H2A。Z是雌性小鼠卵母细胞成熟和生育所必需的

Qianhua Xu, Chunyi Huang, Jia Ming, Xukun Lu, Ling Liu, Zhenhai Du, Zhen Chen, Jie Na, Guohong Li, Yunlong Xiang, Yu Zhang, Wei Xie
{"title":"H2A。Z是雌性小鼠卵母细胞成熟和生育所必需的","authors":"Qianhua Xu, Chunyi Huang, Jia Ming, Xukun Lu, Ling Liu, Zhenhai Du, Zhen Chen, Jie Na, Guohong Li, Yunlong Xiang, Yu Zhang, Wei Xie","doi":"10.1038/s41594-025-01580-y","DOIUrl":null,"url":null,"abstract":"<p>Oocyte maturation is essential for both gametogenesis and early development, when large amounts of transcripts are produced without DNA replication. Histone variants, which can be incorporated at <i>cis</i>-regulatory elements in a replication-independent manner, are naturally suited for such regulation. However, their roles during mammalian oocyte maturation remain elusive. Here we show that oocyte-specific depletion of H2A.Z, an evolutionarily conserved histone variant, in female mice results in profound epigenetic and transcriptional alterations, impedes resumption of oocyte meiosis II and causes infertility. Mechanistically, H2A.Z in mouse oocytes is incorporated into chromatin at active promoters and putative enhancers. Interestingly, H2A.Z is depleted from CG-rich silenced promoters, including poised Polycomb target genes, in fully grown oocytes (FGOs), unlike what occurs in growing oocytes, early embryos and mouse embryonic stem cells. In FGOs, the presence of H2A.Z correlates with histone acetylation, except in regions marked by DNA methylation and H3K36me3. Depletion of H2A.Z leads to impaired activities of a subset of promoters and enhancers, correlated with defective gene expression. Consistent with a role in gene activation, H2A.Z in FGOs is widely acetylated at the promoters and enhancers. Together, our findings uncover an essential role of H2A.Z in mammalian oocyte maturation and female fertility.</p>","PeriodicalId":18822,"journal":{"name":"Nature structural & molecular biology","volume":"5 1","pages":""},"PeriodicalIF":0.0000,"publicationDate":"2025-06-13","publicationTypes":"Journal Article","fieldsOfStudy":null,"isOpenAccess":false,"openAccessPdf":"","citationCount":"0","resultStr":"{\"title\":\"H2A.Z is essential for oocyte maturation and fertility in female mouse\",\"authors\":\"Qianhua Xu, Chunyi Huang, Jia Ming, Xukun Lu, Ling Liu, Zhenhai Du, Zhen Chen, Jie Na, Guohong Li, Yunlong Xiang, Yu Zhang, Wei Xie\",\"doi\":\"10.1038/s41594-025-01580-y\",\"DOIUrl\":null,\"url\":null,\"abstract\":\"<p>Oocyte maturation is essential for both gametogenesis and early development, when large amounts of transcripts are produced without DNA replication. Histone variants, which can be incorporated at <i>cis</i>-regulatory elements in a replication-independent manner, are naturally suited for such regulation. However, their roles during mammalian oocyte maturation remain elusive. Here we show that oocyte-specific depletion of H2A.Z, an evolutionarily conserved histone variant, in female mice results in profound epigenetic and transcriptional alterations, impedes resumption of oocyte meiosis II and causes infertility. Mechanistically, H2A.Z in mouse oocytes is incorporated into chromatin at active promoters and putative enhancers. Interestingly, H2A.Z is depleted from CG-rich silenced promoters, including poised Polycomb target genes, in fully grown oocytes (FGOs), unlike what occurs in growing oocytes, early embryos and mouse embryonic stem cells. In FGOs, the presence of H2A.Z correlates with histone acetylation, except in regions marked by DNA methylation and H3K36me3. Depletion of H2A.Z leads to impaired activities of a subset of promoters and enhancers, correlated with defective gene expression. Consistent with a role in gene activation, H2A.Z in FGOs is widely acetylated at the promoters and enhancers. Together, our findings uncover an essential role of H2A.Z in mammalian oocyte maturation and female fertility.</p>\",\"PeriodicalId\":18822,\"journal\":{\"name\":\"Nature structural & molecular biology\",\"volume\":\"5 1\",\"pages\":\"\"},\"PeriodicalIF\":0.0000,\"publicationDate\":\"2025-06-13\",\"publicationTypes\":\"Journal Article\",\"fieldsOfStudy\":null,\"isOpenAccess\":false,\"openAccessPdf\":\"\",\"citationCount\":\"0\",\"resultStr\":null,\"platform\":\"Semanticscholar\",\"paperid\":null,\"PeriodicalName\":\"Nature structural & molecular biology\",\"FirstCategoryId\":\"1085\",\"ListUrlMain\":\"https://doi.org/10.1038/s41594-025-01580-y\",\"RegionNum\":0,\"RegionCategory\":null,\"ArticlePicture\":[],\"TitleCN\":null,\"AbstractTextCN\":null,\"PMCID\":null,\"EPubDate\":\"\",\"PubModel\":\"\",\"JCR\":\"\",\"JCRName\":\"\",\"Score\":null,\"Total\":0}","platform":"Semanticscholar","paperid":null,"PeriodicalName":"Nature structural & molecular biology","FirstCategoryId":"1085","ListUrlMain":"https://doi.org/10.1038/s41594-025-01580-y","RegionNum":0,"RegionCategory":null,"ArticlePicture":[],"TitleCN":null,"AbstractTextCN":null,"PMCID":null,"EPubDate":"","PubModel":"","JCR":"","JCRName":"","Score":null,"Total":0}
引用次数: 0

摘要

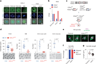
卵母细胞成熟对于配子发生和早期发育都是必不可少的,当大量转录本产生时没有DNA复制。组蛋白变体可以以一种与复制无关的方式结合在顺式调控元件上,自然适合于这种调控。然而,它们在哺乳动物卵母细胞成熟过程中的作用仍然难以捉摸。在这里,我们显示了卵母细胞特异性的H2A缺失。Z是一种进化上保守的组蛋白变异,在雌性小鼠中导致深刻的表观遗传和转录改变,阻碍卵母细胞减数分裂II的恢复并导致不育。从力学上看,H2A。小鼠卵母细胞中的Z以活性启动子和假定的增强子并入染色质。有趣的是,H2A。与发育中的卵母细胞、早期胚胎和小鼠胚胎干细胞不同,在完全发育的卵母细胞(FGOs)中,Z从富含cg的沉默启动子(包括平衡Polycomb靶基因)中消失。在fgo中,H2A的存在。除了DNA甲基化和H3K36me3标记区域外,Z与组蛋白乙酰化相关。H2A的消耗。Z导致一组启动子和增强子的活性受损,与基因表达缺陷相关。符合基因激活的作用,H2A。FGOs中的Z在启动子和增强子处广泛乙酰化。总之,我们的发现揭示了H2A的重要作用。Z在哺乳动物卵母细胞成熟和雌性生育中的作用。
本文章由计算机程序翻译,如有差异,请以英文原文为准。

H2A.Z is essential for oocyte maturation and fertility in female mouse

H2A.Z is essential for oocyte maturation and fertility in female mouse

Oocyte maturation is essential for both gametogenesis and early development, when large amounts of transcripts are produced without DNA replication. Histone variants, which can be incorporated at cis-regulatory elements in a replication-independent manner, are naturally suited for such regulation. However, their roles during mammalian oocyte maturation remain elusive. Here we show that oocyte-specific depletion of H2A.Z, an evolutionarily conserved histone variant, in female mice results in profound epigenetic and transcriptional alterations, impedes resumption of oocyte meiosis II and causes infertility. Mechanistically, H2A.Z in mouse oocytes is incorporated into chromatin at active promoters and putative enhancers. Interestingly, H2A.Z is depleted from CG-rich silenced promoters, including poised Polycomb target genes, in fully grown oocytes (FGOs), unlike what occurs in growing oocytes, early embryos and mouse embryonic stem cells. In FGOs, the presence of H2A.Z correlates with histone acetylation, except in regions marked by DNA methylation and H3K36me3. Depletion of H2A.Z leads to impaired activities of a subset of promoters and enhancers, correlated with defective gene expression. Consistent with a role in gene activation, H2A.Z in FGOs is widely acetylated at the promoters and enhancers. Together, our findings uncover an essential role of H2A.Z in mammalian oocyte maturation and female fertility.

求助全文
通过发布文献求助,成功后即可免费获取论文全文。 去求助
来源期刊
自引率
0.00%
发文量
0
×
引用
GB/T 7714-2015
复制
MLA
复制
APA
复制
导出至
BibTeX EndNote RefMan NoteFirst NoteExpress
×
提示
您的信息不完整,为了账户安全,请先补充。
现在去补充
×
提示
您因"违规操作"
具体请查看互助需知
我知道了
×
提示
确定
请完成安全验证×
copy
已复制链接
快去分享给好友吧!
我知道了
右上角分享
点击右上角分享
0
联系我们:info@booksci.cn Book学术提供免费学术资源搜索服务,方便国内外学者检索中英文文献。致力于提供最便捷和优质的服务体验。 Copyright © 2023 布克学术 All rights reserved.
京ICP备2023020795号-1
ghs 京公网安备 11010802042870号
Book学术文献互助
Book学术文献互助群
群 号:604180095
Book学术官方微信