帕金森病深部脑刺激后迟发性脑出血。

IF 0.6 Q4 CLINICAL NEUROLOGY
Case Reports in Neurology Pub Date : 2025-05-06 eCollection Date: 2025-01-01 DOI:10.1159/000546056
Hana Chudy, Marina Raguž, Petar Marčinković, Valentino Rački, Eliša Papić, Mario Hero, Vladimira Vuletić, Darko Chudy
{"title":"帕金森病深部脑刺激后迟发性脑出血。","authors":"Hana Chudy, Marina Raguž, Petar Marčinković, Valentino Rački, Eliša Papić, Mario Hero, Vladimira Vuletić, Darko Chudy","doi":"10.1159/000546056","DOIUrl":null,"url":null,"abstract":"<p><strong>Introduction: </strong>Deep brain stimulation (DBS) of the subthalamic nucleus (STN) is a well-established treatment for advanced Parkinson's disease (PD), offering significant symptomatic relief. Although DBS is generally considered safe, it carries risks, including the potential for delayed complications such as intracerebral hemorrhage (ICH).</p><p><strong>Case presentation: </strong>We present a rare case of a 67-year-old male with PD who developed delayed ICH after undergoing bilateral STN DBS. Initially, the patient showed no neurological deficits postoperatively, with imaging confirming correct lead placement and no signs of hemorrhage. However, on the second postoperative day, the patient developed sudden right-sided hemiparesis. A CT scan revealed ICH alongside the left lead. The hemorrhage was managed conservatively, and the patient underwent extensive physical therapy, leading to significant improvement. Over the next 2 weeks, the patient's condition improved, and follow-up CT scans showed complete resolution of the ICH. At this point, the left lead stimulation was initiated, further improving the patient's PD symptoms. This case illustrates the potential for delayed ICH following STN DBS, emphasizing the need for ongoing monitoring and individualized treatment strategies.</p><p><strong>Conclusion: </strong>This case underscores the importance of vigilant postoperative monitoring and individualized management strategies in STN DBS patients. Early detection and appropriate management of complications such as ICH are crucial for minimizing risks and ensuring optimal patient outcomes. The potential for delayed complications highlights the need for continuous follow-up, even in the absence of immediate postoperative issues.</p>","PeriodicalId":9639,"journal":{"name":"Case Reports in Neurology","volume":"17 1","pages":"62-71"},"PeriodicalIF":0.6000,"publicationDate":"2025-05-06","publicationTypes":"Journal Article","fieldsOfStudy":null,"isOpenAccess":false,"openAccessPdf":"https://www.ncbi.nlm.nih.gov/pmc/articles/PMC12162119/pdf/","citationCount":"0","resultStr":"{\"title\":\"Delayed Intracerebral Hemorrhage after Deep Brain Stimulation for Parkinson's Disease.\",\"authors\":\"Hana Chudy, Marina Raguž, Petar Marčinković, Valentino Rački, Eliša Papić, Mario Hero, Vladimira Vuletić, Darko Chudy\",\"doi\":\"10.1159/000546056\",\"DOIUrl\":null,\"url\":null,\"abstract\":\"<p><strong>Introduction: </strong>Deep brain stimulation (DBS) of the subthalamic nucleus (STN) is a well-established treatment for advanced Parkinson's disease (PD), offering significant symptomatic relief. Although DBS is generally considered safe, it carries risks, including the potential for delayed complications such as intracerebral hemorrhage (ICH).</p><p><strong>Case presentation: </strong>We present a rare case of a 67-year-old male with PD who developed delayed ICH after undergoing bilateral STN DBS. Initially, the patient showed no neurological deficits postoperatively, with imaging confirming correct lead placement and no signs of hemorrhage. However, on the second postoperative day, the patient developed sudden right-sided hemiparesis. A CT scan revealed ICH alongside the left lead. The hemorrhage was managed conservatively, and the patient underwent extensive physical therapy, leading to significant improvement. Over the next 2 weeks, the patient's condition improved, and follow-up CT scans showed complete resolution of the ICH. At this point, the left lead stimulation was initiated, further improving the patient's PD symptoms. This case illustrates the potential for delayed ICH following STN DBS, emphasizing the need for ongoing monitoring and individualized treatment strategies.</p><p><strong>Conclusion: </strong>This case underscores the importance of vigilant postoperative monitoring and individualized management strategies in STN DBS patients. Early detection and appropriate management of complications such as ICH are crucial for minimizing risks and ensuring optimal patient outcomes. The potential for delayed complications highlights the need for continuous follow-up, even in the absence of immediate postoperative issues.</p>\",\"PeriodicalId\":9639,\"journal\":{\"name\":\"Case Reports in Neurology\",\"volume\":\"17 1\",\"pages\":\"62-71\"},\"PeriodicalIF\":0.6000,\"publicationDate\":\"2025-05-06\",\"publicationTypes\":\"Journal Article\",\"fieldsOfStudy\":null,\"isOpenAccess\":false,\"openAccessPdf\":\"https://www.ncbi.nlm.nih.gov/pmc/articles/PMC12162119/pdf/\",\"citationCount\":\"0\",\"resultStr\":null,\"platform\":\"Semanticscholar\",\"paperid\":null,\"PeriodicalName\":\"Case Reports in Neurology\",\"FirstCategoryId\":\"1085\",\"ListUrlMain\":\"https://doi.org/10.1159/000546056\",\"RegionNum\":0,\"RegionCategory\":null,\"ArticlePicture\":[],\"TitleCN\":null,\"AbstractTextCN\":null,\"PMCID\":null,\"EPubDate\":\"2025/1/1 0:00:00\",\"PubModel\":\"eCollection\",\"JCR\":\"Q4\",\"JCRName\":\"CLINICAL NEUROLOGY\",\"Score\":null,\"Total\":0}","platform":"Semanticscholar","paperid":null,"PeriodicalName":"Case Reports in Neurology","FirstCategoryId":"1085","ListUrlMain":"https://doi.org/10.1159/000546056","RegionNum":0,"RegionCategory":null,"ArticlePicture":[],"TitleCN":null,"AbstractTextCN":null,"PMCID":null,"EPubDate":"2025/1/1 0:00:00","PubModel":"eCollection","JCR":"Q4","JCRName":"CLINICAL NEUROLOGY","Score":null,"Total":0}
引用次数: 0

摘要

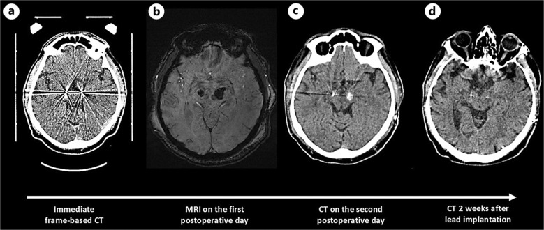
丘脑底核(STN)深部脑刺激(DBS)是治疗晚期帕金森病(PD)的一种行之有效的治疗方法,可显著缓解症状。尽管DBS通常被认为是安全的,但它也存在风险,包括潜在的延迟并发症,如脑出血(ICH)。病例介绍:我们报告一例罕见的67岁男性PD患者,在接受双侧STN DBS后发展为迟发性脑出血。最初,患者术后未表现出神经功能缺损,影像学证实铅的正确放置,无出血迹象。然而,在术后第二天,患者突然出现右侧偏瘫。CT扫描显示脑出血伴左侧导联。出血被保守处理,病人接受了广泛的物理治疗,导致显著改善。在接下来的两周内,患者的病情有所改善,随访的CT扫描显示脑出血完全消退。此时开始左导联刺激,进一步改善患者的PD症状。该病例说明了STN DBS后迟发性脑出血的可能性,强调了持续监测和个性化治疗策略的必要性。结论:本病例强调了STN DBS患者术后警惕监测和个性化管理策略的重要性。早期发现和适当管理脑出血等并发症对于最大限度地降低风险和确保最佳患者预后至关重要。潜在的延迟并发症强调了持续随访的必要性,即使没有立即的术后问题。
本文章由计算机程序翻译,如有差异,请以英文原文为准。

Delayed Intracerebral Hemorrhage after Deep Brain Stimulation for Parkinson's Disease.

Delayed Intracerebral Hemorrhage after Deep Brain Stimulation for Parkinson's Disease.

Delayed Intracerebral Hemorrhage after Deep Brain Stimulation for Parkinson's Disease.

Introduction: Deep brain stimulation (DBS) of the subthalamic nucleus (STN) is a well-established treatment for advanced Parkinson's disease (PD), offering significant symptomatic relief. Although DBS is generally considered safe, it carries risks, including the potential for delayed complications such as intracerebral hemorrhage (ICH).

Case presentation: We present a rare case of a 67-year-old male with PD who developed delayed ICH after undergoing bilateral STN DBS. Initially, the patient showed no neurological deficits postoperatively, with imaging confirming correct lead placement and no signs of hemorrhage. However, on the second postoperative day, the patient developed sudden right-sided hemiparesis. A CT scan revealed ICH alongside the left lead. The hemorrhage was managed conservatively, and the patient underwent extensive physical therapy, leading to significant improvement. Over the next 2 weeks, the patient's condition improved, and follow-up CT scans showed complete resolution of the ICH. At this point, the left lead stimulation was initiated, further improving the patient's PD symptoms. This case illustrates the potential for delayed ICH following STN DBS, emphasizing the need for ongoing monitoring and individualized treatment strategies.

Conclusion: This case underscores the importance of vigilant postoperative monitoring and individualized management strategies in STN DBS patients. Early detection and appropriate management of complications such as ICH are crucial for minimizing risks and ensuring optimal patient outcomes. The potential for delayed complications highlights the need for continuous follow-up, even in the absence of immediate postoperative issues.

求助全文
通过发布文献求助,成功后即可免费获取论文全文。 去求助
来源期刊
Case Reports in Neurology
Case Reports in Neurology Medicine-Neurology (clinical)
CiteScore
1.50
自引率
0.00%
发文量
67
审稿时长
14 weeks
期刊介绍: This new peer-reviewed online-only journal publishes original case reports covering the entire spectrum of neurology. Clinicians and researchers are given a tool to disseminate their personal experience to a wider public as well as to review interesting cases encountered by colleagues all over the world. To complement the contributions supplementary material is welcomed. The reports are searchable according to the key words supplied by the authors; it will thus be possible to search across the entire growing collection of case reports with universally used terms, further facilitating the retrieval of specific information. Following the open access principle, the entire contents can be retrieved at no charge, guaranteeing easy access to this valuable source of anecdotal information at all times.
×
引用
GB/T 7714-2015
复制
MLA
复制
APA
复制
导出至
BibTeX EndNote RefMan NoteFirst NoteExpress
×
提示
您的信息不完整,为了账户安全,请先补充。
现在去补充
×
提示
您因"违规操作"
具体请查看互助需知
我知道了
×
提示
确定
请完成安全验证×
copy
已复制链接
快去分享给好友吧!
我知道了
右上角分享
点击右上角分享
0
联系我们:info@booksci.cn Book学术提供免费学术资源搜索服务,方便国内外学者检索中英文文献。致力于提供最便捷和优质的服务体验。 Copyright © 2023 布克学术 All rights reserved.
京ICP备2023020795号-1
ghs 京公网安备 11010802042870号
Book学术文献互助
Book学术文献互助群
群 号:604180095
Book学术官方微信