胃癌快速复发和进展:胃腺癌伴肠母细胞分化1例。

Yonghoon Choi
{"title":"胃癌快速复发和进展:胃腺癌伴肠母细胞分化1例。","authors":"Yonghoon Choi","doi":"10.7704/kjhugr.2024.0007","DOIUrl":null,"url":null,"abstract":"<p><p>Gastric adenocarcinoma with enteroblastic differentiation (GAED) is rare and its clinicopathological characteristics are not well documented. However, reports indicate that it exhibits more aggressive characteristics, including lymph node metastasis or liver metastasis, than a conventional gastric adenocarcinoma. Herein, we report a case of GAED with rapid recurrence and disease progression. A 55-year-old male, diagnosed with gastric cancer (GC), demonstrated initial endoscopic findings suggestive of advanced GC. He underwent curative resection since there was no evidence of lymph node or distant metastases. The disease was reported as an early GC that was confined to the submucosal layer, without evidence of lymph node metastasis in the final pathological results. However, six months after surgery, multiple hepatic metastases were found during abdominal computed tomography; the pathological results were consistent with metastasis from the GC. Immunohistochemistry of the primary carcinoma pathological specimens showed positive results for alpha-fetoprotein and sal-like protein 4, suggesting enteroblastic differentiation, which is thought to be associated with rapid recurrence and disease progression.</p>","PeriodicalId":520887,"journal":{"name":"The Korean journal of helicobacter and upper gastrointestinal research","volume":"24 1","pages":"86-90"},"PeriodicalIF":0.0000,"publicationDate":"2024-03-01","publicationTypes":"Journal Article","fieldsOfStudy":null,"isOpenAccess":false,"openAccessPdf":"https://www.ncbi.nlm.nih.gov/pmc/articles/PMC11967714/pdf/","citationCount":"0","resultStr":"{\"title\":\"Gastric Cancer Showing Rapid Recurrence and Progression: A Case of Gastric Adenocarcinoma With Enteroblastic Differentiation.\",\"authors\":\"Yonghoon Choi\",\"doi\":\"10.7704/kjhugr.2024.0007\",\"DOIUrl\":null,\"url\":null,\"abstract\":\"<p><p>Gastric adenocarcinoma with enteroblastic differentiation (GAED) is rare and its clinicopathological characteristics are not well documented. However, reports indicate that it exhibits more aggressive characteristics, including lymph node metastasis or liver metastasis, than a conventional gastric adenocarcinoma. Herein, we report a case of GAED with rapid recurrence and disease progression. A 55-year-old male, diagnosed with gastric cancer (GC), demonstrated initial endoscopic findings suggestive of advanced GC. He underwent curative resection since there was no evidence of lymph node or distant metastases. The disease was reported as an early GC that was confined to the submucosal layer, without evidence of lymph node metastasis in the final pathological results. However, six months after surgery, multiple hepatic metastases were found during abdominal computed tomography; the pathological results were consistent with metastasis from the GC. Immunohistochemistry of the primary carcinoma pathological specimens showed positive results for alpha-fetoprotein and sal-like protein 4, suggesting enteroblastic differentiation, which is thought to be associated with rapid recurrence and disease progression.</p>\",\"PeriodicalId\":520887,\"journal\":{\"name\":\"The Korean journal of helicobacter and upper gastrointestinal research\",\"volume\":\"24 1\",\"pages\":\"86-90\"},\"PeriodicalIF\":0.0000,\"publicationDate\":\"2024-03-01\",\"publicationTypes\":\"Journal Article\",\"fieldsOfStudy\":null,\"isOpenAccess\":false,\"openAccessPdf\":\"https://www.ncbi.nlm.nih.gov/pmc/articles/PMC11967714/pdf/\",\"citationCount\":\"0\",\"resultStr\":null,\"platform\":\"Semanticscholar\",\"paperid\":null,\"PeriodicalName\":\"The Korean journal of helicobacter and upper gastrointestinal research\",\"FirstCategoryId\":\"1085\",\"ListUrlMain\":\"https://doi.org/10.7704/kjhugr.2024.0007\",\"RegionNum\":0,\"RegionCategory\":null,\"ArticlePicture\":[],\"TitleCN\":null,\"AbstractTextCN\":null,\"PMCID\":null,\"EPubDate\":\"2024/3/8 0:00:00\",\"PubModel\":\"Epub\",\"JCR\":\"\",\"JCRName\":\"\",\"Score\":null,\"Total\":0}","platform":"Semanticscholar","paperid":null,"PeriodicalName":"The Korean journal of helicobacter and upper gastrointestinal research","FirstCategoryId":"1085","ListUrlMain":"https://doi.org/10.7704/kjhugr.2024.0007","RegionNum":0,"RegionCategory":null,"ArticlePicture":[],"TitleCN":null,"AbstractTextCN":null,"PMCID":null,"EPubDate":"2024/3/8 0:00:00","PubModel":"Epub","JCR":"","JCRName":"","Score":null,"Total":0}
引用次数: 0

摘要

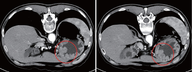
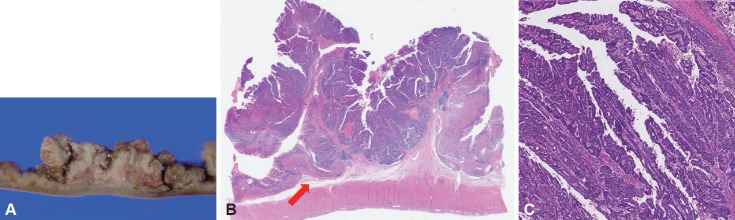
胃腺癌伴肠母细胞分化(GAED)是罕见的,其临床病理特征没有很好的文献记载。然而,报告表明它表现出比传统胃腺癌更具侵袭性的特征,包括淋巴结转移或肝转移。在此,我们报告一例GAED的快速复发和疾病进展。一名55岁男性,被诊断为胃癌(GC),最初的内镜检查结果提示胃癌晚期。由于没有淋巴结或远处转移的证据,他接受了根治性切除。本病为早期胃癌,局限于粘膜下层,最终病理结果无淋巴结转移的证据。然而,手术后6个月,腹部计算机断层扫描发现多发肝转移;病理结果与胃癌转移一致。原发癌病理标本的免疫组化结果显示甲胎蛋白和sal样蛋白4阳性,提示肠母细胞分化,这被认为与快速复发和疾病进展有关。
本文章由计算机程序翻译,如有差异,请以英文原文为准。

Gastric Cancer Showing Rapid Recurrence and Progression: A Case of Gastric Adenocarcinoma With Enteroblastic Differentiation.

Gastric Cancer Showing Rapid Recurrence and Progression: A Case of Gastric Adenocarcinoma With Enteroblastic Differentiation.

Gastric Cancer Showing Rapid Recurrence and Progression: A Case of Gastric Adenocarcinoma With Enteroblastic Differentiation.

Gastric Cancer Showing Rapid Recurrence and Progression: A Case of Gastric Adenocarcinoma With Enteroblastic Differentiation.

Gastric adenocarcinoma with enteroblastic differentiation (GAED) is rare and its clinicopathological characteristics are not well documented. However, reports indicate that it exhibits more aggressive characteristics, including lymph node metastasis or liver metastasis, than a conventional gastric adenocarcinoma. Herein, we report a case of GAED with rapid recurrence and disease progression. A 55-year-old male, diagnosed with gastric cancer (GC), demonstrated initial endoscopic findings suggestive of advanced GC. He underwent curative resection since there was no evidence of lymph node or distant metastases. The disease was reported as an early GC that was confined to the submucosal layer, without evidence of lymph node metastasis in the final pathological results. However, six months after surgery, multiple hepatic metastases were found during abdominal computed tomography; the pathological results were consistent with metastasis from the GC. Immunohistochemistry of the primary carcinoma pathological specimens showed positive results for alpha-fetoprotein and sal-like protein 4, suggesting enteroblastic differentiation, which is thought to be associated with rapid recurrence and disease progression.

求助全文
通过发布文献求助,成功后即可免费获取论文全文。 去求助
来源期刊
自引率
0.00%
发文量
0
×
引用
GB/T 7714-2015
复制
MLA
复制
APA
复制
导出至
BibTeX EndNote RefMan NoteFirst NoteExpress
×
提示
您的信息不完整,为了账户安全,请先补充。
现在去补充
×
提示
您因"违规操作"
具体请查看互助需知
我知道了
×
提示
确定
请完成安全验证×
copy
已复制链接
快去分享给好友吧!
我知道了
右上角分享
点击右上角分享
0
联系我们:info@booksci.cn Book学术提供免费学术资源搜索服务,方便国内外学者检索中英文文献。致力于提供最便捷和优质的服务体验。 Copyright © 2023 布克学术 All rights reserved.
京ICP备2023020795号-1
ghs 京公网安备 11010802042870号
Book学术文献互助
Book学术文献互助群
群 号:604180095
Book学术官方微信