鞍不典型畸胎瘤/横纹肌样瘤的特异性影像学特征。

IF 1.5 Q3 RADIOLOGY, NUCLEAR MEDICINE & MEDICAL IMAGING
Run Yu
{"title":"鞍不典型畸胎瘤/横纹肌样瘤的特异性影像学特征。","authors":"Run Yu","doi":"10.4329/wjr.v17.i5.106975","DOIUrl":null,"url":null,"abstract":"<p><p>Primary sellar atypical teratoid/rhabdoid tumor (AT/RT) is the most aggressive sellar mass. Although rare, sellar AT/RT exhibits a very relentless clinical course and usually results in death within months to a few years after diagnosis. The best clinical evidence suggests that surgical debulking and timely adjuvant chemoradiation are most effective in prolonging survival. A preoperative radiological diagnosis of sellar AT/RT thus is crucial in informing patients and physicians about this devastating disease. This minireview summaries the imaging features of sellar AT/RT. magnetic resonance imaging features of sellar AT/RT and the much more common sellar mass, pituitary macroadenoma, are similar in most aspects: They are both isointense to brain gray matter on T1 and T2 imaging and enhance upon gadolinium administration. Suprasellar extension and cavernous sinus invasion are present in practically all cases of sellar AT/RT, but are also present in 50%-75% of pituitary macroadenomas, especially in large ones, suggesting that suprasellar extension and cavernous sinus invasion disproportionate to the tumor size may favor sellar AT/RT diagnosis. Since sellar AT/RT grows very rapidly and does not allow significant remodeling of perisellar structures, the imaging features of perisellar structures such as optic chiasm and cavernous sinus may be key for imaging diagnosis of sellar AT/RT although they have not been well described in sellar AT/RT. In limited cases of sellar AT/RT, optic chiasm degeneration and thinning, which are very common in pituitary macroadenoma, are not present, giving hope for using features of perisellar structures to diagnose sellar AT/RT by imaging.</p>","PeriodicalId":23819,"journal":{"name":"World journal of radiology","volume":"17 5","pages":"106975"},"PeriodicalIF":1.5000,"publicationDate":"2025-05-28","publicationTypes":"Journal Article","fieldsOfStudy":null,"isOpenAccess":false,"openAccessPdf":"https://www.ncbi.nlm.nih.gov/pmc/articles/PMC12149976/pdf/","citationCount":"0","resultStr":"{\"title\":\"Specific imaging features of sellar atypical teratoid/rhabdoid tumor or the lack of thereof.\",\"authors\":\"Run Yu\",\"doi\":\"10.4329/wjr.v17.i5.106975\",\"DOIUrl\":null,\"url\":null,\"abstract\":\"<p><p>Primary sellar atypical teratoid/rhabdoid tumor (AT/RT) is the most aggressive sellar mass. Although rare, sellar AT/RT exhibits a very relentless clinical course and usually results in death within months to a few years after diagnosis. The best clinical evidence suggests that surgical debulking and timely adjuvant chemoradiation are most effective in prolonging survival. A preoperative radiological diagnosis of sellar AT/RT thus is crucial in informing patients and physicians about this devastating disease. This minireview summaries the imaging features of sellar AT/RT. magnetic resonance imaging features of sellar AT/RT and the much more common sellar mass, pituitary macroadenoma, are similar in most aspects: They are both isointense to brain gray matter on T1 and T2 imaging and enhance upon gadolinium administration. Suprasellar extension and cavernous sinus invasion are present in practically all cases of sellar AT/RT, but are also present in 50%-75% of pituitary macroadenomas, especially in large ones, suggesting that suprasellar extension and cavernous sinus invasion disproportionate to the tumor size may favor sellar AT/RT diagnosis. Since sellar AT/RT grows very rapidly and does not allow significant remodeling of perisellar structures, the imaging features of perisellar structures such as optic chiasm and cavernous sinus may be key for imaging diagnosis of sellar AT/RT although they have not been well described in sellar AT/RT. In limited cases of sellar AT/RT, optic chiasm degeneration and thinning, which are very common in pituitary macroadenoma, are not present, giving hope for using features of perisellar structures to diagnose sellar AT/RT by imaging.</p>\",\"PeriodicalId\":23819,\"journal\":{\"name\":\"World journal of radiology\",\"volume\":\"17 5\",\"pages\":\"106975\"},\"PeriodicalIF\":1.5000,\"publicationDate\":\"2025-05-28\",\"publicationTypes\":\"Journal Article\",\"fieldsOfStudy\":null,\"isOpenAccess\":false,\"openAccessPdf\":\"https://www.ncbi.nlm.nih.gov/pmc/articles/PMC12149976/pdf/\",\"citationCount\":\"0\",\"resultStr\":null,\"platform\":\"Semanticscholar\",\"paperid\":null,\"PeriodicalName\":\"World journal of radiology\",\"FirstCategoryId\":\"1085\",\"ListUrlMain\":\"https://doi.org/10.4329/wjr.v17.i5.106975\",\"RegionNum\":0,\"RegionCategory\":null,\"ArticlePicture\":[],\"TitleCN\":null,\"AbstractTextCN\":null,\"PMCID\":null,\"EPubDate\":\"\",\"PubModel\":\"\",\"JCR\":\"Q3\",\"JCRName\":\"RADIOLOGY, NUCLEAR MEDICINE & MEDICAL IMAGING\",\"Score\":null,\"Total\":0}","platform":"Semanticscholar","paperid":null,"PeriodicalName":"World journal of radiology","FirstCategoryId":"1085","ListUrlMain":"https://doi.org/10.4329/wjr.v17.i5.106975","RegionNum":0,"RegionCategory":null,"ArticlePicture":[],"TitleCN":null,"AbstractTextCN":null,"PMCID":null,"EPubDate":"","PubModel":"","JCR":"Q3","JCRName":"RADIOLOGY, NUCLEAR MEDICINE & MEDICAL IMAGING","Score":null,"Total":0}
引用次数: 0

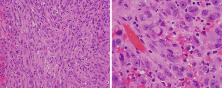
摘要

原发性鞍不典型畸胎瘤/横纹肌样瘤(AT/RT)是最具侵袭性的鞍肿块。虽然罕见,但卖方AT/RT表现出非常无情的临床过程,通常在诊断后数月至数年内导致死亡。最好的临床证据表明,手术减瘤和及时的辅助放化疗是最有效的延长生存期。因此,鞍区AT/RT术前放射学诊断对于告知患者和医生这种毁灭性疾病至关重要。这篇小综述总结了卖方AT/RT的影像学特征。鞍区AT/RT的磁共振成像特征与更常见的鞍区肿块垂体大腺瘤在大多数方面是相似的:它们在T1和T2成像上与脑灰质呈等强度,在给药后增强。鞍上延伸和海绵窦侵犯几乎存在于所有鞍区AT/RT病例中,但也存在于50%-75%的垂体大腺瘤中,特别是在大腺瘤中,提示鞍上延伸和海绵窦侵犯与肿瘤大小不成比例可能有利于鞍区AT/RT诊断。由于鞍区AT/RT生长非常迅速,且不会对鞍区周围结构造成明显的重构,因此鞍区周围结构如视交叉和海绵窦等的影像学特征可能是鞍区AT/RT影像学诊断的关键,尽管它们在鞍区AT/RT中尚未得到很好的描述。在有限的鞍区AT/RT病例中,不存在垂体大腺瘤常见的视交叉变性和变薄,这为利用鞍区周围结构的特征通过影像学诊断鞍区AT/RT提供了希望。
本文章由计算机程序翻译,如有差异,请以英文原文为准。

Specific imaging features of sellar atypical teratoid/rhabdoid tumor or the lack of thereof.

Specific imaging features of sellar atypical teratoid/rhabdoid tumor or the lack of thereof.

Specific imaging features of sellar atypical teratoid/rhabdoid tumor or the lack of thereof.

Primary sellar atypical teratoid/rhabdoid tumor (AT/RT) is the most aggressive sellar mass. Although rare, sellar AT/RT exhibits a very relentless clinical course and usually results in death within months to a few years after diagnosis. The best clinical evidence suggests that surgical debulking and timely adjuvant chemoradiation are most effective in prolonging survival. A preoperative radiological diagnosis of sellar AT/RT thus is crucial in informing patients and physicians about this devastating disease. This minireview summaries the imaging features of sellar AT/RT. magnetic resonance imaging features of sellar AT/RT and the much more common sellar mass, pituitary macroadenoma, are similar in most aspects: They are both isointense to brain gray matter on T1 and T2 imaging and enhance upon gadolinium administration. Suprasellar extension and cavernous sinus invasion are present in practically all cases of sellar AT/RT, but are also present in 50%-75% of pituitary macroadenomas, especially in large ones, suggesting that suprasellar extension and cavernous sinus invasion disproportionate to the tumor size may favor sellar AT/RT diagnosis. Since sellar AT/RT grows very rapidly and does not allow significant remodeling of perisellar structures, the imaging features of perisellar structures such as optic chiasm and cavernous sinus may be key for imaging diagnosis of sellar AT/RT although they have not been well described in sellar AT/RT. In limited cases of sellar AT/RT, optic chiasm degeneration and thinning, which are very common in pituitary macroadenoma, are not present, giving hope for using features of perisellar structures to diagnose sellar AT/RT by imaging.

求助全文
通过发布文献求助,成功后即可免费获取论文全文。 去求助
来源期刊
World journal of radiology
World journal of radiology RADIOLOGY, NUCLEAR MEDICINE & MEDICAL IMAGING-
自引率
8.00%
发文量
35
×
引用
GB/T 7714-2015
复制
MLA
复制
APA
复制
导出至
BibTeX EndNote RefMan NoteFirst NoteExpress
×
提示
您的信息不完整,为了账户安全,请先补充。
现在去补充
×
提示
您因"违规操作"
具体请查看互助需知
我知道了
×
提示
确定
请完成安全验证×
copy
已复制链接
快去分享给好友吧!
我知道了
右上角分享
点击右上角分享
0
联系我们:info@booksci.cn Book学术提供免费学术资源搜索服务,方便国内外学者检索中英文文献。致力于提供最便捷和优质的服务体验。 Copyright © 2023 布克学术 All rights reserved.
京ICP备2023020795号-1
ghs 京公网安备 11010802042870号
Book学术文献互助
Book学术文献互助群
群 号:604180095
Book学术官方微信