStr":"{\"title\":\"Optimization of Retrospective Gated-ECG Coronary Computed Tomography Angiography by Dose Reduction in Patients with Different Body Mass Indexes.\",\"authors\":\"Behzad Fazlkhah, Mona Fazel Ghaziyani, Leyla Dinparast, Vahid Alinejad, Yunus Soleymani, Davood Khezerloo\",\"doi\":\"10.31661/jbpe.v0i0.2209-1537\",\"DOIUrl\":null,\"url\":null,\"abstract\":\"<p><strong>Background: </strong>The reduction of patient radiation dose in coronary Computed Tomography Angiography (CCTA) with acceptable image quality is considered an important factor in the research.</p><p><strong>Objective: </strong>This study aims to optimize the CCTA protocol using a retrospective Electrocardiogram (ECG)-gated axial scan protocol in patients with different Body Mass Indexes (BMIs).</p><p><strong>Material and methods: </strong>In this cross-sectional study, 66 patients into three main groups: 80 kVp (Group A), 100 kVp (Group B), and 120 kVp (Group C), underwent CCTA. Each group was then divided into two subgroups of BMI<25 and >25 kg/m<sup>2</sup>. Image noise, mean vascular attenuation at the aorta, signal-to-noise ratio (SNR), and Contrast-to-Noise Ratio (CNR) at five regions of coronary arteries, in which Coronary artery anomalies are common were qualitatively evaluated by subjective image quality analysis.</p><p><strong>Results: </strong>At each kVp, there were no significant differences in CNR, SNR, noise level, and the effective dose between BMI>25 kg/m<sup>2</sup> and BMI<25 kg/m<sup>2</sup>. The effective radiation dose of groups A, B, and C were 4.16, 8.46, and 14.3 mSv, respectively. Subjective image quality assessment scores were 3.18, 3.5, and 3.73 out of 4 in groups A, B, and C, respectively.</p><p><strong>Conclusion: </strong>Patient radiation dose using retrospective ECG-gated CCTA can be reduced by about 70% at 80 kVp, which is almost close to the prospective CCTA dose ranges. The retrospective CCTA at 80 kVp can be optimized even in overweight patients (BMI>25 kg/m<sup>2</sup>).</p>\",\"PeriodicalId\":38035,\"journal\":{\"name\":\"Journal of Biomedical Physics and Engineering\",\"volume\":\"15 3\",\"pages\":\"281-290\"},\"PeriodicalIF\":0.0000,\"publicationDate\":\"2025-06-01\",\"publicationTypes\":\"Journal Article\",\"fieldsOfStudy\":null,\"isOpenAccess\":false,\"openAccessPdf\":\"https://www.ncbi.nlm.nih.gov/pmc/articles/PMC12153491/pdf/\",\"citationCount\":\"0\",\"resultStr\":null,\"platform\":\"Semanticscholar\",\"paperid\":null,\"PeriodicalName\":\"Journal of Biomedical Physics and Engineering\",\"FirstCategoryId\":\"1085\",\"ListUrlMain\":\"https://doi.org/10.31661/jbpe.v0i0.2209-1537\",\"RegionNum\":0,\"RegionCategory\":null,\"ArticlePicture\":[],\"TitleCN\":null,\"AbstractTextCN\":null,\"PMCID\":null,\"EPubDate\":\"\",\"PubModel\":\"\",\"JCR\":\"Q3\",\"JCRName\":\"Medicine\",\"Score\":null,\"Total\":0}","platform":"Semanticscholar","paperid":null,"PeriodicalName":"Journal of Biomedical Physics and Engineering","FirstCategoryId":"1085","ListUrlMain":"https://doi.org/10.31661/jbpe.v0i0.2209-1537","RegionNum":0,"RegionCategory":null,"ArticlePicture":[],"TitleCN":null,"AbstractTextCN":null,"PMCID":null,"EPubDate":"","PubModel":"","JCR":"Q3","JCRName":"Medicine","Score":null,"Total":0}
引用次数: 0

摘要

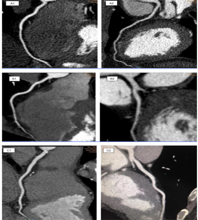
背景:降低冠状动脉ct血管造影(CCTA)患者的辐射剂量并获得可接受的图像质量被认为是研究的重要因素。目的:本研究旨在利用回顾性心电图门控轴向扫描方案优化不同体重指数(bmi)患者的CCTA方案。材料和方法:在这项横断面研究中,66例患者接受了CCTA,分为三组:80 kVp (A组),100 kVp (B组)和120 kVp (C组)。每组按BMI25 kg/m2分为2个亚组。通过主观图像质量分析定性评价常见冠状动脉异常的5个冠状动脉区域的图像噪声、主动脉血管平均衰减、信噪比(SNR)、噪比(CNR)。结果:在各kVp下,BMI bb0 25 kg/m2与BMI2在CNR、信噪比、噪声水平、有效剂量方面均无显著差异。A、B、C组有效辐射剂量分别为4.16、8.46、14.3 mSv。A、B、C组主观图像质量评价得分分别为3.18分、3.5分、3.73分(满分4分)。结论:在80 kVp时,采用回顾性ecg门控CCTA可使患者放射剂量降低约70%,几乎接近CCTA的预期剂量范围。80 kVp时的回顾性CCTA甚至可以优化超重患者(BMI为25 kg/m2)。
本文章由计算机程序翻译,如有差异,请以英文原文为准。

Optimization of Retrospective Gated-ECG Coronary Computed Tomography Angiography by Dose Reduction in Patients with Different Body Mass Indexes.

Optimization of Retrospective Gated-ECG Coronary Computed Tomography Angiography by Dose Reduction in Patients with Different Body Mass Indexes.

Optimization of Retrospective Gated-ECG Coronary Computed Tomography Angiography by Dose Reduction in Patients with Different Body Mass Indexes.

Optimization of Retrospective Gated-ECG Coronary Computed Tomography Angiography by Dose Reduction in Patients with Different Body Mass Indexes.

Background: The reduction of patient radiation dose in coronary Computed Tomography Angiography (CCTA) with acceptable image quality is considered an important factor in the research.

Objective: This study aims to optimize the CCTA protocol using a retrospective Electrocardiogram (ECG)-gated axial scan protocol in patients with different Body Mass Indexes (BMIs).

Material and methods: In this cross-sectional study, 66 patients into three main groups: 80 kVp (Group A), 100 kVp (Group B), and 120 kVp (Group C), underwent CCTA. Each group was then divided into two subgroups of BMI<25 and >25 kg/m2. Image noise, mean vascular attenuation at the aorta, signal-to-noise ratio (SNR), and Contrast-to-Noise Ratio (CNR) at five regions of coronary arteries, in which Coronary artery anomalies are common were qualitatively evaluated by subjective image quality analysis.

Results: At each kVp, there were no significant differences in CNR, SNR, noise level, and the effective dose between BMI>25 kg/m2 and BMI<25 kg/m2. The effective radiation dose of groups A, B, and C were 4.16, 8.46, and 14.3 mSv, respectively. Subjective image quality assessment scores were 3.18, 3.5, and 3.73 out of 4 in groups A, B, and C, respectively.

Conclusion: Patient radiation dose using retrospective ECG-gated CCTA can be reduced by about 70% at 80 kVp, which is almost close to the prospective CCTA dose ranges. The retrospective CCTA at 80 kVp can be optimized even in overweight patients (BMI>25 kg/m2).

求助全文
通过发布文献求助,成功后即可免费获取论文全文。 去求助
来源期刊
Journal of Biomedical Physics and Engineering
Journal of Biomedical Physics and Engineering Medicine-Radiology, Nuclear Medicine and Imaging
CiteScore
2.90
自引率
0.00%
发文量
64
审稿时长
10 weeks
期刊介绍: The Journal of Biomedical Physics and Engineering (JBPE) is a bimonthly peer-reviewed English-language journal that publishes high-quality basic sciences and clinical research (experimental or theoretical) broadly concerned with the relationship of physics to medicine and engineering.
×
引用
GB/T 7714-2015
复制
MLA
复制
APA
复制
导出至
BibTeX EndNote RefMan NoteFirst NoteExpress
×
提示
您的信息不完整,为了账户安全,请先补充。
现在去补充
×
提示
您因"违规操作"
具体请查看互助需知
我知道了
×
提示
确定
请完成安全验证×
copy
已复制链接
快去分享给好友吧!
我知道了
右上角分享
点击右上角分享
0
联系我们:info@booksci.cn Book学术提供免费学术资源搜索服务,方便国内外学者检索中英文文献。致力于提供最便捷和优质的服务体验。 Copyright © 2023 布克学术 All rights reserved.
京ICP备2023020795号-1
ghs 京公网安备 11010802042870号
Book学术文献互助
Book学术文献互助群
群 号:604180095
Book学术官方微信