[气候相关胃溃疡]。

Tae Yeong Lee, Jong Kyu Park, Sang Jin Lee, Byeong-Joo Noh
{"title":"[气候相关胃溃疡]。","authors":"Tae Yeong Lee, Jong Kyu Park, Sang Jin Lee, Byeong-Joo Noh","doi":"10.7704/kjhugr.2024.0036","DOIUrl":null,"url":null,"abstract":"<p><p>Kalimate (calcium polystyrene sulfonate) is a cation-exchange resin commonly used in clinical practice to treat hyperkalemia. However, Kalimate has been demonstrated to also cause serious gastrointestinal injuries, such as colonic necrosis, ulcerations, and perforations, in a subset of patients with chronic renal failure; these cases have been reported with and without the administration of hypertonic sorbitol. These lesions usually occur in the large or small intestine; lesions occurring in the stomach are rarely reported. We present the case of a 62-year-old woman with very large Kalimate-induced gastric ulcers that were mistaken for advanced gastric cancer in patients with chronic renal failure who had been taking Kalimate for the previous 3 months. The patient was successfully treated by discontinuing Kalimate and initiating a proton pump inhibitor.</p>","PeriodicalId":520887,"journal":{"name":"The Korean journal of helicobacter and upper gastrointestinal research","volume":"24 3","pages":"281-285"},"PeriodicalIF":0.0000,"publicationDate":"2024-09-01","publicationTypes":"Journal Article","fieldsOfStudy":null,"isOpenAccess":false,"openAccessPdf":"https://www.ncbi.nlm.nih.gov/pmc/articles/PMC11967554/pdf/","citationCount":"0","resultStr":"{\"title\":\"[Kalimate-Associated Gastric Ulcer].\",\"authors\":\"Tae Yeong Lee, Jong Kyu Park, Sang Jin Lee, Byeong-Joo Noh\",\"doi\":\"10.7704/kjhugr.2024.0036\",\"DOIUrl\":null,\"url\":null,\"abstract\":\"<p><p>Kalimate (calcium polystyrene sulfonate) is a cation-exchange resin commonly used in clinical practice to treat hyperkalemia. However, Kalimate has been demonstrated to also cause serious gastrointestinal injuries, such as colonic necrosis, ulcerations, and perforations, in a subset of patients with chronic renal failure; these cases have been reported with and without the administration of hypertonic sorbitol. These lesions usually occur in the large or small intestine; lesions occurring in the stomach are rarely reported. We present the case of a 62-year-old woman with very large Kalimate-induced gastric ulcers that were mistaken for advanced gastric cancer in patients with chronic renal failure who had been taking Kalimate for the previous 3 months. The patient was successfully treated by discontinuing Kalimate and initiating a proton pump inhibitor.</p>\",\"PeriodicalId\":520887,\"journal\":{\"name\":\"The Korean journal of helicobacter and upper gastrointestinal research\",\"volume\":\"24 3\",\"pages\":\"281-285\"},\"PeriodicalIF\":0.0000,\"publicationDate\":\"2024-09-01\",\"publicationTypes\":\"Journal Article\",\"fieldsOfStudy\":null,\"isOpenAccess\":false,\"openAccessPdf\":\"https://www.ncbi.nlm.nih.gov/pmc/articles/PMC11967554/pdf/\",\"citationCount\":\"0\",\"resultStr\":null,\"platform\":\"Semanticscholar\",\"paperid\":null,\"PeriodicalName\":\"The Korean journal of helicobacter and upper gastrointestinal research\",\"FirstCategoryId\":\"1085\",\"ListUrlMain\":\"https://doi.org/10.7704/kjhugr.2024.0036\",\"RegionNum\":0,\"RegionCategory\":null,\"ArticlePicture\":[],\"TitleCN\":null,\"AbstractTextCN\":null,\"PMCID\":null,\"EPubDate\":\"2024/9/9 0:00:00\",\"PubModel\":\"Epub\",\"JCR\":\"\",\"JCRName\":\"\",\"Score\":null,\"Total\":0}","platform":"Semanticscholar","paperid":null,"PeriodicalName":"The Korean journal of helicobacter and upper gastrointestinal research","FirstCategoryId":"1085","ListUrlMain":"https://doi.org/10.7704/kjhugr.2024.0036","RegionNum":0,"RegionCategory":null,"ArticlePicture":[],"TitleCN":null,"AbstractTextCN":null,"PMCID":null,"EPubDate":"2024/9/9 0:00:00","PubModel":"Epub","JCR":"","JCRName":"","Score":null,"Total":0}
引用次数: 0

摘要

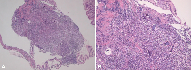
Kalimate(聚苯乙烯磺酸钙)是一种阳离子交换树脂,常用于临床治疗高钾血症。然而,Kalimate已被证明也会导致严重的胃肠道损伤,如结肠坏死、溃疡和穿孔,在慢性肾功能衰竭患者的亚群中;这些病例的报告有高渗山梨醇的管理和不。这些病变通常发生在大肠或小肠;发生在胃的病变很少被报道。我们报告了一名62岁的妇女,她患有非常大的Kalimate诱发的胃溃疡,被误诊为晚期胃癌的慢性肾衰竭患者,她已经服用了Kalimate 3个月。患者通过停用Kalimate和启动质子泵抑制剂成功治疗。
本文章由计算机程序翻译,如有差异,请以英文原文为准。

[Kalimate-Associated Gastric Ulcer].

[Kalimate-Associated Gastric Ulcer].

[Kalimate-Associated Gastric Ulcer].

[Kalimate-Associated Gastric Ulcer].

Kalimate (calcium polystyrene sulfonate) is a cation-exchange resin commonly used in clinical practice to treat hyperkalemia. However, Kalimate has been demonstrated to also cause serious gastrointestinal injuries, such as colonic necrosis, ulcerations, and perforations, in a subset of patients with chronic renal failure; these cases have been reported with and without the administration of hypertonic sorbitol. These lesions usually occur in the large or small intestine; lesions occurring in the stomach are rarely reported. We present the case of a 62-year-old woman with very large Kalimate-induced gastric ulcers that were mistaken for advanced gastric cancer in patients with chronic renal failure who had been taking Kalimate for the previous 3 months. The patient was successfully treated by discontinuing Kalimate and initiating a proton pump inhibitor.

求助全文
通过发布文献求助,成功后即可免费获取论文全文。 去求助
来源期刊
自引率
0.00%
发文量
0
×
引用
GB/T 7714-2015
复制
MLA
复制
APA
复制
导出至
BibTeX EndNote RefMan NoteFirst NoteExpress
×
提示
您的信息不完整,为了账户安全,请先补充。
现在去补充
×
提示
您因"违规操作"
具体请查看互助需知
我知道了
×
提示
确定
请完成安全验证×
copy
已复制链接
快去分享给好友吧!
我知道了
右上角分享
点击右上角分享
0
联系我们:info@booksci.cn Book学术提供免费学术资源搜索服务,方便国内外学者检索中英文文献。致力于提供最便捷和优质的服务体验。 Copyright © 2023 布克学术 All rights reserved.
京ICP备2023020795号-1
ghs 京公网安备 11010802042870号
Book学术文献互助
Book学术文献互助群
群 号:604180095
Book学术官方微信