[经皮内镜胃造口术后胃-结肠-皮瘘]。

Juyung Joung, Jeeyeon Baek, Sun Hyung Kang, Hee Seok Moon, Jae Kyu Sung, Hwan Jung Yun
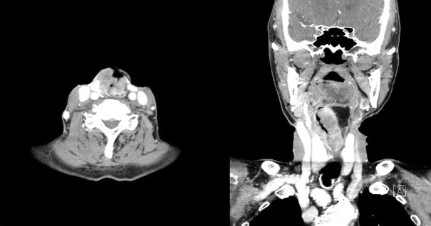
{"title":"[经皮内镜胃造口术后胃-结肠-皮瘘]。","authors":"Juyung Joung, Jeeyeon Baek, Sun Hyung Kang, Hee Seok Moon, Jae Kyu Sung, Hwan Jung Yun","doi":"10.7704/kjhugr.2023.0060","DOIUrl":null,"url":null,"abstract":"<p><p>An 82-year-old man diagnosed with supraglottic cancer sought a consultation for percutaneous endoscopic gastrostomy (PEG) placement. Preoperative chest radiography (posterior-anterior [PA] view) revealed no abnormalities, and PEG tube placement was performed using the \"pull\" method. Chest radiography (PA view) performed 3 days postoperatively showed free air that was not observed immediately after PEG tube placement; therefore, the patient was diagnosed with pneumoperitoneum. Abdominal computed tomography confirmed that the PEG tube was appropriately positioned within the stomach; however, the colon was observed between the abdominal wall and stomach, which indicated that the PEG tube had passed through the colon. Review of preoperative chest radiographs (PA views) confirmed that the colon was visualized in the area wherein usually stomach gas should have been observed. The patient was diagnosed with a gastro-colo-cutaneous fistula that occurred postoperatively, following a procedure that was performed without confirmation of anatomical variations. The PEG tube was removed surgically, and we performed percutaneous gastrostomy.</p>","PeriodicalId":520887,"journal":{"name":"The Korean journal of helicobacter and upper gastrointestinal research","volume":"24 1","pages":"72-76"},"PeriodicalIF":0.0000,"publicationDate":"2024-03-01","publicationTypes":"Journal Article","fieldsOfStudy":null,"isOpenAccess":false,"openAccessPdf":"https://www.ncbi.nlm.nih.gov/pmc/articles/PMC11967525/pdf/","citationCount":"0","resultStr":"{\"title\":\"[Gastro-Colo-Cutaneous Fistula Occurring After Percutaneous Endoscopic Gastrostomy Procedure].\",\"authors\":\"Juyung Joung, Jeeyeon Baek, Sun Hyung Kang, Hee Seok Moon, Jae Kyu Sung, Hwan Jung Yun\",\"doi\":\"10.7704/kjhugr.2023.0060\",\"DOIUrl\":null,\"url\":null,\"abstract\":\"<p><p>An 82-year-old man diagnosed with supraglottic cancer sought a consultation for percutaneous endoscopic gastrostomy (PEG) placement. Preoperative chest radiography (posterior-anterior [PA] view) revealed no abnormalities, and PEG tube placement was performed using the \\\"pull\\\" method. Chest radiography (PA view) performed 3 days postoperatively showed free air that was not observed immediately after PEG tube placement; therefore, the patient was diagnosed with pneumoperitoneum. Abdominal computed tomography confirmed that the PEG tube was appropriately positioned within the stomach; however, the colon was observed between the abdominal wall and stomach, which indicated that the PEG tube had passed through the colon. Review of preoperative chest radiographs (PA views) confirmed that the colon was visualized in the area wherein usually stomach gas should have been observed. The patient was diagnosed with a gastro-colo-cutaneous fistula that occurred postoperatively, following a procedure that was performed without confirmation of anatomical variations. The PEG tube was removed surgically, and we performed percutaneous gastrostomy.</p>\",\"PeriodicalId\":520887,\"journal\":{\"name\":\"The Korean journal of helicobacter and upper gastrointestinal research\",\"volume\":\"24 1\",\"pages\":\"72-76\"},\"PeriodicalIF\":0.0000,\"publicationDate\":\"2024-03-01\",\"publicationTypes\":\"Journal Article\",\"fieldsOfStudy\":null,\"isOpenAccess\":false,\"openAccessPdf\":\"https://www.ncbi.nlm.nih.gov/pmc/articles/PMC11967525/pdf/\",\"citationCount\":\"0\",\"resultStr\":null,\"platform\":\"Semanticscholar\",\"paperid\":null,\"PeriodicalName\":\"The Korean journal of helicobacter and upper gastrointestinal research\",\"FirstCategoryId\":\"1085\",\"ListUrlMain\":\"https://doi.org/10.7704/kjhugr.2023.0060\",\"RegionNum\":0,\"RegionCategory\":null,\"ArticlePicture\":[],\"TitleCN\":null,\"AbstractTextCN\":null,\"PMCID\":null,\"EPubDate\":\"2024/3/8 0:00:00\",\"PubModel\":\"Epub\",\"JCR\":\"\",\"JCRName\":\"\",\"Score\":null,\"Total\":0}","platform":"Semanticscholar","paperid":null,"PeriodicalName":"The Korean journal of helicobacter and upper gastrointestinal research","FirstCategoryId":"1085","ListUrlMain":"https://doi.org/10.7704/kjhugr.2023.0060","RegionNum":0,"RegionCategory":null,"ArticlePicture":[],"TitleCN":null,"AbstractTextCN":null,"PMCID":null,"EPubDate":"2024/3/8 0:00:00","PubModel":"Epub","JCR":"","JCRName":"","Score":null,"Total":0}
引用次数: 0

摘要

一个82岁的男性诊断为声门上癌寻求咨询经皮内镜胃造口术(PEG)安置。术前胸片(后-前[PA]面)未见异常,采用“拉”法置入PEG管。术后3天胸片(PA视图)显示PEG管置入后未立即观察到自由空气;因此,患者被诊断为气腹。腹部计算机断层扫描证实胃内PEG管位置正确;然而,在腹壁和胃之间观察到结肠,表明PEG管已通过结肠。术前胸部x线片(PA视图)证实结肠出现在通常应该观察到胃气的区域。该患者被诊断为胃-结肠-皮肤瘘,发生在术后,在没有确认解剖变异的情况下进行了手术。手术取出PEG管,我们进行了经皮胃造口术。
本文章由计算机程序翻译,如有差异,请以英文原文为准。

[Gastro-Colo-Cutaneous Fistula Occurring After Percutaneous Endoscopic Gastrostomy Procedure].

[Gastro-Colo-Cutaneous Fistula Occurring After Percutaneous Endoscopic Gastrostomy Procedure].

[Gastro-Colo-Cutaneous Fistula Occurring After Percutaneous Endoscopic Gastrostomy Procedure].

[Gastro-Colo-Cutaneous Fistula Occurring After Percutaneous Endoscopic Gastrostomy Procedure].

An 82-year-old man diagnosed with supraglottic cancer sought a consultation for percutaneous endoscopic gastrostomy (PEG) placement. Preoperative chest radiography (posterior-anterior [PA] view) revealed no abnormalities, and PEG tube placement was performed using the "pull" method. Chest radiography (PA view) performed 3 days postoperatively showed free air that was not observed immediately after PEG tube placement; therefore, the patient was diagnosed with pneumoperitoneum. Abdominal computed tomography confirmed that the PEG tube was appropriately positioned within the stomach; however, the colon was observed between the abdominal wall and stomach, which indicated that the PEG tube had passed through the colon. Review of preoperative chest radiographs (PA views) confirmed that the colon was visualized in the area wherein usually stomach gas should have been observed. The patient was diagnosed with a gastro-colo-cutaneous fistula that occurred postoperatively, following a procedure that was performed without confirmation of anatomical variations. The PEG tube was removed surgically, and we performed percutaneous gastrostomy.

求助全文
通过发布文献求助,成功后即可免费获取论文全文。 去求助
来源期刊
自引率
0.00%
发文量
0
×
引用
GB/T 7714-2015
复制
MLA
复制
APA
复制
导出至
BibTeX EndNote RefMan NoteFirst NoteExpress
×
提示
您的信息不完整,为了账户安全,请先补充。
现在去补充
×
提示
您因"违规操作"
具体请查看互助需知
我知道了
×
提示
确定
请完成安全验证×
copy
已复制链接
快去分享给好友吧!
我知道了
右上角分享
点击右上角分享
0
联系我们:info@booksci.cn Book学术提供免费学术资源搜索服务,方便国内外学者检索中英文文献。致力于提供最便捷和优质的服务体验。 Copyright © 2023 布克学术 All rights reserved.
京ICP备2023020795号-1
ghs 京公网安备 11010802042870号
Book学术文献互助
Book学术文献互助群
群 号:604180095
Book学术官方微信