羟基磷灰石水泥经乳突入路修复上半规管裂孔

IF 1.7 4区 医学 Q2 OTORHINOLARYNGOLOGY
Hemali Shah, Sen Ninan, Rema Shah, Allison Reeder, John Kveton, Nofrat Schwartz
{"title":"羟基磷灰石水泥经乳突入路修复上半规管裂孔","authors":"Hemali Shah,&nbsp;Sen Ninan,&nbsp;Rema Shah,&nbsp;Allison Reeder,&nbsp;John Kveton,&nbsp;Nofrat Schwartz","doi":"10.1002/lio2.70164","DOIUrl":null,"url":null,"abstract":"<div>\n \n \n <section>\n \n <h3> Introduction</h3>\n \n <p>The aim of this study was to assess the efficacy of superior semicircular canal dehiscence (SSCD) repair via a transmastoid approach using hydroxyapatite bone cement capping.</p>\n </section>\n \n <section>\n \n <h3> Methods</h3>\n \n <p>This retrospective case series was carried out at a tertiary referral center. All patients were ≥ 18-years-old diagnosed with SSCD between 2012 and 2022 and underwent a transmastoid approach implementing hydroxyapatite capping. Dehiscence location and size were assessed by reviewing preoperative CT temporal bone scans and correlated to the success rate of surgical repair. The failure rate (lack of symptom resolution and/or persistent dehiscence on postoperative imaging) and/or need for revision surgery were evaluated.</p>\n </section>\n \n <section>\n \n <h3> Results</h3>\n \n <p>Twenty-two patients (25 ears) were included. Mean age was 50.8 years (SD = 9.9 years) with 50.0% female patients (<i>n</i> = 11). The predominant location of SSCD was determined as apical (76.0%, <i>n</i> = 19), followed by anterior limb (12.0%, <i>n</i> = 3) and posterior limb (12.0%, <i>n</i> = 3). Mean dehiscence size was 2.8 mm (SD = 1.4 mm). Median follow-up time after repair was 9.0 months (interquartile range: 2–36 months). Failure rate was 8.0% (<i>n</i> = 2). Both cases demonstrated persistent SSCD on postoperative imaging; one case had a residual apical dehiscence of 1.6 mm persistent at 4 months, and one had a posterior-apical dehiscence of 2.3 mm persistent at 8 months after surgery.</p>\n </section>\n \n <section>\n \n <h3> Discussion</h3>\n \n <p>Transmastoid approach for SSCD repair with hydroxyapatite bone cement capping has a relatively low failure and complication rate, alleviating the need for middle fossa approach. To our knowledge, this case series represents the largest for this approach and material combination for SSCD repair, demonstrating that transmastoid repair with bone cement represents a promising approach for effective management of patients with SSCD.</p>\n </section>\n \n <section>\n \n <h3> Level of Evidence</h3>\n \n <p>4.</p>\n </section>\n </div>","PeriodicalId":48529,"journal":{"name":"Laryngoscope Investigative Otolaryngology","volume":"10 3","pages":""},"PeriodicalIF":1.7000,"publicationDate":"2025-06-14","publicationTypes":"Journal Article","fieldsOfStudy":null,"isOpenAccess":false,"openAccessPdf":"https://onlinelibrary.wiley.com/doi/epdf/10.1002/lio2.70164","citationCount":"0","resultStr":"{\"title\":\"Superior Semicircular Canal Dehiscence Repair With Hydroxyapetite Cement via a Transmastoid Approach\",\"authors\":\"Hemali Shah,&nbsp;Sen Ninan,&nbsp;Rema Shah,&nbsp;Allison Reeder,&nbsp;John Kveton,&nbsp;Nofrat Schwartz\",\"doi\":\"10.1002/lio2.70164\",\"DOIUrl\":null,\"url\":null,\"abstract\":\"<div>\\n \\n \\n <section>\\n \\n <h3> Introduction</h3>\\n \\n <p>The aim of this study was to assess the efficacy of superior semicircular canal dehiscence (SSCD) repair via a transmastoid approach using hydroxyapatite bone cement capping.</p>\\n </section>\\n \\n <section>\\n \\n <h3> Methods</h3>\\n \\n <p>This retrospective case series was carried out at a tertiary referral center. All patients were ≥ 18-years-old diagnosed with SSCD between 2012 and 2022 and underwent a transmastoid approach implementing hydroxyapatite capping. Dehiscence location and size were assessed by reviewing preoperative CT temporal bone scans and correlated to the success rate of surgical repair. The failure rate (lack of symptom resolution and/or persistent dehiscence on postoperative imaging) and/or need for revision surgery were evaluated.</p>\\n </section>\\n \\n <section>\\n \\n <h3> Results</h3>\\n \\n <p>Twenty-two patients (25 ears) were included. Mean age was 50.8 years (SD = 9.9 years) with 50.0% female patients (<i>n</i> = 11). The predominant location of SSCD was determined as apical (76.0%, <i>n</i> = 19), followed by anterior limb (12.0%, <i>n</i> = 3) and posterior limb (12.0%, <i>n</i> = 3). Mean dehiscence size was 2.8 mm (SD = 1.4 mm). Median follow-up time after repair was 9.0 months (interquartile range: 2–36 months). Failure rate was 8.0% (<i>n</i> = 2). Both cases demonstrated persistent SSCD on postoperative imaging; one case had a residual apical dehiscence of 1.6 mm persistent at 4 months, and one had a posterior-apical dehiscence of 2.3 mm persistent at 8 months after surgery.</p>\\n </section>\\n \\n <section>\\n \\n <h3> Discussion</h3>\\n \\n <p>Transmastoid approach for SSCD repair with hydroxyapatite bone cement capping has a relatively low failure and complication rate, alleviating the need for middle fossa approach. To our knowledge, this case series represents the largest for this approach and material combination for SSCD repair, demonstrating that transmastoid repair with bone cement represents a promising approach for effective management of patients with SSCD.</p>\\n </section>\\n \\n <section>\\n \\n <h3> Level of Evidence</h3>\\n \\n <p>4.</p>\\n </section>\\n </div>\",\"PeriodicalId\":48529,\"journal\":{\"name\":\"Laryngoscope Investigative Otolaryngology\",\"volume\":\"10 3\",\"pages\":\"\"},\"PeriodicalIF\":1.7000,\"publicationDate\":\"2025-06-14\",\"publicationTypes\":\"Journal Article\",\"fieldsOfStudy\":null,\"isOpenAccess\":false,\"openAccessPdf\":\"https://onlinelibrary.wiley.com/doi/epdf/10.1002/lio2.70164\",\"citationCount\":\"0\",\"resultStr\":null,\"platform\":\"Semanticscholar\",\"paperid\":null,\"PeriodicalName\":\"Laryngoscope Investigative Otolaryngology\",\"FirstCategoryId\":\"3\",\"ListUrlMain\":\"https://onlinelibrary.wiley.com/doi/10.1002/lio2.70164\",\"RegionNum\":4,\"RegionCategory\":\"医学\",\"ArticlePicture\":[],\"TitleCN\":null,\"AbstractTextCN\":null,\"PMCID\":null,\"EPubDate\":\"\",\"PubModel\":\"\",\"JCR\":\"Q2\",\"JCRName\":\"OTORHINOLARYNGOLOGY\",\"Score\":null,\"Total\":0}","platform":"Semanticscholar","paperid":null,"PeriodicalName":"Laryngoscope Investigative Otolaryngology","FirstCategoryId":"3","ListUrlMain":"https://onlinelibrary.wiley.com/doi/10.1002/lio2.70164","RegionNum":4,"RegionCategory":"医学","ArticlePicture":[],"TitleCN":null,"AbstractTextCN":null,"PMCID":null,"EPubDate":"","PubModel":"","JCR":"Q2","JCRName":"OTORHINOLARYNGOLOGY","Score":null,"Total":0}
引用次数: 0

摘要

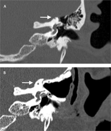
本研究的目的是评估羟基磷灰石骨水泥经乳突入路修复上半圆形椎管开裂(SSCD)的疗效。方法本回顾性病例系列在三级转诊中心进行。所有患者均≥18岁,在2012年至2022年间被诊断为SSCD,并接受了经乳突入路实施羟基磷灰石封顶。通过回顾术前颞骨CT扫描来评估裂孔的位置和大小,并与手术修复成功率相关。评估失败率(缺乏症状缓解和/或术后影像学持续开裂)和/或需要翻修手术。结果纳入22例患者(25耳)。平均年龄50.8岁(SD = 9.9岁),其中女性患者占50.0% (n = 11)。SSCD的主要部位为根尖(76.0%,n = 19),其次为前肢(12.0%,n = 3)和后肢(12.0%,n = 3)。平均裂缝大小为2.8 mm (SD = 1.4 mm)。修复后中位随访时间为9.0个月(四分位数范围:2-36个月)。失败率为8.0% (n = 2)。术后影像学显示两例患者均出现持续性SSCD;1例术后4个月出现残余根尖开裂1.6 mm, 1例术后8个月出现根尖后开裂2.3 mm。经乳突入路羟基磷灰石骨水泥盖顶修复SSCD的失败率和并发症发生率相对较低,减轻了中窝入路的需要。据我们所知,该病例系列代表了该方法和材料组合用于SSCD修复的最大病例,表明骨水泥经乳突骨修复是有效治疗SSCD患者的一种有前景的方法。证据级别4。
本文章由计算机程序翻译,如有差异,请以英文原文为准。

Superior Semicircular Canal Dehiscence Repair With Hydroxyapetite Cement via a Transmastoid Approach

Superior Semicircular Canal Dehiscence Repair With Hydroxyapetite Cement via a Transmastoid Approach

Introduction

The aim of this study was to assess the efficacy of superior semicircular canal dehiscence (SSCD) repair via a transmastoid approach using hydroxyapatite bone cement capping.

Methods

This retrospective case series was carried out at a tertiary referral center. All patients were ≥ 18-years-old diagnosed with SSCD between 2012 and 2022 and underwent a transmastoid approach implementing hydroxyapatite capping. Dehiscence location and size were assessed by reviewing preoperative CT temporal bone scans and correlated to the success rate of surgical repair. The failure rate (lack of symptom resolution and/or persistent dehiscence on postoperative imaging) and/or need for revision surgery were evaluated.

Results

Twenty-two patients (25 ears) were included. Mean age was 50.8 years (SD = 9.9 years) with 50.0% female patients (n = 11). The predominant location of SSCD was determined as apical (76.0%, n = 19), followed by anterior limb (12.0%, n = 3) and posterior limb (12.0%, n = 3). Mean dehiscence size was 2.8 mm (SD = 1.4 mm). Median follow-up time after repair was 9.0 months (interquartile range: 2–36 months). Failure rate was 8.0% (n = 2). Both cases demonstrated persistent SSCD on postoperative imaging; one case had a residual apical dehiscence of 1.6 mm persistent at 4 months, and one had a posterior-apical dehiscence of 2.3 mm persistent at 8 months after surgery.

Discussion

Transmastoid approach for SSCD repair with hydroxyapatite bone cement capping has a relatively low failure and complication rate, alleviating the need for middle fossa approach. To our knowledge, this case series represents the largest for this approach and material combination for SSCD repair, demonstrating that transmastoid repair with bone cement represents a promising approach for effective management of patients with SSCD.

Level of Evidence

4.

求助全文
通过发布文献求助,成功后即可免费获取论文全文。 去求助
来源期刊
CiteScore
3.00
自引率
0.00%
发文量
245
审稿时长
11 weeks
×
引用
GB/T 7714-2015
复制
MLA
复制
APA
复制
导出至
BibTeX EndNote RefMan NoteFirst NoteExpress
×
提示
您的信息不完整,为了账户安全,请先补充。
现在去补充
×
提示
您因"违规操作"
具体请查看互助需知
我知道了
×
提示
确定
请完成安全验证×
copy
已复制链接
快去分享给好友吧!
我知道了
右上角分享
点击右上角分享
0
联系我们:info@booksci.cn Book学术提供免费学术资源搜索服务,方便国内外学者检索中英文文献。致力于提供最便捷和优质的服务体验。 Copyright © 2023 布克学术 All rights reserved.
京ICP备2023020795号-1
ghs 京公网安备 11010802042870号
Book学术文献互助
Book学术文献互助群
群 号:604180095
Book学术官方微信