内皮素在大鼠肠缺血再灌注损伤模型中的保护作用。

IF 1.3
Acta cirurgica brasileira Pub Date : 2025-06-06 eCollection Date: 2025-01-01 DOI:10.1590/acb403925
Osman Bardakçı, Hakim Çelik, İlyas Özardalı, Ali Uzunköy
{"title":"内皮素在大鼠肠缺血再灌注损伤模型中的保护作用。","authors":"Osman Bardakçı, Hakim Çelik, İlyas Özardalı, Ali Uzunköy","doi":"10.1590/acb403925","DOIUrl":null,"url":null,"abstract":"<p><strong>Purpose: </strong>To determine whether pinocembrin (PC) confers protective effects against experimentally induced intestinal ischemia-reperfusion (I/R) injury in rats.</p><p><strong>Methods: </strong>Thirty Wistar albino rats were randomly divided into three groups (n = 10 each): sham (underwent laparotomy only); I/R (superior mesenteric artery occlusion for 60 min followed by 60 min reperfusion); and I/R + PC (5 mg/kg PC intraperitoneally before ischemia and again prior to reperfusion). Total antioxidant capacity (TAC), total oxidant status (TOS), and oxidative stress index (OSI) were measured in both plasma and intestinal tissue. Histopathological evaluation was performed using hematoxylin and eosin staining and a modified Chiu scoring system.</p><p><strong>Results: </strong>Although TAC values did not show significant intergroup differences (p > 0.05), TOS and OSI values were significantly lower in the I/R + PC group than in the I/R group (p < 0.05). Histologically, the I/R + PC group displayed noticeably reduced mucosal damage compared to the untreated I/R group. These results suggest that PC alleviates oxidative stress and improves histological outcomes in intestinal I/R.</p><p><strong>Conclusion: </strong>PC exhibits a protective effect against intestinal I/R injury by decreasing oxidative stress and preserving tissue architecture. Further studies are warranted to optimize PC's dosing, timing, and mechanistic actions for clinical application.</p>","PeriodicalId":93850,"journal":{"name":"Acta cirurgica brasileira","volume":"40 ","pages":"e403925"},"PeriodicalIF":1.3000,"publicationDate":"2025-06-06","publicationTypes":"Journal Article","fieldsOfStudy":null,"isOpenAccess":false,"openAccessPdf":"https://www.ncbi.nlm.nih.gov/pmc/articles/PMC12143445/pdf/","citationCount":"0","resultStr":"{\"title\":\"Protective role of pinocembrin in a rat model of intestinal ischemia-reperfusion injury.\",\"authors\":\"Osman Bardakçı, Hakim Çelik, İlyas Özardalı, Ali Uzunköy\",\"doi\":\"10.1590/acb403925\",\"DOIUrl\":null,\"url\":null,\"abstract\":\"<p><strong>Purpose: </strong>To determine whether pinocembrin (PC) confers protective effects against experimentally induced intestinal ischemia-reperfusion (I/R) injury in rats.</p><p><strong>Methods: </strong>Thirty Wistar albino rats were randomly divided into three groups (n = 10 each): sham (underwent laparotomy only); I/R (superior mesenteric artery occlusion for 60 min followed by 60 min reperfusion); and I/R + PC (5 mg/kg PC intraperitoneally before ischemia and again prior to reperfusion). Total antioxidant capacity (TAC), total oxidant status (TOS), and oxidative stress index (OSI) were measured in both plasma and intestinal tissue. Histopathological evaluation was performed using hematoxylin and eosin staining and a modified Chiu scoring system.</p><p><strong>Results: </strong>Although TAC values did not show significant intergroup differences (p > 0.05), TOS and OSI values were significantly lower in the I/R + PC group than in the I/R group (p < 0.05). Histologically, the I/R + PC group displayed noticeably reduced mucosal damage compared to the untreated I/R group. These results suggest that PC alleviates oxidative stress and improves histological outcomes in intestinal I/R.</p><p><strong>Conclusion: </strong>PC exhibits a protective effect against intestinal I/R injury by decreasing oxidative stress and preserving tissue architecture. Further studies are warranted to optimize PC's dosing, timing, and mechanistic actions for clinical application.</p>\",\"PeriodicalId\":93850,\"journal\":{\"name\":\"Acta cirurgica brasileira\",\"volume\":\"40 \",\"pages\":\"e403925\"},\"PeriodicalIF\":1.3000,\"publicationDate\":\"2025-06-06\",\"publicationTypes\":\"Journal Article\",\"fieldsOfStudy\":null,\"isOpenAccess\":false,\"openAccessPdf\":\"https://www.ncbi.nlm.nih.gov/pmc/articles/PMC12143445/pdf/\",\"citationCount\":\"0\",\"resultStr\":null,\"platform\":\"Semanticscholar\",\"paperid\":null,\"PeriodicalName\":\"Acta cirurgica brasileira\",\"FirstCategoryId\":\"1085\",\"ListUrlMain\":\"https://doi.org/10.1590/acb403925\",\"RegionNum\":0,\"RegionCategory\":null,\"ArticlePicture\":[],\"TitleCN\":null,\"AbstractTextCN\":null,\"PMCID\":null,\"EPubDate\":\"2025/1/1 0:00:00\",\"PubModel\":\"eCollection\",\"JCR\":\"\",\"JCRName\":\"\",\"Score\":null,\"Total\":0}","platform":"Semanticscholar","paperid":null,"PeriodicalName":"Acta cirurgica brasileira","FirstCategoryId":"1085","ListUrlMain":"https://doi.org/10.1590/acb403925","RegionNum":0,"RegionCategory":null,"ArticlePicture":[],"TitleCN":null,"AbstractTextCN":null,"PMCID":null,"EPubDate":"2025/1/1 0:00:00","PubModel":"eCollection","JCR":"","JCRName":"","Score":null,"Total":0}
引用次数: 0

摘要

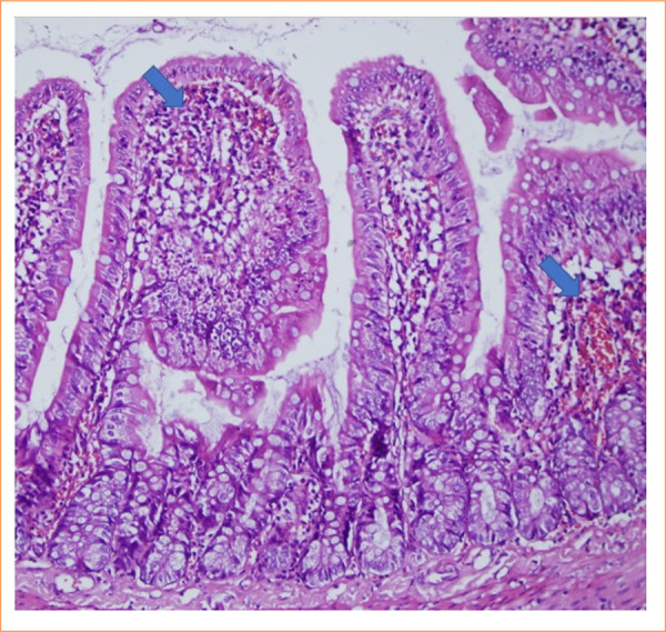
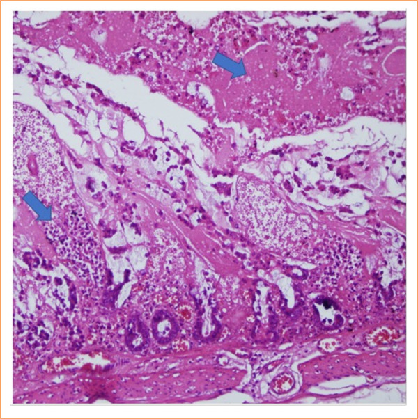
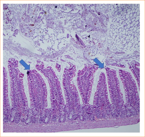
目的:探讨匹诺曹蛋白(PC)对大鼠实验性肠缺血再灌注(I/R)损伤的保护作用。方法:Wistar白化大鼠30只,随机分为3组,每组10只:假手术组(仅开腹);I/R(肠系膜上动脉阻塞60分钟,再灌注60分钟);I/R + PC(缺血前腹腔注射5mg /kg PC,再灌注前再次注射)。测定大鼠血浆和肠组织的总抗氧化能力(TAC)、总氧化状态(TOS)和氧化应激指数(OSI)。采用苏木精和伊红染色及改良的Chiu评分系统进行组织病理学评价。结果:虽然TAC值组间差异不显著(p < 0.05),但I/R + PC组TOS和OSI值明显低于I/R组(p < 0.05)。组织学上,与未治疗的I/R组相比,I/R + PC组粘膜损伤明显减轻。这些结果表明,PC可缓解氧化应激,改善肠I/R的组织学结果。结论:PC对肠I/R损伤具有保护作用,可降低氧化应激,保护组织结构。需要进一步的研究来优化PC的剂量、时间和临床应用的机制作用。
本文章由计算机程序翻译,如有差异,请以英文原文为准。

Protective role of pinocembrin in a rat model of intestinal ischemia-reperfusion injury.

Protective role of pinocembrin in a rat model of intestinal ischemia-reperfusion injury.

Protective role of pinocembrin in a rat model of intestinal ischemia-reperfusion injury.

Protective role of pinocembrin in a rat model of intestinal ischemia-reperfusion injury.

Purpose: To determine whether pinocembrin (PC) confers protective effects against experimentally induced intestinal ischemia-reperfusion (I/R) injury in rats.

Methods: Thirty Wistar albino rats were randomly divided into three groups (n = 10 each): sham (underwent laparotomy only); I/R (superior mesenteric artery occlusion for 60 min followed by 60 min reperfusion); and I/R + PC (5 mg/kg PC intraperitoneally before ischemia and again prior to reperfusion). Total antioxidant capacity (TAC), total oxidant status (TOS), and oxidative stress index (OSI) were measured in both plasma and intestinal tissue. Histopathological evaluation was performed using hematoxylin and eosin staining and a modified Chiu scoring system.

Results: Although TAC values did not show significant intergroup differences (p > 0.05), TOS and OSI values were significantly lower in the I/R + PC group than in the I/R group (p < 0.05). Histologically, the I/R + PC group displayed noticeably reduced mucosal damage compared to the untreated I/R group. These results suggest that PC alleviates oxidative stress and improves histological outcomes in intestinal I/R.

Conclusion: PC exhibits a protective effect against intestinal I/R injury by decreasing oxidative stress and preserving tissue architecture. Further studies are warranted to optimize PC's dosing, timing, and mechanistic actions for clinical application.

求助全文
通过发布文献求助,成功后即可免费获取论文全文。 去求助
来源期刊
自引率
0.00%
发文量
0
×
引用
GB/T 7714-2015
复制
MLA
复制
APA
复制
导出至
BibTeX EndNote RefMan NoteFirst NoteExpress
×
提示
您的信息不完整,为了账户安全,请先补充。
现在去补充
×
提示
您因"违规操作"
具体请查看互助需知
我知道了
×
提示
确定
请完成安全验证×
copy
已复制链接
快去分享给好友吧!
我知道了
右上角分享
点击右上角分享
0
联系我们:info@booksci.cn Book学术提供免费学术资源搜索服务,方便国内外学者检索中英文文献。致力于提供最便捷和优质的服务体验。 Copyright © 2023 布克学术 All rights reserved.
京ICP备2023020795号-1
ghs 京公网安备 11010802042870号
Book学术文献互助
Book学术文献互助群
群 号:604180095
Book学术官方微信