利用新一代测序技术鉴定返乡旅客发热病原体。

IF 3.5 Q1 TROPICAL MEDICINE
Kenji Gotoh, Nobuyuki Hamada, Takahito Kashiwagi, Koyu Hara, Hiroshi Watanabe
{"title":"利用新一代测序技术鉴定返乡旅客发热病原体。","authors":"Kenji Gotoh, Nobuyuki Hamada, Takahito Kashiwagi, Koyu Hara, Hiroshi Watanabe","doi":"10.1186/s41182-025-00763-z","DOIUrl":null,"url":null,"abstract":"<p><strong>Introduction: </strong>In cases of fever following international travel, medical evaluation should consider the prevalence of infectious diseases in the travel destination. However, there are instances where a definitive diagnosis cannot be made. Identifying these unknown pathogens is crucial for managing febrile returning travelers and as a model for the early detection of emerging infectious diseases. The aim of this study was identification of pathogens from febrile cases where fever was the primary symptom and no other specific clinical features were present.</p><p><strong>Methods: </strong>Between 2008 and 2020, a total of 164 travelers visited Kurume University Hospital due to illness after returning from abroad. However, despite extensive testing, no definitive diagnosis was reached for 18 febrile travelers. Next-generation sequencing (NGS) was performed on eight samples (five whole blood, one serum, one cerebrospinal fluid, and one nasopharyngeal swab) collected from seven returning travelers with undiagnosed fever. Additionally, virus isolation using VeroE6 cells was conducted on two of these samples.</p><p><strong>Results: </strong>NGS detected human coronavirus OC43 (HCoV-OC43) genes in all eight samples. Of these, six samples contained only HCoV-OC43 genes, one sample contained both HCoV-OC43 and herpes simplex virus type 1 (HSV-1) genes, and one sample contained both HCoV-OC43 and mumps virus genes. Furthermore, conventional RT-PCR confirmed the presence of HCoV-OC43 genetic fragments in two of the eight samples.</p><p><strong>Conclusion: </strong>Our findings suggest that before the COVID-19 pandemic, common coronaviruses such as HCoV-OC43 were a frequent cause of fever in returning travelers. If tropical infectious diseases, such as dengue fever and malaria, are excluded and the patient's general condition remains stable, outpatient follow-up is a viable option.</p>","PeriodicalId":23311,"journal":{"name":"Tropical Medicine and Health","volume":"53 1","pages":"80"},"PeriodicalIF":3.5000,"publicationDate":"2025-06-13","publicationTypes":"Journal Article","fieldsOfStudy":null,"isOpenAccess":false,"openAccessPdf":"https://www.ncbi.nlm.nih.gov/pmc/articles/PMC12164132/pdf/","citationCount":"0","resultStr":"{\"title\":\"Identification of pathogens causing fever in returning travelers using next-generation sequencing.\",\"authors\":\"Kenji Gotoh, Nobuyuki Hamada, Takahito Kashiwagi, Koyu Hara, Hiroshi Watanabe\",\"doi\":\"10.1186/s41182-025-00763-z\",\"DOIUrl\":null,\"url\":null,\"abstract\":\"<p><strong>Introduction: </strong>In cases of fever following international travel, medical evaluation should consider the prevalence of infectious diseases in the travel destination. However, there are instances where a definitive diagnosis cannot be made. Identifying these unknown pathogens is crucial for managing febrile returning travelers and as a model for the early detection of emerging infectious diseases. The aim of this study was identification of pathogens from febrile cases where fever was the primary symptom and no other specific clinical features were present.</p><p><strong>Methods: </strong>Between 2008 and 2020, a total of 164 travelers visited Kurume University Hospital due to illness after returning from abroad. However, despite extensive testing, no definitive diagnosis was reached for 18 febrile travelers. Next-generation sequencing (NGS) was performed on eight samples (five whole blood, one serum, one cerebrospinal fluid, and one nasopharyngeal swab) collected from seven returning travelers with undiagnosed fever. Additionally, virus isolation using VeroE6 cells was conducted on two of these samples.</p><p><strong>Results: </strong>NGS detected human coronavirus OC43 (HCoV-OC43) genes in all eight samples. Of these, six samples contained only HCoV-OC43 genes, one sample contained both HCoV-OC43 and herpes simplex virus type 1 (HSV-1) genes, and one sample contained both HCoV-OC43 and mumps virus genes. Furthermore, conventional RT-PCR confirmed the presence of HCoV-OC43 genetic fragments in two of the eight samples.</p><p><strong>Conclusion: </strong>Our findings suggest that before the COVID-19 pandemic, common coronaviruses such as HCoV-OC43 were a frequent cause of fever in returning travelers. If tropical infectious diseases, such as dengue fever and malaria, are excluded and the patient's general condition remains stable, outpatient follow-up is a viable option.</p>\",\"PeriodicalId\":23311,\"journal\":{\"name\":\"Tropical Medicine and Health\",\"volume\":\"53 1\",\"pages\":\"80\"},\"PeriodicalIF\":3.5000,\"publicationDate\":\"2025-06-13\",\"publicationTypes\":\"Journal Article\",\"fieldsOfStudy\":null,\"isOpenAccess\":false,\"openAccessPdf\":\"https://www.ncbi.nlm.nih.gov/pmc/articles/PMC12164132/pdf/\",\"citationCount\":\"0\",\"resultStr\":null,\"platform\":\"Semanticscholar\",\"paperid\":null,\"PeriodicalName\":\"Tropical Medicine and Health\",\"FirstCategoryId\":\"1085\",\"ListUrlMain\":\"https://doi.org/10.1186/s41182-025-00763-z\",\"RegionNum\":0,\"RegionCategory\":null,\"ArticlePicture\":[],\"TitleCN\":null,\"AbstractTextCN\":null,\"PMCID\":null,\"EPubDate\":\"\",\"PubModel\":\"\",\"JCR\":\"Q1\",\"JCRName\":\"TROPICAL MEDICINE\",\"Score\":null,\"Total\":0}","platform":"Semanticscholar","paperid":null,"PeriodicalName":"Tropical Medicine and Health","FirstCategoryId":"1085","ListUrlMain":"https://doi.org/10.1186/s41182-025-00763-z","RegionNum":0,"RegionCategory":null,"ArticlePicture":[],"TitleCN":null,"AbstractTextCN":null,"PMCID":null,"EPubDate":"","PubModel":"","JCR":"Q1","JCRName":"TROPICAL MEDICINE","Score":null,"Total":0}
引用次数: 0

摘要

导读:对于国际旅行后出现发热的病例,医学评估应考虑旅行目的地传染病的流行情况。然而,在某些情况下,无法做出明确的诊断。识别这些未知病原体对于管理发烧的返程旅行者至关重要,并可作为早期发现新发传染病的模式。本研究的目的是从发热病例中鉴定病原体,其中发热是主要症状,没有其他具体的临床特征。方法:2008 - 2020年,164名从国外归来的旅行者因病到库鲁姆大学医院就诊。然而,尽管进行了广泛的检测,仍未对18名发热旅行者作出明确诊断。对从7名未确诊发热的返回旅行者收集的8份样本(5份全血、1份血清、1份脑脊液和1份鼻咽拭子)进行了新一代测序(NGS)。此外,使用VeroE6细胞对其中两个样本进行了病毒分离。结果:NGS在8份样本中均检测到人冠状病毒OC43 (HCoV-OC43)基因。其中,6份样本仅含有HCoV-OC43基因,1份样本同时含有HCoV-OC43和单纯疱疹病毒1型(HSV-1)基因,1份样本同时含有HCoV-OC43和腮腺炎病毒基因。此外,常规RT-PCR证实8份样本中有2份存在HCoV-OC43基因片段。结论:我们的研究结果表明,在2019冠状病毒病大流行之前,HCoV-OC43等常见冠状病毒是导致返乡旅客发烧的常见原因。如果排除了热带传染病,如登革热和疟疾,并且患者的一般情况保持稳定,门诊随访是一个可行的选择。
本文章由计算机程序翻译,如有差异,请以英文原文为准。

Identification of pathogens causing fever in returning travelers using next-generation sequencing.

Identification of pathogens causing fever in returning travelers using next-generation sequencing.

Identification of pathogens causing fever in returning travelers using next-generation sequencing.

Identification of pathogens causing fever in returning travelers using next-generation sequencing.

Introduction: In cases of fever following international travel, medical evaluation should consider the prevalence of infectious diseases in the travel destination. However, there are instances where a definitive diagnosis cannot be made. Identifying these unknown pathogens is crucial for managing febrile returning travelers and as a model for the early detection of emerging infectious diseases. The aim of this study was identification of pathogens from febrile cases where fever was the primary symptom and no other specific clinical features were present.

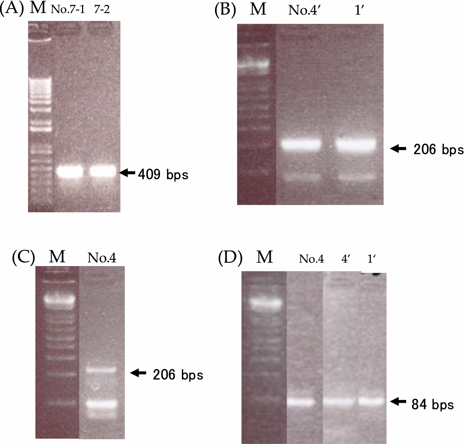
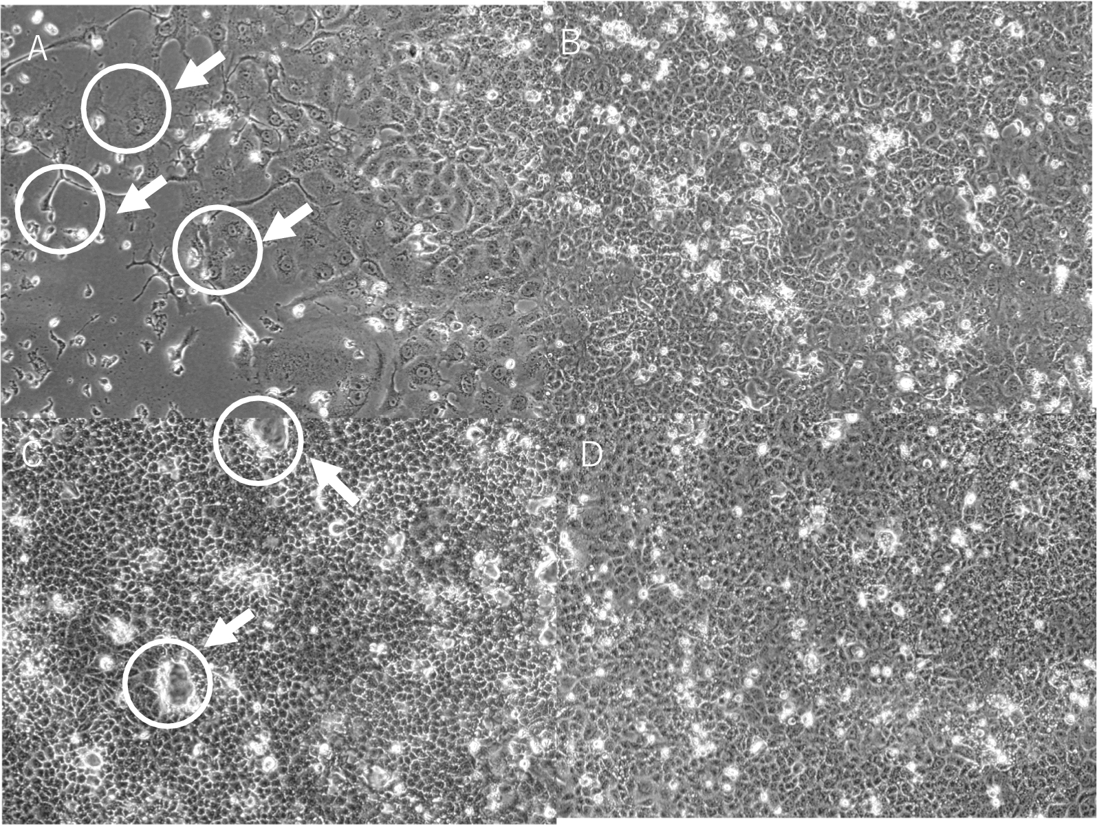
Methods: Between 2008 and 2020, a total of 164 travelers visited Kurume University Hospital due to illness after returning from abroad. However, despite extensive testing, no definitive diagnosis was reached for 18 febrile travelers. Next-generation sequencing (NGS) was performed on eight samples (five whole blood, one serum, one cerebrospinal fluid, and one nasopharyngeal swab) collected from seven returning travelers with undiagnosed fever. Additionally, virus isolation using VeroE6 cells was conducted on two of these samples.

Results: NGS detected human coronavirus OC43 (HCoV-OC43) genes in all eight samples. Of these, six samples contained only HCoV-OC43 genes, one sample contained both HCoV-OC43 and herpes simplex virus type 1 (HSV-1) genes, and one sample contained both HCoV-OC43 and mumps virus genes. Furthermore, conventional RT-PCR confirmed the presence of HCoV-OC43 genetic fragments in two of the eight samples.

Conclusion: Our findings suggest that before the COVID-19 pandemic, common coronaviruses such as HCoV-OC43 were a frequent cause of fever in returning travelers. If tropical infectious diseases, such as dengue fever and malaria, are excluded and the patient's general condition remains stable, outpatient follow-up is a viable option.

求助全文
通过发布文献求助,成功后即可免费获取论文全文。 去求助
来源期刊
Tropical Medicine and Health
Tropical Medicine and Health TROPICAL MEDICINE-
CiteScore
7.00
自引率
2.20%
发文量
90
审稿时长
11 weeks
×
引用
GB/T 7714-2015
复制
MLA
复制
APA
复制
导出至
BibTeX EndNote RefMan NoteFirst NoteExpress
×
提示
您的信息不完整,为了账户安全,请先补充。
现在去补充
×
提示
您因"违规操作"
具体请查看互助需知
我知道了
×
提示
确定
请完成安全验证×
copy
已复制链接
快去分享给好友吧!
我知道了
右上角分享
点击右上角分享
0
联系我们:info@booksci.cn Book学术提供免费学术资源搜索服务,方便国内外学者检索中英文文献。致力于提供最便捷和优质的服务体验。 Copyright © 2023 布克学术 All rights reserved.
京ICP备2023020795号-1
ghs 京公网安备 11010802042870号
Book学术文献互助
Book学术文献互助群
群 号:604180095
Book学术官方微信