鼻胃管迟发性胃穿孔1例。

Junyeol Kim, Soo-Jeong Cho
{"title":"鼻胃管迟发性胃穿孔1例。","authors":"Junyeol Kim, Soo-Jeong Cho","doi":"10.7704/kjhugr.2023.0064","DOIUrl":null,"url":null,"abstract":"<p><p>Nasogastric (NG) tube insertion is a common and routine procedure that is performed for various purposes. Gastric perforations caused by NG tubes are rare but potentially life-threatening. We report a rare case involving a delayed gastric perforation caused by an NG tube in an adult with end-stage heart failure.</p>","PeriodicalId":520887,"journal":{"name":"The Korean journal of helicobacter and upper gastrointestinal research","volume":"24 1","pages":"77-81"},"PeriodicalIF":0.0000,"publicationDate":"2024-03-01","publicationTypes":"Journal Article","fieldsOfStudy":null,"isOpenAccess":false,"openAccessPdf":"https://www.ncbi.nlm.nih.gov/pmc/articles/PMC11967495/pdf/","citationCount":"0","resultStr":"{\"title\":\"Delayed Gastric Perforation by Nasogastric Tube: A Case Report.\",\"authors\":\"Junyeol Kim, Soo-Jeong Cho\",\"doi\":\"10.7704/kjhugr.2023.0064\",\"DOIUrl\":null,\"url\":null,\"abstract\":\"<p><p>Nasogastric (NG) tube insertion is a common and routine procedure that is performed for various purposes. Gastric perforations caused by NG tubes are rare but potentially life-threatening. We report a rare case involving a delayed gastric perforation caused by an NG tube in an adult with end-stage heart failure.</p>\",\"PeriodicalId\":520887,\"journal\":{\"name\":\"The Korean journal of helicobacter and upper gastrointestinal research\",\"volume\":\"24 1\",\"pages\":\"77-81\"},\"PeriodicalIF\":0.0000,\"publicationDate\":\"2024-03-01\",\"publicationTypes\":\"Journal Article\",\"fieldsOfStudy\":null,\"isOpenAccess\":false,\"openAccessPdf\":\"https://www.ncbi.nlm.nih.gov/pmc/articles/PMC11967495/pdf/\",\"citationCount\":\"0\",\"resultStr\":null,\"platform\":\"Semanticscholar\",\"paperid\":null,\"PeriodicalName\":\"The Korean journal of helicobacter and upper gastrointestinal research\",\"FirstCategoryId\":\"1085\",\"ListUrlMain\":\"https://doi.org/10.7704/kjhugr.2023.0064\",\"RegionNum\":0,\"RegionCategory\":null,\"ArticlePicture\":[],\"TitleCN\":null,\"AbstractTextCN\":null,\"PMCID\":null,\"EPubDate\":\"2024/3/8 0:00:00\",\"PubModel\":\"Epub\",\"JCR\":\"\",\"JCRName\":\"\",\"Score\":null,\"Total\":0}","platform":"Semanticscholar","paperid":null,"PeriodicalName":"The Korean journal of helicobacter and upper gastrointestinal research","FirstCategoryId":"1085","ListUrlMain":"https://doi.org/10.7704/kjhugr.2023.0064","RegionNum":0,"RegionCategory":null,"ArticlePicture":[],"TitleCN":null,"AbstractTextCN":null,"PMCID":null,"EPubDate":"2024/3/8 0:00:00","PubModel":"Epub","JCR":"","JCRName":"","Score":null,"Total":0}
引用次数: 0

摘要

鼻胃管插入是一种常见的常规手术,用于各种目的。胃管引起的胃穿孔很少见,但可能危及生命。我们报告一个罕见的病例涉及延迟胃穿孔引起的胃管在成人终末期心力衰竭。
本文章由计算机程序翻译,如有差异,请以英文原文为准。

Delayed Gastric Perforation by Nasogastric Tube: A Case Report.

Delayed Gastric Perforation by Nasogastric Tube: A Case Report.

Delayed Gastric Perforation by Nasogastric Tube: A Case Report.

Delayed Gastric Perforation by Nasogastric Tube: A Case Report.

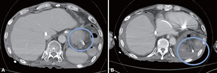
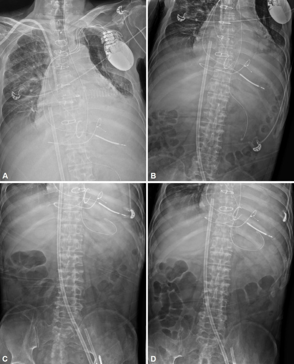
Nasogastric (NG) tube insertion is a common and routine procedure that is performed for various purposes. Gastric perforations caused by NG tubes are rare but potentially life-threatening. We report a rare case involving a delayed gastric perforation caused by an NG tube in an adult with end-stage heart failure.

求助全文
通过发布文献求助,成功后即可免费获取论文全文。 去求助
来源期刊
自引率
0.00%
发文量
0
×
引用
GB/T 7714-2015
复制
MLA
复制
APA
复制
导出至
BibTeX EndNote RefMan NoteFirst NoteExpress
×
提示
您的信息不完整,为了账户安全,请先补充。
现在去补充
×
提示
您因"违规操作"
具体请查看互助需知
我知道了
×
提示
确定
请完成安全验证×
copy
已复制链接
快去分享给好友吧!
我知道了
右上角分享
点击右上角分享
0
联系我们:info@booksci.cn Book学术提供免费学术资源搜索服务,方便国内外学者检索中英文文献。致力于提供最便捷和优质的服务体验。 Copyright © 2023 布克学术 All rights reserved.
京ICP备2023020795号-1
ghs 京公网安备 11010802042870号
Book学术文献互助
Book学术文献互助群
群 号:604180095
Book学术官方微信