[分枝杆菌菌血症引起全身炎症反应的胃溃疡出血]。

Soo Bin Synn, Su Jin Kim
{"title":"[分枝杆菌菌血症引起全身炎症反应的胃溃疡出血]。","authors":"Soo Bin Synn, Su Jin Kim","doi":"10.7704/kjhugr.2024.0064","DOIUrl":null,"url":null,"abstract":"<p><p>Adipose-derived stem cells are gaining attention because they are easily obtained in large quantities. However, concerns about side effects of their use have also been raised. Mycobacterial infections can develop during stem cell treatment in the event of incomplete medical device sterilization and/or suboptimal hygiene during cell processing and culture. In general, mycobacterial infections most frequently manifest as pneumonia; however, infections of the bones, lymph nodes, skin, soft tissues, and blood also occur. Mycobacterial bacteremia occurs relatively frequently, but cases of gastric ulcers induced as a complication of stem cell treatment and subsequent mycobacterial bacteremia have not been reported. Herein, we report a 75-year-old man who developed mycobacterial bacteremia and gastric ulcers following adipose-derived stem cell injection. This case report raises awareness of the possibility of <i>Mycobacterium abscessus</i> complex bacteremia and subsequent gastric ulcer bleeding-a rare complication of stem cell therapy.</p>","PeriodicalId":520887,"journal":{"name":"The Korean journal of helicobacter and upper gastrointestinal research","volume":"24 4","pages":"374-377"},"PeriodicalIF":0.0000,"publicationDate":"2024-12-01","publicationTypes":"Journal Article","fieldsOfStudy":null,"isOpenAccess":false,"openAccessPdf":"https://www.ncbi.nlm.nih.gov/pmc/articles/PMC11967387/pdf/","citationCount":"0","resultStr":"{\"title\":\"[Gastric Ulcer Bleeding Caused by Systemic Inflammatory Response to Mycobacterial Bacteremia].\",\"authors\":\"Soo Bin Synn, Su Jin Kim\",\"doi\":\"10.7704/kjhugr.2024.0064\",\"DOIUrl\":null,\"url\":null,\"abstract\":\"<p><p>Adipose-derived stem cells are gaining attention because they are easily obtained in large quantities. However, concerns about side effects of their use have also been raised. Mycobacterial infections can develop during stem cell treatment in the event of incomplete medical device sterilization and/or suboptimal hygiene during cell processing and culture. In general, mycobacterial infections most frequently manifest as pneumonia; however, infections of the bones, lymph nodes, skin, soft tissues, and blood also occur. Mycobacterial bacteremia occurs relatively frequently, but cases of gastric ulcers induced as a complication of stem cell treatment and subsequent mycobacterial bacteremia have not been reported. Herein, we report a 75-year-old man who developed mycobacterial bacteremia and gastric ulcers following adipose-derived stem cell injection. This case report raises awareness of the possibility of <i>Mycobacterium abscessus</i> complex bacteremia and subsequent gastric ulcer bleeding-a rare complication of stem cell therapy.</p>\",\"PeriodicalId\":520887,\"journal\":{\"name\":\"The Korean journal of helicobacter and upper gastrointestinal research\",\"volume\":\"24 4\",\"pages\":\"374-377\"},\"PeriodicalIF\":0.0000,\"publicationDate\":\"2024-12-01\",\"publicationTypes\":\"Journal Article\",\"fieldsOfStudy\":null,\"isOpenAccess\":false,\"openAccessPdf\":\"https://www.ncbi.nlm.nih.gov/pmc/articles/PMC11967387/pdf/\",\"citationCount\":\"0\",\"resultStr\":null,\"platform\":\"Semanticscholar\",\"paperid\":null,\"PeriodicalName\":\"The Korean journal of helicobacter and upper gastrointestinal research\",\"FirstCategoryId\":\"1085\",\"ListUrlMain\":\"https://doi.org/10.7704/kjhugr.2024.0064\",\"RegionNum\":0,\"RegionCategory\":null,\"ArticlePicture\":[],\"TitleCN\":null,\"AbstractTextCN\":null,\"PMCID\":null,\"EPubDate\":\"2024/12/4 0:00:00\",\"PubModel\":\"Epub\",\"JCR\":\"\",\"JCRName\":\"\",\"Score\":null,\"Total\":0}","platform":"Semanticscholar","paperid":null,"PeriodicalName":"The Korean journal of helicobacter and upper gastrointestinal research","FirstCategoryId":"1085","ListUrlMain":"https://doi.org/10.7704/kjhugr.2024.0064","RegionNum":0,"RegionCategory":null,"ArticlePicture":[],"TitleCN":null,"AbstractTextCN":null,"PMCID":null,"EPubDate":"2024/12/4 0:00:00","PubModel":"Epub","JCR":"","JCRName":"","Score":null,"Total":0}
引用次数: 0

摘要

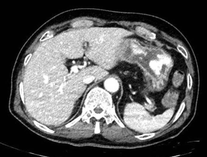
脂肪来源的干细胞因其易于大量获得而备受关注。然而,对其副作用的担忧也被提出。在干细胞治疗过程中,如果医疗器械灭菌不完全和/或细胞加工和培养过程中的卫生不理想,可能会发生分枝杆菌感染。一般来说,分枝杆菌感染最常表现为肺炎;然而,骨骼、淋巴结、皮肤、软组织和血液的感染也会发生。分枝杆菌菌血症的发生相对频繁,但由于干细胞治疗和随后的分枝杆菌菌血症引起胃溃疡的病例尚未报道。在此,我们报告了一位75岁的男性,他在脂肪来源的干细胞注射后出现了分枝杆菌菌血症和胃溃疡。本病例报告提高了人们对脓肿分枝杆菌复合体菌血症和随后的胃溃疡出血的可能性的认识,这是干细胞治疗的一种罕见并发症。
本文章由计算机程序翻译,如有差异,请以英文原文为准。

[Gastric Ulcer Bleeding Caused by Systemic Inflammatory Response to Mycobacterial Bacteremia].

[Gastric Ulcer Bleeding Caused by Systemic Inflammatory Response to Mycobacterial Bacteremia].

[Gastric Ulcer Bleeding Caused by Systemic Inflammatory Response to Mycobacterial Bacteremia].

Adipose-derived stem cells are gaining attention because they are easily obtained in large quantities. However, concerns about side effects of their use have also been raised. Mycobacterial infections can develop during stem cell treatment in the event of incomplete medical device sterilization and/or suboptimal hygiene during cell processing and culture. In general, mycobacterial infections most frequently manifest as pneumonia; however, infections of the bones, lymph nodes, skin, soft tissues, and blood also occur. Mycobacterial bacteremia occurs relatively frequently, but cases of gastric ulcers induced as a complication of stem cell treatment and subsequent mycobacterial bacteremia have not been reported. Herein, we report a 75-year-old man who developed mycobacterial bacteremia and gastric ulcers following adipose-derived stem cell injection. This case report raises awareness of the possibility of Mycobacterium abscessus complex bacteremia and subsequent gastric ulcer bleeding-a rare complication of stem cell therapy.

求助全文
通过发布文献求助,成功后即可免费获取论文全文。 去求助
来源期刊
自引率
0.00%
发文量
0
×
引用
GB/T 7714-2015
复制
MLA
复制
APA
复制
导出至
BibTeX EndNote RefMan NoteFirst NoteExpress
×
提示
您的信息不完整,为了账户安全,请先补充。
现在去补充
×
提示
您因"违规操作"
具体请查看互助需知
我知道了
×
提示
确定
请完成安全验证×
copy
已复制链接
快去分享给好友吧!
我知道了
右上角分享
点击右上角分享
0
联系我们:info@booksci.cn Book学术提供免费学术资源搜索服务,方便国内外学者检索中英文文献。致力于提供最便捷和优质的服务体验。 Copyright © 2023 布克学术 All rights reserved.
京ICP备2023020795号-1
ghs 京公网安备 11010802042870号
Book学术文献互助
Book学术文献互助群
群 号:604180095
Book学术官方微信