【胃未分化多形性肉瘤表现为快速生长的上皮下肿瘤】。

Dae Gon Ryu, Cheol Woong Choi
{"title":"【胃未分化多形性肉瘤表现为快速生长的上皮下肿瘤】。","authors":"Dae Gon Ryu, Cheol Woong Choi","doi":"10.7704/kjhugr.2024.0033","DOIUrl":null,"url":null,"abstract":"<p><p>A 48-year-old man presented to our hospital for evaluation of melena. Abdominal computed tomography (CT) revealed an endophytic contrast-enhanced mass (approximately 9 cm) in the gastric fundus and upper body. CT showed no evidence of metastasis to other organs. Endoscopic examination revealed a large mass accompanied by an exudate and signs of surface hemorrhage. The shape of the mass resembled that of a subepithelial tumor, and >50% of the mucosa was peeled off. Endoscopic ultrasonography revealed hyperechoic spreading and dotor rod-shaped anechoic lesions arranged within an overall hypoechoic mass. The patient underwent total gastrectomy with lymph node dissection and was diagnosed with undifferentiated pleomorphic sarcoma without lymph node metastasis. Undifferentiated pleomorphic sarcoma, a high-grade aggressive soft tissue sarcoma, predominantly involves the extremities and rarely the stomach. It is usually asymptomatic but tends to grow rapidly. Endoscopic imaging performed a year prior to presentation was unremarkable. We report a case of a gastric undifferentiated pleomorphic sarcoma that presented as a rapidly growing subepithelial tumor. Malignancies other than a gastrointestinal stromal tumor should be considered in the differential diagnosis in patients presenting with a rapidly growing gastric subepithelial tumor.</p>","PeriodicalId":520887,"journal":{"name":"The Korean journal of helicobacter and upper gastrointestinal research","volume":"24 3","pages":"276-280"},"PeriodicalIF":0.0000,"publicationDate":"2024-09-01","publicationTypes":"Journal Article","fieldsOfStudy":null,"isOpenAccess":false,"openAccessPdf":"https://www.ncbi.nlm.nih.gov/pmc/articles/PMC11967536/pdf/","citationCount":"0","resultStr":"{\"title\":\"[Gastric Undifferentiated Pleomorphic Sarcoma Presenting as a Rapidly Growing Subepithelial Tumor].\",\"authors\":\"Dae Gon Ryu, Cheol Woong Choi\",\"doi\":\"10.7704/kjhugr.2024.0033\",\"DOIUrl\":null,\"url\":null,\"abstract\":\"<p><p>A 48-year-old man presented to our hospital for evaluation of melena. Abdominal computed tomography (CT) revealed an endophytic contrast-enhanced mass (approximately 9 cm) in the gastric fundus and upper body. CT showed no evidence of metastasis to other organs. Endoscopic examination revealed a large mass accompanied by an exudate and signs of surface hemorrhage. The shape of the mass resembled that of a subepithelial tumor, and >50% of the mucosa was peeled off. Endoscopic ultrasonography revealed hyperechoic spreading and dotor rod-shaped anechoic lesions arranged within an overall hypoechoic mass. The patient underwent total gastrectomy with lymph node dissection and was diagnosed with undifferentiated pleomorphic sarcoma without lymph node metastasis. Undifferentiated pleomorphic sarcoma, a high-grade aggressive soft tissue sarcoma, predominantly involves the extremities and rarely the stomach. It is usually asymptomatic but tends to grow rapidly. Endoscopic imaging performed a year prior to presentation was unremarkable. We report a case of a gastric undifferentiated pleomorphic sarcoma that presented as a rapidly growing subepithelial tumor. Malignancies other than a gastrointestinal stromal tumor should be considered in the differential diagnosis in patients presenting with a rapidly growing gastric subepithelial tumor.</p>\",\"PeriodicalId\":520887,\"journal\":{\"name\":\"The Korean journal of helicobacter and upper gastrointestinal research\",\"volume\":\"24 3\",\"pages\":\"276-280\"},\"PeriodicalIF\":0.0000,\"publicationDate\":\"2024-09-01\",\"publicationTypes\":\"Journal Article\",\"fieldsOfStudy\":null,\"isOpenAccess\":false,\"openAccessPdf\":\"https://www.ncbi.nlm.nih.gov/pmc/articles/PMC11967536/pdf/\",\"citationCount\":\"0\",\"resultStr\":null,\"platform\":\"Semanticscholar\",\"paperid\":null,\"PeriodicalName\":\"The Korean journal of helicobacter and upper gastrointestinal research\",\"FirstCategoryId\":\"1085\",\"ListUrlMain\":\"https://doi.org/10.7704/kjhugr.2024.0033\",\"RegionNum\":0,\"RegionCategory\":null,\"ArticlePicture\":[],\"TitleCN\":null,\"AbstractTextCN\":null,\"PMCID\":null,\"EPubDate\":\"2024/9/9 0:00:00\",\"PubModel\":\"Epub\",\"JCR\":\"\",\"JCRName\":\"\",\"Score\":null,\"Total\":0}","platform":"Semanticscholar","paperid":null,"PeriodicalName":"The Korean journal of helicobacter and upper gastrointestinal research","FirstCategoryId":"1085","ListUrlMain":"https://doi.org/10.7704/kjhugr.2024.0033","RegionNum":0,"RegionCategory":null,"ArticlePicture":[],"TitleCN":null,"AbstractTextCN":null,"PMCID":null,"EPubDate":"2024/9/9 0:00:00","PubModel":"Epub","JCR":"","JCRName":"","Score":null,"Total":0}
引用次数: 0

摘要

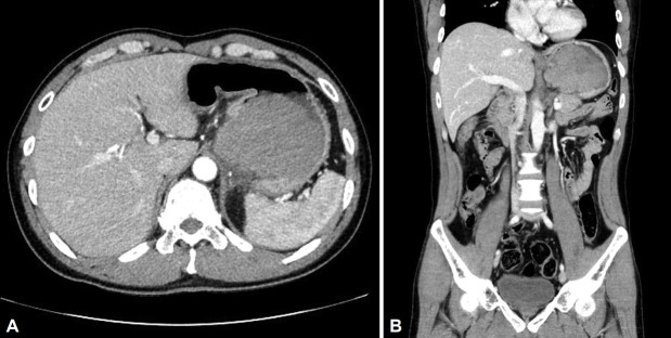
一名48岁男性来我院评估黑黑症。腹部计算机断层扫描(CT)显示胃底和上半身有一个内生增强肿块(约9厘米)。CT未见其他器官转移。内窥镜检查发现一个大肿块,伴有渗出物和表面出血的迹象。肿块的形状类似于上皮下肿瘤,约50%的粘膜脱落。内窥镜超声检查显示高回声扩散和大夫棒状无回声病变排列在整体低回声肿块内。患者行全胃切除术并淋巴结清扫,诊断为未分化多形性肉瘤,无淋巴结转移。未分化多形性肉瘤是一种高度侵袭性软组织肉瘤,主要累及四肢,很少发生胃。它通常是无症状的,但往往迅速增长。表现前一年的内窥镜成像无显著性。我们报告一例胃未分化多形性肉瘤,表现为快速生长的上皮下肿瘤。快速生长的胃上皮下肿瘤患者在鉴别诊断时应考虑胃肠道间质肿瘤以外的恶性肿瘤。
本文章由计算机程序翻译,如有差异,请以英文原文为准。

[Gastric Undifferentiated Pleomorphic Sarcoma Presenting as a Rapidly Growing Subepithelial Tumor].

[Gastric Undifferentiated Pleomorphic Sarcoma Presenting as a Rapidly Growing Subepithelial Tumor].

[Gastric Undifferentiated Pleomorphic Sarcoma Presenting as a Rapidly Growing Subepithelial Tumor].

[Gastric Undifferentiated Pleomorphic Sarcoma Presenting as a Rapidly Growing Subepithelial Tumor].

A 48-year-old man presented to our hospital for evaluation of melena. Abdominal computed tomography (CT) revealed an endophytic contrast-enhanced mass (approximately 9 cm) in the gastric fundus and upper body. CT showed no evidence of metastasis to other organs. Endoscopic examination revealed a large mass accompanied by an exudate and signs of surface hemorrhage. The shape of the mass resembled that of a subepithelial tumor, and >50% of the mucosa was peeled off. Endoscopic ultrasonography revealed hyperechoic spreading and dotor rod-shaped anechoic lesions arranged within an overall hypoechoic mass. The patient underwent total gastrectomy with lymph node dissection and was diagnosed with undifferentiated pleomorphic sarcoma without lymph node metastasis. Undifferentiated pleomorphic sarcoma, a high-grade aggressive soft tissue sarcoma, predominantly involves the extremities and rarely the stomach. It is usually asymptomatic but tends to grow rapidly. Endoscopic imaging performed a year prior to presentation was unremarkable. We report a case of a gastric undifferentiated pleomorphic sarcoma that presented as a rapidly growing subepithelial tumor. Malignancies other than a gastrointestinal stromal tumor should be considered in the differential diagnosis in patients presenting with a rapidly growing gastric subepithelial tumor.

求助全文
通过发布文献求助,成功后即可免费获取论文全文。 去求助
来源期刊
自引率
0.00%
发文量
0
×
引用
GB/T 7714-2015
复制
MLA
复制
APA
复制
导出至
BibTeX EndNote RefMan NoteFirst NoteExpress
×
提示
您的信息不完整,为了账户安全,请先补充。
现在去补充
×
提示
您因"违规操作"
具体请查看互助需知
我知道了
×
提示
确定
请完成安全验证×
copy
已复制链接
快去分享给好友吧!
我知道了
右上角分享
点击右上角分享
0
联系我们:info@booksci.cn Book学术提供免费学术资源搜索服务,方便国内外学者检索中英文文献。致力于提供最便捷和优质的服务体验。 Copyright © 2023 布克学术 All rights reserved.
京ICP备2023020795号-1
ghs 京公网安备 11010802042870号
Book学术文献互助
Book学术文献互助群
群 号:604180095
Book学术官方微信