妊娠期大疱性皮肤病变的不寻常表现。

IF 0.8 Q3 MEDICINE, GENERAL & INTERNAL
Stanley C Jordan, Bonnie Balzer, Susane Morrison, Allison Truong, Ananth Karumanchi
{"title":"妊娠期大疱性皮肤病变的不寻常表现。","authors":"Stanley C Jordan, Bonnie Balzer, Susane Morrison, Allison Truong, Ananth Karumanchi","doi":"10.1177/23247096251347403","DOIUrl":null,"url":null,"abstract":"<p><p>Here, we present a 33-years-old pregnant female who at 27-weeks gestation developed an unusual rash on her left knee after a spider bite. The rash rapidly became systemic requiring admission and treatment with high-dose steroids. Patient rapidly developed complications of steroid therapy and saw no benefits in reducing the activity of the rash of symptoms of itching. A repeat biopsy showed linear fluorescence along the dermal epidermal junction with C3 (strong) and IgG (weak) suggestive of pemphigus gestationis (PG). After balancing concerns for the health of the mother and risk for disease transmission to the child, we decided to treat the patient with high-dose intravenous immunoglobulin (IVIg). This resulted in rapid remission of disease and delivery of a healthy child without evidence of PG at 36-weeks gestation. A discussion of the mechanism(s) of action of IVIg that were salutary in this case is presented. Importantly, we discuss the likely benefits of IVIg in saturation of the Fc-receptor neonatal IgG recycling and preservation system in accelerating the degradation of pathogenic IgGs and the inhibitory of effects of IVIg on C3 activation which was the predominant immunoreactant in skin biopsy. The patient recovered completely after the fourth monthly IVIg infusion and continues to do well.</p>","PeriodicalId":16198,"journal":{"name":"Journal of investigative medicine high impact case reports","volume":"13 ","pages":"23247096251347403"},"PeriodicalIF":0.8000,"publicationDate":"2025-01-01","publicationTypes":"Journal Article","fieldsOfStudy":null,"isOpenAccess":false,"openAccessPdf":"https://www.ncbi.nlm.nih.gov/pmc/articles/PMC12163261/pdf/","citationCount":"0","resultStr":"{\"title\":\"An Unusual Presentation of Bullous Skin Lesions During Pregnancy.\",\"authors\":\"Stanley C Jordan, Bonnie Balzer, Susane Morrison, Allison Truong, Ananth Karumanchi\",\"doi\":\"10.1177/23247096251347403\",\"DOIUrl\":null,\"url\":null,\"abstract\":\"<p><p>Here, we present a 33-years-old pregnant female who at 27-weeks gestation developed an unusual rash on her left knee after a spider bite. The rash rapidly became systemic requiring admission and treatment with high-dose steroids. Patient rapidly developed complications of steroid therapy and saw no benefits in reducing the activity of the rash of symptoms of itching. A repeat biopsy showed linear fluorescence along the dermal epidermal junction with C3 (strong) and IgG (weak) suggestive of pemphigus gestationis (PG). After balancing concerns for the health of the mother and risk for disease transmission to the child, we decided to treat the patient with high-dose intravenous immunoglobulin (IVIg). This resulted in rapid remission of disease and delivery of a healthy child without evidence of PG at 36-weeks gestation. A discussion of the mechanism(s) of action of IVIg that were salutary in this case is presented. Importantly, we discuss the likely benefits of IVIg in saturation of the Fc-receptor neonatal IgG recycling and preservation system in accelerating the degradation of pathogenic IgGs and the inhibitory of effects of IVIg on C3 activation which was the predominant immunoreactant in skin biopsy. The patient recovered completely after the fourth monthly IVIg infusion and continues to do well.</p>\",\"PeriodicalId\":16198,\"journal\":{\"name\":\"Journal of investigative medicine high impact case reports\",\"volume\":\"13 \",\"pages\":\"23247096251347403\"},\"PeriodicalIF\":0.8000,\"publicationDate\":\"2025-01-01\",\"publicationTypes\":\"Journal Article\",\"fieldsOfStudy\":null,\"isOpenAccess\":false,\"openAccessPdf\":\"https://www.ncbi.nlm.nih.gov/pmc/articles/PMC12163261/pdf/\",\"citationCount\":\"0\",\"resultStr\":null,\"platform\":\"Semanticscholar\",\"paperid\":null,\"PeriodicalName\":\"Journal of investigative medicine high impact case reports\",\"FirstCategoryId\":\"1085\",\"ListUrlMain\":\"https://doi.org/10.1177/23247096251347403\",\"RegionNum\":0,\"RegionCategory\":null,\"ArticlePicture\":[],\"TitleCN\":null,\"AbstractTextCN\":null,\"PMCID\":null,\"EPubDate\":\"2025/6/12 0:00:00\",\"PubModel\":\"Epub\",\"JCR\":\"Q3\",\"JCRName\":\"MEDICINE, GENERAL & INTERNAL\",\"Score\":null,\"Total\":0}","platform":"Semanticscholar","paperid":null,"PeriodicalName":"Journal of investigative medicine high impact case reports","FirstCategoryId":"1085","ListUrlMain":"https://doi.org/10.1177/23247096251347403","RegionNum":0,"RegionCategory":null,"ArticlePicture":[],"TitleCN":null,"AbstractTextCN":null,"PMCID":null,"EPubDate":"2025/6/12 0:00:00","PubModel":"Epub","JCR":"Q3","JCRName":"MEDICINE, GENERAL & INTERNAL","Score":null,"Total":0}
引用次数: 0

摘要

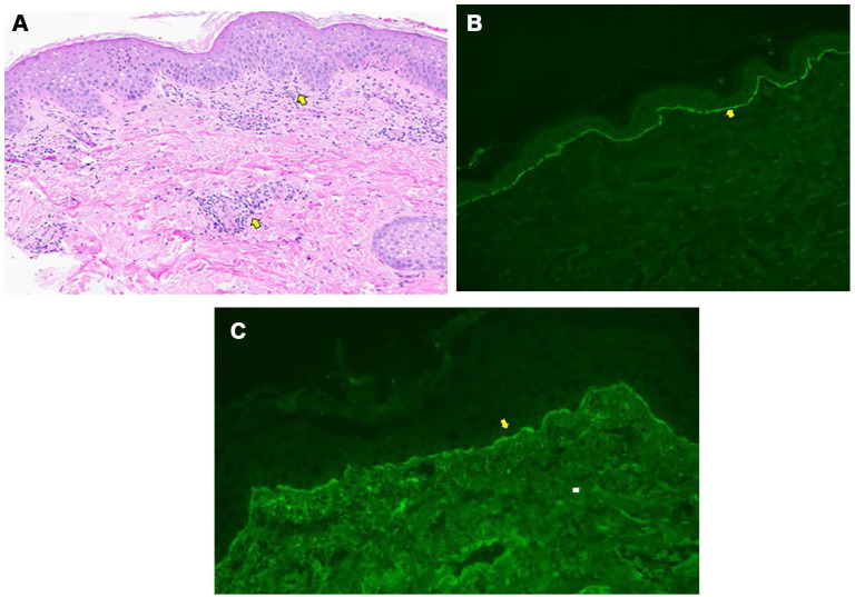
在这里,我们报告了一位33岁的怀孕女性,她在怀孕27周时左膝被蜘蛛咬伤后出现了不寻常的皮疹。皮疹迅速变成全身性的,需要住院治疗并使用大剂量类固醇。患者迅速出现类固醇治疗的并发症,在减少瘙痒症状的皮疹活动方面没有任何益处。重复活检显示沿真皮表皮连接处的线性荧光与C3(强)和IgG(弱)提示妊娠天疱疮(PG)。在权衡了母亲的健康和疾病传播给孩子的风险后,我们决定用大剂量静脉注射免疫球蛋白(IVIg)治疗患者。这导致疾病迅速缓解,并在妊娠36周分娩了一个健康的孩子,没有PG的证据。对IVIg的作用机制进行了有益的讨论。重要的是,我们讨论了IVIg在fc受体新生儿IgG循环和保存系统饱和中的可能益处,加速致病性IgG的降解,抑制IVIg对C3激活的影响,C3是皮肤活检中主要的免疫反应物。患者在每月第四次IVIg输注后完全恢复,并继续保持良好状态。
本文章由计算机程序翻译,如有差异,请以英文原文为准。

An Unusual Presentation of Bullous Skin Lesions During Pregnancy.

An Unusual Presentation of Bullous Skin Lesions During Pregnancy.

An Unusual Presentation of Bullous Skin Lesions During Pregnancy.

An Unusual Presentation of Bullous Skin Lesions During Pregnancy.

Here, we present a 33-years-old pregnant female who at 27-weeks gestation developed an unusual rash on her left knee after a spider bite. The rash rapidly became systemic requiring admission and treatment with high-dose steroids. Patient rapidly developed complications of steroid therapy and saw no benefits in reducing the activity of the rash of symptoms of itching. A repeat biopsy showed linear fluorescence along the dermal epidermal junction with C3 (strong) and IgG (weak) suggestive of pemphigus gestationis (PG). After balancing concerns for the health of the mother and risk for disease transmission to the child, we decided to treat the patient with high-dose intravenous immunoglobulin (IVIg). This resulted in rapid remission of disease and delivery of a healthy child without evidence of PG at 36-weeks gestation. A discussion of the mechanism(s) of action of IVIg that were salutary in this case is presented. Importantly, we discuss the likely benefits of IVIg in saturation of the Fc-receptor neonatal IgG recycling and preservation system in accelerating the degradation of pathogenic IgGs and the inhibitory of effects of IVIg on C3 activation which was the predominant immunoreactant in skin biopsy. The patient recovered completely after the fourth monthly IVIg infusion and continues to do well.

求助全文
通过发布文献求助,成功后即可免费获取论文全文。 去求助
来源期刊
CiteScore
1.90
自引率
0.00%
发文量
165
审稿时长
12 weeks
期刊介绍: The AFMR is committed to enhancing the training and career development of our members and to furthering its mission to facilitate the conduct of research to improve medical care. Case reports represent an important avenue for trainees (interns, residents, and fellows) and early-stage faculty to demonstrate productive, scholarly activity.
×
引用
GB/T 7714-2015
复制
MLA
复制
APA
复制
导出至
BibTeX EndNote RefMan NoteFirst NoteExpress
×
提示
您的信息不完整,为了账户安全,请先补充。
现在去补充
×
提示
您因"违规操作"
具体请查看互助需知
我知道了
×
提示
确定
请完成安全验证×
copy
已复制链接
快去分享给好友吧!
我知道了
右上角分享
点击右上角分享
0
联系我们:info@booksci.cn Book学术提供免费学术资源搜索服务,方便国内外学者检索中英文文献。致力于提供最便捷和优质的服务体验。 Copyright © 2023 布克学术 All rights reserved.
京ICP备2023020795号-1
ghs 京公网安备 11010802042870号
Book学术文献互助
Book学术文献互助群
群 号:604180095
Book学术官方微信