误食氯漂白剂致严重腐蚀性损伤1例。

Yonghoon Choi
{"title":"误食氯漂白剂致严重腐蚀性损伤1例。","authors":"Yonghoon Choi","doi":"10.7704/kjhugr.2024.0055","DOIUrl":null,"url":null,"abstract":"<p><p>Corrosive injuries to the upper gastrointestinal tract, particularly those caused by alkaline substances, often result in more severe and deeper tissue injuries than those observed after ingestion of acidic substances. We report a case of severe corrosive injury following ingestion of chlorine bleach (200 mL), an alkaline agent. Initial endoscopic evaluation revealed severe esophageal and gastric injuries with necrosis (Zargar grade 3b), without any signs of perforation. The treatment plan included prolonged fasting with total parenteral nutrition, and enteral feeding was initiated via jejunostomy 1 month after hospitalization. The patient was hospitalized and discharged on several occasions until we observed complete healing of the esophagus and stomach. Follow-up endoscopy performed 4 months after the injury showed improvement in the esophageal wall; however, severe stenosis prevented oral intake. Therefore, the patient underwent surgical intervention, including esophagectomy, total gastrectomy, and esophagocolojejunostomy, 7 months post-injury. Since the initial surgery, the patient underwent repeat wound revision procedures, percutaneous drainage, reconstruction, and bougienation owing to anastomotic leakage, infection, and stenosis for approximately a year. The patient received oral and jejunostomy tube feeding for approximately 2.5 years after the initial injury. Early endoscopy was useful to confirm the severity and predict the prognosis of corrosive injuries in this case. Severe corrosive injuries following ingestion of alkaline substances are associated with poor clinical prognosis, as anticipated. Caution is warranted for the diagnosis and treatment of this condition.</p>","PeriodicalId":520887,"journal":{"name":"The Korean journal of helicobacter and upper gastrointestinal research","volume":"24 4","pages":"365-369"},"PeriodicalIF":0.0000,"publicationDate":"2024-12-01","publicationTypes":"Journal Article","fieldsOfStudy":null,"isOpenAccess":false,"openAccessPdf":"https://www.ncbi.nlm.nih.gov/pmc/articles/PMC11967393/pdf/","citationCount":"0","resultStr":"{\"title\":\"Severe Corrosive Injury Secondary to Chlorine Bleach Ingestion: A Case Report.\",\"authors\":\"Yonghoon Choi\",\"doi\":\"10.7704/kjhugr.2024.0055\",\"DOIUrl\":null,\"url\":null,\"abstract\":\"<p><p>Corrosive injuries to the upper gastrointestinal tract, particularly those caused by alkaline substances, often result in more severe and deeper tissue injuries than those observed after ingestion of acidic substances. We report a case of severe corrosive injury following ingestion of chlorine bleach (200 mL), an alkaline agent. Initial endoscopic evaluation revealed severe esophageal and gastric injuries with necrosis (Zargar grade 3b), without any signs of perforation. The treatment plan included prolonged fasting with total parenteral nutrition, and enteral feeding was initiated via jejunostomy 1 month after hospitalization. The patient was hospitalized and discharged on several occasions until we observed complete healing of the esophagus and stomach. Follow-up endoscopy performed 4 months after the injury showed improvement in the esophageal wall; however, severe stenosis prevented oral intake. Therefore, the patient underwent surgical intervention, including esophagectomy, total gastrectomy, and esophagocolojejunostomy, 7 months post-injury. Since the initial surgery, the patient underwent repeat wound revision procedures, percutaneous drainage, reconstruction, and bougienation owing to anastomotic leakage, infection, and stenosis for approximately a year. The patient received oral and jejunostomy tube feeding for approximately 2.5 years after the initial injury. Early endoscopy was useful to confirm the severity and predict the prognosis of corrosive injuries in this case. Severe corrosive injuries following ingestion of alkaline substances are associated with poor clinical prognosis, as anticipated. Caution is warranted for the diagnosis and treatment of this condition.</p>\",\"PeriodicalId\":520887,\"journal\":{\"name\":\"The Korean journal of helicobacter and upper gastrointestinal research\",\"volume\":\"24 4\",\"pages\":\"365-369\"},\"PeriodicalIF\":0.0000,\"publicationDate\":\"2024-12-01\",\"publicationTypes\":\"Journal Article\",\"fieldsOfStudy\":null,\"isOpenAccess\":false,\"openAccessPdf\":\"https://www.ncbi.nlm.nih.gov/pmc/articles/PMC11967393/pdf/\",\"citationCount\":\"0\",\"resultStr\":null,\"platform\":\"Semanticscholar\",\"paperid\":null,\"PeriodicalName\":\"The Korean journal of helicobacter and upper gastrointestinal research\",\"FirstCategoryId\":\"1085\",\"ListUrlMain\":\"https://doi.org/10.7704/kjhugr.2024.0055\",\"RegionNum\":0,\"RegionCategory\":null,\"ArticlePicture\":[],\"TitleCN\":null,\"AbstractTextCN\":null,\"PMCID\":null,\"EPubDate\":\"2024/12/4 0:00:00\",\"PubModel\":\"Epub\",\"JCR\":\"\",\"JCRName\":\"\",\"Score\":null,\"Total\":0}","platform":"Semanticscholar","paperid":null,"PeriodicalName":"The Korean journal of helicobacter and upper gastrointestinal research","FirstCategoryId":"1085","ListUrlMain":"https://doi.org/10.7704/kjhugr.2024.0055","RegionNum":0,"RegionCategory":null,"ArticlePicture":[],"TitleCN":null,"AbstractTextCN":null,"PMCID":null,"EPubDate":"2024/12/4 0:00:00","PubModel":"Epub","JCR":"","JCRName":"","Score":null,"Total":0}
引用次数: 0

摘要

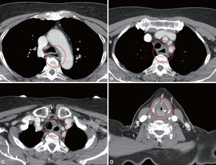
上消化道的腐蚀性损伤,特别是由碱性物质引起的损伤,往往比摄入酸性物质后所观察到的组织损伤更严重和更深。我们报告一个严重的腐蚀性损伤的情况下,摄入氯漂白剂(200毫升),一种碱性剂。初步内镜检查显示严重的食管和胃损伤伴坏死(Zargar分级3b),无任何穿孔迹象。治疗方案包括延长禁食加全肠外营养,住院1个月后通过空肠造口开始肠内喂养。患者住院和出院几次,直到我们观察到完全愈合的食管和胃。损伤后4个月随访内镜检查显示食管壁改善;然而,严重的狭窄阻止了口服。因此,患者于伤后7个月行手术干预,包括食管切除术、全胃切除术、食管结肠空肠吻合术。自首次手术以来,由于吻合口漏、感染和狭窄,患者接受了大约一年的重复伤口翻修手术、经皮引流、重建和布根成形术。患者在初次损伤后接受了大约2.5年的口腔和空肠造口管喂养。早期内窥镜检查有助于确认该病例腐蚀性损伤的严重程度和预测预后。正如预期的那样,摄入碱性物质后的严重腐蚀性损伤与临床预后不良有关。诊断和治疗此病时应谨慎。
本文章由计算机程序翻译,如有差异,请以英文原文为准。

Severe Corrosive Injury Secondary to Chlorine Bleach Ingestion: A Case Report.

Severe Corrosive Injury Secondary to Chlorine Bleach Ingestion: A Case Report.

Severe Corrosive Injury Secondary to Chlorine Bleach Ingestion: A Case Report.

Severe Corrosive Injury Secondary to Chlorine Bleach Ingestion: A Case Report.

Corrosive injuries to the upper gastrointestinal tract, particularly those caused by alkaline substances, often result in more severe and deeper tissue injuries than those observed after ingestion of acidic substances. We report a case of severe corrosive injury following ingestion of chlorine bleach (200 mL), an alkaline agent. Initial endoscopic evaluation revealed severe esophageal and gastric injuries with necrosis (Zargar grade 3b), without any signs of perforation. The treatment plan included prolonged fasting with total parenteral nutrition, and enteral feeding was initiated via jejunostomy 1 month after hospitalization. The patient was hospitalized and discharged on several occasions until we observed complete healing of the esophagus and stomach. Follow-up endoscopy performed 4 months after the injury showed improvement in the esophageal wall; however, severe stenosis prevented oral intake. Therefore, the patient underwent surgical intervention, including esophagectomy, total gastrectomy, and esophagocolojejunostomy, 7 months post-injury. Since the initial surgery, the patient underwent repeat wound revision procedures, percutaneous drainage, reconstruction, and bougienation owing to anastomotic leakage, infection, and stenosis for approximately a year. The patient received oral and jejunostomy tube feeding for approximately 2.5 years after the initial injury. Early endoscopy was useful to confirm the severity and predict the prognosis of corrosive injuries in this case. Severe corrosive injuries following ingestion of alkaline substances are associated with poor clinical prognosis, as anticipated. Caution is warranted for the diagnosis and treatment of this condition.

求助全文
通过发布文献求助,成功后即可免费获取论文全文。 去求助
来源期刊
自引率
0.00%
发文量
0
×
引用
GB/T 7714-2015
复制
MLA
复制
APA
复制
导出至
BibTeX EndNote RefMan NoteFirst NoteExpress
×
提示
您的信息不完整,为了账户安全,请先补充。
现在去补充
×
提示
您因"违规操作"
具体请查看互助需知
我知道了
×
提示
确定
请完成安全验证×
copy
已复制链接
快去分享给好友吧!
我知道了
右上角分享
点击右上角分享
0
联系我们:info@booksci.cn Book学术提供免费学术资源搜索服务,方便国内外学者检索中英文文献。致力于提供最便捷和优质的服务体验。 Copyright © 2023 布克学术 All rights reserved.
京ICP备2023020795号-1
ghs 京公网安备 11010802042870号
Book学术文献互助
Book学术文献互助群
群 号:604180095
Book学术官方微信