计算机断层扫描引导下的经皮活检评估神经内分泌肿瘤转移到肝脏的肿瘤异质性。

IF 1.5 Q3 RADIOLOGY, NUCLEAR MEDICINE & MEDICAL IMAGING
Lei-Lei Ying, Ke-Ning Li, Wen-Tao Li, Xin-Hong He, Chao Chen
{"title":"计算机断层扫描引导下的经皮活检评估神经内分泌肿瘤转移到肝脏的肿瘤异质性。","authors":"Lei-Lei Ying, Ke-Ning Li, Wen-Tao Li, Xin-Hong He, Chao Chen","doi":"10.4329/wjr.v17.i5.104808","DOIUrl":null,"url":null,"abstract":"<p><strong>Background: </strong>Gastroenteropancreatic neuroendocrine tumors (GEP-NETs) frequently metastasize to the liver, with heterogeneity in tumor grade impacting patient prognosis and treatment. The Ki-67 index, a key prognostic marker, often varies between primary and metastatic sites; however, routine liver biopsy remains controversial. Although percutaneous computed tomography-guided core needle biopsy (PCT-CNB) is safe and effective for focal lesions, its role in detecting intertumor grading discrepancies and survival implications in GEP-NETs is underexplored. Conflicting survival associations with grade shifts have been reported in previous studies. We hypothesized that PCT-CNB could identify clinically significant grading heterogeneity in liver metastases, correlating with survival outcomes, thereby refining risk stratification and therapeutic strategies.</p><p><strong>Aim: </strong>To investigate intertumor grading heterogeneity in GEP-NET liver metastases <i>via</i> PCT-CNB.</p><p><strong>Methods: </strong>We retrospectively investigated 92 patients with liver metastases from GEP-NETs <i>via</i> PCT-CNB, 76 patient samples from the liver and primary sites, and 16 from the liver and secondary liver sites. Ki-67 immunohistochemistry was performed for tissue sampling, and grading classifications were determined. Intertumor grading classification heterogeneity and associated changes in patient survival outcomes were also evaluated.</p><p><strong>Results: </strong>No procedure-related mortality was recorded during or after biopsy. In 37/92 patients (40.2%), the grading classifications changed: The grading increased from G1 to G2 in 13 patients, from G1 to G3 in 2, and from G2 to G3 in 14; the grading decreased from G2 to G1 in 5 patients, from G3 to G1 in 1, and from G3 to G2 in 2. Patients with G1 or G2 disease had better progression-free survival and overall survival (OS) outcomes than those with G3 disease did (<i>P</i> = 0.001 and <i>P</i> < 0.001, respectively). The 5-year and 10-year OS rates for stable G2 patients were 67.5% and 26.0%, respectively, decreasing to 46.4% and 23.2%, respectively, among G2 patients whose grade increased (<i>P</i> = 0.016).</p><p><strong>Conclusion: </strong>The PCT-CNB of liver metastases from GEP-NETs differed in grade between the liver tumor and primary site/secondary liver metastases. Additionally, when grading increased from G2, the OS rate significantly decreased.</p>","PeriodicalId":23819,"journal":{"name":"World journal of radiology","volume":"17 5","pages":"104808"},"PeriodicalIF":1.5000,"publicationDate":"2025-05-28","publicationTypes":"Journal Article","fieldsOfStudy":null,"isOpenAccess":false,"openAccessPdf":"https://www.ncbi.nlm.nih.gov/pmc/articles/PMC12149974/pdf/","citationCount":"0","resultStr":"{\"title\":\"Computed tomography-guided percutaneous biopsy for assessing tumor heterogeneity in neuroendocrine tumor metastases to the liver.\",\"authors\":\"Lei-Lei Ying, Ke-Ning Li, Wen-Tao Li, Xin-Hong He, Chao Chen\",\"doi\":\"10.4329/wjr.v17.i5.104808\",\"DOIUrl\":null,\"url\":null,\"abstract\":\"<p><strong>Background: </strong>Gastroenteropancreatic neuroendocrine tumors (GEP-NETs) frequently metastasize to the liver, with heterogeneity in tumor grade impacting patient prognosis and treatment. The Ki-67 index, a key prognostic marker, often varies between primary and metastatic sites; however, routine liver biopsy remains controversial. Although percutaneous computed tomography-guided core needle biopsy (PCT-CNB) is safe and effective for focal lesions, its role in detecting intertumor grading discrepancies and survival implications in GEP-NETs is underexplored. Conflicting survival associations with grade shifts have been reported in previous studies. We hypothesized that PCT-CNB could identify clinically significant grading heterogeneity in liver metastases, correlating with survival outcomes, thereby refining risk stratification and therapeutic strategies.</p><p><strong>Aim: </strong>To investigate intertumor grading heterogeneity in GEP-NET liver metastases <i>via</i> PCT-CNB.</p><p><strong>Methods: </strong>We retrospectively investigated 92 patients with liver metastases from GEP-NETs <i>via</i> PCT-CNB, 76 patient samples from the liver and primary sites, and 16 from the liver and secondary liver sites. Ki-67 immunohistochemistry was performed for tissue sampling, and grading classifications were determined. Intertumor grading classification heterogeneity and associated changes in patient survival outcomes were also evaluated.</p><p><strong>Results: </strong>No procedure-related mortality was recorded during or after biopsy. In 37/92 patients (40.2%), the grading classifications changed: The grading increased from G1 to G2 in 13 patients, from G1 to G3 in 2, and from G2 to G3 in 14; the grading decreased from G2 to G1 in 5 patients, from G3 to G1 in 1, and from G3 to G2 in 2. Patients with G1 or G2 disease had better progression-free survival and overall survival (OS) outcomes than those with G3 disease did (<i>P</i> = 0.001 and <i>P</i> < 0.001, respectively). The 5-year and 10-year OS rates for stable G2 patients were 67.5% and 26.0%, respectively, decreasing to 46.4% and 23.2%, respectively, among G2 patients whose grade increased (<i>P</i> = 0.016).</p><p><strong>Conclusion: </strong>The PCT-CNB of liver metastases from GEP-NETs differed in grade between the liver tumor and primary site/secondary liver metastases. Additionally, when grading increased from G2, the OS rate significantly decreased.</p>\",\"PeriodicalId\":23819,\"journal\":{\"name\":\"World journal of radiology\",\"volume\":\"17 5\",\"pages\":\"104808\"},\"PeriodicalIF\":1.5000,\"publicationDate\":\"2025-05-28\",\"publicationTypes\":\"Journal Article\",\"fieldsOfStudy\":null,\"isOpenAccess\":false,\"openAccessPdf\":\"https://www.ncbi.nlm.nih.gov/pmc/articles/PMC12149974/pdf/\",\"citationCount\":\"0\",\"resultStr\":null,\"platform\":\"Semanticscholar\",\"paperid\":null,\"PeriodicalName\":\"World journal of radiology\",\"FirstCategoryId\":\"1085\",\"ListUrlMain\":\"https://doi.org/10.4329/wjr.v17.i5.104808\",\"RegionNum\":0,\"RegionCategory\":null,\"ArticlePicture\":[],\"TitleCN\":null,\"AbstractTextCN\":null,\"PMCID\":null,\"EPubDate\":\"\",\"PubModel\":\"\",\"JCR\":\"Q3\",\"JCRName\":\"RADIOLOGY, NUCLEAR MEDICINE & MEDICAL IMAGING\",\"Score\":null,\"Total\":0}","platform":"Semanticscholar","paperid":null,"PeriodicalName":"World journal of radiology","FirstCategoryId":"1085","ListUrlMain":"https://doi.org/10.4329/wjr.v17.i5.104808","RegionNum":0,"RegionCategory":null,"ArticlePicture":[],"TitleCN":null,"AbstractTextCN":null,"PMCID":null,"EPubDate":"","PubModel":"","JCR":"Q3","JCRName":"RADIOLOGY, NUCLEAR MEDICINE & MEDICAL IMAGING","Score":null,"Total":0}
引用次数: 0

摘要

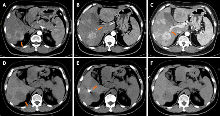
背景:胃胰腺神经内分泌肿瘤(GEP-NETs)经常转移到肝脏,肿瘤分级的异质性影响患者的预后和治疗。Ki-67指数,一个关键的预后指标,经常在原发和转移部位之间变化;然而,常规肝活检仍然存在争议。尽管经皮计算机断层扫描引导下的核心针活检(PCT-CNB)对局灶性病变是安全有效的,但其在检测GEP-NETs肿瘤间分级差异和生存意义方面的作用尚未得到充分探讨。在以前的研究中已经报道了与年级转换相冲突的生存关系。我们假设PCT-CNB可以识别肝转移的临床显著分级异质性,与生存结果相关,从而完善风险分层和治疗策略。目的:通过PCT-CNB研究GEP-NET肝转移瘤间分级异质性。方法:我们回顾性研究了92例经PCT-CNB转移的GEP-NETs患者,76例来自肝脏和原发部位,16例来自肝脏和继发部位。组织取样行Ki-67免疫组化,并确定分级分类。还评估了肿瘤间分级、分类异质性和患者生存结果的相关变化。结果:在活检期间或之后没有记录与手术相关的死亡率。92例患者中有37例(40.2%)患者的分级发生变化:13例患者的分级从G1增加到G2, 2例从G1增加到G3, 14例从G2增加到G3;5例患者从G2降至G1, 1例从G3降至G1, 2例从G3降至G2。G1或G2疾病患者的无进展生存期和总生存期(OS)结果优于G3疾病患者(分别为P = 0.001和P < 0.001)。稳定期G2患者5年OS率为67.5%,10年OS率为26.0%,分级升高的G2患者5年OS率为46.4%,10年OS率为23.2% (P = 0.016)。结论:GEP-NETs肝转移灶的PCT-CNB在肝肿瘤和原发/继发肝转移灶之间的分级存在差异。此外,当分级从G2开始增加时,OS率显著降低。
本文章由计算机程序翻译,如有差异,请以英文原文为准。

Computed tomography-guided percutaneous biopsy for assessing tumor heterogeneity in neuroendocrine tumor metastases to the liver.

Computed tomography-guided percutaneous biopsy for assessing tumor heterogeneity in neuroendocrine tumor metastases to the liver.

Computed tomography-guided percutaneous biopsy for assessing tumor heterogeneity in neuroendocrine tumor metastases to the liver.

Background: Gastroenteropancreatic neuroendocrine tumors (GEP-NETs) frequently metastasize to the liver, with heterogeneity in tumor grade impacting patient prognosis and treatment. The Ki-67 index, a key prognostic marker, often varies between primary and metastatic sites; however, routine liver biopsy remains controversial. Although percutaneous computed tomography-guided core needle biopsy (PCT-CNB) is safe and effective for focal lesions, its role in detecting intertumor grading discrepancies and survival implications in GEP-NETs is underexplored. Conflicting survival associations with grade shifts have been reported in previous studies. We hypothesized that PCT-CNB could identify clinically significant grading heterogeneity in liver metastases, correlating with survival outcomes, thereby refining risk stratification and therapeutic strategies.

Aim: To investigate intertumor grading heterogeneity in GEP-NET liver metastases via PCT-CNB.

Methods: We retrospectively investigated 92 patients with liver metastases from GEP-NETs via PCT-CNB, 76 patient samples from the liver and primary sites, and 16 from the liver and secondary liver sites. Ki-67 immunohistochemistry was performed for tissue sampling, and grading classifications were determined. Intertumor grading classification heterogeneity and associated changes in patient survival outcomes were also evaluated.

Results: No procedure-related mortality was recorded during or after biopsy. In 37/92 patients (40.2%), the grading classifications changed: The grading increased from G1 to G2 in 13 patients, from G1 to G3 in 2, and from G2 to G3 in 14; the grading decreased from G2 to G1 in 5 patients, from G3 to G1 in 1, and from G3 to G2 in 2. Patients with G1 or G2 disease had better progression-free survival and overall survival (OS) outcomes than those with G3 disease did (P = 0.001 and P < 0.001, respectively). The 5-year and 10-year OS rates for stable G2 patients were 67.5% and 26.0%, respectively, decreasing to 46.4% and 23.2%, respectively, among G2 patients whose grade increased (P = 0.016).

Conclusion: The PCT-CNB of liver metastases from GEP-NETs differed in grade between the liver tumor and primary site/secondary liver metastases. Additionally, when grading increased from G2, the OS rate significantly decreased.

求助全文
通过发布文献求助,成功后即可免费获取论文全文。 去求助
来源期刊
World journal of radiology
World journal of radiology RADIOLOGY, NUCLEAR MEDICINE & MEDICAL IMAGING-
自引率
8.00%
发文量
35
×
引用
GB/T 7714-2015
复制
MLA
复制
APA
复制
导出至
BibTeX EndNote RefMan NoteFirst NoteExpress
×
提示
您的信息不完整,为了账户安全,请先补充。
现在去补充
×
提示
您因"违规操作"
具体请查看互助需知
我知道了
×
提示
确定
请完成安全验证×
copy
已复制链接
快去分享给好友吧!
我知道了
右上角分享
点击右上角分享
0
联系我们:info@booksci.cn Book学术提供免费学术资源搜索服务,方便国内外学者检索中英文文献。致力于提供最便捷和优质的服务体验。 Copyright © 2023 布克学术 All rights reserved.
京ICP备2023020795号-1
ghs 京公网安备 11010802042870号
Book学术文献互助
Book学术文献互助群
群 号:604180095
Book学术官方微信