胃空肠结肠瘘:胃空肠造口术后的一种晚期并发症。

Seung Ho Sin, Hyun Ho Choi
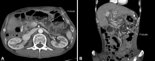
{"title":"胃空肠结肠瘘:胃空肠造口术后的一种晚期并发症。","authors":"Seung Ho Sin, Hyun Ho Choi","doi":"10.7704/kjhugr.2024.0057","DOIUrl":null,"url":null,"abstract":"<p><p>Gastrojejunocolic fistula, a rare but serious complication of gastrojejunostomy often results from inadequate resection or incomplete vagotomy during gastric surgery. The most common symptoms include feculent vomiting, chronic diarrhea, and weight loss, and surgical repair is the definitive treatment for this condition. A 51-year-old man presented to our hospital with upper abdominal pain and chronic diarrhea. He had a history of gastric surgery for gastric cancer, 20 years prior at another hospital. Upper endoscopy and abdominal computed tomography confirmed diagnosis of a gastrojejunocolic fistula. In this case report, we present the clinical features and diagnostic approaches for gastrojejunocolic fistulas.</p>","PeriodicalId":520887,"journal":{"name":"The Korean journal of helicobacter and upper gastrointestinal research","volume":"24 4","pages":"370-373"},"PeriodicalIF":0.0000,"publicationDate":"2024-12-01","publicationTypes":"Journal Article","fieldsOfStudy":null,"isOpenAccess":false,"openAccessPdf":"https://www.ncbi.nlm.nih.gov/pmc/articles/PMC11967386/pdf/","citationCount":"0","resultStr":"{\"title\":\"[Gastrojejunocolic Fistula: A Late Complication After Gastrojejunostomy].\",\"authors\":\"Seung Ho Sin, Hyun Ho Choi\",\"doi\":\"10.7704/kjhugr.2024.0057\",\"DOIUrl\":null,\"url\":null,\"abstract\":\"<p><p>Gastrojejunocolic fistula, a rare but serious complication of gastrojejunostomy often results from inadequate resection or incomplete vagotomy during gastric surgery. The most common symptoms include feculent vomiting, chronic diarrhea, and weight loss, and surgical repair is the definitive treatment for this condition. A 51-year-old man presented to our hospital with upper abdominal pain and chronic diarrhea. He had a history of gastric surgery for gastric cancer, 20 years prior at another hospital. Upper endoscopy and abdominal computed tomography confirmed diagnosis of a gastrojejunocolic fistula. In this case report, we present the clinical features and diagnostic approaches for gastrojejunocolic fistulas.</p>\",\"PeriodicalId\":520887,\"journal\":{\"name\":\"The Korean journal of helicobacter and upper gastrointestinal research\",\"volume\":\"24 4\",\"pages\":\"370-373\"},\"PeriodicalIF\":0.0000,\"publicationDate\":\"2024-12-01\",\"publicationTypes\":\"Journal Article\",\"fieldsOfStudy\":null,\"isOpenAccess\":false,\"openAccessPdf\":\"https://www.ncbi.nlm.nih.gov/pmc/articles/PMC11967386/pdf/\",\"citationCount\":\"0\",\"resultStr\":null,\"platform\":\"Semanticscholar\",\"paperid\":null,\"PeriodicalName\":\"The Korean journal of helicobacter and upper gastrointestinal research\",\"FirstCategoryId\":\"1085\",\"ListUrlMain\":\"https://doi.org/10.7704/kjhugr.2024.0057\",\"RegionNum\":0,\"RegionCategory\":null,\"ArticlePicture\":[],\"TitleCN\":null,\"AbstractTextCN\":null,\"PMCID\":null,\"EPubDate\":\"2024/12/4 0:00:00\",\"PubModel\":\"Epub\",\"JCR\":\"\",\"JCRName\":\"\",\"Score\":null,\"Total\":0}","platform":"Semanticscholar","paperid":null,"PeriodicalName":"The Korean journal of helicobacter and upper gastrointestinal research","FirstCategoryId":"1085","ListUrlMain":"https://doi.org/10.7704/kjhugr.2024.0057","RegionNum":0,"RegionCategory":null,"ArticlePicture":[],"TitleCN":null,"AbstractTextCN":null,"PMCID":null,"EPubDate":"2024/12/4 0:00:00","PubModel":"Epub","JCR":"","JCRName":"","Score":null,"Total":0}
引用次数: 0

摘要

胃空肠结肠瘘是胃空肠吻合术中一种罕见但严重的并发症,通常是由于胃手术中迷走神经切除不充分或不完全造成的。最常见的症状包括呕吐、慢性腹泻和体重减轻,手术修复是这种情况的最终治疗方法。男,51岁,因上腹部疼痛及慢性腹泻就诊。20年前在另一家医院因胃癌做过胃手术。上消化道内窥镜及腹部电脑断层扫描证实诊断为胃空肠结肠瘘。在这个病例报告中,我们介绍了胃空肠结肠瘘的临床特征和诊断方法。
本文章由计算机程序翻译,如有差异,请以英文原文为准。

[Gastrojejunocolic Fistula: A Late Complication After Gastrojejunostomy].

[Gastrojejunocolic Fistula: A Late Complication After Gastrojejunostomy].

[Gastrojejunocolic Fistula: A Late Complication After Gastrojejunostomy].

Gastrojejunocolic fistula, a rare but serious complication of gastrojejunostomy often results from inadequate resection or incomplete vagotomy during gastric surgery. The most common symptoms include feculent vomiting, chronic diarrhea, and weight loss, and surgical repair is the definitive treatment for this condition. A 51-year-old man presented to our hospital with upper abdominal pain and chronic diarrhea. He had a history of gastric surgery for gastric cancer, 20 years prior at another hospital. Upper endoscopy and abdominal computed tomography confirmed diagnosis of a gastrojejunocolic fistula. In this case report, we present the clinical features and diagnostic approaches for gastrojejunocolic fistulas.

求助全文
通过发布文献求助,成功后即可免费获取论文全文。 去求助
来源期刊
自引率
0.00%
发文量
0
×
引用
GB/T 7714-2015
复制
MLA
复制
APA
复制
导出至
BibTeX EndNote RefMan NoteFirst NoteExpress
×
提示
您的信息不完整,为了账户安全,请先补充。
现在去补充
×
提示
您因"违规操作"
具体请查看互助需知
我知道了
×
提示
确定
请完成安全验证×
copy
已复制链接
快去分享给好友吧!
我知道了
右上角分享
点击右上角分享
0
联系我们:info@booksci.cn Book学术提供免费学术资源搜索服务,方便国内外学者检索中英文文献。致力于提供最便捷和优质的服务体验。 Copyright © 2023 布克学术 All rights reserved.
京ICP备2023020795号-1
ghs 京公网安备 11010802042870号
Book学术文献互助
Book学术文献互助群
群 号:604180095
Book学术官方微信