腹泻、体重减轻和胃泌素升高:1例报告。

IF 0.6 Q4 GASTROENTEROLOGY & HEPATOLOGY
Case Reports in Gastroenterology Pub Date : 2025-06-11 eCollection Date: 2025-01-01 DOI:10.1159/000545714
Ryan G Alexander, John C Cheville, Geoffrey B Thompson, Glenn L Alexander
{"title":"腹泻、体重减轻和胃泌素升高:1例报告。","authors":"Ryan G Alexander, John C Cheville, Geoffrey B Thompson, Glenn L Alexander","doi":"10.1159/000545714","DOIUrl":null,"url":null,"abstract":"<p><strong>Introduction: </strong>Hypergastrinemia in a patient with refractory reflux, steatorrhea, or peptic ulcer disease with a gastric pH <4 is concerning for Zollinger-Ellison syndrome (ZES), but antral G-cell hyperplasia can also present in this manner and is distinguished from ZES based on negative radiographic studies and secretory stimulation testing with a typical gastrin response to a standardized test meal.</p><p><strong>Case presentation: </strong>A 51-year-old female with a history of a Nissen fundoplication for refractory reflux presented with a 3-month history of heartburn, diarrhea, and 55-pound weight loss. Evaluation included negative upper and lower endoscopies with biopsies and negative MR enterography. A 48-h fecal fat study revealed 501 g of stool and 51 g of fat per 24 h. A serum gastrin level off PPI was elevated at 589 pg/mL with a gastric pH of 2 on gastric aspirate. An EUS, DOTATATE PET scan, and secretin stimulation test were negative for ZE. A standardized test meal with serial gastrin monitoring demonstrated an 8-fold increase in serum gastrin. Open abdominal exploration and intraoperative ultrasound showed no evidence of a gastrinoma and an antrectomy and Billroth II anastomosis was performed in treatment of G-cell hyperplasia. Pathology demonstrated a moderately increased G-cell population. Postoperatively, her hypergastrinemia and steatorrhea resolved and she regained 60 pounds.</p><p><strong>Conclusion: </strong>Antral G-cell hyperplasia should be considered in patients with symptoms suggestive of gastrinoma with negative secretin stimulation testing and imaging studies. A standardized test meal demonstrates a substantial increase in serum gastrin levels and antrectomy is the treatment of choice for refractory symptoms.</p>","PeriodicalId":9614,"journal":{"name":"Case Reports in Gastroenterology","volume":"19 1","pages":"428-433"},"PeriodicalIF":0.6000,"publicationDate":"2025-06-11","publicationTypes":"Journal Article","fieldsOfStudy":null,"isOpenAccess":false,"openAccessPdf":"https://www.ncbi.nlm.nih.gov/pmc/articles/PMC12158413/pdf/","citationCount":"0","resultStr":"{\"title\":\"Diarrhea, Weight Loss, and an Elevated Gastrin: A Case Report.\",\"authors\":\"Ryan G Alexander, John C Cheville, Geoffrey B Thompson, Glenn L Alexander\",\"doi\":\"10.1159/000545714\",\"DOIUrl\":null,\"url\":null,\"abstract\":\"<p><strong>Introduction: </strong>Hypergastrinemia in a patient with refractory reflux, steatorrhea, or peptic ulcer disease with a gastric pH <4 is concerning for Zollinger-Ellison syndrome (ZES), but antral G-cell hyperplasia can also present in this manner and is distinguished from ZES based on negative radiographic studies and secretory stimulation testing with a typical gastrin response to a standardized test meal.</p><p><strong>Case presentation: </strong>A 51-year-old female with a history of a Nissen fundoplication for refractory reflux presented with a 3-month history of heartburn, diarrhea, and 55-pound weight loss. Evaluation included negative upper and lower endoscopies with biopsies and negative MR enterography. A 48-h fecal fat study revealed 501 g of stool and 51 g of fat per 24 h. A serum gastrin level off PPI was elevated at 589 pg/mL with a gastric pH of 2 on gastric aspirate. An EUS, DOTATATE PET scan, and secretin stimulation test were negative for ZE. A standardized test meal with serial gastrin monitoring demonstrated an 8-fold increase in serum gastrin. Open abdominal exploration and intraoperative ultrasound showed no evidence of a gastrinoma and an antrectomy and Billroth II anastomosis was performed in treatment of G-cell hyperplasia. Pathology demonstrated a moderately increased G-cell population. Postoperatively, her hypergastrinemia and steatorrhea resolved and she regained 60 pounds.</p><p><strong>Conclusion: </strong>Antral G-cell hyperplasia should be considered in patients with symptoms suggestive of gastrinoma with negative secretin stimulation testing and imaging studies. A standardized test meal demonstrates a substantial increase in serum gastrin levels and antrectomy is the treatment of choice for refractory symptoms.</p>\",\"PeriodicalId\":9614,\"journal\":{\"name\":\"Case Reports in Gastroenterology\",\"volume\":\"19 1\",\"pages\":\"428-433\"},\"PeriodicalIF\":0.6000,\"publicationDate\":\"2025-06-11\",\"publicationTypes\":\"Journal Article\",\"fieldsOfStudy\":null,\"isOpenAccess\":false,\"openAccessPdf\":\"https://www.ncbi.nlm.nih.gov/pmc/articles/PMC12158413/pdf/\",\"citationCount\":\"0\",\"resultStr\":null,\"platform\":\"Semanticscholar\",\"paperid\":null,\"PeriodicalName\":\"Case Reports in Gastroenterology\",\"FirstCategoryId\":\"1085\",\"ListUrlMain\":\"https://doi.org/10.1159/000545714\",\"RegionNum\":0,\"RegionCategory\":null,\"ArticlePicture\":[],\"TitleCN\":null,\"AbstractTextCN\":null,\"PMCID\":null,\"EPubDate\":\"2025/1/1 0:00:00\",\"PubModel\":\"eCollection\",\"JCR\":\"Q4\",\"JCRName\":\"GASTROENTEROLOGY & HEPATOLOGY\",\"Score\":null,\"Total\":0}","platform":"Semanticscholar","paperid":null,"PeriodicalName":"Case Reports in Gastroenterology","FirstCategoryId":"1085","ListUrlMain":"https://doi.org/10.1159/000545714","RegionNum":0,"RegionCategory":null,"ArticlePicture":[],"TitleCN":null,"AbstractTextCN":null,"PMCID":null,"EPubDate":"2025/1/1 0:00:00","PubModel":"eCollection","JCR":"Q4","JCRName":"GASTROENTEROLOGY & HEPATOLOGY","Score":null,"Total":0}
引用次数: 0

摘要

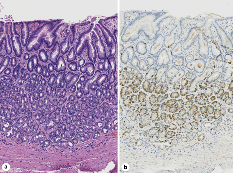
高胃泌素血症患者合并难治性反流、脂肪溢或胃pH值增高的消化性溃疡疾病病例描述:51岁女性,因难治性反流有尼森底翻病史,3个月胃灼热、腹泻和体重减轻55磅。评估包括上、下腔镜活检阴性和MR肠造影阴性。48小时的粪便脂肪研究显示,每24小时有501 g粪便和51 g脂肪。血清胃泌素水平升高至589 pg/mL,胃吸出液的胃pH值为2。EUS, DOTATATE PET扫描和分泌素刺激试验均为阴性。有连续胃泌素监测的标准化试验餐显示血清胃泌素增加了8倍。剖腹探查及术中超声未发现胃原质瘤,对g细胞增生患者行前切除术及Billroth II吻合术。病理显示g细胞群适度增加。术后,她的高胃泌素血症和脂肪漏得到缓解,体重重达60磅。结论:分泌素刺激试验和影像学检查阴性的胃窦g细胞增生患者应考虑胃窦g细胞增生。标准化试验餐显示血清胃泌素水平显著增加,对于难治性症状,首选的治疗方法是前切除术。
本文章由计算机程序翻译,如有差异,请以英文原文为准。

Diarrhea, Weight Loss, and an Elevated Gastrin: A Case Report.

Diarrhea, Weight Loss, and an Elevated Gastrin: A Case Report.

Diarrhea, Weight Loss, and an Elevated Gastrin: A Case Report.

Diarrhea, Weight Loss, and an Elevated Gastrin: A Case Report.

Introduction: Hypergastrinemia in a patient with refractory reflux, steatorrhea, or peptic ulcer disease with a gastric pH <4 is concerning for Zollinger-Ellison syndrome (ZES), but antral G-cell hyperplasia can also present in this manner and is distinguished from ZES based on negative radiographic studies and secretory stimulation testing with a typical gastrin response to a standardized test meal.

Case presentation: A 51-year-old female with a history of a Nissen fundoplication for refractory reflux presented with a 3-month history of heartburn, diarrhea, and 55-pound weight loss. Evaluation included negative upper and lower endoscopies with biopsies and negative MR enterography. A 48-h fecal fat study revealed 501 g of stool and 51 g of fat per 24 h. A serum gastrin level off PPI was elevated at 589 pg/mL with a gastric pH of 2 on gastric aspirate. An EUS, DOTATATE PET scan, and secretin stimulation test were negative for ZE. A standardized test meal with serial gastrin monitoring demonstrated an 8-fold increase in serum gastrin. Open abdominal exploration and intraoperative ultrasound showed no evidence of a gastrinoma and an antrectomy and Billroth II anastomosis was performed in treatment of G-cell hyperplasia. Pathology demonstrated a moderately increased G-cell population. Postoperatively, her hypergastrinemia and steatorrhea resolved and she regained 60 pounds.

Conclusion: Antral G-cell hyperplasia should be considered in patients with symptoms suggestive of gastrinoma with negative secretin stimulation testing and imaging studies. A standardized test meal demonstrates a substantial increase in serum gastrin levels and antrectomy is the treatment of choice for refractory symptoms.

求助全文
通过发布文献求助,成功后即可免费获取论文全文。 去求助
来源期刊
Case Reports in Gastroenterology
Case Reports in Gastroenterology Medicine-Gastroenterology
CiteScore
1.10
自引率
0.00%
发文量
99
审稿时长
7 weeks
期刊介绍:
×
引用
GB/T 7714-2015
复制
MLA
复制
APA
复制
导出至
BibTeX EndNote RefMan NoteFirst NoteExpress
×
提示
您的信息不完整,为了账户安全,请先补充。
现在去补充
×
提示
您因"违规操作"
具体请查看互助需知
我知道了
×
提示
确定
请完成安全验证×
copy
已复制链接
快去分享给好友吧!
我知道了
右上角分享
点击右上角分享
0
联系我们:info@booksci.cn Book学术提供免费学术资源搜索服务,方便国内外学者检索中英文文献。致力于提供最便捷和优质的服务体验。 Copyright © 2023 布克学术 All rights reserved.
京ICP备2023020795号-1
ghs 京公网安备 11010802042870号
Book学术文献互助
Book学术文献互助群
群 号:604180095
Book学术官方微信