肥胖患者食管裂孔大小与反流性食管炎和I型食管裂孔疝的关系

IF 1.5 Q3 RADIOLOGY, NUCLEAR MEDICINE & MEDICAL IMAGING
Zhong Qi, Xiao-Chen Shi, Wen-Mao Yan, Ri-Xing Bai
{"title":"肥胖患者食管裂孔大小与反流性食管炎和I型食管裂孔疝的关系","authors":"Zhong Qi, Xiao-Chen Shi, Wen-Mao Yan, Ri-Xing Bai","doi":"10.4329/wjr.v17.i5.106333","DOIUrl":null,"url":null,"abstract":"<p><strong>Background: </strong>Chinese surgeons often rely on intraoperative exploration of the esophageal hiatus to determine the need for concurrent type I hiatal hernia (HH) repair during laparoscopic sleeve gastrectomy. However, no standardized criteria for the esophageal hiatus size or indications for exploration exist in China.</p><p><strong>Aim: </strong>To investigate normal anatomical parameter ranges of the esophageal hiatus in patients with obesity.</p><p><strong>Methods: </strong>A total of 158 patients, aged 20-49 years, was analyzed from January 2020 to June 2024. The patients were classified into the no reflux esophagitis (RE) no HH group (HHG), RE group, and type I HHG. The transverse and sagittal diameters and cross-sectional area of the esophageal hiatus were measured using multiplanar reconstruction of the computed tomography images.</p><p><strong>Results: </strong>Body mass index was positively correlated with area and transverse and sagittal diameters of the esophageal hiatus (<i>r</i> = 0.72, 0.69, and 0.54, respectively; <i>P</i> < 0.01). In the no RE no HHG and RE group, the esophageal hiatus size in the subgroup with obesity was greater than that in the non-obesity subgroup (area: 326.15 ± 78 mm<sup>2</sup> <i>vs</i> 208.12 ± 64.44 mm<sup>2</sup>, transverse diameters: 15.97 ± 2.06 mm <i>vs</i> 13.37 ± 1.99 mm, sagittal diameters: 15.7 ± 2.08 mm <i>vs</i> 11.73 ± 2.08 mm; <i>P</i> < 0.01). Patients with obesity showed no significant differences in esophageal hiatus size with or without RE or HH.</p><p><strong>Conclusion: </strong>The esophageal hiatus size increased with body mass index and was larger in patients with obesity than in those without obesity.</p>","PeriodicalId":23819,"journal":{"name":"World journal of radiology","volume":"17 5","pages":"106333"},"PeriodicalIF":1.5000,"publicationDate":"2025-05-28","publicationTypes":"Journal Article","fieldsOfStudy":null,"isOpenAccess":false,"openAccessPdf":"https://www.ncbi.nlm.nih.gov/pmc/articles/PMC12149973/pdf/","citationCount":"0","resultStr":"{\"title\":\"Association of esophageal hiatus size with reflux esophagitis and type I hiatal hernia in patients with obesity.\",\"authors\":\"Zhong Qi, Xiao-Chen Shi, Wen-Mao Yan, Ri-Xing Bai\",\"doi\":\"10.4329/wjr.v17.i5.106333\",\"DOIUrl\":null,\"url\":null,\"abstract\":\"<p><strong>Background: </strong>Chinese surgeons often rely on intraoperative exploration of the esophageal hiatus to determine the need for concurrent type I hiatal hernia (HH) repair during laparoscopic sleeve gastrectomy. However, no standardized criteria for the esophageal hiatus size or indications for exploration exist in China.</p><p><strong>Aim: </strong>To investigate normal anatomical parameter ranges of the esophageal hiatus in patients with obesity.</p><p><strong>Methods: </strong>A total of 158 patients, aged 20-49 years, was analyzed from January 2020 to June 2024. The patients were classified into the no reflux esophagitis (RE) no HH group (HHG), RE group, and type I HHG. The transverse and sagittal diameters and cross-sectional area of the esophageal hiatus were measured using multiplanar reconstruction of the computed tomography images.</p><p><strong>Results: </strong>Body mass index was positively correlated with area and transverse and sagittal diameters of the esophageal hiatus (<i>r</i> = 0.72, 0.69, and 0.54, respectively; <i>P</i> < 0.01). In the no RE no HHG and RE group, the esophageal hiatus size in the subgroup with obesity was greater than that in the non-obesity subgroup (area: 326.15 ± 78 mm<sup>2</sup> <i>vs</i> 208.12 ± 64.44 mm<sup>2</sup>, transverse diameters: 15.97 ± 2.06 mm <i>vs</i> 13.37 ± 1.99 mm, sagittal diameters: 15.7 ± 2.08 mm <i>vs</i> 11.73 ± 2.08 mm; <i>P</i> < 0.01). Patients with obesity showed no significant differences in esophageal hiatus size with or without RE or HH.</p><p><strong>Conclusion: </strong>The esophageal hiatus size increased with body mass index and was larger in patients with obesity than in those without obesity.</p>\",\"PeriodicalId\":23819,\"journal\":{\"name\":\"World journal of radiology\",\"volume\":\"17 5\",\"pages\":\"106333\"},\"PeriodicalIF\":1.5000,\"publicationDate\":\"2025-05-28\",\"publicationTypes\":\"Journal Article\",\"fieldsOfStudy\":null,\"isOpenAccess\":false,\"openAccessPdf\":\"https://www.ncbi.nlm.nih.gov/pmc/articles/PMC12149973/pdf/\",\"citationCount\":\"0\",\"resultStr\":null,\"platform\":\"Semanticscholar\",\"paperid\":null,\"PeriodicalName\":\"World journal of radiology\",\"FirstCategoryId\":\"1085\",\"ListUrlMain\":\"https://doi.org/10.4329/wjr.v17.i5.106333\",\"RegionNum\":0,\"RegionCategory\":null,\"ArticlePicture\":[],\"TitleCN\":null,\"AbstractTextCN\":null,\"PMCID\":null,\"EPubDate\":\"\",\"PubModel\":\"\",\"JCR\":\"Q3\",\"JCRName\":\"RADIOLOGY, NUCLEAR MEDICINE & MEDICAL IMAGING\",\"Score\":null,\"Total\":0}","platform":"Semanticscholar","paperid":null,"PeriodicalName":"World journal of radiology","FirstCategoryId":"1085","ListUrlMain":"https://doi.org/10.4329/wjr.v17.i5.106333","RegionNum":0,"RegionCategory":null,"ArticlePicture":[],"TitleCN":null,"AbstractTextCN":null,"PMCID":null,"EPubDate":"","PubModel":"","JCR":"Q3","JCRName":"RADIOLOGY, NUCLEAR MEDICINE & MEDICAL IMAGING","Score":null,"Total":0}
引用次数: 0

摘要

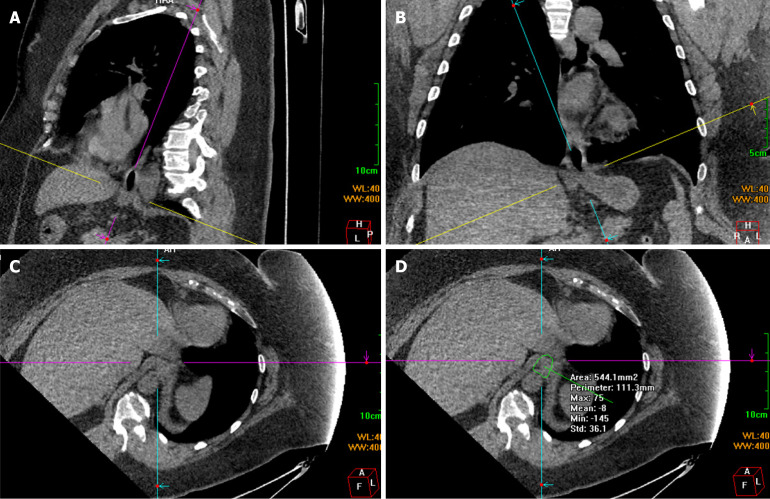
背景:中国外科医生通常依靠术中探查食管裂孔来确定在腹腔镜袖胃切除术中是否需要同时修复I型裂孔疝(HH)。然而,对于食管裂孔的大小和探查适应症,中国尚无标准化的标准。目的:探讨肥胖患者食管裂孔的正常解剖参数范围。方法:对2020年1月至2024年6月收治的158例患者进行分析,年龄20 ~ 49岁。将患者分为无反流性食管炎(RE)、无HH组(HHG)、RE组和I型HHG。利用计算机断层图像的多平面重建测量食管裂孔的横、矢状直径和横截面积。结果:体重指数与食管裂孔面积、横、矢状直径呈正相关(r分别为0.72、0.69、0.54);P < 0.01)。在无RE、无HHG和RE组中,肥胖亚组食管裂孔大小大于非肥胖亚组(面积:326.15±78 mm2 vs 208.12±64.44 mm2,横径:15.97±2.06 mm vs 13.37±1.99 mm,矢状径:15.7±2.08 mm vs 11.73±2.08 mm;P < 0.01)。肥胖患者食管裂孔大小在有无RE或HH的情况下无显著差异。结论:食管裂孔大小随体重指数的增加而增大,肥胖患者的食管裂孔大小大于非肥胖患者。
本文章由计算机程序翻译,如有差异,请以英文原文为准。

Association of esophageal hiatus size with reflux esophagitis and type I hiatal hernia in patients with obesity.

Association of esophageal hiatus size with reflux esophagitis and type I hiatal hernia in patients with obesity.

Association of esophageal hiatus size with reflux esophagitis and type I hiatal hernia in patients with obesity.

Association of esophageal hiatus size with reflux esophagitis and type I hiatal hernia in patients with obesity.

Background: Chinese surgeons often rely on intraoperative exploration of the esophageal hiatus to determine the need for concurrent type I hiatal hernia (HH) repair during laparoscopic sleeve gastrectomy. However, no standardized criteria for the esophageal hiatus size or indications for exploration exist in China.

Aim: To investigate normal anatomical parameter ranges of the esophageal hiatus in patients with obesity.

Methods: A total of 158 patients, aged 20-49 years, was analyzed from January 2020 to June 2024. The patients were classified into the no reflux esophagitis (RE) no HH group (HHG), RE group, and type I HHG. The transverse and sagittal diameters and cross-sectional area of the esophageal hiatus were measured using multiplanar reconstruction of the computed tomography images.

Results: Body mass index was positively correlated with area and transverse and sagittal diameters of the esophageal hiatus (r = 0.72, 0.69, and 0.54, respectively; P < 0.01). In the no RE no HHG and RE group, the esophageal hiatus size in the subgroup with obesity was greater than that in the non-obesity subgroup (area: 326.15 ± 78 mm2 vs 208.12 ± 64.44 mm2, transverse diameters: 15.97 ± 2.06 mm vs 13.37 ± 1.99 mm, sagittal diameters: 15.7 ± 2.08 mm vs 11.73 ± 2.08 mm; P < 0.01). Patients with obesity showed no significant differences in esophageal hiatus size with or without RE or HH.

Conclusion: The esophageal hiatus size increased with body mass index and was larger in patients with obesity than in those without obesity.

求助全文
通过发布文献求助,成功后即可免费获取论文全文。 去求助
来源期刊
World journal of radiology
World journal of radiology RADIOLOGY, NUCLEAR MEDICINE & MEDICAL IMAGING-
自引率
8.00%
发文量
35
×
引用
GB/T 7714-2015
复制
MLA
复制
APA
复制
导出至
BibTeX EndNote RefMan NoteFirst NoteExpress
×
提示
您的信息不完整,为了账户安全,请先补充。
现在去补充
×
提示
您因"违规操作"
具体请查看互助需知
我知道了
×
提示
确定
请完成安全验证×
copy
已复制链接
快去分享给好友吧!
我知道了
右上角分享
点击右上角分享
0
联系我们:info@booksci.cn Book学术提供免费学术资源搜索服务,方便国内外学者检索中英文文献。致力于提供最便捷和优质的服务体验。 Copyright © 2023 布克学术 All rights reserved.
京ICP备2023020795号-1
ghs 京公网安备 11010802042870号
Book学术文献互助
Book学术文献互助群
群 号:604180095
Book学术官方微信