十二指肠牛黄:急性胰腺炎的罕见病因。

Henriette Ya Kissi Anzouan Kacou, Young-Il Kim
{"title":"十二指肠牛黄:急性胰腺炎的罕见病因。","authors":"Henriette Ya Kissi Anzouan Kacou, Young-Il Kim","doi":"10.7704/kjhugr.2024.0041","DOIUrl":null,"url":null,"abstract":"<p><p>Gastrointestinal bezoars often occur as a complication of previous gastric surgery or in patients with altered gastrointestinal motility. Complications associated with gastrointestinal bezoars include perforation, peritonitis, protein-losing enteropathy, and acute appendicitis. Acute pancreatitis secondary to a duodenal bezoar is rare, and few studies have reported this complication. We report a case of acute pancreatitis and subsequent duodenal obstruction caused by a large duodenal phytobezoar.</p>","PeriodicalId":520887,"journal":{"name":"The Korean journal of helicobacter and upper gastrointestinal research","volume":"24 3","pages":"293-297"},"PeriodicalIF":0.0000,"publicationDate":"2024-09-01","publicationTypes":"Journal Article","fieldsOfStudy":null,"isOpenAccess":false,"openAccessPdf":"https://www.ncbi.nlm.nih.gov/pmc/articles/PMC11967547/pdf/","citationCount":"0","resultStr":"{\"title\":\"Duodenal Bezoar: A Rare Cause of Acute Pancreatitis.\",\"authors\":\"Henriette Ya Kissi Anzouan Kacou, Young-Il Kim\",\"doi\":\"10.7704/kjhugr.2024.0041\",\"DOIUrl\":null,\"url\":null,\"abstract\":\"<p><p>Gastrointestinal bezoars often occur as a complication of previous gastric surgery or in patients with altered gastrointestinal motility. Complications associated with gastrointestinal bezoars include perforation, peritonitis, protein-losing enteropathy, and acute appendicitis. Acute pancreatitis secondary to a duodenal bezoar is rare, and few studies have reported this complication. We report a case of acute pancreatitis and subsequent duodenal obstruction caused by a large duodenal phytobezoar.</p>\",\"PeriodicalId\":520887,\"journal\":{\"name\":\"The Korean journal of helicobacter and upper gastrointestinal research\",\"volume\":\"24 3\",\"pages\":\"293-297\"},\"PeriodicalIF\":0.0000,\"publicationDate\":\"2024-09-01\",\"publicationTypes\":\"Journal Article\",\"fieldsOfStudy\":null,\"isOpenAccess\":false,\"openAccessPdf\":\"https://www.ncbi.nlm.nih.gov/pmc/articles/PMC11967547/pdf/\",\"citationCount\":\"0\",\"resultStr\":null,\"platform\":\"Semanticscholar\",\"paperid\":null,\"PeriodicalName\":\"The Korean journal of helicobacter and upper gastrointestinal research\",\"FirstCategoryId\":\"1085\",\"ListUrlMain\":\"https://doi.org/10.7704/kjhugr.2024.0041\",\"RegionNum\":0,\"RegionCategory\":null,\"ArticlePicture\":[],\"TitleCN\":null,\"AbstractTextCN\":null,\"PMCID\":null,\"EPubDate\":\"2024/9/9 0:00:00\",\"PubModel\":\"Epub\",\"JCR\":\"\",\"JCRName\":\"\",\"Score\":null,\"Total\":0}","platform":"Semanticscholar","paperid":null,"PeriodicalName":"The Korean journal of helicobacter and upper gastrointestinal research","FirstCategoryId":"1085","ListUrlMain":"https://doi.org/10.7704/kjhugr.2024.0041","RegionNum":0,"RegionCategory":null,"ArticlePicture":[],"TitleCN":null,"AbstractTextCN":null,"PMCID":null,"EPubDate":"2024/9/9 0:00:00","PubModel":"Epub","JCR":"","JCRName":"","Score":null,"Total":0}
引用次数: 0

摘要

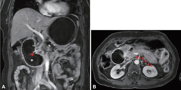
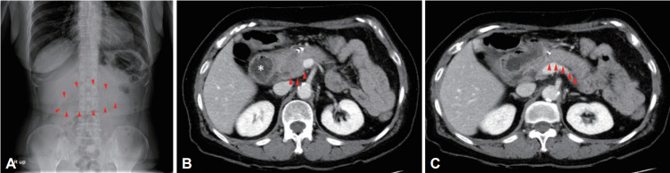
胃肠道牛黄通常是既往胃手术或胃肠道运动改变患者的并发症。胃肠道牛黄的并发症包括穿孔、腹膜炎、蛋白质丢失性肠病和急性阑尾炎。继发于十二指肠牛黄的急性胰腺炎是罕见的,很少有研究报道这种并发症。我们报告一例急性胰腺炎和随后的十二指肠梗阻引起的大十二指肠植物牛黄。
本文章由计算机程序翻译,如有差异,请以英文原文为准。

Duodenal Bezoar: A Rare Cause of Acute Pancreatitis.

Duodenal Bezoar: A Rare Cause of Acute Pancreatitis.

Duodenal Bezoar: A Rare Cause of Acute Pancreatitis.

Duodenal Bezoar: A Rare Cause of Acute Pancreatitis.

Gastrointestinal bezoars often occur as a complication of previous gastric surgery or in patients with altered gastrointestinal motility. Complications associated with gastrointestinal bezoars include perforation, peritonitis, protein-losing enteropathy, and acute appendicitis. Acute pancreatitis secondary to a duodenal bezoar is rare, and few studies have reported this complication. We report a case of acute pancreatitis and subsequent duodenal obstruction caused by a large duodenal phytobezoar.

求助全文
通过发布文献求助,成功后即可免费获取论文全文。 去求助
来源期刊
自引率
0.00%
发文量
0
×
引用
GB/T 7714-2015
复制
MLA
复制
APA
复制
导出至
BibTeX EndNote RefMan NoteFirst NoteExpress
×
提示
您的信息不完整,为了账户安全,请先补充。
现在去补充
×
提示
您因"违规操作"
具体请查看互助需知
我知道了
×
提示
确定
请完成安全验证×
copy
已复制链接
快去分享给好友吧!
我知道了
右上角分享
点击右上角分享
0
联系我们:info@booksci.cn Book学术提供免费学术资源搜索服务,方便国内外学者检索中英文文献。致力于提供最便捷和优质的服务体验。 Copyright © 2023 布克学术 All rights reserved.
京ICP备2023020795号-1
ghs 京公网安备 11010802042870号
Book学术文献互助
Book学术文献互助群
群 号:604180095
Book学术官方微信